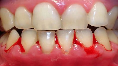
El sangrado de encías es uno de los problemas bucales más comunes y suele ser un signo temprano de gingivitis, una forma leve de enfermedad periodontal. A pesar de su prevalencia, muchas personas recurren a remedios caseros en lugar de buscar tratamiento profesional.

Si bien algunos de estos remedios pueden parecer inofensivos, es importante analizar su efectividad y si realmente ayudan a combatir la causa subyacente del problema.
¿Alguna vez has considerado la simplicidad y eficacia de los remedios naturales para el cuidado de tu salud dental? ¿Sabías que algo tan accesible como el enjuague agua con sal podría tener un impacto significativo en tu higiene bucal diaria?
El Enjuague Agua con Sal: Un Remedio Ancestral
El enjuague agua con sal ha sido un componente esencial en la higiene bucal y la medicina tradicional durante siglos, trascendiendo culturas y generaciones. Este remedio casero, reconocido por su simplicidad y accesibilidad, encuentra sus raíces en prácticas antiguas donde la sal era valorada no solo como un condimento sino también por sus propiedades curativas.
Las civilizaciones antiguas, incluidos los egipcios, griegos y romanos, utilizaban soluciones salinas para limpiar heridas y reducir infecciones, incluyendo aquellas en la boca y garganta. Este uso tradicional del enjuague agua con sal como método para promover la curación y prevenir enfermedades bucales ha perdurado hasta nuestros días, demostrando su eficacia y relevancia a través del tiempo.

Beneficios Científicos del Enjuague con Agua Salada
Desde un punto de vista científico, el enjuague agua con sal ofrece múltiples beneficios para la salud bucal gracias a las propiedades antisépticas y curativas de la sal. Cuando se disuelve en agua, la sal crea un ambiente hipertónico que puede ayudar a desinflamar las encías y acelerar la curación de heridas bucales.
Este efecto se debe a que la solución salina puede extraer el agua de las células bacterianas por ósmosis, reduciendo así su capacidad para reproducirse y causar infecciones. Además, el enjuague con agua salada ayuda a neutralizar el pH de la boca, creando un ambiente menos propicio para las bacterias que causan caries y enfermedades de las encías. Estos mecanismos subyacentes explican cómo un remedio tan simple como el enjuague agua con sal puede ser efectivo para mantener una boca limpia y saludable.
A lo largo de los años, la ciencia ha corroborado lo que la sabiduría popular ha conocido durante siglos: que el enjuague agua con sal es un complemento valioso para la rutina de higiene bucal. Estudios modernos han explorado su capacidad para aliviar el dolor de garganta, reducir el riesgo de infecciones bucales y promover la salud de las encías, proporcionando una base sólida para su uso continuado.
En la era actual, donde los productos de cuidado bucal están saturados de químicos y aditivos, el enjuague con agua salada destaca como una alternativa natural, efectiva y sin efectos secundarios, reafirmando la importancia de este método ancestral en la promoción de la salud bucal y general. Este enfoque holístico hacia el cuidado bucal no solo preserva la salud dental sino que también refleja un compromiso con prácticas de cuidado personal más naturales y sostenibles.
Comparación con los Enjuagues Bucales Comerciales
La comparación entre el enjuague agua con sal y los enjuagues bucales comerciales revela un conjunto de ventajas y limitaciones inherentes a cada opción, permitiendo a los usuarios tomar decisiones informadas basadas en sus necesidades específicas de salud bucal. Una ventaja significativa del enjuague agua con sal es su naturalidad y simplicidad, libre de los colorantes, conservantes y alcohol que suelen contener los productos comerciales.
Estos aditivos, presentes en muchos enjuagues bucales disponibles en el mercado, pueden causar irritación y sequedad en la boca para algunas personas, especialmente aquellas con sensibilidad oral o condiciones específicas como el síndrome de boca seca. Además, el enjuague con agua salada es económico y fácil de preparar, ofreciendo una solución accesible y de bajo costo para el cuidado diario de la salud bucal.
Sin embargo, el enjuague agua con sal también presenta limitaciones en comparación con algunos enjuagues bucales comerciales, especialmente aquellos formulados para tratar condiciones específicas. Por ejemplo, los enjuagues que contienen flúor son eficaces en la prevención de la caries dental, algo que el agua salada no puede ofrecer.
Del mismo modo, algunos productos están diseñados para combatir específicamente el mal aliento con ingredientes que neutralizan los compuestos de azufre volátiles. Mientras el enjuague agua con sal puede ayudar a reducir la carga bacteriana general en la boca, puede no ser tan efectivo en la eliminación de olores específicos como lo son algunos enjuagues comerciales formulados para este propósito.
Elegir entre el enjuague agua con sal y los enjuagues bucales comerciales depende en gran medida de las necesidades individuales, las condiciones de salud bucal y las preferencias personales. El agua salada es una excelente opción para aquellos que buscan una alternativa natural y suave para el cuidado diario de la boca, especialmente para aliviar la irritación y la inflamación de las encías. Sin embargo, en casos donde se requiere una acción específica, como la remineralización de los dientes o el combate contra el mal aliento crónico, un enjuague bucal comercial especializado podría ser más adecuado. Consultar con un profesional dental puede proporcionar orientación personalizada, asegurando que se elija el enjuague más adecuado para promover una óptima salud bucal y general.
Instrucciones para Preparar un Enjuague Bucal de Agua Salada Efectivo
Preparar un enjuague agua con sal efectivo es sencillo y solo requiere dos ingredientes básicos: agua y sal. La proporción recomendada para crear una solución salina efectiva sin ser demasiado fuerte es mezclar aproximadamente media cucharadita de sal en una taza de agua tibia. La temperatura del agua es importante; debe ser lo suficientemente cálida para disolver la sal, pero no tan caliente como para causar incomodidad en la boca.
El uso de agua tibia también ayuda a que el enjuague sea más agradable y puede fomentar una mejor circulación en los tejidos de la boca, lo que potencialmente ayuda en el proceso de curación. La sal debe ser completamente disuelta en el agua antes de usar, asegurando que la solución sea homogénea y efectiva.
La frecuencia y duración del enjuague agua con sal son clave para maximizar sus beneficios. Generalmente, se recomienda usar el enjuague de dos a tres veces al día, especialmente después de las comidas y antes de dormir. Esto ayuda a eliminar los restos de comida y bacterias, reduciendo el riesgo de caries y enfermedades de las encías. En cuanto a la duración, hacer gárgaras o mantener el enjuague en la boca durante al menos 30 segundos a un minuto permite que la solución salina entre en contacto suficiente con todas las áreas de la boca. Sin embargo, es importante no exceder este uso ni reemplazar completamente el enjuague bucal tradicional o el cepillado, sino más bien complementarlos.

Para obtener los máximos beneficios del enjuague agua con sal, la consistencia y la integración en una rutina diaria de higiene bucal son esenciales. Junto con el cepillado regular y el uso de hilo dental, el enjuague salino puede ser una herramienta adicional valiosa en el arsenal de cuidado bucal. Es importante recordar que, aunque el enjuague con agua salada tiene muchas ventajas, no sustituye la atención dental profesional. En caso de problemas persistentes o graves de salud bucal, como dolor intenso, infección o inflamación que no mejora, se debe buscar la evaluación y el tratamiento de un dentista. El enjuague agua con sal es un método de apoyo que, cuando se usa correctamente, puede mejorar significativamente la salud bucal y contribuir a una sensación general de bienestar.
Precauciones y Consideraciones al Usar Agua con Sal
Aunque el enjuague agua con sal es ampliamente reconocido por sus beneficios en la higiene bucal, hay situaciones específicas en las que su uso podría no ser recomendable o debería realizarse con precaución. Por ejemplo, personas con heridas abiertas significativas en la boca, como aquellas recientemente sometidas a cirugías bucales, pueden encontrar que la solución salina resulta irritante para los tejidos sensibles o en proceso de cicatrización. Además, aquellos con hipertensión o enfermedades que requieren una restricción de sodio deben consultar a su médico antes de incorporar el enjuague agua con sal regularmente en su rutina, dado que la absorción de sal a través de la mucosa oral podría tener implicaciones en su salud general.
Para evitar el exceso de sal y sus posibles efectos adversos, es crucial adherirse a las proporciones recomendadas al preparar el enjuague agua con sal. Usar demasiada sal no solo puede resultar contraproducente, aumentando la irritación y el desequilibrio osmótico en los tejidos bucales, sino que también puede llevar a una experiencia desagradable, desalentando su uso continuado. Mantener una concentración balanceada de sal en el agua es fundamental para asegurar que el enjuague sea efectivo sin causar efectos secundarios no deseados.
La moderación es clave, y seguir las instrucciones de preparación puede ayudar a maximizar los beneficios del enjuague mientras se minimizan los riesgos. Es importante recordar que, aunque el enjuague agua con sal es un complemento útil para la higiene bucal, no sustituye las recomendaciones y tratamientos proporcionados por los profesionales dentales. En caso de afecciones bucales persistentes o severas, es imprescindible buscar la evaluación y el consejo de un dentista. Ellos podrán proporcionar orientación personalizada basada en las necesidades específicas de cada paciente, asegurando que el uso del enjuague con agua salada sea seguro y beneficioso. La comunicación abierta con el equipo de atención dental permite una comprensión más completa de las precauciones y consideraciones necesarias para integrar de manera efectiva el enjuague agua con sal en un régimen de cuidado bucal saludable.
Desmintiendo Mitos sobre Remedios Caseros para el Sangrado de Encías
Desmontar los mitos sobre los remedios caseros para el sangrado de encías es crucial para evitar que las personas retrasen un tratamiento profesional que puede solucionar el problema de raíz. Si bien algunos remedios naturales pueden ser útiles como complemento temporal, nada reemplaza una buena higiene bucal y la consulta con un profesional.
Algunos de estos remedios caseros pueden ser:
- Enjuagues de agua tibia con sal: Aunque se cree que la sal tiene propiedades antisépticas, enjuagar con agua salada puede irritar las encías inflamadas y no aborda la causa subyacente del sangrado.
- Usar bicarbonato de sodio: A menudo se utiliza como una pasta de dientes casera. El bicarbonato de sodio puede neutralizar los ácidos en la boca, pero su abrasividad puede dañar el esmalte dental y las encías si se usa incorrectamente.
- Tomar jengibre: Aunque se conoce por sus propiedades antiinflamatorias, consumirlo para tratar el sangrado no tiene un efecto directo y comprobado en la salud gingival.
- Enjuagar las encías con menta: La menta puede proporcionar un alivio temporal por su sensación refrescante, pero no tiene un efecto curativo real en las encías sangrantes o inflamadas.
- Aplicar aloe vera: Y, aunque es conocido por sus propiedades calmantes y cicatrizantes, aplicarlo directamente en las encías no es un tratamiento validado.
Los alimentos ricos en vitamina C incluyen: frutas y jugos cítricos, brócoli, fresas, tomates, papas, pimientos. Es muy recomendable si te sangran las encías que sigas una dieta que contenga estas vitaminas.
Cómo Evitar el Sangrado de Encías y Qué Hacer
Es clave ignorar remedios caseros no avalados y acudir a soluciones realmente efectivas e indicadas por los profesionales de la odontología.
- Cuidar la higiene dental: Una buena higiene en la que se incluya cepillado correcto, uso de cepillo interdental e hilo dental, es más que efectivo para prevenir y eliminar la placa interdental causante de este problema. Eso sí, no podemos olvidarnos de complementar este hábito con revisiones y limpiezas profesionales y recurrentes. Igualmente, debemos contemplar cualquier tratamiento prescrito por el odontólogo.
- Realizar limpiezas profesionales periódicas: Periódicamente, es fundamental acudir a la clínica para una revisión y/o limpieza profesional que garantice haber eliminado la placa que con el cepillo persiste. Los profesionales conocen técnicas y disponen de equipos especializados que les permiten eliminar la placa en su totalidad. Además, en casos en los que sea necesario, es posible aplicar un curetaje o raspado dental.
- Cambiar hábitos y estilo de vida: Es crucial eliminar hábitos que promueven la acumulación de placa en las encías. Hablamos del tabaco, el alcohol o el consumo de azúcar: En el caso del tabaco, fumar da lugar a una falta de oxígeno en la sangre. Por lo tanto, ante una infección de encías, es muy difícil que se curen. Por otro lado, seguir una dieta rica en frutas, verduras y vitaminas es clave para prevenir cualquier enfermedad.

Si tienes sangrado de encías visita a tu dentista para una limpieza profesional dos veces al año. Realiza enjuagues bucales de agua tibia con sal ya que ayuda a aliviar inflamación de las encías que sangran fácilmente.
El sangrado ocasional de las encías puede ser el resultado de una mala técnica de cepillado por lo que no debes cepillarte los dientes con demasiada fuerza. Usa un cepillo de dientes suave, cerdas medianas y duras pueden ser demasiado abrasivo para unas encías delicadas.
La enfermedad periodontal es la infección de las encías, huesos maxilares y de los tejidos que sirven de apoyo para conectar los dientes con las encías.
Trastornos de coagulación pueden provocar que las encías sangren.
Si experimentas sangrado de encías de manera persistente, es crucial que consultes a un dentista, ya que podría ser un signo temprano de enfermedad periodontal.
Conclusión
La exploración del enjuague agua con sal y sus beneficios para la salud dental no es solo una revisión de un remedio casero ancestral; es una invitación a redescubrir y revalorizar las prácticas simples pero efectivas para el cuidado bucal. Esta práctica, arraigada en la historia y respaldada por la ciencia moderna, subraya la importancia de volver a lo básico en un mundo saturado de soluciones complicadas y a menudo costosas para la salud.
Al integrar el enjuague agua con sal en nuestra rutina diaria, no solo contribuimos a nuestra salud bucal sino que también adoptamos un enfoque preventivo, reduciendo potencialmente la necesidad de intervenciones dentales más invasivas. El mensaje central de este artículo va más allá del simple acto de enjuagarse la boca con una solución salina; es un recordatorio de que la prevención y el cuidado regular son fundamentales para mantener una buena salud dental y general. La simplicidad del enjuague agua con sal ofrece un poderoso testimonio de cómo pequeñas acciones pueden tener un impacto profundo en nuestra bienestar. Alentando a los lectores a adoptar esta práctica, el artículo busca motivar una reflexión más profunda sobre nuestras elecciones de salud bucal y cómo estas elecciones se alinean con un estilo de vida saludable y sostenible.
Enjuague Bucal Casero | Recomendado por Dentista | Olvida el Agua Oxigenada y la Clorhexidina
tags: #agua #con #sal #gingivitis