¿Sabías que algunos materiales utilizados en odontología pueden desencadenar reacciones alérgicas en ciertos pacientes? Aunque es poco común, es fundamental estar informado sobre este tema para garantizar tratamientos dentales seguros y efectivos. En odontología, la elección de los materiales es un aspecto esencial para garantizar no solo la eficacia del tratamiento, sino también la seguridad del paciente. A medida que crece la preocupación por las alergias a materiales dentales, también aumenta la innovación. La seguridad del paciente es siempre la prioridad.
Una alergia a materiales dentales es una reacción del sistema inmunológico a determinadas sustancias utilizadas en tratamientos odontológicos. Las alergias a materiales dentales son poco comunes, pero pueden tener consecuencias significativas si no se identifican a tiempo. La frecuencia de estas reacciones es baja, se estima que menos del 1% de los pacientes desarrollan alergias diagnosticadas a materiales utilizados en odontología.
Las alergias dentales no siempre son fáciles de identificar, y en ocasiones pueden confundirse con otras reacciones locales. Por eso, conocer los materiales más comúnmente implicados, los síntomas y las opciones de prevención es clave para evitar complicaciones.
El herpes labial: qué es, causas y tratamiento
¿Qué son las Alergias a Materiales Dentales?
Las alergias a materiales dentales son reacciones adversas del sistema inmunológico cuando entra en contacto con ciertos componentes utilizados en procedimientos odontológicos.
Productos que pueden producir alergias dentales
Diversos materiales empleados en odontología pueden ser potencialmente alergénicos. Algunos de los más comunes incluyen:
- Níquel: Frecuentemente utilizado en aleaciones para coronas y aparatos de ortodoncia. Presente en muchas aleaciones metálicas utilizadas en ortodoncia (brackets, arcos), prótesis o coronas. Sin embargo, cuando estos son de acero inoxidable, la presencia de este compuesto no suele afectar a los alérgicos.
- Mercurio: Componente principal de las amalgamas dentales. Componente del antiguo empaste de amalgama, hoy en desuso en muchas clínicas por precaución.
- Látex: Presente en guantes, diques de goma y otros instrumentos dentales. Algunos de los utensilios que se usan normalmente pueden contener látex, tales como los guantes, las mascarillas o las jeringuillas inyectables. Este caucho natural, en odontología, se utiliza en elementos como guantes, máscaras, tazas de profilaxis y diques de goma, entre otros. Esto es debido que pueden contener trazas de polvo que pueden contactar directamente con las mucosas bucales y la piel.
- Materiales de restauración dental: Algunas personas pueden tener reacciones alérgicas a los materiales utilizados en las restauraciones dentales, como las amalgamas de mercurio y las resinas de composite. Las alergias a las amalgamas son bastante raras, pero pueden provocar síntomas como erupciones cutáneas y picazón.
- Materiales de prótesis dentales: Algunas personas pueden tener reacciones alérgicas a los materiales utilizados en las prótesis dentales, como el acrílico y el metal. Usados en estructuras metálicas de prótesis removibles. Material común en prótesis dentales y reconstrucciones. Algunas coronas temporales y dentaduras removibles incluyen este componente, sobre el que se aplica un líquido que lo activa y endurece.
- Pasta de dientes y enjuagues bucales: Algunos ingredientes en las pastas dentales y los enjuagues bucales pueden provocar reacciones alérgicas. Un ejemplo común es el lauril sulfato de sodio, que puede causar aftas en algunas personas. Además, algunos productos dentales contienen menta para conferirles un sabor más agradable.
- Anestesia local: Algunas personas pueden tener reacciones alérgicas a los anestésicos locales utilizados en los procedimientos dentales, como la lidocaína. Aunque no es un problema demasiado habitual, es necesario saber identificar los signos y síntomas de alergia a los anestésicos locales cuanto antes y tener claro cómo reaccionar si se produce.
- Otros materiales: Muchos barnices fluorados incluyen pino natural para favorecer su adherencia a los dientes.
Aunque los alérgenos variarán en función de cada paciente, algunos como el mercurio, oro, níquel, flúor o la menta son los que provocan una mayor cantidad de alergias.
Como sucede en cualquier consulta o tratamiento médico, las clínicas dentales trabajan con multitud de sustancias y elementos que pueden llegar a producir reacciones alérgicas. Evidentemente, no siempre se dan todos ellos ni con la misma intensidad.
Síntomas de Alergia a Materiales Dentales
Los síntomas pueden variar en intensidad, pero suelen aparecer en las horas o días posteriores al contacto con el material. Los síntomas pueden manifestarse localmente en la cavidad oral o sistémicamente.
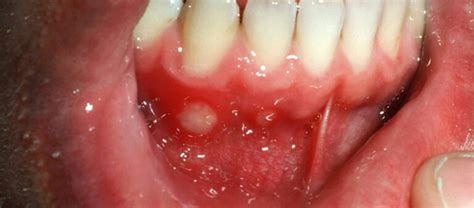
A nivel oral, las alergias a ciertos elementos se conocen como estomatitis de contacto, o con su nombre más científico (estomatitis Veneata). Verlas aparecer en forma de inflamación o de edema, junto a una extraña sensación de picazón, es algo que es muy posible sentir.
Es frecuente que estas reacciones del cuerpo provoquen síntomas en la cavidad oral. El síndrome de alergia oral (SAO) es una reacción que afecta a los labios, la boca y la garganta. Esto sucede porque las proteínas que se encuentran en estos alimentos son similares a las del polen, lo que se conoce como reacción cruzada.
Como hemos comentado anteriormente, los síntomas que evidencian la estomatitis son la aparición de heridas, úlceras o llagas en los labios, encías, lengua y/o mejillas. Por lo general, las heridas están cubiertas con una fina capa amarilla con una base de color rojo, y tardan entre 7 y 14 días en cicatrizar.
Identificar una alergia a materiales dentales puede ser desafiante debido a la similitud de los síntomas con otras afecciones orales.
Otras manifestaciones alérgicas en la boca y la lengua
- El SAO nos lleva a hablar también de las alergias estacionales, ya que como sabes, ambas pueden estar relacionadas. Aunque los síntomas más conocidos de esta enfermedad afectan a la nariz (mucosidad, estornudos, etc.) y los ojos, también pueden provocar sequedad bucal. Es importante mencionar que el uso excesivo de los fármacos que se administran por vía nasal para aliviar la rinitis pueden provocar molestias orales.
- Cada vez hay más personas que sufren una reacción al gluten en mayor o menor medida. Desde una sensibilidad hasta una intolerancia, lo que se conoce también como celiaquía. Los síntomas más frecuentes son de tipo digestivo, como diarrea o dolor abdominal.
- ¿Has oído hablar de la histamina? Esta molécula participa en diferentes funciones del sistema inmunitario, digestivo y nervioso. Esta afección es una pseudoalergia porque tiene los mismos síntomas que las reacciones mencionadas en este artículo: picores, crisis asmáticas, etc.
- Si tienes tendencia a padecer alergias, es importante que conozcas qué es la sinusitis maxilar. Este trastorno se caracteriza por una inflamación de los senos paranasales, que surge a raíz de una infección, una reacción alérgica o algunas afecciones dentales. Los síntomas generales de la sinusitis incluyen dolor y presión en el rostro y la cabeza, congestión, cansancio e incluso fiebre. La sinusitis maxilar, en particular, puede confundirse con un dolor de muelas.
- Por último, no hay que olvidar la posibilidad de que algunos productos específicos para la salud oral puedan causar alergias.
Dada su importancia en el día a día, cada lesión que sufrimos en la boca resulta especialmente molesta, ya que puede afectarnos a la hora de comer, tragar, hablar, cepillarnos los dientes, provocando una gran incomodidad. Y la realidad es que son diferentes las lesiones que podemos padecer en nuestra boca, destacando la estomatitis por encima del resto.
Muchas de las personas que padecen estomatitis coinciden en que llevan dentaduras postizas o sistemas de ortodoncia de brackets, que provocan rozaduras que terminan en heridas si no se tratan de la forma adecuada.
La estomatitis es una enfermedad que puede presentarse en cualquier edad, siendo desde los 10 a los 20 años cuando su aparición es más habitual. Si no se trata a tiempo y de la manera correcta, las úlceras bucales pueden continuar apareciendo durante los años posteriores.

Tratamientos para prevenir las alergias dentales
La mejor estrategia es la prevención. En primer lugar, es esencial que el odontólogo realice una anamnesis detallada. No siempre se puede prevenir una alergia, especialmente si el paciente no ha estado previamente expuesto al material.
Una vez conocida la alergia, el plan de tratamiento debe ajustarse para evitar cualquier exposición al alérgeno. En los casos en los que ya se ha producido una reacción alérgica, el tratamiento dependerá de la gravedad.
Para llevar a cabo el tratamiento más adecuado, lo primero es identificar la causa que ha provocado la aparición de la estomatitis. Pero si la causa se desconoce, el tratamiento debe ir encaminado a aliviar los síntomas.
Para tratar las úlceras provocadas por la estomatitis es fundamental aumentar la ingesta de líquidos (agua) y llevar a cabo una buena higiene bucodental.
Ante cualquier alergia es imprescindible evitar el contacto con el alérgeno que te causa la reacción. Para calmar las molestias en la boca deberías, sobre todo, beber mucha agua a lo largo del día.
Informar a tu médico de posibles alergias
Ser sincero con tu información dada al especialista te puede salvar de padecer infecciones y problemas dentales posteriores. Es fundamental, por ello, que comuniques siempre a tu dentista a qué tienes alergia.
Para disfrutar de una sana y bonita sonrisa, además de tener una salud estupenda bucodental sólo hay que seguir una serie de consejos muy fáciles de entender.
¿Necesitas poner fin a las molestias de la alergia en la boca y en la lengua? En primer lugar, acude a tu clínica dental para recibir un diagnóstico preciso. Los síntomas de la alergia en la boca y en la lengua pueden confundirse con otras afecciones bucodentales y requerir un tratamiento diferente.
Como siempre insistimos, desde Clínica Dental Dr. Montané, tu clínica dental en Terrassa, una buena prevención y un tratamiento efectivo son la mejor de las soluciones. Cabe tener en cuenta que este tipo de alergias se producen por contacto con el material alérgeno. Por lo tanto es recomendable que siempre el personal sanitario haga uso de material profiláctico tal como los guantes y mascarillas.
Un correcto aislamiento de las posibles infecciones se convertirá en la mejor de las prevenciones. Por eso es tan importante, siempre, escoger bien tu consulta dental de confianza.