Antes de hablar sobre los ataches para la ortodoncia invisible y su significado, es importante recordar qué es la ortodoncia. La ortodoncia es la ciencia que se ocupa de alinear los dientes y mejorar la mordida para mejorar la salud bucodental y la estética.
Dentro de los tratamientos de ortodoncia podemos encontrar la ortodoncia invisible. Ésta es una de las mejores opciones, ya que ofrece ventajas sobre otro tipo de procedimientos al ser más higiénica, cómoda, limpia, discreta y estética.

¿Qué es un atache dental en un tratamiento de ortodoncia invisible?
Si quieres saber qué son los ataches dentales para ortodoncia invisible, debes saber que son relieves de composite que se colocan en determinados dientes para ejercer una presión determinada durante el tratamiento de ortodoncia.
Dependiendo de cada caso, el paciente llevará más o menos ataches, en función a lo que su dentadura necesite. La función de estos ataches en la odontología es la de adherirse con más fuerza al alineador para que éste ejerza la presión óptima para poder realizar el movimiento que ha determinado el ortodoncista.
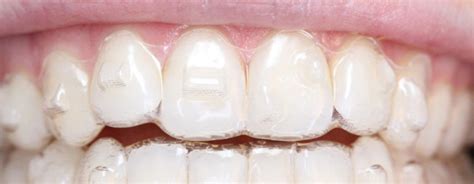
Los ataches dentales están hechos a base de composite (que es la pasta con la que se realiza un empaste tradicional). Además, estos son casi imperceptibles, al igual que lo es la ortodoncia invisible.
El tamaño de estos ataches es de 1 a 3 mm y son del color de los dientes, con lo que casi no se perciben a simple vista.
ORTOCERVERA/Ortodoncia: Cementado de Ataches para Alineadores
¿Para qué sirven los ataches?
Después de saber qué significa la palabra “atache”, es importante saber cuál es la función de los ataches en el campo de la odontología, ya que muchas veces son esenciales para el correcto avance del tratamiento de ortodoncia invisible.
Por un lado, los ataches que se colocan cuando llevamos alineadores, pueden servir de ayuda a la hora de corregir un problema de mordida o ayudar en la realización de un movimiento dental complicado de unos dientes en concreto. Por otro lado, los ataches también pueden frenar movimientos no deseados en ciertas piezas dentales que puede interesar que no se muevan.
Tipos de ataches dentales y su clasificación en la ortodoncia invisible
Cada paciente es un mundo y exige un tipo de procedimiento, ya que el tratamiento de ortodoncia se personaliza según las necesidades del paciente. Normalmente los ataches son rectangulares, pero pueden variar de forma dependiendo de lo que el doctor se proponga realizar con ese movimiento.
Tenemos tres tipos de ataches:
Rotación
Los ataches de rotación son aquellos que permiten que los caninos inferiores y superiores puedan girar o rotar. Su función es dar más fuerza a este objetivo.
Extrusión
Dentro de esta clasificación, tenemos los ataches de extrusión que ayudan a empujar hacia delante las piezas dentales anteriores superiores e inferiores.
Enderezamiento radicular
En este caso, la función de los ataches es ayudar a que la raíz de los dientes cambie y adopte una colocación óptima para el desarrollo del tratamiento.

¿Cuántos ataches hay que colocar?
Como hemos comentado anteriormente, no hay una respuesta universal para esta pregunta, ya que cada caso es diferente dependiendo de lo que necesita cada paciente.
Igualmente, cabe decir que los ataches en los dientes no siempre se colocan en los mismos dientes y, además, puede ser que durante el tratamiento de ortodoncia invisible estos ataches vayan cambiando de diente y de forma, dependiendo del momento del tratamiento en el que se encuentre el paciente.
También es verdad que no todos los pacientes precisan ataches cuando se realizan el tratamiento de ortodoncia invisible, ya que hay veces que no necesitan esa presión extra. En Impress realizamos una vídeo simulación de todo el proceso del tratamiento de ortodoncia invisible de cada paciente, con lo que, éste, puede ver si en su caso necesitará o no llevar ataches.
¿Cómo se colocan los ataches en ortodoncia?
La colocación de los ataches dentales es algo muy sencillo y, sobre todo, no provoca ningún tipo de molestia al paciente:
- Una vez ya tenemos las férulas listas para colocar, el dentista graba (reviste) la superficie del diente donde irá colocado el atache con un gel.
- El diente debe estar muy limpio y seco, con lo que el doctor lo lava y seca con los instrumentos necesarios que hay en la camilla dental.
- Una vez el diente está perfecto para la colocación del composite, se añade este mismo en el hueco de la férula y se utiliza una lámpara de polimerización para que el material se quede adherido correctamente al diente.
- Una vez apagamos la lámpara, procedemos a retirar con cuidado el alineador y ver así si el atache se ha pegado a la superficie vestibular (delantera) del diente.
- ¡Listo! El atache ya está colocado para continuar con el tratamiento.
¿Cómo se quitan los ataches y cuánto tiempo hay que llevarlos puestos?
Como en todo, depende del estado de la boca del paciente y cómo el doctor lo haya planeado. Hay gente que puede llevar los ataches durante meses y hay otros pacientes que ni siquiera necesitan ataches durante el tratamiento de ortodoncia.
Una vez el tratamiento de ortodoncia invisible ha finalizado, se quitan los ataches de los dientes sin ningún tipo de problema. Este procedimiento lo lleva a cabo el ortodoncista. Además, lo bueno del material utilizado es que no daña en absoluto el esmalte dental.
Cabe recordar que es importante seguir siempre las instrucciones del doctor para que todo el proceso del tratamiento de ortodoncia invisible se realice con total seguridad y efectividad.
Ataches durante un tratamiento de ortodoncia invisible Impress
En Impress somos especialistas en ortodoncia invisible. Si estás pensando en comenzar un tratamiento con Invisalign para alinear tus dientes de manera discreta, probablemente hayas escuchado hablar de los ataches.
En este artículo, descubrirás qué son los ataches, para qué sirven y cómo pueden marcar la diferencia en tu tratamiento. Los ataches (también conocidos como attachments) son pequeñas piezas de composite dental que se adhieren temporalmente a la superficie de tus dientes.
En función de los movimientos que se necesiten realizar, los ataches pueden variar en forma y tamaño. La colocación de los ataches es un procedimiento sencillo, rápido e indoloro que se realiza en la clínica.
El número y la posición de los ataches dependerá de las necesidades específicas de tu tratamiento. La colocación de los ataches no causa dolor. Sin embargo, es posible experimentar una ligera molestia durante los primeros días, algo común en cualquier tratamiento de ortodoncia. Los ataches son un elemento esencial para maximizar los resultados de tu tratamiento con Invisalign.
Los ataches también garantizan una experiencia cómoda y estética durante todo el tratamiento.
tags: #attachment #ortodoncia #invisible