Además de las lesiones cariosas, nuestros dientes están sujetos a otra gran amenaza que no debe subestimarse si queremos gozar de unos dientes sanos: el desgaste dental. El desgaste dental supone la pérdida irreversible de tejidos duros en la superficie externa del diente y engloba diferentes lesiones que pueden acabar arruinando nuestra dentadura. Habitualmente se atribuía esta pérdida a la abrasión y erosión causadas por el cepillado, pero actualmente se tienen en cuenta otros factores como las fuerzas oclusales. La Dra. Carmen Álvarez junto con su colaboradora, Carmen Grille, describen minuciosamente estas lesiones en una extensa revisión de la literatura sobre el tema.
El desgaste dental es la pérdida del esmalte, la estructura más externa de los dientes. No todos los desgastes dentales son del mismo grado y consideración. Es importante distinguir el tipo de desgaste que puede sufrir un diente, ya que el tratamiento variará en función del origen.
Hoy en día la población tiene menos caries que hace años, por lo que se pierden menos dientes por este motivo. Actualmente es la enfermedad periodontal (piorrea) una de las principales causas de la pérdida de dientes, aunque no la única. El desgaste de los dientes también puede provocar su caída.
Cómo Prevenir y Tratar el Desgaste Dental 💡
Tipos de Desgaste Dental
La mayoría de estas lesiones pero tienen particularidades que las diferencian. Existen diferentes tipos de desgaste dental, entre ellos:
- Abrasión: Es una pérdida de estructura dental debida al contacto de los dientes con elementos abrasivos, como puede ser por el uso de un cepillo dental demasiado duro o por una técnica demasiado agresiva.
- Abfracción: Es una pérdida de estructura dental, normalmente debida a un traumatismo continuado sobre los dientes provocado por una excesiva fuerza sobre ellos a causa de una mala mordida.
- Atrición: Es un desgaste de las superficies dentales debido a un contacto entre ellas.
- Erosión: Es la destrucción de la superficie dental causada por elementos externos, normalmente químicos y/o ácidos, como los que contienen las bebidas carbonatadas.
Además de estos, también existen las reabsorciones dentales o radiculares, que son defectos en un diente que pueden afectar al esmalte, dentina, cemento y pulpa. Estos defectos suelen estar causados, normalmente, por traumatismos, tratamiento ortodóncicos, quistes, dientes impactados, enfermedades sistémicas, idiopáticas o genéticas.

Abrasión Dental
La abrasión dental es la pérdida progresiva del esmalte dental. La abrasión dental es una de las principales causas de desgaste dental que afecta a millones de personas, pero muchas no se dan cuenta hasta que experimentan sensibilidad severa o problemas estéticos.
Se da a causa del (propias de ambientes laborales donde se trabaja con sílice, cemento...), la (costureras, músicos...) o un junto con el uso de cepillos demasiado rígidos o dentífricos abrasivos. La apariencia inicial es la de un pequeño surco que en estado avanzado adquiere forma de cuña con paredes limpias, pulidas y brillantes de una coloración amarillo-marrón.
La presencia de abrasión dental en una zona u otra dependerá de dónde repercute con mayor incidencia dicho agente abrasivo. Normalmente, los diestros tienen mayor probabilidad de padecer problemas de abrasión dental en la zona izquierda, ya que es donde más fuerza ejercen en el cepillado.
¿Acostumbras a abrir botellas con los dientes o quitar los restos de comida con un palillo? Sin querer, puedes estar dañando el esmalte y provocando abrasión dental. Conoce más acerca de este problema, cuáles son sus causas y consecuencias. La abrasión dental es el desgaste del esmalte provocado por la acción de objetos sobre los dientes. Puede ser, incluso, el propio cepillo dental si tiene cerdas duras o se ejerce mucha fuerza durante el cepillado.
Todos los dientes pueden sufrir abrasión dental, aunque es más frecuente que aparezca en los premolares y caninos.
Síntomas de la Abrasión Dental
Hay varias señales que indican que sufres de abrasión dental por cepillado o alguna otra causa. Los síntomas de abrasión dental son los siguientes:
- Erosión del esmalte y la dentina que puede ser visibles con surcos o ranuras en la superficie de los dientes.
- La retracción de las encías es uno de los síntomas de la abrasión. Esta se produce cuando el cepillado es muy agresivo.
- Sensibilidad dental al comer o beber, es uno de los síntomas más comunes de abrasión dental.
- La decoloración de los dientes es otra señal que indica desgaste de los dientes. O las piezas dentales se pueden ver amarillentas o marrones cuando se expone la dentina.
- Pueden aparecer fisuras o grietas en los dientes.
Causas de la Abrasión Dental
Por lo general se relaciona el desgaste por abrasión con un cepillado agresivo. En efecto, esta es una de las causas más comunes. Como mencionamos antes, puede ocurrir por el uso de un cepillo inadecuado, con cerdas duras, ya que estas rayan la superficie del diente. También ocurre si la fuerza que se aplica al cepillarse es excesiva.
Asimismo, hay pastas dentales que son abrasivas. En general, aquellas que son blanqueadoras pueden tener este efecto. Los kits de blanqueo que se consiguen en el mercado, junto al empleo de estos dentífricos también provocan abrasión.
Hay otras acciones que algunas personas hacen a diario y que están provocando el desgaste de sus dientes. Una manera de saber qué causa la abrasión es entender qué los objetos externos son los que la provocan. En ese sentido, limpiar entre los dientes con un palillo o sostener objetos con los dientes, son otras de las causas principales de la abrasión.
Quienes acostumbran a abrir objetos como botellas con la boca también son más propensos a sufrir de este problema. De igual manera, la interacción de objetos con los dientes puede provocar abrasión. Es lo que ocurre, por ejemplo, con los piercings en la boca o retenedores mal encajados.
Tratamientos para la Abrasión Dental
Si sufres este problema es conveniente aplicar el tratamiento lo antes posible para evitar que avance y el daño sea mayor. Antes que nada, hay que identificar cuál es la causa del daño y corregirla. De lo contrario, las medidas que se apliquen no serán efectivas.
Una vez que el odontólogo ha identificado la causa y comienza a aplicar el tratamiento, se busca reducir los síntomas como la sensibilidad dental. Además, trata de detener el avance para evitar que dañe el nervio o provoque la caída del diente.
El tratamiento que se aplica dependerá de dónde se localiza el daño. El dentista será quien te dirá cuál es el mejor tratamiento a aplicar luego de evaluar el estado de tus dientes.

Restauraciones con Materiales Compuestos
Las resinas dentales servirán para reconstruir el esmalte si el daño está en la superficie oclusal del diente. Para ello también se pueden usar coronas dentales. También se utilizan carillas estéticas cuando hay un daño visible en el borde incisal. Y si la abrasión ha provocado la retracción de las encías, se puede hacer un injerto para recuperar la apariencia.
Terapias para la Sensibilidad Dental
En el caso de la sensibilidad dental, el odontólogo recomendará uso de pastas especializadas y pueden aplicar agentes desensibilizantes directamente en los dientes.
Modificación de Hábitos
Es necesario hacer énfasis en que el paciente debe eliminar las causas que originan la abrasión. Si ocurre por cepillado, entonces debe mejorar la técnica, lo cual significa no aplicar tanta fuerza, utilizar los implementos apropiados y no extender el cepillado por más de dos o tres minutos. Se recomienda el uso de pastas dentales con baja abrasividad y evitar enjuagues bucales ácidos.
Asimismo, se deben corregir hábitos como morderse las uñas, rechinar los dientes, entre otros.
Consecuencias de la Abrasión Dental
Las consecuencias de la abrasión dental son diversas y pueden afectar la estética y la salud bucal:
- Sensibilidad dental: La abrasión dental va desgastando la superficie del diente, la primera capa que afecta es el esmalte, a la que le sigue la dentina, esta puede quedar expuesta. Como la dentina tiene terminaciones nerviosas, sentirás dolor o molestias al comer o tomar cosas frías, calientes, dulces o ácidas.
- Riesgo incrementado de caries: El esmalte es la barrera protectora de los dientes contra bacterias, que son los causantes de las caries. Cuando hay abrasión se desgasta el esmalte y aumenta la susceptibilidad a las caries. Al desgastarse el esmalte, el diente pierde su capa protectora, pasa a la dentina y es capaz de afectar el cemento, que es lo que mantiene la pieza fija en el hueso. Por tanto, si no se trata a tiempo, puede derivar en la pérdida del diente.
- Problemas estéticos y funcionales: La apariencia de los dientes puede cambiar debido a la abrasión dental, estos se verán amarillentos o marrones porque la dentina queda expuesta. Podrás tener una apariencia desigual o irregular en los dientes, lo que afecta la confianza de la persona para sonreír, incluso hablar en público.
¿Cómo Evitar la Abrasión Dental?
La prevención de la abrasión dental comienza por tener una técnica de cepillado adecuada. Al ser esta la causa principal de la abrasión, es fundamental aplicar la técnica correcta desde pequeños. Si tienes dudas sobre cómo cepillarte los dientes o cuáles son los mejores implementos a utilizar, consúltalo con tu dentista de confianza.
Evita usar la boca para abrir botellas y no ejerzas mucha fuerza durante el cepillado. Tampoco utilices palillos de madera para retirar comida de los dientes. Sustitúyelos por cepillos interdentales.
Cuando la abrasión es producida por el roce entre los dientes, bruxismo, el dentista recomendará usar una férula de descarga. Lo que hace este aparato es reducir la fuerza que ejerce la persona al morder.
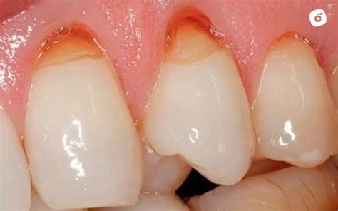
Abfracción Dental
La abfracción dental es un problema que afecta la estructura de los dientes y puede comprometer tanto su apariencia como su funcionalidad. Este fenómeno suele pasar desapercibido en sus primeras etapas, pero con el tiempo puede causar molestias significativas e incluso aumentar el riesgo de otros problemas bucales.
Una abfracción dental es una pérdida en las estructuras duras del diente que se produce poco a poco por fuerzas de carga biomecánica. Se diferencian de las caries en que no forman cavidades. Es una lesión relativamente frecuente y se puede producir por múltiples motivos.
En este caso, la se debe a fuerzas biomecánicas como la masticación. La fuerza ejercida tiene un componente vertical y otro horizontal que generan tensión y compresión. Mientras que durante la compresión la estructura del esmalte es fuerte, en las áreas de tensión resulta vulnerable, pudiendo inducir microfracturas que a largo plazo resulten en una pérdida del esmalte, dentina y cemento. Este tipo de lesiones de superficie áspera son profundas y estrechas, con bordes muy afilados y un ángulo cavosuperficial muy marcado.
La abfracción dental es una lesión que afecta el esmalte dental, específicamente en el cuello del diente, justo donde la corona se encuentra con la raíz. Se caracteriza por la pérdida de tejido dental duro, creando pequeñas hendiduras o muescas en esa zona. A diferencia de las caries blancas y negras, estas lesiones no están relacionadas con bacterias, sino con fuerzas mecánicas que desgastan el diente.
Aunque la abfracción puede parecer un problema menor, puede aumentar la sensibilidad dental, facilitar la acumulación de placa y predisponer al diente a otros daños, como fracturas o desgaste más severo.

Causas de la Abfracción Dental
La abfracción dental no ocurre de forma espontánea. Está asociada a fuerzas biomecánicas que afectan la estructura del diente y hay muchos factores que pueden acelerar la aparición de este tipo de desgaste dental.
Las abfracciones dentales se producen por sobrecarga oclusal (bruxismo y contactos prematuros). El bruxismo que se trata de un hábito parafuncional que suele producirse por las noches puede ser potenciado con el estrés.
Sin embargo, existen tres tipos de fenómenos que explican por qué se da el desgaste dental, siendo estos la erosión, atrición y abrasión.
- Atrición por masticación incorrecta y bruxismo: La atrición es la perdida que puede presentarse en la superficie de las piezas dentales, tanto por el rechinamiento de dientes opuestos como por una mala o excesiva masticación. En otros de los casos, esta también puede presentarse en personas con dietas altas en fibrosa, o que padecen de bruxismo (el hábito involuntario de apretar y rechinar los dientes), ya que genera una presión excesiva sobre los dientes. Esta presión puede debilitar el esmalte en el cuello del diente, provocando las típicas lesiones por abfracción. La fuerza constante del rechinamiento genera tensiones en los puntos de contacto de los dientes. Estas tensiones se trasladan a la base del diente, debilitando su estructura. Con el tiempo, el esmalte cede, formando las hendiduras características.
- Erosión por mala oclusión dental y dieta inadecuada: Cuando los dientes no están alineados correctamente, ciertas zonas soportan una presión mayor de lo habitual al masticar. Este desequilibrio puede contribuir al desgaste localizado en el cuello de los dientes. La erosión también suele presentarse debido a un consumo en exceso de las bebidas carbonatadas y zumos de frutas que contienen ácidos. Por otro lado, también es común ver la presencia de la erosión dental en personas con trastornos alimenticios, ya que normalmente crean reflujo.
- Abrasión por el uso inadecuado del cepillo de dientes: Cepillar los dientes con demasiada fuerza o utilizar un cepillo con cerdas duras puede desgastar progresivamente el esmalte dental, especialmente en la zona del cuello. Por esto, es fundamental saber lavarse los dientes bien y sin ejercer malas prácticas de higiene bucal, como abusar de enjuagues bucales o de pastas de dientes abrasivas, como las que se usan en los blanqueamientos dentales caseros.
Síntomas de la Abfracción Dental
Puede ser difícil de detectar en sus primeras etapas, pero los síntomas más comunes son los siguientes:
- Sensibilidad en los dientes: Dolor o incomodidad al consumir alimentos o bebidas frías, calientes o dulces.
- Muescas visibles: Pequeñas hendiduras en el cuello del diente.
- Desgaste desigual: Pérdida de esmalte en una zona específica sin signos de caries.
- Molestias al cepillarse: Sensación de dolor o incomodidad al pasar el cepillo de dientes por la zona afectada.
Tratamiento para las Abfracciones Dentales
El tratamiento de una abfracción depende del grado de severidad de la lesión y de las molestias que cause. Los dentistas solemos recomendar las siguientes soluciones en función de las necesidades y presupuesto de cada paciente:
Reconstrucción Dental con Resinas Compuestas o Carillas
Este procedimiento consiste en rellenar las muescas con un material compuesto que restaura la forma y función del diente. Además, mejora la estética, devolviendo un aspecto natural al diente afectado. La reconstrucción con resinas compuestas no solo protege el diente contra el daño adicional, sino que también elimina la sensibilidad causada por la exposición de la dentina, mejorando significativamente la calidad de vida del paciente.
Otra opción es poner carillas dentales. Es un poco más costoso que rellenar con resina, pero el resultado estético es mucho más natural, e incluso se puede mejorar la tonalidad de los dientes sin tener que realizar un blanqueamiento dental.
Uso de Férulas o Protectores Dentales
Si el bruxismo es la causa principal, una férula nocturna puede ayudar a reducir la presión sobre los dientes, protegiéndolos de más daño. Esta férula es similar a una ortodoncia invisible pero un poco más ancha para evitar el rechinamiento de los dientes. Son dispositivos personalizados que se colocan antes de dormir y actúan como una barrera que distribuye la presión de manera uniforme, evitando que los dientes se desgasten aún más. Además, las férulas pueden aliviar otros síntomas asociados con el bruxismo, como dolores de mandíbula y cefaleas matutinas.
Si la abfracción todavía es muy leve, usar la férula puede ser ya suficiente, y si no hay que complementar este tratamiento con un relleno de resina en la zona afectada.
Corrección de la Oclusión Dental
En muchos casos, la abfracción dental se debe a una mala alineación de los dientes, lo que provoca un desequilibrio en las fuerzas que se ejercen al masticar. Este problema, conocido como maloclusión, debe ser tratado mediante una ortodoncia para evitar que continúe afectando la estructura de los dientes.
¿Cómo se Previene la Abfracción Dental?
Al igual que en cualquier enfermedad dental, el cuidado de la higiene dental es primordial y crucial para la prevención de estas. También, mantener una dieta saludable y equilibrada en la cotidianidad puede resultar de gran ayuda. Además de lo anterior, algunos otros consejos que puedes tener presentes para prevenir el desgaste de los dientes, son los siguientes:
- No cepillarse inmediatamente después de comer alimentos ácidos, por lo que el mismo acido debilita el esmalte, y al hacer el cepillado puede lastimarlo.
- Es recomendable utilizar pasta de dientes no tan fuertes, por lo que esto hace que la dentadura sea propensa a desgastarse.
- Tratar de reducir o eliminar bebidas carbonatadas o jugos con altos nivel de ácidos y/o químicos.
- No usar los dientes como herramientas (por ejemplo, evitar usarlos para abrir botellas, sostener objetos, cortar cintas, entre otras cosas).
- Acudir con regularidad al odontólogo para una limpieza dental profesional y revisión general.
- Estudiar cómo hacer un correcto cepillado, el uso del hilo dental, y qué tipo de pasta dental y enjuague bucal comprar.
Por último, es importante cuidar de la mejor manera la dentadura, especialmente si quieres lograr mantener tus dientes naturales hasta edades avanzadas. Lo mejor de todo, es que en la actualidad existen una gran variedad de herramientas, ideales para hacer un cuidado adecuado de la higiene bucal. Además de tener a tu alcance, la posibilidad de investigar sobre la forma de prevenir cualquier tipo de enfermedad dental que se pueda presentar.
Tabla Comparativa de Desgastes Dentales
| Tipo de Desgaste | Causa Principal | Apariencia | Tratamiento |
|---|---|---|---|
| Abrasión | Contacto con objetos abrasivos (cepillo, palillos) | Surcos, ranuras, o forma de V | Corrección de hábitos, restauraciones con resina |
| Abfracción | Fuerzas biomecánicas (bruxismo, maloclusión) | Muescas en el cuello del diente | Férulas, corrección de oclusión, restauraciones |
| Atrición | Contacto diente con diente (bruxismo) | Superficies lisas y pulidas | Férulas, ajuste oclusal |
| Erosión | Ácidos (dieta, reflujo) | Superficies mate y lisas, cavidades redondeadas | Modificación de dieta, tratamiento de reflujo, flúor |
tags: #abrasion #y #abfraccion #dental