Las carillas dentales son una solución estética cada vez más popular para corregir imperfecciones y lograr una sonrisa radiante. Estas finas láminas, adheridas a la superficie frontal de los dientes, ofrecen resultados inmediatos y altamente estéticos. En este artículo, exploraremos en detalle el antes y después de las carillas de porcelana, los diferentes tipos disponibles, los casos reales de pacientes y todo lo que necesitas saber para transformar tu sonrisa.

¿Qué son las Carillas Dentales?
Las carillas dentales son unas finas láminas que se adhieren a la superficie frontal (visible) de los dientes con el objetivo de mejorar su apariencia. Estas láminas pueden estar hechas de diferentes materiales, como la porcelana, el composite o el disilicato de litio, y se diseñan a medida de cada paciente.
¿Para qué Sirven las Carillas Dentales?
Las carillas dentales sirven para corregir pequeños defectos que afectan al color, el tamaño, la forma o la posición de los dientes. Entre las imperfecciones que pueden solucionar podemos destacar las siguientes:
- Dientes amarillos o con manchas
- Desgastes en el esmalte
- Diastemas (espacios entre los dientes)
- Leves malposiciones dentales
- Fisuras o fracturas
En cualquiera de los casos anteriores es necesario que el odontólogo realice una valoración del paciente para determinar si las alteraciones de sus dientes pueden ser corregidas con carillas.
¿Cuándo es Recomendable Ponerse Carillas en los Dientes?
A continuación, te detallamos los casos concretos en los que puede resultar recomendable ponerse carillas para mejorar la apariencia de la sonrisa:
- Dientes amarillos o con manchas: Las carillas se pueden utilizar en pacientes que presentan dientes amarillos, decolorados o con manchas. Esto puede deberse a distintas circunstancias (alimentación, tabaco, envejecimiento, fluorosis, consumo de tetraciclinas…).
- Resistencia al blanqueamiento dental: Las carillas son un excelente complemento al blanqueamiento. Cuando las tinciones son muy severas, el blanqueamiento puede no ser capaz de eliminarlas por completo. Por tanto, en muchos casos resulta recomendable ponerse carillas en los dientes después del blanqueamiento.
- Dientes desalineados: Las carillas también pueden ofrecer un buen resultado estético a los pacientes que tienen ligeras malposiciones dentales, ya que en ocasiones permiten disimularlas. Eso sí, hay que tener en cuenta que para corregir la mayoría de las maloclusiones dentales es necesario recurrir a la ortodoncia.
- Dientes con formas o tamaños irregulares: Las carillas se utilizan para corregir pequeños defectos que afectan a la forma de los dientes. Por ejemplo: unos caninos (colmillos) demasiado puntiagudos, un diente más pequeño de lo normal, etc.
- Diastemas: Las carillas también están recomendadas para disimular los diastemas o espacios entre los dientes.
- Dientes desgastados: Las carillas se pueden colocar en dientes que presentan desgastes en el esmalte. Esto puede tener su origen en una mordida inadecuada o en el bruxismo. Sin embargo, en estos casos suele ser necesario utilizar ortodoncia o colocar una férula de descarga previamente, dependiendo del caso. De no hacerlo, los desgastes volverán a aparecer.
- Dientes fisurados o fracturados: Las carillas también pueden estar indicadas en determinados casos de fisuras o fracturas leves en los dientes.
Tipos de Carillas Dentales
Existen diferentes tipos de carillas dentales en función del material y la técnica empleados en su confección. Cada una de ellas tiene sus ventajas, y la elección dependerá del caso concreto y las necesidades del paciente. En las clínicas Smysecret contamos con dos tipos de carillas dentales:
Carillas Mínimamente Invasivas
Estas carillas están fabricadas con disilicato de litio, un material que se caracteriza por su alta calidad, resistencia y naturalidad. El principal beneficio de las carillas de mínima invasión es que su proceso de planificación, diseño y fabricación es guiado y 100% digital.
Este protocolo disminuye el tiempo total de tratamiento, reduce el margen de error humano y permite que el tallado del esmalte sea mínimo (similar al grosor de un cabello). Por tanto, las carillas mínimamente invasivas requieren muy poca o ninguna preparación del diente antes de su colocación. Esto significa que el esmalte dental no se altera significativamente, lo que las convierte en una opción menos agresiva para el diente. Esto contrasta con el protocolo seguido en las tradicionales carillas de porcelana, que requieren un tallado mayor del diente.
Carillas de Composite
Estas carillas están confeccionadas con composite, un tipo de resina que cuenta con tres cualidades: se adhiere al diente, es moldeable y permite imitar una infinidad de tonos.
Las principales ventajas de las carillas de composite son su proceso de colocación sencillo, que no requieren tallar los dientes y su precio. El composite se aplica directamente sobre el diente, normalmente en una única sesión. Son más económicas que las carillas de porcelana o disilicato de litio, pero también suelen durar menos tiempo.
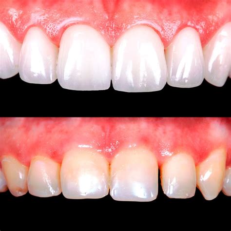
Casos Reales: Antes y Después de Carillas Dentales
A continuación, te presentamos fotografías de casos reales de carillas dentales antes y después realizados en nuestra clínicas. Observa cómo las carillas pueden transformar una sonrisa y aumentar la confianza de los pacientes.

En Dobleese, hemos transformado la sonrisa de numerosos pacientes gracias a las carillas dentales.
Un ejemplo de ello es nuestro paciente de 33 años, quien experimentó un cambio notable en su sonrisa, gracias a este innovador tratamiento. En la imagen inferior, se aprecia el impresionante resultado del tratamiento.
- Los bordes incisales han sido cuidadosamente recuperados, restaurando la forma y el volumen natural de los dientes.
- Además, la anatomía dental ha sido redefinida, logrando un aspecto más armonioso y estético.

En la imagen inferior, se observa una notable recuperación de la anatomía dental. Los dientes han sido restaurados a su forma natural, y el color ha sido mejorado significativamente, logrando un tono más uniforme y brillante.
Ejemplo de Tratamiento Combinado
Después de completar el tratamiento de ortodoncia con Invisalign, damos un paso más hacia la sonrisa perfecta. Este paciente, que originalmente se colocó coronas a los 49 años en otro centro dental, decidió a los 64 años replantearse el cambio de las mismas.
Antes de proceder con el cambio, se llevaron a cabo tratamientos para resolver problemas en las encías, asegurando una base saludable para el nuevo diseño de la sonrisa.
Los materiales actuales ofrecen una estética superior, gracias a su capacidad para reflejar la luz, sus transparencias más realistas y una anatomía dental que imita con mayor precisión la naturaleza de los dientes.
El Proceso de Colocación de Carillas de Porcelana
El proceso de colocación de carillas de porcelana generalmente sigue estos pasos:
- Consulta y Planificación: Se realiza un estudio y diagnóstico personalizado para evaluar la salud bucal del paciente y determinar el diseño ideal de la sonrisa.
- Preparación Dental: Se puede realizar un ligero tallado del esmalte para asegurar la correcta adhesión de las carillas.
- Toma de Impresiones: Se toman medidas precisas de los dientes para crear carillas a medida.
- Diseño y Fabricación: Las carillas se diseñan digitalmente y se fabrican en un laboratorio dental con porcelana de alta calidad.
- Colocación: Las carillas se adhieren cuidadosamente a los dientes con un adhesivo especial, asegurando un ajuste perfecto y una apariencia natural.
Ventajas de las Carillas Dentales
Las principales ventajas de las carillas dentales son las siguientes:
- Versatilidad: Las carillas son muy versátiles ya que permiten corregir múltiples problemas que afectan al aspecto estético de los dientes.
- Mejora de la estética: Al corregir los pequeños defectos de los dientes, las carillas dentales aportan a la sonrisa un aspecto más saludable, juvenil, cuidado y armónico.
- Mínimamente invasivas: Este es uno de los grandes beneficios que ofrecen algunas carillas actuales. Por ejemplo, las de composite no necesitan tallado.
- Mantenimiento sencillo: En términos generales, podemos decir que las carillas dentales no requieren cuidados difíciles o especiales. Es necesario mantener una buena higiene oral, tener precauciones al comer alimentos duros y acudir al dentista entre una y dos veces al año.
Cuidados Posteriores y Mantenimiento
Para asegurar la durabilidad y el aspecto de tus carillas de porcelana, es importante seguir estos consejos:
- Mantén una buena higiene bucal, cepillando tus dientes al menos dos veces al día y usando hilo dental diariamente.
- Evita morder objetos duros o alimentos que puedan dañar las carillas.
- Considera usar una férula de descarga si sufres de bruxismo.
- Visita a tu dentista regularmente para revisiones y limpiezas profesionales.
Además, en la mayoría de los casos será necesario usar una férula de descarga para dormir. Esto ayudará a proteger las carillas de los desgastes y contribuirá a que duren más tiempo.
¿En qué casos no están recomendadas las carillas dentales?
A pesar de que las carillas están recomendadas en una gran cantidad de situaciones, lo cierto es que también presentan alguna contraindicación. Las más relevantes son las siguientes:
- Mordida borde a borde: en este tipo de mordida, los dientes superiores chocan directamente contra los inferiores cuando la persona cierra la boca. Es decir, los dientes superiores no quedan por delante de los inferiores, como ocurre en una oclusión correcta. La mordida borde a borde, por tanto, provoca que las carillas se rompan y se caigan. En estas situaciones, al igual que en otros casos de maloclusión, será necesario recurrir a la ortodoncia antes de colocar las carillas.
- Bruxismo que no recibe tratamiento: algo parecido sucede con el hábito de apretar y/o rechinar los dientes. Los pacientes con bruxismo tienden a presentar grandes desgastes en sus piezas dentales, lo que las debilita y hace más propensas a fracturas. Por ello.
Precios de las Carillas Dentales
¿Quieres saber cuánto cuestan las carillas dentales? El precio de las carillas puede variar en función del material, la cantidad de dientes tratados y la complejidad del caso. Además, contamos con planes de financiación para facilitar el acceso a los tratamientos. A continuación, puedes ver los precios de las carillas dentales:
| Cantidad de Carillas | Precio (Pago Único) | Financiación |
|---|---|---|
| 6 carillas | 1.107€ | Importe mínimo: 432 € |
| 8 carillas | 1.396€ | Importe mínimo: 576 € |
| 10 carillas | 1.671€ | Importe mínimo: 720€ |
*Consulta los detalles de la financiación ofrecida por Banco Cetelem S.A.U.
Opiniones de Pacientes
En Smysecret tenemos la suerte de contar con cientos de pacientes satisfechos que nos hacen llegar sus opiniones sobre nuestras carillas dentales. Echa un ojo a sus reseñas, seguro que te motivan a conseguir tu mejor sonrisa de la mano de nuestros dentistas.
4,9 basado en +3.483 reseñas de Google
- He comenzado mi tratamiento de estética y carillas en esta clínica y estoy encantado. Los recomiendo mucho... Me han tratado muy bien, han resuelto todas mis dudas y los resultados están siendo increíbles. Gracias a la directora Joselyn que me ha ayudado en todo lo que he necesitado y a la doctora Alicia. Jesús Ramos
- Me hice unas carillas y encantado con el tratamiento. El Dr Jorge Lainu es un gran profesional.Nieves Castillo
- Me he realizado un tratamiento de carillas con el doctor Fernando Badell y estoy encantada con mi diseño. La atención ha sido muy personal.Ángeles Silva
Sonrisas de Famosos: El Secreto Revelado
¿Te preguntas cómo los famosos logran esas sonrisas perfectas? Muchos recurren a las carillas dentales para corregir imperfecciones y lucir una sonrisa de ensueño. Desde deportistas como Pau Gasol o Cristiano Ronaldo hasta artistas como Amaia Salamanca o George Clooney, las carillas son una opción popular entre las celebridades.

Considerado el mejor futbolista de todos los tiempos, utilizó aparatos de ortodoncia siendo más joven y luego decidió utilizar carillas dentales de porcelana. En su juventud tenía los dientes algo inclinados y opacos.
Otros famosos que han transformado su sonrisa con carillas incluyen:
- Esta famosa cantante, actriz y filántropa solucionó sus problemas de disparidad en los tamaños de sus piezas dentales utilizando las carillas de porcelana.
- Este actor al sufrir de bruxismo tiende a chocar sus dientes ocasionando un desgaste natural en la superficie de los mismos.
Los tratamientos de estética dental de los famosos ahora ya están al alcance de todos. Los secretos dentales de los famosos ya no lo son tanto. En nuestras clínicas dentales de Madrid tenemos más de 23 años de experiencia recuperando sonrisas. Y ahora, si lo necesitas, tú también puedes conseguirlo.
Conclusión
Las carillas de porcelana son una excelente opción para transformar tu sonrisa y mejorar tu confianza. Con resultados naturales, duraderos y mínimamente invasivos, este tratamiento ofrece una solución estética para una amplia variedad de imperfecciones dentales. ¡Reserva tu cita y descubre cómo podemos mejorar tu sonrisa desde la primera visita!