El sarro dental es un problema común que afecta a muchas personas. Se forma cuando la placa bacteriana no se elimina correctamente y se endurece sobre los dientes. Aunque existen numerosos remedios caseros que prometen eliminar el sarro, es crucial entender qué funciona realmente y qué puede ser perjudicial para tu salud bucal.

¿Qué es el sarro dental?
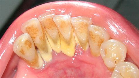
El sarro, también conocido como cálculo dental, es la placa bacteriana que se ha calcificado. Si no se remueve el biofilm oral de forma exitosa, la consecuencia es la formación de sarro. El problema más importante radica en que, al tratarse de bacterias endurecidas, es imposible eliminarlo con el cepillado de dientes convencional.
Por qué es importante eliminar el sarro de los dientes
Es fundamental eliminar sarro de los dientes para evitar:
- Halitosis: El sarro acumulado en los dientes puede provocar mal aliento. Esto se debe a que el sarro alberga bacterias que producen compuestos sulfurados volátiles, responsables del mal olor.
- Pigmentación de los dientes: El sarro, al acumularse en los dientes, puede provocar manchas y decoloración, lo que afecta negativamente la apariencia estética de la sonrisa.
- Inflamación de encías: El sarro puede acumularse debajo de las encías, lo que puede provocar inflamación y enrojecimiento de las mismas. A medida que el sarro se acumula, la inflamación puede agravarse y provocar gingivitis.
- Enfermedades periodontales: Si el sarro no se elimina a tiempo, puede producir enfermedades periodontales como la periodontitis, que puede llevar a la pérdida de los dientes. Esto se debe a que el sarro acumulado debajo de las encías puede destruir el hueso y el tejido conectivo que sostienen los dientes.
¿El bicarbonato de sodio es realmente efectivo?
Seguro que en tu incansable búsqueda para aprender cómo quitar el sarro te has topado con un sinfín de remedios caseros que prometen milagros. Pues bien, ¡todos son falsos! Y no solo eso, en muchos casos este tipo de remedios pueden resultar extremadamente dañinos y perjudiciales para tu salud bucodental.
Si has leído que cepillándote los dientes a diario con bicarbonato acabarás con el sarro o tártaro dental, nuestra recomendación es que no lo hagas. El bicarbonato puede erosionar tus dientes, provocando otros daños más graves en tu sonrisa. Ocurre lo mismo con el vinagre y otros ácidos comunes.
El bicarbonato sódico incluye un compuesto químico que le da propiedades abrasivas suaves. Esa misma abrasividad es la que logra eliminar las manchas de la superficie dental y consigue que parezca más blanca. Sin embargo, si su objetivo es eliminar manchas más profundas y antiguas, el bicarbonato sódico no será tan eficaz. Si está pensando en usar este método para blanquear los dientes, debe conocer sus posibles efectos secundarios. Su uso continuado podría dañar el esmalte que los recubre. Además, el bicarbonato sódico carece de flúor, el cual ayuda a fortalecer los dientes y prevenir la caries dental, por lo que deberá seguir usando el dentífrico habitual.
En general, los dentistas recomiendan que se utilice un dentífrico con flúor porque refuerza el esmalte y ayuda a eliminar la placa para evitar la aparición de sarro. Respecto a la cantidad, mejor quedarse corto que ponerla en exceso para evitar que se genere demasiada espuma.
La mayoría de estos remedios caseros tienen en común una cosa: aplicarlos puede implicar un severo daño en el esmalte dental. Además, ninguna de estas recomendaciones para eliminar el sarro será efectiva sin una higiene dental completa de forma regular.
¿Cómo quitar el sarro de los dientes?
Para quitar el sarro la única solución que hay es someterte a una profilaxis dental profesional. Si ya has detectado importantes cantidades de sarro en tu boca, debes saber que solo un profesional dentista o higienista dental podrá eliminarlo por completo. Más allá de sus consecuencias estéticas, el sarro provoca que la placa bacteriana de los dientes se engrandezca y acabe provocando otros problemas aún más graves en las encías, como la gingivitis.
En nuestras clínicas dentales te ofrecemos dos tratamientos para quitar el sarro. La elección de uno u otro depende, en gran medida, del tipo de sarro que tengas:
- Sarro supragingival: la formación de cálculo en los dientes solo ha afectado a la superficie dental, por encima de la línea de las encías.
- Sarro subgingival: en este caso, el sarro ha llegado también a afectar a los tejidos que hay debajo de la línea de las encías. En muchos casos se han formado bolsas periodontales, que deben retirarse para tratar la periodontitis.
Teniendo esto en cuenta, entenderás que existan dos técnicas para eliminar los acúmulos de sarro de la cavidad bucodental:
Limpieza bucodental
La limpieza bucodental es un procedimiento que se realiza en la consulta del dentista y consiste en limpiar sarro dientes acumulado y encías mediante el uso de instrumentos específicos como curetas y ultrasonidos. Este proceso no es doloroso, aunque puede provocar cierta sensibilidad dental. El profesional también puede realizar un pulido dental para alisar la superficie dental y prevenir la acumulación de placa bacteriana.
También conocida como profilaxis dental. Es una técnica de limpieza de dientes que se realiza en la clínica. El higienista dental es el profesional que suele realizar las limpiezas. Este tratamiento se lleva acabo sobre la superficie de los dientes, los espacios interproximales, el cuello dental y la línea de las encías.
Para obtener resultados exitosos utilizamos herramientas específicas para ello, además de agua a presión a través del irrigador bucal. Las limpiezas dentales profesionales te ayudarán a prevenir la aparición de patologías orales graves. Por ello, recomendamos realizar una o dos profilaxis en el dentista al año. Además, con esta técnica logramos eliminar manchas en los dientes más o menos superficiales, como las producidas por el café o el tabaco.
Curetaje dental
El curetaje dental es un tratamiento más invasivo que se realiza cuando el sarro se ha acumulado en zonas más profundas de las encías, llegando al hueso alveolar y provocando inflamación o infección. Se utiliza anestesia local para poder llegar a esas zonas y se procede a raspar el sarro con la ayuda de curetas y otros instrumentos.
El curetaje dental es una profilaxis oral mucho más profunda. Suele realizarse cuando existe la presencia de alguna enfermedad periodontal. Mediante un raspado y alisado radicular, logramos eliminar las bolsas periodontales y el sarro que se aloja bajo la línea de las encías. Este tratamiento oral se realiza con anestesia local. Por lo tanto, no sentirás nada durante el procedimiento.
Las curetas son las herramientas específicas que nos ayudan a quitar el sarro de forma efectiva, en las superficies subgingivales. Después del curetaje es posible que sientas cierta sensibilidad dental. Estos síntomas desaparecen a los pocos días y no suponen ningún problema para la salud oral.
Recuerda: No es posible eliminar en casa el sarro, por eso la clave es prevenirlo. No fumar, no tomar café ni infusiones y cepillarte frecuente y correctamente son pautas importantes.
Si necesitas saber cómo quitar el sarro de los dientes, el odontólogo profesional será tu mejor aliado. Aléjate siempre de remedios caseros, que puedan empeorar tu salud oral. Y, desde luego, no te creas todos los consejos que lees en Internet, cuando estos no vienen de fuentes fiables.
DIENTES con SARRO - CÓMO SE QUITA, previene y por qué se forma el sarro dental | Dentalk! ©
Cómo evitar el sarro en los dientes de forma natural
Si te preguntas como evitar el sarro en los dientes de forma natural, ten en cuenta los siguientes puntos:
- Cepilla tres veces al día: Es importante cepillarse los dientes después de cada comida para prevenir la acumulación de placa y la formación de sarro. Cepillarse los dientes con una pasta de dientes con flúor durante dos minutos ayuda a eliminar la placa y las bacterias.
- Utiliza una pasta con flúor: El flúor ayuda a fortalecer el esmalte dental y prevenir la formación de caries. Las pastas de dientes con flúor también pueden ayudar a prevenir la acumulación de sarro en los dientes.
- Usa hilo dental: El hilo dental ayuda a eliminar la placa y los restos de comida que se acumulan entre los dientes, lo que ayuda a prevenir la acumulación de sarro.
- Emplea enjuague bucal: Los enjuagues bucales con agentes antibacterianos pueden ayudar a reducir la cantidad de bacterias en la boca, lo que puede prevenir la formación de sarro.
- Lleva una dieta equilibrada: Una dieta equilibrada, baja en azúcares y rica en frutas y verduras, puede ayudar a prevenir la formación de sarro. Además, es importante evitar el consumo excesivo de alimentos y bebidas ácidas, ya que pueden debilitar el esmalte dental.
- Evita el tabaco y el alcohol: Fumar y consumir alcohol en exceso pueden debilitar el esmalte dental y favorecer la acumulación de sarro. Es importante evitar estos hábitos para mantener una buena salud bucal y prevenir problemas como la caries y la enfermedad periodontal.
Además de estos consejos útiles para prevenir la aparición del sarro, hay también muchas otras técnicas “caseras” que puedes adoptar hoy mismo. Aquí tienes algunos ejemplos:
- Mezcla una cucharadita de bicarbonato de sodio con media cucharadita de sal y unta el cepillo de dientes con esta solución para debilitar la placa.
- Lávate los dientes con vinagre de manzana disuelto en agua, al menos una vez a la semana, para retrasar la formación de sarro.
- Con los dientes limpios, enjuágate la boca con agua tibia mezclada con un poco de agua oxigenada.
En cualquier caso, ninguna de estas recomendaciones para eliminar el sarro será efectiva sin una higiene dental completa de forma regular. Ante cualquier duda, consulta con tu dentista de confianza.
¿Cómo prevenir el sarro dental?
Dado que no es posible quitar el sarro en casa y que su aparición puede traer consecuencias graves para la salud dental, la clave radica en evitar que el sarro comience a formarse en tus dientes. ¿Cómo prevenirlo? Siguiendo unos sencillos consejos.
En primer lugar, lo más importante para prevenir la formación del sarro es no tomar café ni abusar de infusiones como el té, que pueden ser perjudiciales para los dientes. Por supuesto, fumar también sería contraproducente. Sabemos que esto no resulta fácil, por eso, en cualquier caso, te aconsejamos limpiar bien tus dientes a menudo y evitar que se genere y se agrave aún más el problema.
Come muchas manzanas y zanahorias, y evita, en la medida de lo posible, el pan de molde y las bebidas carbonatadas.
El mejor hábito es cepillarse los dientes tres o cuatro veces al día (después de cada comida) siguiendo las recomendaciones de los profesionales, a ser posible con un cepillo eléctrico eficaz y de calidad como nuestra gama protective clean, como complemento puedes recurrir a una pasta específica para prevenir la formación de sarro y no olvides la limpieza interdental como por ejemplo,el hilo dental o nuestro Power Flosser, para una limpieza completa.
Consecuencias de la aparición del sarro en dientes
Son muchas las consecuencias de la formación de sarro en los dientes para la salud bucodental. La más visible se produce a nivel estético. El sarro es una película endurecida, que suele tener un color amarillento. Cuando los acúmulos de cálculo dental son más notables y graves puede presentar un antiestético color marrón. Esto, obviamente, afecta a la estética de tu sonrisa.
Pero, las consecuencias estéticas no son ni de lejos las más graves:
- Presencia de caries dentales: la acumulación de placa bacteriana en los dientes debilita el esmalte dental. Esto permite que se vaya perdiendo esmalte, propiciando la aparición de caries. Saber cómo quitar el sarro es imprescindible para evitar estos problemas. Si tienes una caries el dentista te informará del mejor procedimiento para eliminarla. Un empaste u obturación dental suele ser la solución más sencilla. Aunque dependiendo del estado de la lesión los tratamientos pueden variar.
- Enfermedades periodontales: los acúmulos de sarro en los dientes propician la aparición de patologías periodontales. Estas enfermedades infecciosas están causadas por las bacterias orales que no han sido debidamente eliminadas. Hay dos fases importantes:
- Gingivitis: es la primera fase de la enfermedad periodontal. En este momento, la patología es reversible. Si tus encías sangran y están inflamadas o te duelen es importante poner remedio cuanto antes.
- Periodontitis: en esta fase la enfermedad periodontal ha avanzado considerablemente, afectando a los huesos de soporte de los dientes. Es imperante que comiences con los tratamientos bucodentales cuanto antes, con el fin de evitar la pérdida de dientes.
Normalmente se oscurecen o amarillean los dientes por lo que a largo plazo, después de hacer una periodoncia tendremos que recurrir a un blanqueamiento dental para mejorar el aspecto de los dientes si queremos unos dientes perfectos o unos dientes blancos.
| Problema | Consecuencia |
|---|---|
| Acumulación de sarro | Halitosis, pigmentación, inflamación de encías, enfermedades periodontales |
| Gingivitis | Inflamación y sangrado de encías |
| Periodontitis | Pérdida de hueso y dientes |
tags: #bicarbonato #para #sarro