Observar cómo tu hijo pasa por las diferentes etapas de crecimiento es un momento emocionante y, a veces, lleno de preocupaciones. Una de estas etapas es el cambio de los dientes de leche por los dientes permanentes. En algunos casos, estos nuevos dientes pueden no seguir el patrón esperado de crecimiento, emergiendo en posiciones incorrectas o incluso causando molestias. Como padres, es natural preguntarnos, ¿qué debemos hacer si nuestro hijo tiene dientes torcidos?
Desde un punto de vista profesional es importante entender que cada niño es único y el desarrollo de sus dientes también lo es. Aunque en un primer momento cierto tipo de patrones pueden parecer preocupantes, hay diversas opciones de tratamiento dental para corregir dientes torcidos en niños y guiar el crecimiento de los dientes permanentes. En la Clínica Dental Patricia Aneiros somos expertos en odontopediatría en Ferrol y exploraremos porqué los dientes definitivos de niños pueden crecer de manera incorrecta y qué podemos hacer para garantizar una sonrisa saludable y funcional para nuestros hijos.

La odontopediatría es clave para el cuidado dental infantil.
Causas Comunes de los Dientes Torcidos
Como padres, uno de nuestros roles más importantes es estar atentos a cualquier tipo de señal que pueda indicar que algo no está yendo bien en la salud de nuestros hijos. En términos de salud dental, hay varias señales de alerta que pueden indicar que los dientes definitivos de niños pueden estar saliendo mal.
Algunos de estos signos pueden ser fáciles de identificar, mientras que otros pueden ser más sutiles. A continuación encontrarás algunas de las señales más comunes que pueden indicar que los dientes definitivos que salen mal, pudiendo así actuar rápidamente y buscar la ayuda profesional necesaria.

El apiñamiento dental es una causa común de dientes torcidos.
Señales de Alerta
- Retraso en la erupción dental: Cada niño es un mundo, pero si ves que los dientes de tu hijo están tardando mucho en salir en comparación con sus compañeros y amigos, podría ser una señal de que algo no va bien.
- Posición anormal de los dientes: Si están saliendo dientes muy torcidos, inclinados o superpuestos e incluso con grandes espacio entre ellos, hablamos de un claro indicativo de que los dientes definitivos están saliendo mal.
- Dolor o molestias: Experimentar algo de incomodidad cuando los dientes están saliendo es algo de lo más normal, no obstante si tu hijo se queja constantemente de dolor en la boca o las encías, esto podría ser una señal de que los dientes permanentes están creciendo de manera incorrecta.
- Dificultades para masticar o hablar: Otra señal a la que deberemos de prestar atención como padres es el masticar de nuestro hijo o si su habla se ha visto afectada. Esto puede ser un indicio de problemas con la erupción de los dientes definitivos.
- Dientes de leche que no se caen: Normalmente, los dientes de leche se caen para dar paso a los dientes definitivos. Si un diente de leche no se ha caído y el diente permanente está saliendo, esto puede causar problemas de espacio, dientes montados y en conclusión dientes definitivos que salen mal.
La caída de los dientes de leche es un proceso natural que suele comenzar alrededor de los 6 años de edad, pero ¿qué pasa si llega el momento y esos dientes no se caen?
Causas de la No Caída de los Dientes de Leche
- Anquilosis dental: En algunos casos, los dientes de leche pueden fusionarse con el hueso de la mandíbula, lo que impide que se caigan naturalmente.
- Dientes permanentes fuera de lugar: A veces, los dientes permanentes crecen en una posición que no empuja directamente a los dientes de leche.
Una de las razones más frecuentes por las que un diente definitivo no sale es una alteración en la reabsorción de la raíz del diente de leche. Cuando esto ocurre el diente de leche no se cae a tiempo y el permanente al no tener sitio para salir sale en un lugar alejado del ideal o se queda retenido dentro del hueso.
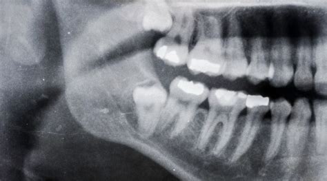
Los dientes impactados son aquellos que no pueden emerger completamente debido a la obstrucción de otros dientes o estructuras óseas. Esto puede ocurrir con mayor frecuencia en los terceros molares, también conocidos como muelas del juicio.

Un diente impactado puede impedir la erupción normal.
Algunos niños pueden experimentar alteraciones en la secuencia de erupción dental. Puede haber demoras en la secuencia normal de erupción de los dientes o cambios en la secuencia, lo que lleva a que un diente definitivo no salga en el momento esperado.
Si un diente definitivo no sale como debería en un niño, es importante buscar la evaluación de un dentista lo antes posible. Las soluciones dependen del caso individual, y pueden incluir observación, extracción del diente de leche, tratamiento ortodóncico o cirugía oral.
Entiendo perfectamente la preocupación que sientes al ver que tu hijo de 7 años no ha empezado a mudar los dientes de leche. A esa edad muchos niños ya han vivido la emocionante visita del “Ratoncito Pérez” y es normal comparar. Quiero que sepas que no estás solo: en mi consulta veo a muchos padres con la misma duda, preguntándose si es normal una dentición tardía y cuándo deben preocuparse.
Cada niño es un mundo y la evolución de la dentición infantil varía mucho de uno a otro. Por lo general, la muda de los dientes de leche comienza alrededor de los 5 o 6 años de edad. Los primeros en caer suelen ser los incisivos inferiores centrales (los dos dientecitos frontales de abajo). A partir de ahí, entre los 6 y 7 años normalmente también se caen los incisivos centrales superiores, y luego van siguiendo los incisivos laterales, los primeros molares, colmillos (caninos) y segundos molares de leche en años posteriores.
Ahora bien, enfatizo que “lo normal” abarca un rango amplio. Algunos niños con 5 años ya pierden su primer diente, mientras que otros no mudan ninguno hasta pasados los 7 años. ¡Y ambos casos pueden ser perfectamente normales! Las niñas tienden a iniciar el recambio dental un poco antes que los niños, pero esto no es una regla fija. La genética y el propio ritmo de desarrollo de tu hijo influyen muchísimo. Si tú o los abuelos perdisteis los dientes de leche más tarde, es posible que tu pequeño siga ese mismo patrón.
Así que, a los 7 años recién cumplidos, no entres en pánico si ves que “no se le caen los dientes”. ¿Debemos preocuparnos?”. La respuesta inicial suele ser tranquilizadora: hasta los 7 u 8 años de edad, es completamente normal que no haya iniciado la caída de ningún diente de leche. Cada niño lleva su propio ritmo de desarrollo.
Dicho esto, hay ciertos casos en los que conviene “ocuparnos” más que preocuparnos. Si tu hijo se acerca a los 8 años y todavía conserva todos sus dientes de leche sin movilidad (es decir, ninguno está ni siquiera un poco flojo), podría ser recomendable consultar con un odontopediatra para evaluar. Ojo, esto no significa que haya algo mal necesariamente, pero a partir de esa edad no es habitual no haber mudado ningún diente, y es bueno hacer una revisión para quedarnos tranquilos.
Cuando examinamos a un niño cuya caída de dientes de leche está retrasada, buscamos entender qué puede estar pasando. Por lo general, la mayoría de las veces es simplemente una variación normal y no hay una causa preocupante: el cuerpo de tu hijo sigue su propio calendario de crecimiento.
Como mencioné antes, la herencia genética juega un papel. Si en la familia la dentición infantil siempre fue más lenta, es muy probable que tu hijo haya heredado ese ritmo. También factores como el sexo (los niños varones a veces van un poco detrás de las niñas en el recambio dental) o haber nacido prematuro (los bebés prematuros pueden tener tanto la erupción de dientes de leche como la mudanza algo retrasadas) entran aquí.
Los dientes permanentes que vienen debajo son más grandes que los de leche. Si la mandíbula de tu pequeñín es pequeña o hay apiñamiento (muchos dientes en poco espacio), el diente definitivo puede tardar más en encontrar hueco y empujar al de leche para que se caiga. En estos casos a veces vemos que el diente de leche sigue firme porque al permanente le cuesta “hacer palanca” desde abajo.
En raras ocasiones, el motivo de que un diente de leche no se caiga nunca por sí solo es que no existe un diente permanente debajo. Esto se llama agenesia dental, y significa que esa pieza definitiva simplemente no se formó. Al no haber un diente nuevo empujando, el diente de leche puede quedarse en su sitio indefinidamente. La agenesia más común es la de las muelas del juicio en adolescentes, pero en niños a veces afecta a incisivos laterales, caninos o segundos premolares.
Otra situación infrecuente es la anquilosis dental, que es cuando el diente de leche se ha fusionado con el hueso de la mandíbula y no se afloja aunque el permanente empuje. Estos dientes de leche suelen verse un poco “hundidos” o más bajos que los de al lado, porque no se van moviendo. La causa no siempre se conoce, a veces es genética o por un traumatismo previo.
En algunos casos, un obstáculo físico impide la erupción del diente permanente y por tanto retrasa la caída del de leche. ¿Qué tipo de obstáculos? Puede ser un diente supernumerario (una pieza extra que nació de más y bloquea el camino), un quiste dentario o malformación en la encía, o incluso una encía demasiado fibrosa y gruesa que ofrezca resistencia (a esto último lo llamamos fibromatosis gingival). También, si tu hijo sufrió un golpe fuerte en un diente de leche cuando era más pequeño, el daño podría haber afectado al diente definitivo en formación o su posición, haciendo más difícil que empuje correctamente.
El estado de salud y nutrición del niño también puede influir levemente en el ritmo de la dentición. Una mala nutrición, con deficiencia de ciertos nutrientes como calcio, vitamina D o problemas de crecimiento, podría retrasar tanto la salida de los dientes como su recambio. Lo mismo ciertas condiciones médicas endocrinas (por ejemplo, problemas de tiroides o déficit de hormona del crecimiento) o anemia crónica. Incluso se observa que niños con síndromes genéticos como el Síndrome de Down suelen tener erupción dental más tardía.
En resumen, las causas pueden ser diversas, desde variaciones normales hasta razones específicas. La buena noticia es que casi todas tienen solución o simplemente requieren paciencia. Lo importante es identificar si existe alguna causa que atender o si solo hay que esperar un poco más.
Lo primero que te recomendaría es mantener la calma y la observación activa. Revisa su boquita periódicamente: Sin obsesionarse, cada cierto tiempo puedes comprobar suavemente si alguno de sus dientes de leche está ligeramente móvil. A veces los primeros movimientos son mínimos y pasan desapercibidos. Pregúntale también si siente algún diente “raro” o flojo. Involúcralo de forma divertida: por ejemplo, que él mismo revise en el espejo si ve alguno diferente.
Parece que no tiene relación con que se caigan antes o después, pero la salud de los dientes de leche sí influye. Un diente de leche muy cariado o con infección podría caerse antes de tiempo, y al contrario, dientes muy sanos pueden aguantar bien hasta que el definitivo los reemplace. Sigue cepillando sus dientes junto a él mínimo dos veces al día con pasta con flúor (a los 7 años aún necesita supervisión para un cepillado efectivo). Acude a las revisiones con el odontopediatra: Si aún no lo has hecho, este es un buen momento para programar una visita al dentista pediátrico. De hecho, recomendamos que los niños empiecen con revisiones regulares al dentista desde los 3-4 años, al menos anuales. A los 7 años, el dentista no solo revisará caries, también evaluará si el recambio dentario va acorde a la cronología esperada.
¿Qué puede hacer el dentista en estos casos? Muchas cosas: examinar clínicamente si hay dientes flojos, tomar una radiografía panorámica para ver las posiciones de los dientes permanentes y confirmar que todos estén formándose bien. Con esa información, podrá descartar problemas como agenesias, dientes bloqueados o cualquier anomalía. Si todo se ve normal, te dará tranquilidad para seguir esperando.
Aprovecha este tiempo para reforzar hábitos que benefician su desarrollo dental: buena alimentación (lácteos, frutas y verduras que aportan vitaminas y minerales), evitar excesos de azúcares (para prevenir caries en esos dientes de leche que aún le quedan un tiempo), y animarlo a morder alimentos sólidos adecuados a su edad (zanahorias crudas en tiras, manzanas, pan crujiente). Masticar alimentos un pelín más duros estimula el movimiento natural de los dientes y puede ayudar a aflojar los de leche cuando ya están listos para caer. Eso sí, ¡nada de andar meneando un diente que no esté realmente flojo!
Fíjate si detrás o en la encía de algún diente de leche se ve quizá asomar un diente permanente. A veces ocurre lo que llamamos “dientes de tiburón”: el definitivo sale por detrás sin que el de leche se haya caído aún. Si ves un diente nuevo saliendo y el de leche sigue ahí firme, es conveniente visitar al dentista. Probablemente recomendará extraer el diente de leche retenido para dejar espacio al permanente y evitar que salga mal posicionado. No te alarmes, es un procedimiento sencillo con anestesia local, y suele aliviar cualquier molestia al niño.
En la gran mayoría de casos, siguiendo estos pasos, todo llegará a buen término. La clave es acompañar el proceso sin prisas pero sin descuidarlo. Como padre, sé que la espera puede generar ansiedad, pero confía en que la naturaleza es sabia.
¿Cuándo Realmente Hay Que Preocuparse?
Hablemos ahora de las señales de alarma reales que, aunque poco frecuentes, conviene conocer. ¿Cuándo debería preocuparme de verdad y actuar con más urgencia?
- Ningún diente caído después de los 8 años: Ya lo mencioné, pero lo recalco: si tu hijo ha cumplido 8 años y sigue sin rastro de recambio dental (ni dientes flojos ni permanentes a la vista), es momento de acudir al odontopediatra si no lo has hecho.
- Diente permanente erupcionando sin que caiga el de leche: La imagen clásica del diente definitivo saliendo por detrás o al lado del de leche que no se mueve. Esto puede causar una doble hilera de dientes y desvíos en la posición. Aquí no esperes mucho, lleva al niño al dentista para evaluar la extracción del diente de leche que obstruye.
- Dolor, inflamación o anomalías en la encía: Si notas que alguna encía donde debería salir un diente nuevo está muy hinchada, morada o duele y el diente de leche correspondiente no se ha caído, podría haber un quiste de erupción u otro inconveniente.
- Diente de leche muy deteriorado que no cae: A veces un diente de leche tiene caries avanzadas, está en mal estado y aun así no se cae. Esto puede afectar al diente definitivo de abajo o provocar infección. En estos casos, el dentista posiblemente decida extraer ese diente de leche enfermo, aunque el permanente no esté listo aún, para evitar problemas mayores.
- Características físicas especiales: Niños con condiciones como las mencionadas (síndromes genéticos, trastornos endocrinos) deben seguir de cerca con sus médicos el tema dental. Pero en general, estas condiciones ya se conocen desde antes y los padres suelen estar asesorados.
En definitiva, preocuparse de antemano no sirve de nada, más bien hay que ocuparse: observa, acompaña y busca la opinión profesional cuando algo se salga de la norma. No compares en exceso: Es natural mirar al compañerito que ya cambió cuatro dientes, pero cada niño es diferente. Un poco de diferencia en la edad de caída de los dientes de leche es normal y esperado.
Sea temprano o tardío el recambio, unos dientes de leche sanos facilitarán una transición sin complicaciones. Sigue con los buenos hábitos de higiene (cepillado, poca azúcar) y visitas regulares al dentista. Consulta al odontopediatra ante dudas: Si ves alguna de las señales de alerta o simplemente tu instinto de padre/madre te pide asegurarte, pide cita con un especialista en odontopediatría. Una revisión y quizás una radiografía despejarán incógnitas.
Como odontopediatra y padre, mi consejo principal es acompañar a tu hijo con tranquilidad y amor durante esta etapa de cambios. La caída de los primeros dientes de leche es un hito importante de la infancia, pero no hay una fecha única marcada en el calendario. Si a los 7 años aún no ha llegado, en muchos casos solo significa que la naturaleza se toma un poco más de tiempo. Observa, infórmate (¡ya lo estás haciendo leyendo esto!) y confía, buscando ayuda profesional cuando corresponda.
Muy pronto esa sonrisa infantil lucirá sus primeros “huequitos” y después brillantes dientes permanentes.
¿Por qué no se la han caído los dientes a mi hijo?
Soluciones y Tratamientos para los Dientes Torcidos
Ningún padre quiere ver a su hijo enfrentarse a problemas de salud, y menos aún cuando se trata de su sonrisa. Sin embargo, si has notado que los dientes definitivos de tu hijo están saliendo mal, debes saber que existen muchas soluciones y tratamientos efectivos para corregir anomalías. Desde la ortodoncia hasta las intervenciones menos invasivas, existen muchas opciones para ayudar a tu hijo a conseguir una bonita sonrisa, saludable y funcional.

La ortodoncia infantil es una solución común para dientes torcidos.
Opciones de Tratamiento
- Ortodoncia: La ortodoncia es el tratamiento más común para corregir los dientes torcidos y las mandíbulas que están posicionadas de manera incorrecta. Brackets y alineadores son tipos comunes de ortodoncia infantil que pueden ayudar a alinear los dientes.
- Extracciones: En algunos casos, si el problema está causado por la falta de espacio en la boca, el dentista puede decidir extraer algunos dientes de leche o incluso permanentes para hacer espacio.
- Mantenedores de espacio: Si un diente de leche se ha perdido demasiado pronto, el odontólogo puede usar un mantenedor de espacio para evitar que los dientes adyacentes se desplacen hacia el espacio vacío hasta que el diente permanente esté listo para salir.
- Cirugía ortognática: En los casos más severos podría ser necesario una cirugía para corregir anomalías en las mandíbulas.
Si bien puede ser preocupante ver que los dientes definitivos salen mal, en Clínica Dental Patricia Aneiros contamos con una toda una amplia variedad de tratamientos dentales infantiles para corregir esos problemas y asegurar la mejor de las sonrisas para tus hijos. Como padres nuestro papel es estar atentos a las señales de alerta y buscar atención dental profesional cuando sea necesario.
Recuerda, la salud dental de tus hijos es una inversión en su bienestar general, autoestima y felicidad. En nuestra clínica estamos comprometidos a trabajar contigo y con tu hijo para encontrar las mejores soluciones a cualquier problema dental que pueda surgir.
A continuación, una tabla resumen de las causas y soluciones:
| Causa | Solución |
|---|---|
| Retraso en la erupción | Observación y seguimiento |
| Dientes torcidos | Ortodoncia |
| Falta de espacio | Extracciones, mantenedores de espacio |
| Diente de leche no se cae | Extracción del diente de leche |
| Anomalías en la mandíbula | Cirugía ortognática |
| Diente impactado | Cirugía oral de exposición y tracción |
| Agenesia dental | Implantes, prótesis dental |
Es fundamental consultar con un profesional si tienes alguna pregunta o si deseas programar una cita para un tratamiento de ortodoncia en Ferrol o de cualquier otro tipo.