La atrición dental es el desgaste progresivo de los dientes causado por el contacto entre ellos durante la masticación y el bruxismo, lo cual puede afectar la salud bucodental. La atrición dental es un tipo de desgaste dental, específicamente aquel que ocurre a largo plazo.
Esta fricción entre la parte superior de los dientes, llamada cúspide, produce una erosión gradual en el esmalte de los dientes, que lo desgasta de manera lenta y constante. La atrición dental fisiologíca es la consecuencia de que nuestros dientes terminen envejeciendo, ya que sobre la superficie de los dientes no se produce de forma natural ninguna reparación. La atrición se evidencia con mayor fuerza en personas mayores, sin embargo, ocurre en personas de cualquier edad, y dependiendo de la dieta y los hábitos del individuo, la atrición puede ser más o menos evidente.
Por lo tanto, la atrición ocurre en término de varios años, a pesar de que existe factores que pueden acelerar este proceso. Comprender estas etapas es crucial para identificar problemas tempranos y tomar medidas preventivas que mantengan la salud bucodental.

Etapas de la Atrición Dental
La atrición dental se manifiesta en diferentes etapas, cada una con características y tratamientos específicos:
- Etapa Inicial: El desgaste se limita al esmalte dental, y todavía no ha alcanzado una capa más profunda en el diente. El esmalte es la capa protectora que tiene cada diente, hecha de un material grueso, transparentoso y resistente.
- Etapa Intermedia: Esta etapa inicia cuando ya el esmalte dental tiene huecos o se encuentra casi por completo corroído, dejando expuesta a la dentina del diente. La dentina es la capa subyacente al esmalte, es blanda y se desgasta con facilidad.
- Etapa Severa: Esta etapa es la más severa y es extremadamente raro verla en personas jóvenes e incluso en personas de la tercera edad con buenos hábitos dentales. Cuando se cuenta con una buena rutina de higiene y salud dental, es poco probable alcanzar esta etapa incluso durante la vejez.
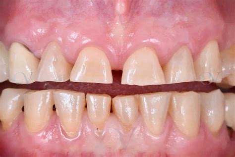
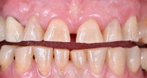
Durante la masticación, la superficie de estas cúspides es la que se ve más afectada, ya que es la zona en contacto directo con los alimentos. Durante el desgaste dentales, las cúspides no están puntiagudas, sino redondeadas o planas. Los dientes proyectan una cierta altura debido a la forma que tienen las cúspides. La transparencia de bordes ocurre en los dientes anteriores, los incisivos.
La sensibilidad dental inicia gracias a la ausencia del esmalte dental, capa encargada de proteger los dientes del las amenazas externas, como el frío o calor excesivo, los ácidos y los alimentos pegajosos. Cuando el esmalte desaparece por la misma atricción, se experimenta sensibilidad dental, y la persona siente incomodidad e incluso dolor cuando se reciben golpes, frío o calor.
En ausencia del esmalte y en casos avanzados de atricción dental en los que la dentina ya se encuentra afectada, existe proximidad a la pulpa dental, parte central y más profunda del diente, donde se encuentran los nervios y los principales vasos sanguíneos. Esta proximidad aumenta tanto la sensibilidad, que la misma provoca dolor al masticar, se manifiestan problemas en la articulación temporomandibular y se experimentan dolor con los cambios de clima muy bruscos.
Tipos de Atrición Dental
La atrición dental se clasifica en dos tipos principales:
- Atrición Fisiológica: Se le denomina así a la atricción dental ocasionada por el desgaste natural dado por la masticación ejercida a lo largo de la vida. Este tipo de atricción no ocurre de un día para otro, es habitual y más evidente en adultos mayores, en los cuales la atricción ya se encuentra en etapa intermedia o severa. La atricción fisiológica no afecta más el lado izquierdo o el derecho, pero el mayor desgaste suele presentarse en los dientes molares y premolares.
- Atrición Patológica: Ocurre de manera agresiva y se trata de un desgaste excesivo, muy acelerado de los dientes, que ocurre de manera repentina gracias a factores externos o condiciones específicas que incrementan la fricción de los dientes entre sí. El desarrollo de la atricción y su llegada a la fase más severa puede ocurrir en el espacio de un año e incluso unos meses, dependiendo de las causas de la atricción patológica. Debido al desgaste, los dientes se aplanan de manera anormal ante la desaparición de sus cúspides.
Esta es una consecuencia de la atrición fisiológica, pero puede observarse en personas de la tercera edad, lo que significa que se requieren muchos años para aplanar los dientes por desgaste. Si la presión y el desgaste de los dientes es muy exagerado, estos pueden romperse y presentar grietas, denominadas fisuras o fracturas.

Causas de la Atrición Dental Patológica
La atrición dental puede deberse a distintas causas. Algunas de ellas dependen directamente de la propia persona que padece la afección.
- Esmalte Dental Debilitado: El esmalte dental es una capa protectora, cuyas características varían. Las personas pueden tener un esmalte dental naturalmente debilitado y delgado, como resultado de la herencia genética que han obtenido de sus progenitores. Hay personas que naturalmente cuentan con dientes demasiado planos o con cúspides muy altas.
- Bruxismo: El bruxismo es un hábito que consiste en apretar o rechinar unos dientes contra otros. El bruxismo es el mal hábito de rechinar los dientes de manera inconsciente a lo largo del día. Las personas con bruxismo lo realizan como un método de filtración del estrés o tensión al que están sometidos. Una persona que desarollo bruxismo es más vulnerable ante la atricción que una que no.
- Malos Hábitos: Masticar bolígrafos, hielo o uñas representa un uso innecesario y forzado de los dientes en actividades que son antinaturales, puesto que no son un tipo de alimentación. La masticación de este tipo de objetos acelera el desgaste y empeora los efectos de la atrición dental.
- Maloclusión: La maloclusión es un problema de carácter dental, en el cual los dientes no encajan correctamente entre sí. Este desencaje provoca una fricción anormal entre dientes que no se corresponden entre sí y son desiguales.
- Masticación Unilateral: La masticación unilateral por lo general es un mal hábito y conduce a un desgaste excesivo de un solo lado de la dentadura.
- Factores Psicológicos y Neurológicos: Una persona que, junto con el bruxismo, también sufra de condiciones psicológicas y neurológicas, y se encuentre expuesto a mucho estrés y ansiedad, puede intensificar el bruxismo y agravar la atricción dental.
- Disminución de Saliva: La disminución de la producción de saliva afecta directamente a la lubricación de los dientes, la cual es necesaria para mantener a la boca protegida de los alimentos ácidos, la acumulación de bacterias y la fricción dental.
- Trastornos Alimenticios: Este tipo de trastornos expone a los dientes ante los ácidos gástricos. Los dientes no son estructuras capacitadas para soportar la acidez de este líquido, como el estómago. Cuando quedan expuestos y entran en contacto, el ácido inicia un proceso de corrosión que va avanzando rápidamente a medida que se prolonga el tiempo de exposición de los dientes.
Síntomas de la Atrición Dental
Los síntomas de la atrición dental pueden variar considerablemente, en función del nivel de desgaste.
- Dolor o sensibilidad dental: este es uno de los síntomas más incómodos. Generalmente, las molestias se producen con los cambios de temperatura (frío o calor) o al comer determinados alimentos (muy fríos, calientes, ácidos o dulces).
- Pérdida de esmalte dental: cuando los daños son severos, el esmalte pierde parte de su grosor. Esto puede hacer que se vislumbre la dentina, una capa interna que tiene un aspecto más amarillo o mate.
- Cambios en la forma y el tamaño de los dientes: este signo es especialmente visible en las personas bruxistas.
Bruxismo: consecuencias y tratamiento
Diagnóstico de la Atrición Dental
Dado que la atrición dental es un proceso natural, durante las consultas se buscan signos de atricción dental patológica, es decir, un desgaste rápido y anormal de los dientes en relación con la edad del paciente.
- Se examina la longitud de los dientes incisivos.
- La dentina del diente puede estar expuesta en casos avanzados de atricción dental.
- Se revisa la historia dental del paciente y sus antecedentes en enfermedades y condiciones dentales.
- Más que un estudio, es una serie de imágenes que se toman cada cierto tiempo al paciente, para evaluar la progresión o mejoría de la atricción dental a lo largo del tiempo.
Tratamientos para la Atrición Dental
El tratamiento de la atrición dental depende de la causa y la gravedad del desgaste. El principal tratamiento que recomendamos en la clínica dental en Barcelona de Propdental es preventivo, eliminando los factores que provocan el desgaste de los dientes. Una vez producida, el tratamiento es preventivo mediante una férula de descarga si sufres de bruxismo.
En la clínica dental Cristina Viyuela ofrecemos diversos tratamientos, dependiendo de la situación del paciente y de la causa de la atrición dental.
Opciones de Tratamiento:
- Empastes: Los empastes se utilizan cuando el desgaste está en fase inicial o intermedia y no existe un daño grave en el diente. Se trata de una restauración de la anatomía original del diente, hecha con resina compuesta.
- Coronas: Las coronas se utilizan cuando el desgaste es severo y se encuentra en fase final, en la cual el esmalte dental ya tiene daños graves y la dentina está siendo o ha sido afectada. Para colocar una corona debe someterse al diente a un proceso de desgaste profesional, realizado con un ultrasónico dental. Luego de desgastar el diente, se coloca la corona encajándola dentro del diente natural. Las coronas dentales cubren completamente el diente y ofrecen una solución duradera, especialmente en casos de desgaste avanzado o fracturas.
- Carillas: Las carillas pueden aplicarse en los dientes que tienen un desgaste moderado. Las carillas son el tratamiento indicado para desgastes menores, que solo afectan a la cara externa de los dientes. Esto se debe a que las carillas son unas láminas muy finas que se colocan en la cara externa de los dientes.
- Férulas o Protectores Bucales: Las férulas o protectores bucales son dispositivos hechos a la medida que se ajustan a toda la dentadura, protegiéndola de la presión a la cual está expuesta durante el rechinamiento de los dientes. Para quienes padecen bruxismo, el uso de una férula de descarga durante la noche es una de las medidas más efectivas para prevenir el desgaste dental.
- Ortodoncia: Si la atrición es provocada por una maloclusión de los dientes, que ejerce un contacto excesivo e irregular entre estos, se recurre a la ortodoncia. La ortodoncia es un tratamiento correctivo, donde se modifica la posición de los dientes a través de ejercer presión en estos.
- Ajuste Oclusal: En casos donde el desgaste dental es causado por una mala alineación de la mordida, un ajuste oclusal puede ser la solución.

Prevención de la Atrición Dental
La prevención es clave para evitar el desgaste dental. Es fundamental adoptar una técnica de cepillado adecuada, usar cepillos de cerdas suaves y evitar el consumo excesivo de alimentos y bebidas ácidas.
- Debe controlar el estrés para reducir las posibilidades de hacer un rechinamiento inconsciente de los dientes como método de regular el estrés.
- El cepillado debe ser mínimo dos veces al día, utilizando un cepillo de cerdas suaves y pasta dental fluorada.
- Las revisiones mensuales o semestrales son necesarias para poder llevar un control y chequeo periódico del estado en el que se encuentra la salud dental. Se recomiendan chequeos cada seis meses, pero esta frecuencia puede cambiar según el caso de cada paciente.
- Las azúcares, al masticarse y dejar remanentes de comida en la boca, son el alimento idóneo para las bacterias.
- Visitar al dentista regularmente es esencial para detectar cualquier signo de desgaste dental de forma temprana y aplicar los tratamientos necesarios antes de que el problema avance.
No se puede revertir el esmalte dental perdido, pero se pueden aplicar tratamientos como coronas, carillas o restauraciones con resina para recuperar la funcionalidad y estética del diente.
Bruxismo y Atrición Dental
El bruxismo es una de las causas principales de la atrición dental patologica, por lo que es parte clave de la prevención de la atricción. El bruxismo es una causa común de desgaste dental, pero no todas las personas que rechinan los dientes desarrollan este problema.
Si notas signos de desgaste dental, es recomendable acudir al dentista lo antes posible para que realice un diagnóstico y te sugiera el tratamiento adecuado.
¿Necesitas más información?
El desgaste dental es un problema frecuente que afecta a muchas personas. Si necesitas más información acerca de la Salud Bucodental y como cuidarla, no dudes en ponerte en contacto con Artdenta. Puedes visitar a tu Clínica dental Artdenta en Valencia en la Avenida Primado Reig, 137 o llamándonos al 963 693 329.