La anatomía dental es un pilar fundamental en la odontología, esencial para estudiantes, higienistas y asistentes dentales. Este artículo ofrece un resumen basado en el reconocido texto de Woelfel, que describe la anatomía bucal y dental humana, haciendo hincapié en las relaciones entre los dientes, huesos, músculos, nervios y vasos sanguíneos asociados con los dientes y la cara.
El texto va más allá de la mera descripción anatómica, relacionándola directamente con la práctica clínica. Esto proporciona a los lectores una comprensión más profunda de la estructura y función de los dientes, así como de su morfología en el contexto de la odontología moderna.
Parte 1: Anatomía Dental Comparada
Esta sección abarca la terminología básica para comprender la morfología dental, así como la morfología específica de los incisivos, caninos, premolares y molares permanentes. También se aborda la dentición primaria y mixta.
Parte 2: Aplicación de la Anatomía Dental en la Práctica Odontológica
En esta parte, se examina la anatomía periodontal, la aplicación de la raíz y la morfología pulpar en el tratamiento endodóncico, la oclusión funcional y maloclusión, el tratamiento de dientes cariados, rotos y faltantes, las anomalías dentales, la odontología forense y los criterios para delinear, esquematizar y tallar dientes.
Parte 3: Estructuras Anatómicas de la Cavidad Bucal
Finalmente, se estudian las estructuras que forman la base para la función dentaria y el examen bucal, enfocándose en la anatomía normal de la cavidad bucal.
La odontología estética se sitúa en la intersección del arte y la ciencia. La aplicación de principios matemáticos en la clínica odontológica y en el laboratorio protésico debe fusionarse para lograr resultados estéticos agradables.

Es fundamental considerar el carácter individual y el estilo de vida del paciente al diseñar una sonrisa natural. La personalización es clave, especialmente en la zona de los dientes anteriores. En la odontología estética actual, es crucial profundizar en las reglas de la estética para satisfacer las expectativas de los pacientes.
La Anatomía de la Sonrisa
La sonrisa está intrínsecamente ligada a los dientes. Un conocimiento sólido de la forma y anatomía de los dientes es esencial para cualquier tratamiento odontológico. Los dientes actúan como una unidad en la boca, con el tejido blando circundante actuando como su marco. Para evaluar una sonrisa "bonita", es útil observar los contornos interiores y exteriores de las estructuras involucradas.
Al igual que los artistas utilizan un marco con contornos aproximados y puntos de orientación, la odontología estética también debe guiarse por "marcos": los rebordes marginales y las inclinaciones axiales para el diente individual, el margen gingival para la arcada dentaria y los labios para la unión dentogingival. El rostro en sí constituye el marco para la interacción de los dientes naturales o restaurados.
Es crucial distinguir entre estructuras anatómicas "estáticas", como los dientes y la encía, y estructuras "dinámicas", como los labios y la musculatura facial. Además de los puntos de referencia fonéticos, es importante considerar líneas imaginarias como la línea media dental, la línea media facial, la línea labial, la línea de la comisura y la línea interpupilar. La armonía en la sonrisa se logra cuando existe un equilibrio entre estas líneas y estructuras anatómicas, que se puede mejorar mediante modificaciones y efectos ópticos.
La orientación axial de los dientes es un factor determinante en una sonrisa atractiva. Los dientes anteriores deben estar orientados de manera que sus ejes longitudinales discurran continuamente desde la línea media hacia los dientes posteriores. Los incisivos centrales superiores deben estar ligeramente inclinados hacia mesial. Los labios actúan como el marco final de la composición estética.
Normalmente, el eje de los incisivos centrales está ligeramente inclinado hacia distal en dirección apical con respecto a la línea media. La orientación labiolingual ideal de los incisivos centrales es vertical o ligeramente inclinada hacia labial, aunque esto puede variar según el tipo esquelético y el perfil facial.

En los incisivos laterales, la inclinación distal en dirección apical se acentúa a partir de la mitad del diente. La orientación axial mesiodistal y anteroposterior de los incisivos laterales suele ser asimétrica en personas con sonrisas naturalmente atractivas. Los caninos tienden a estar aún más inclinados hacia distal, aunque solo desde la perspectiva facial. Desde el lado, su eje longitudinal presenta una orientación vertical o ligeramente distal en la arcada dentaria.
Al evaluar el recorrido axial de los caninos, es mejor guiarse por los rasgos faciales relevantes. En la mayoría de las personas, el eje del canino discurre en paralelo a la línea imaginaria entre la comisura de la boca y el ángulo del ojo al sonreír, es decir, en paralelo al marco vestibular.
Zonas de Contacto y Puntos de Contacto Interdentales
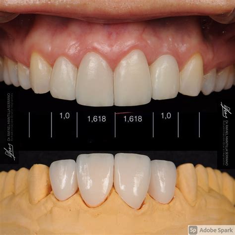
La zona de contacto interdental es el área donde los dientes contiguos parecen tocarse. En el segmento anterior superior, estas zonas se acortan desde los incisivos centrales hacia los caninos, idealmente en la proporción 50:40:30 en relación con la longitud de la corona de los incisivos centrales.
En otras palabras, la zona de contacto entre los incisivos centrales es del 50%; entre los incisivos centrales y laterales, del 40%, y entre los incisivos laterales y los caninos, del 30% de la longitud del incisivo central. En caso de dientes excesivamente largos, puede ser conveniente alargar la zona de contacto para reducir las distancias y hacer que los dientes parezcan más anchos y cortos.
El punto de contacto interdental es el punto de la zona de contacto situado más hacia incisal. Más allá de este punto, los contactos mesiodistales se separan y se convierten en los bordes incisales. En una disposición estética correcta de los dientes anteriores, los puntos de contacto interdentales ascienden claramente hacia la zona de los dientes posteriores. La altura de estos puntos de contacto puede variar debido a la situación y la forma naturalmente asimétricas de los incisivos laterales.
Espacios Interdentales Incisales
Cuando se abre la boca al hablar o sonreír, el espacio negro de la cavidad oral se hace visible entre los bordes incisales de ambas arcadas dentarias. Este contraste con los dientes mejora el aspecto de los espacios interdentales incisales. La interacción entre luz y sombra a lo largo de la arcada dentaria superior es esencial para una sonrisa bonita y natural.
El espacio interdental incisal es más pequeño y anguloso entre los incisivos centrales. La estructura simétrica de estos dos dientes crea un triángulo isósceles con un ángulo vertical apical agudo. El espacio interdental incisal entre el incisivo central y el lateral es mayor y menos agudo. Unos incisivos centrales relativamente simétricos y unos incisivos laterales relativamente asimétricos favorecen el aspecto estético de la sonrisa.
El espacio interdental incisal es más grande entre el incisivo lateral y el canino. En las mujeres, este triángulo tiende a presentar características distintas a las que se observan en los varones: el recorrido del borde incisodistal de los incisivos laterales discurre más redondeado, de modo que el espacio interdental se ensancha hacia el canino.
Estos puntos de contacto y espacios interdentales incisales son importantes para una sonrisa de aspecto juvenil. A medida que los bordes incisales se desgastan con la edad, los puntos de contacto desaparecen progresivamente, lo que puede dar a la sonrisa un aspecto envejecido.
Proporciones Dentales
El principal objetivo de toda rehabilitación de la dentición es crear un estado de los dientes lo más natural posible, en consonancia con las preferencias del paciente. Los incisivos centrales superiores desempeñan un papel crucial en la determinación de la impresión visual del segmento de los dientes anteriores. Las formas desproporcionadas pueden perturbar la armonía facial.
La coherencia es el requisito más importante para la esencia de la composición. Para fortalecer la composición, los elementos dominantes de orden superior se refuerzan con elementos dominantes subordinados. Por ejemplo, en rostros agraciados por una sonrisa bonita, la boca domina sobre los ojos.

Tabla de Sistemas de Numeración Dental
Para facilitar la identificación de los dientes, se han desarrollado varios sistemas de numeración. A continuación, se presenta una tabla comparativa de algunos de los sistemas más comunes:
| Sistema | Descripción | Ejemplo: Incisivo Central Superior Derecho |
|---|---|---|
| Universal | Utiliza números del 1 al 32 para dientes permanentes y letras para dientes temporales. | 8 |
| Internacional (FDI) | Utiliza dos dígitos: el primero indica el cuadrante y el segundo el diente dentro del cuadrante. | 11 |
| Palmer | Utiliza símbolos angulares para indicar el cuadrante y números o letras para el diente dentro del cuadrante. | 1| |
Elementos que conforman un diente | Anatomía dental | OdontologíaConCri
Con esta información, se espera que el lector tenga una comprensión más clara y completa de la anatomía dental y su relevancia en la práctica odontológica.