Perder uno o varios dientes puede convertirse en una situación incómoda que afecta no solo a la apariencia, sino también a la función de la boca. Afortunadamente, existen diversas opciones para reemplazar los dientes ausentes, y una de las más conocidas es el puente dental. Un puente dental es una prótesis fija que se utiliza para reemplazar uno o más dientes ausentes. Como su nombre indica, actúa como un «puente» entre los dientes que están alrededor del espacio vacío.
Si no quieres un PUENTE DENTAL, ¿Qué opciones hay?
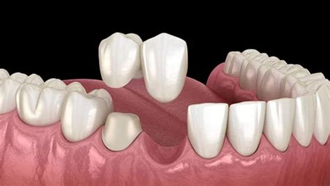
¿Qué es un Puente Dental?
El puente se compone de varias partes: los dientes de soporte (generalmente dos coronas dentales que se colocan sobre los dientes adyacentes al espacio) y los dientes falsos o pónticos que cubren el hueco del diente o los dientes ausentes.

Tipos de Puentes Dentales
Existen diferentes tipos de puentes dentales, cada uno diseñado para situaciones específicas:
- Puente Dental Tradicional (Dentosoportado): Es el más común y el que se utiliza cuando hay dientes naturales a ambos lados del hueco dental. En este caso, se colocan coronas en los dientes adyacentes y se inserta uno o varios dientes artificiales entre ellos.
- Puente Voladizo (Cantilever): Este tipo de puente se usa en caso de que solo haya dientes a un lado del hueco donde se coloca el puente. Es decir, el póntico se sujeta con una corona en un solo diente pilar. Esto solo se usa en casos muy puntuales, por ejemplo cuando solo tienes un diente a un lado del hueco y del otro no hay pieza.
- Puente Maryland o Adhesivo: A diferencia de los puentes tradicionales, el puente Maryland no requiere coronas en los dientes adyacentes. En su lugar, se usa un marco de metal o porcelana que se adhiere a la parte posterior de los dientes adyacentes al hueco.
- Puente Soportado por Implantes (Implanto-soportado): Este tipo de puente es similar al tradicional, pero en lugar de coronas sobre dientes naturales, los dientes de soporte son implantes dentales. Se utiliza cuando el paciente no tiene dientes naturales que puedan servir de soporte.

¿Cómo se Colocan los Puentes Dentales?
El proceso de colocación de un puente dental suele requerir dos visitas al dentista. Aquí te explicamos los pasos:
- Preparación de los Dientes de Soporte: En el caso de los puentes tradicionales y cantiléver, el dentista debe preparar los dientes adyacentes al espacio vacío. Esto implica desgastar parte de estos dientes para que las coronas puedan ajustarse perfectamente. Si los dientes de soporte tenían grandes caries o empastes, aprovechamos y los saneamos durante el tallado; a veces también se indica hacer una endodoncia previa si el nervio está dañado o para evitar sensibilidad futura (no siempre es necesario, solo en ciertos casos).
- Puente Temporal: Hasta que el puente definitivo esté listo, el paciente llevará un puente temporal.
- Ajuste y Cementación del Puente Definitivo: Una vez que el puente ha sido fabricado en el laboratorio, el dentista lo ajustará en la boca del paciente. Durante este paso, se verificará que el puente encaje perfectamente y no cause molestias. Finalmente se procede a aplicar el cemento y a colocar el puente metal porcelana sobre los dientes que se prepararon.

Materiales Utilizados en Puentes Dentales
Al igual que las coronas individuales, los puentes dentales pueden fabricarse en distintos materiales, o combinaciones de materiales, que afectan tanto la estética como la resistencia y el precio.
- Metal-porcelana (porcelana fundida sobre metal): Es posiblemente el material más tradicional. Consiste en una estructura interna metálica (aleación de metales) que brinda resistencia, recubierta por porcelana dental del color del diente para la estética.
- Cerámica pura (porcelana sin metal): Aquí la estructura del puente es 100% cerámica (por ejemplo, disilicato de litio u otras porcelanas de alta resistencia). La ausencia de metal hace que la estética sea superior, logrando puentes muy traslúcidos y naturales, ideales para dientes anteriores.
- Zirconio: El zirconio dental es un material cerámico de última generación, extremadamente duro y resistente, pero con un color blanco que permite una buena estética.
- Resina acrílica (provisional): Cabe mencionar que existen puentes de resina acrílica o materiales plásticos, pero generalmente se usan como puentes temporales.
Para zonas posteriores (molares): se suele priorizar la resistencia, por lo que un puente de metal-cerámica o zirconio es ideal. Para zonas anteriores (incisivos/caninos): la estética manda, así que podríamos optar por cerámica pura o zirconio cerámico, que brindan una apariencia muy natural.
Beneficios de los Puentes Dentales
Los puentes dentales ofrecen múltiples beneficios, especialmente para quienes buscan una solución no invasiva:
- Mejoran la capacidad de masticar y hablar: Los espacios entre los dientes pueden dificultar la masticación de ciertos alimentos y afectar el habla.
- Recuperan la estética de la sonrisa: Tener dientes ausentes puede afectar la autoestima.
- Previenen el desplazamiento de los dientes: Los dientes adyacentes tienden a moverse hacia el espacio vacío si no se cubre, lo que puede provocar problemas de alineación.
Puente Dental Fijo: Ventajas y Desventajas
Un puente dental fijo es una forma fantástica de restaurar su sonrisa si te faltan dientes. Es una gran solución para reemplazar los dientes perdidos, ya que es estéticamente agradable y ofrece una solución a largo plazo. Este tipo de puente dental es permanente y se cuidará con un mantenimiento dental regular. Proporciona un aspecto fuerte y natural, y puede ayudar a mejorar la mordida y el habla.
Ventajas del Puente Dental Fijo:
- Fácil mantenimiento: Los puentes dentales fijos requieren menos mantenimiento que otros puentes dentales. Se fijan a los dientes y no se caen.
- Bajo coste: Los puentes dentales fijos son más baratos que los puentes dentales removibles o de quita y pon.
- Aspecto natural: Los puentes dentales fijos son una gran opción si quieres un aspecto natural.
- Sin pérdida de hueso: A diferencia de los puentes dentales removibles, los puentes dentales fijos no requieren injertos óseos.
- Sin cirugía oral: A diferencia de los puentes dentales removibles, los puentes dentales son permanentes y no necesitan ser retirados.
- No se mueven los dientes: Cuando te colocas un puente dental, los dientes que lo rodean no se mueven.
- Resistentes y duraderos: Los puentes dentales fijos son fuertes y duraderos.
Desventajas del Puente Dental Fijo:
- Al morder: Es posible que experimentes dificultades al morder con tu puente dental fijo. Es posible que tenga que ejercer un poco más de presión al comer.
- El habla: Tu puente dental fijo puede dificultar el habla.
- Infecciones: Tu puente dental estará en tu boca, que es un ambiente cálido y húmedo. Este es un gran caldo de cultivo para las bacterias y los gérmenes.
Alternativas a los Puentes Dentales
Aunque los puentes dentales son una excelente solución, hay otras opciones disponibles para reemplazar dientes ausentes:
- Implantes Dentales: Los implantes dentales son una opción duradera y estética. Se colocan mediante una cirugía en la que se inserta un tornillo de titanio en el hueso de la mandíbula, sobre el cual se coloca una corona dental.
- Prótesis Removibles: Las prótesis removibles (o dentaduras postizas) son una opción más económica.
Puente Dental de Metal y Porcelana
El puente dental de metal y porcelana es una prótesis diseñada para reemplazar uno o varios dientes faltantes. Es una prótesis que se cementa de forma permanente sobre los dientes adyacentes, a los que llamamos «pilares». También pueden colocarse sobre un implante dental: una suerte de tornillo metálico insertado firmemente en el hueso del maxilar.
Consideraciones del Puente Dental de Metal y Porcelana:
Si bien el puente dental de metal y porcelana ofrece numerosos beneficios, es importante tener en cuenta algunas consideraciones:
- Posible Retracción de Encías: Con el tiempo, la encía puede retraerse, revelando el metal en la zona de unión con la corona.
Cuando se trata de recuperar la funcionalidad y la estética de tu sonrisa, el puente dental de metal y porcelana es una opción confiable y efectiva. Sin embargo, entender el proceso detrás de su fabricación y colocación es fundamental para tomar una decisión informada sobre tu tratamiento dental.
Proceso de Colocación del Puente Dental de Metal y Porcelana:
- Evaluación Inicial: Antes de iniciar el proceso, nuestro especialista realizará una evaluación exhaustiva de tu caso, que incluirá un reconocimiento dental, exploración y radiografías.
- Toma de Impresiones: Una vez completada la evaluación inicial, se tomarán impresiones de la zona afectada utilizando masilla de alginato o un escáner 3D.
- Diseño del Molde: En el laboratorio dental, se utilizarán las impresiones y radiografías para diseñar un molde que servirá de guía para crear el puente de metal y porcelana.
- Preparación de los Dientes Pilares: Antes de colocar el puente, las piezas dentales que servirán como pilares deben ser preparadas adecuadamente. Este procedimiento se realiza bajo anestesia local y consiste en reducir milimétricamente la superficie de los dientes pilares.
- Colocación del Puente: Una vez preparadas las piezas dentales, se procede a aplicar el cemento dental y colocar el puente de metal y porcelana sobre los dientes pilares.
Cuidados y Mantenimiento de los Puentes Dentales
Al igual que con los dientes naturales, los pacientes portadores de prótesis fijas necesitan un cuidado e higiene rutinaria para mantenerlos en un estado saludable. Cobra más importancia si cabe la higiene en las zonas donde existen puentes, ya que es más fácil que los restos de comida y placa se acumulen. Para poder higienizar los puentes correctamente existen diversos utensilios como el superfloss, el irrigador o los cepillos interproximales, que se introducen en el espacio que existe entre el póntico y la encía para limpiar los restos que puedan quedar atrapados.
Además es recomendable evitar morder cosas duras con las prótesis fijas ya que pueden descementarse o incluso fracturarse.
¿Cuánto Cuesta un Puente Dental?
El coste de un puente dental fijo varía de una persona a otra. También depende de varios factores, como el número de dientes que le faltan, el tamaño del hueco, los materiales utilizados y el laboratorio dental que crea el puente. El precio de un puente dental de 4 piezas en España puede oscilar entre 900 € y 2.500 €, dependiendo del material (metal-cerámica, zirconio, etc.) y si va fijo o removible.
Tabla Comparativa: Tipos de Puentes Dentales
| Tipo de Puente Dental | Características | Ventajas | Desventajas |
|---|---|---|---|
| Tradicional | Coronas en dientes adyacentes | Común, robusto | Requiere tallado de dientes sanos |
| Voladizo | Soporte en un solo lado | Útil en casos específicos | Puede sobrecargar el diente de soporte |
| Maryland | Adhesión a la parte posterior de los dientes | Conservador, mínimo desgaste | Adhesión más débil |
| Implanto-soportado | Soporte en implantes dentales | No afecta a otros dientes, seguro | Requiere cirugía, tiempo de espera |