El arco lingual es un dispositivo ampliamente utilizado en ortodoncia para mantener la posición de los dientes o corregir pequeñas desalineaciones. Este sistema ofrece un control preciso del espacio, especialmente en pacientes con riesgo de perder piezas dentales de manera prematura o que presentan cierta inestabilidad en la arcada inferior.

Ejemplo de arco lingual en ortodoncia.
¿Qué es el Arco Lingual?
El arco lingual (a veces llamado también barra lingual ortodóncica) es un alambre metálico que se coloca por la parte interna de los dientes inferiores -justo donde contactan con la lengua-.
Funciones Principales del Arco Lingual
- Mantenedor de espacio: Si un diente temporal (o incluso un permanente) se pierde antes de tiempo, los otros dientes podrían invadir el espacio vacío. El arco lingual ayuda a evitar este desplazamiento.
- Corrección de rotaciones leves: Al situarse en la cara interna de la arcada, ejerce una fuerza que puede girar de manera controlada incisivos o premolares ligeramente mal posicionados.
- Estabilidad post-tratamiento: Una vez retirados los brackets tradicionales, es frecuente que se instale un arco lingual como parte de la fase de retención fija.
En algunos casos, la inserción de un arco lingual puede combinarse con otros aparatos ortodóncicos para lograr una corrección más completa. En resumen, el arco lingual es un aliado muy práctico dentro de la ortodoncia.
Indicaciones del Arco Lingual
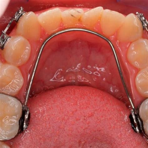
El arco lingual es un tipo de mantenedor de espacio inferior que usamos en dentición mixta, cuando aún quedan dientes de leche por erupcionar. También es muy útil el arco lingual en pacientes en los que se exfolian (pierden) dientes de leche antes de lo debido.

Arco lingual como mantenedor de espacio.
La Ortodoncia Lingual: Una Alternativa Estética
La búsqueda de la estética para los tratamientos ortodóncicos llevó al desarrollo de la Ortodoncia Lingual, que es otra técnica en las posibilidades de realizar un tratamiento ortodóncico, en donde los brackets se cementan en las caras linguales de los dientes, aportando un tratamiento más estético, ya que no se ven. En el año 2004, surge el sistema de brackets individualizados y arcos a medida dando mayor individualización de los aparatos y consiguiendo mayor exactitud en sus resultados (Sistema Incógnito), considerado el sistema más avanzado para la técnica de Ortodoncia Lingual.
Ortodoncia Lingual: La Alternativa Invisible a los Brackets Tradicionales
¿Cómo funciona el sistema Incógnito?
Se toman registros y se envían al laboratorio en Alemania junto con las indicaciones del plan de tratamiento. A partir de los registros se fabrican los modelos y se escanean transfiriéndolos a un ordenador. El técnico envía esta información al doctor para definir las necesidades individuales del tratamiento de ORTODONCIA LINGUAL y se fabrica un modelo objetivo.
Tras un cuidadoso análisis y verificación damos orden al laboratorio de comenzar la fabricación de arcos y brackets. Los aparatos se envían a la consulta para la cita de colocación. Las brackets se colocan a una altura y posición determinadas para transmitir las fuerzas que moverán los dientes. Los arcos incorporan información de angulaciones y de la forma de arcada ideal del paciente.
La inserción en la ortodoncia lingual de una secuencia de arcos de diferentes materiales y la colocación, ajuste y activación de aditamentos va corrigiendo progresivamente corregir la maloclusión. La planificación eficiente y la precisión en la fabricación y colocación de los aparatos proporcionará unos resultados predecibles y fiables.
¿Por qué se utiliza el oro en el sistema de ortodoncia lingual?
Las aplicaciones dentales del oro se conocen desde la antigüedad. Se utiliza una aleación de este material, que es prácticamente inerte, totalmente biocompatible y su utilidad clínica se basa en la precisión que se obtiene en la fabricación, ideal para el reducido tamaño de brackets que requiere esta técnica de ORTODONCIA LINGUAL.
¿En qué se diferencia la ortodoncia lingual incógnito de las demás técnicas?
La ORTODONCIA LINGUAL es la única en la cual arcos y brackets se fabrican 100% a medida del paciente gracias a los últimos avances tecnológicos. Esto supone una aparatología más pequeña, mejor adaptada y adherida y unos objetivos de tratamiento realmente precisos y fiables.
¿Es actual la ortodoncia lingual?
La Ortodoncia con Brackets linguales llego para dar solución estética a los tratamientos de ortodoncia y tuvo un gran auge. Desde la incorporación de la técnica de alineadores invisibles desarrollada por Align (Invisalign) el uso de la ortodoncia lingual ha ido disminuyendo y en estos momentos esta casi en desuso.
Podemos decir a favor de la ortodoncia lingual que es la única completamente imperceptible y aunque los alineadores son altamente discretos en las distancias cortas pueden ser perceptibles.
Aspectos como dificultad de higiene , ingesta de algunos alimentos y un periodo de adaptación por molestias a la hora de hablar son inconvenientes de la técnica lingual.
¿Cuánto cuesta la ortodoncia lingual?
La ortodoncia lingual Incognito cuenta con los precios más elevado del mercado. Los precios oscilan entre los 7000€- 8200€ ,el motivo son sus elevados costes y la complejidad de su manejo en clinica siendo eso también una razón para que su demanda sea cada vez más baja.
¿Qué es mejor la ortodoncia lingual o la ortodoncia invisible (invisalign)?
Aunque hay diferencias entre las distintas aparatologías ortodóncicas lo más determinante y diferenciador en los resultados del tratamiento es el ortodoncista. El diagnóstico es lo más importante sin olvidarnos de la secuencia de tratamiento (la Cuarta Dimensión) y para ello hay que contar con buenos registros y un profesional bien formado.
Retenedores Linguales
El trabajo del ortodoncista no finaliza al retirar la aparatología. La fase de retención es crucial para mantener los dientes en su nueva posición después del tratamiento de ortodoncia. Ya en 1880, el Dr. Kingsley reconoció la importancia de esta fase.
La retención es la fase que sigue al tratamiento activo de ortodoncia y es fundamental para estabilizar los resultados obtenidos. Esencialmente, los dientes tienen una tendencia natural a regresar a su posición original, lo que se controla mediante el uso de aparatos de retención, especialmente durante las noches en el primer año post-brackets.
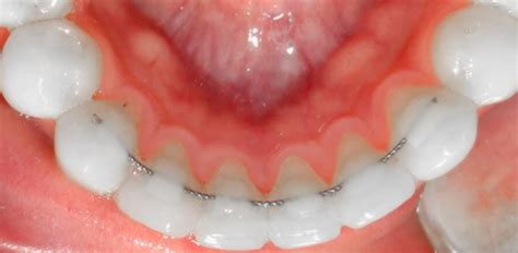
La barra lingual es un tipo de retenedor fijo que consiste en una barra anclada de canino a canino. Está perfectamente adaptada y cementada con composite directamente sobre las caras linguales de los incisivos y caninos inferiores y superiores.

Ejemplo de barra lingual en ortodoncia como retenedor.
Tipos de Retenedores Linguales
- Retenedores Linguales Estéticos: Hechos de poliuretano estético y transparente.
- Retenedores Linguales: Barras linguales ancladas de canino a canino con composite.
- Barra de Retención con Base Retentiva: Anclada en los caninos para mayor estabilidad.
Indicaciones de la Barra Lingual
La barra lingual se utiliza para:
- Mantener los dientes en la posición correcta después de retirar los aparatos de ortodoncia.
- Estabilizar los resultados del tratamiento y evitar recidivas (movimiento no deseado de los dientes).
- Contrarrestar la tendencia natural de los dientes a volver a su posición original.
Mantenimiento de la Barra Lingual
El cuidado de los retenedores, tanto fijos como removibles, es similar al de cualquier aparato de ortodoncia. Aquí te damos algunos consejos:
- Cuidados Específicos para Retenedores Fijos (Barra Lingual)
- Evitar alimentos duros que puedan provocar su rotura.
- No tocar el aparato con los dedos para prevenir daños o desplazamientos.
- Mantener una higiene bucal rigurosa para evitar la acumulación de placa alrededor del retenedor.
Higiene Bucal con Barra Lingual
La higiene es fundamental para el mantenimiento de los retenedores linguales fijos y para la salud bucodental en general. Se recomienda:
- Cepillar los dientes cuidadosamente después de cada comida.
- Utilizar hilo dental para limpiar entre los dientes y alrededor del retenedor.
- Considerar el uso de un irrigador bucal para eliminar los restos de alimentos y la placa en áreas de difícil acceso.
Otros Tipos de Retenedores
Además de la barra lingual, existen otros tipos de retenedores que se utilizan en ortodoncia:
- Retenedores Removibles
- Retenedor Hawley: Aparato de resina y alambre con un pequeño paladar, utilizado en niños con dentición mixta o adultos que usan férulas de descarga.
- Férula o Essix: Aparato transparente, sin paladar, casi imperceptible y utilizado principalmente por la noche.
- Retenedores Fijos
- Alambre Delgado: Pegado en la parte interna de los dientes, generalmente los incisivos delanteros, para evitar que se muevan con el tiempo.

Tipos de retenedores removibles.
Revisiones Periódicas
Es crucial realizar revisiones periódicas para monitorear la estabilidad de los dientes y la condición de los retenedores. Estas revisiones permiten:
- Detectar y corregir pequeñas recidivas.
- Evaluar el estado de las raíces de los dientes mediante radiografías panorámicas.
- Controlar la evolución de los cordales (muelas del juicio) y determinar si es necesaria su extracción.
Retenedores y Mantenedores de Espacio en Niños
En niños, la pérdida temprana de un diente de leche puede causar problemas en el desarrollo de la dentadura permanente. Los mantenedores de espacio son dispositivos que ayudan a preservar el espacio para la erupción del diente permanente. Existen dos tipos:
- Mantenedores de Espacio Fijos
- Banda Ansa o Corona: Anillo que se coloca sobre el diente contiguo al espacio, unido a un alambre que ejerce presión sobre el diente anterior.
- Arco Lingual o Transpalatino: Dispositivo para la arcada inferior, con anillos en los primeros molares definitivos.
- Botón de Nance: Compuesto por un botón de resina acrílica que se apoya en las rugas palatinas, soldado a una banda metálica en los primeros molares superiores.
- Mantenedores de Espacio Removibles
- Dispositivo de resina y metal con un paladar acrílico sostenido por ganchos metálicos.
Es fundamental mantener una buena higiene oral para asegurar el correcto funcionamiento de los mantenedores de espacio. El arco lingual es un dispositivo diseñado para la arcada inferior. Consta de dos «anillos» que denominamos bandas y que se emplazan sobre los primeros molares definitivos (que erupcionan a los seis años).
Podríamos decir que es un mantenedor de espacio similar al anterior pero diseñado para la arcada superior. En éste, la barra que une las dos bandas va de lado a lado siguiendo la curvatura del paladar en vez de seguir la cara interna de los dientes. Este tipo de mantenedor no está pensado para mantener el espacio en una arcada completa como en el caso de los dos anteriores, sino para mantener el espacio de una única pieza dentaria. Consta de una banda a la que se le suelda un «asa» fabricada en acero y de las dimensiones del espacio a conservar.
Como ya hemos comentado anteriormente, la higiene es muy importante cuando se lleva un mantenedor fijo ya que sino, es fácil que surjan complicaciones como la hinchazón de la encía alrededor de las bandas, lo cual provocará sangrado y molestias a este nivel.
El arco lingual es un aparato de ortodoncia muy sencillo y eficaz que en general se utiliza en los niños para mantener los espacios generados por piezas perdidas prematuramente a causa de una caries y en tanto se completa el cambio de dentición. Un arco lingual consiste en un alambre de acero de 0,6 a 1 mm de grosor, cuya forma de arco se adapta a la cara lingual (interior) del de los dientes de la arcada inferior, generalmente desde un primer molar al opuesto.
En cualquiera de los dos casos, el arco lingual ejerce una fuerza continua y su anclaje global se basa en la presión que realiza sobre todos los dientes de la arcada.
Hay diferentes diseños posibles, que dependerán de los objetivos definidos para el tratamiento por el ortodoncista. Pero no siempre es posible utilizar el arco lingual.