La avulsión dental se define como la caída completa de un diente debido a un fuerte impacto en la boca. Se trata del desprendimiento de la pieza intacta con su raíz, a diferencia de una fractura parcial.

Cuando nuestros hijos/as sufren una caída o golpe en la boca, uno de los mayores miedos es ver que se les han caído o roto los dientes. En esta ocasión, hablaremos sobre la pérdida completa de uno o más dientes de leche, que pueden afectar el crecimiento de los huesos maxilares de soporte y de los dientes definitivos.
¿Qué es la Avulsión Dental?
La avulsión dental se produce cuando un diente sale por completo de su alvéolo, sin sufrir un daño en su estructura, a causa de un fuerte traumatismo por un impacto o una caída. Cuando observamos que la pieza dental se ha salido por completo, con corona y raíz, estamos frente a una avulsión. Por lo tanto, el diente estará completamente fuera del alveolo. En caso de avulsión dental, clínicamente se verá un agujero vacío o relleno por un coágulo dentro del hueso alveolar.
La avulsión dental es más común en los dientes de leche, ya que tienen las raíces más cortas y débiles, aunque también es habitual en dientes permanentes en niños de entre 7 y 11 años.
Causas Comunes de Avulsión Dental
Las causas más comunes de avulsión dental incluyen accidentes automovilísticos, caídas, lesiones deportivas y cualquier otro evento que provoque un golpe directo en la zona de la boca. Para evitar las avulsiones, se aconseja usar protector bucal en caso de actividades o deportes de contacto. También deben utilizarse en otros deportes donde puedan haber golpes accidentales: hockey-hielo, patines o hierba; baloncesto; balonmano; etc.
¿Cómo Actuar Ante la Avulsión de un Diente de Leche?
Ante esta situación, lo primordial es que no cunda el pánico. Si recibes un golpe y el diente se cae, o has presenciado este accidente, lo primero es mantener la calma. Para muchos padres la avulsión dental genera un estado de nerviosismo al ver que su hijo ha perdido una pieza dental por completo.
Lo importante ante una avulsión dental es actuar con rapidez, puesto que estamos ante una emergencia, pero sin perder la calma. En primer lugar, siempre que sea posible hay que recuperar el diente.
Pasos a Seguir Inmediatamente
- Mantener la calma: Es fundamental para poder actuar de manera eficiente.
- Controlar la hemorragia: Lavar la zona con abundante agua y colocar una gasa (empapada en agua oxigenada), en la zona afectada.
- Buscar el diente: Una vez localizado el diente, conviene cerciorarse de que está en buen estado y de que su estructura no está dañada.
- Limpiar el diente (si es necesario): Si el diente está sucio, puedes lavarlo suavenmente un máximo de 10 segundos en agua fría o en leche. Si el diente avulsionado está sucio, hay que lavarlo bajo el grifo diez segundos.
¿Qué Hacer con el Diente Avulsionado?
No se recomienda reinsertar el diente temporal que se ha caído. Es decir, no debe volver a colocarse. Esto será diferente con los permanentes, en que sí debe ser reimplantado el diente. En el caso del diente de leche, reimplantarlo supone la aparición de infecciones en alveolo, ya que se produce una degeneración de la pulpa o nervio. El riesgo para el diente sucesor definitivo sería demasiado grande, además de hacer pasar al niño por procedimientos innecesarios y difíciles.
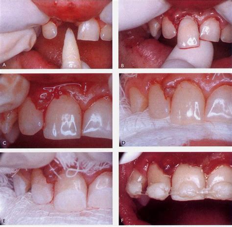
A continuación, siempre que se pueda, debemos intentar recolocar el diente en el alvéolo antes de que se forme un coágulo. Intenta recolocar el diente en su alvéolo durante los primeros 30 minutos tras el accidente. Trata de alinear el diente correctamente y presiona con suavidad pero firmemente para que encaje en su lugar.
En caso de no poder colocarlo de nuevo, hay que mantener la pieza dental en el mejor estado posible hasta llegar a la clínica. Si no puedes recolocar el diente, sumérgelo en leche o en una solución de suero fisiológico.
De hecho, solo el 50% de los dientes reimplantados previa avulsión sobreviven después de 10 años, de acuerdo con un estudio publicado en el Ilustre Consejo General de Colegios de Odontólogos y Estomatólogos de España.
Como te indican en las instrucciones anteriores, recurrir a un vaso con leche es la forma idónea de mantener el diente en buen estado mientras acudimos a un dentista. Sin embargo, puede que no lo tengas a mano, sobre todo si el accidente ha ocurrido en el exterior o si en ese momento no puedes encontrar esta bebida.
Aquí hay algunas alternativas:
- Agua: No es la opción más adecuada, pero es preferible a dejar que se seque.
- Suero, una solución acuosa o, en su defecto, leche fría.

Medios de Conservación del Diente Avulsionado
Los dientes pueden permanecer fuera de la boca entre cuatro y seis horas si se conservan en un medio adecuado, como por ejemplo la leche de vaca. En estas condiciones y si el diente no está dañado en sus raíces, puede reimplantarse en el paciente con éxito.
Instrucciones Adicionales Después de la Avulsión
Algunas instrucciones que debemos realizar después de un caso de avulsión dental:
- Dieta blanda durante 10 días.
- Buena higiene oral con cepillo suave para favorecer el proceso de curación.
- Aplicación de geles con antisépticos como Clorhexidina y un facilitador de la cicatrización, como el ácido hialurónico.
- No utilizar chupete.
Tratamiento Profesional en la Clínica Dental
Una vez se ha realizado el tratamiento de emergencia, el paciente requerirá atención dental para asegurar una recuperación adecuada. Es importante programar visitas de control para que el odontólogo pueda monitorizar la evolución de la vitalidad del diente avulsionado y actuar rápidamente mediante tratamientos adicionales en caso de que fuera necesario.
Una vez en la clínica, nos pondremos en marcha realizando una exploración para comprobar el estado de la boca. Si el diente está en buenas condiciones y ha sido conservado correctamente, el dentista intentará reinsertarlo en su alveolo. Si no es posible conservar el diente natural, el odontólogo valorará otras opciones para recuperar la estética y la funcionalidad de la sonrisa. Implantes dentales: se insertan en el hueso maxilar o mandibular, para que hagan de raíz artificial. Posteriormente, se coloca encima una corona o prótesis fija.
En caso de dientes temporales, no siempre puede realizarse la reimplantación. Es vital estudiar la situación y realizar pruebas diagnósticas para comprobar que no habrá daños en el germen de la pieza permanente que aún no ha salido.
Procedimientos Comunes en la Clínica
- Reimplantación y ferulización: Si el diente se ha podido reimplantar en el lugar del accidente, procedemos a realizar una ferulización dental provisional. Este proceso consiste en unir el diente afectado a los adyacentes para que no tenga ningún tipo de movilidad. Para ello, es necesario ferulizarlo, es decir, unirlo a los dientes vecinos para que no se mueva. Normalmente la ferulización se mantendrá durante tres semanas.
- Higiene del alvéolo: Si, por el contrario, el paciente acude a consulta sin el diente en su lugar, habrá que higienizar el alveolo y retirar el coágulo de sangre que se haya podido formar.
- Mantenedor de espacio: Si se da este supuesto, un especialista en ortodoncia colocará un mantenedor de espacio donde antes estaba el diente. El mantenedor de espacio es un aparato que sirve para conservar el espacio dejado por el diente avulsionado.
Durante este periodo, y en función del caso y la gravedad que valore el especialista, puede pautar un tratamiento para el paciente con analgésicos y antibióticos.

Mantenedor de Espacio
Seguimiento y Controles Post-Tratamiento
Es esencial revisar los dientes reimplantados de forma frecuente, hasta cerciorarnos de que no hay mayor riesgo. El primer control lo tenemos al cabo de unas 2 semanas, periodo que suele coincidir con la retirada de la ferulización. Posteriormente, planificamos las citas al cabo de 1, 3, 6 y 12 meses. En estas visitas a la clínica dental, verificaremos la ausencia de movilidad en el diente en cuestión, corroborando su plena funcionalidad.
En estos casos de avulsión del diente temporal, se recomienda:
- Controles después de una semana del trauma.
- Al mes.
- Luego controles clínicos y radiográficos a los 6 meses y al año.
- Posteriormente, deberán efectuarse controles anuales hasta que erupcione la pieza definitiva.
Complicaciones y Pronóstico
Dependiendo de la edad en que ocurra este tipo de traumatismo, existen probabilidades de que aparezcan complicaciones en el desarrollo del diente sucesor definitivo. Esto es así, especialmente en los casos de avulsión en niños por debajo de los 3 años de edad. Por su parte, el odontólogo realizará un seguimiento durante los siguientes meses, hasta un año después de la avulsión. Si tras ese tiempo se observa una plena recuperación, no se harán más revisiones.
Aunque la prevalencia de la avulsión dental es baja (del 1 al 16% de todos los traumatismos), el pronóstico a largo plazo es sombrío, ya que sólo del 4 al 50% de los dientes avulsionados sobreviven más de diez años.
Prevención de la Avulsión Dental
Dado que la avulsión dental se produce debido a accidentes fortuitos, no resulta sencillo prevenirla por completo.
Sin embargo, puedes tomar precauciones como:
- Empleo de protectores bucales en caso de practicar deportes de contacto, puesto que amortiguan en gran medida los golpes. Existen varios tipos: adaptables, estándar o confeccionados a medida.
- Usar una férula de descarga en caso de padecer bruxismo.

Férula de descarga para el bruxismo
Así, si estás ante un caso de avulsión dental, recuerda que la rapidez con la que actúes será determinante a la hora de recuperar o perder el diente por completo.
Con todo esto, destacar que una avulsión dental es una lesión grave que requiere atención médica inmediata.

La incidencia de las avulsiones dentales es baja y afecta al 16% de todos los traumatismos bucales de personas adultas. Quienes son más propensos a recibir impactos en la boca son hombres y niños de entre 7 y 10 años de edad, que aun no han finalizado su recambio dental.
Ahora que ya sabes de qué forma debes actuar ante un caso de avulsión dental, estoy seguro de que tendrás tranquilidad en caso de presenciar o padecer una avulsión dental. Si necesitas ayuda con este tipo de accidentes o simplemente deseas una revisión, no dudes en contactar con nuestros especialistas.
En Ferrus & Bratos nos guiamos por unas pautas editoriales que aseguran la veracidad de toda la información que publicamos. En Ferrus&Bratos cumplimos con el RGPD de la UE por lo que tus datos están seguros.
Dr. Pedro Pablo Martínez es licenciado en Odontología por la Universidad Alfonso X el Sabio. Se especializó a través del Máster en Odontología Integrada de la Universidad Rey Juan Carlos de Madrid y del Máster en Endodoncia de la Universidad Alfonso X el Sabio. Combina su actividad profesional con la investigación, ya que es autor de diversos artículos aparecidos en publicaciones científicas como Journal of Dentistry o Journal of Clinical Periodontogy.
Tabla Resumen de Actuación Ante Avulsión Dental
| Acción | Descripción |
|---|---|
| Mantener la calma | Fundamental para actuar eficientemente. |
| Controlar la hemorragia | Lavar con agua y aplicar gasa. |
| Buscar el diente | Asegurarse de su buen estado. |
| Limpiar el diente | Lavar suavemente si está sucio. |
| Conservar el diente | Sumergir en leche, suero o agua (como último recurso). |
| Acudir al dentista | Lo antes posible para evaluación y tratamiento. |