Los bifosfonatos son un grupo de medicamentos utilizados para tratar problemas óseos, tales como la osteopenia o la osteoporosis. Estos medicamentos se administran a pacientes con baja densidad ósea o a pacientes con antecedentes de fracturas óseas por fragilidad en la cadera, el brazo, la muñeca o la columna vertebral.
A medida que envejecemos y en ciertas enfermedades, el hueso se elimina o daña más rápido de lo que el cuerpo puede reemplazarlo. Esto deja los huesos delgados y debilitados y mucho más propensos a fracturarse incluso con un pequeño impacto o una caída. Los bifosfonatos ayudan a fortalecer los huesos y a prevenir fracturas, reduciendo la actividad de los osteoclastos y, por lo tanto, reduciendo el recambio óseo o la eliminación de hueso viejo.
Los sitios más comunes de fracturas por osteoporosis son la muñeca, la cadera y la columna vertebral. Los bifosfonatos generalmente se toman de 3 a 5 años. Es conveniente que todos los pacientes se sometan a un examen y a una limpieza dental antes de comenzar la terapia con bifosfonatos, y la limpieza dental regular debe continuar durante todo el tiempo que dure el tratamiento con bifosfonatos.

Riesgos Asociados a los Bifosfonatos
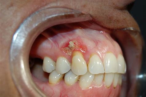
El uso de bifosfonatos está asociado con condiciones patológicas, como es la osteonecrosis de la mandíbula, patología que se produce en un área del hueso que ha perdido el suministro de sangre. Los pacientes con osteonecrosis, también conocida como necrosis avascular de la mandíbula, desarrollan hueso expuesto que no cicatriza, y a menudo es dolorosa.
Esta patología se ha definido como la presencia de hueso expuesto en la región maxilofacial que no cicatriza dentro de las 8 semanas posteriores a la identificación por parte de un profesional de la salud. Esta enfermedad ósea presenta dolor, hinchazón o infección en la mandíbula.
Los primeros informes de este tipo de patología surgieron en pacientes oncológicos que recibieron dosis mucho más elevadas que las utilizadas para tratar la osteoporosis. La incidencia de osteonecrosis parece ser sustancialmente menor entre los pacientes que reciben tratamiento con bifosfonatos orales para la osteoporosis.

Osteonecrosis de los Maxilares (ONM)
La osteonecrosis de los maxilares (ONM) se trata de una lesión ósea poco frecuente secundaria a la isquemia ósea. Los primeros casos se publicaron en 2003 y 2004, y desde entonces se han incrementado los casos descritos en la literatura de ONM relacionada con la toma de estos medicamentos.
La American ASBMR (American Society for Bone and Mineral Research) ha recomendado la utilización de la siguiente definición de la ONM: "un área de hueso expuesto que persiste durante más de 8 semanas en ausencia de radiación previa y/o metástasis en la mandíbula".
En España un panel de expertos recomienda la utilización de los siguientes criterios para la definición de ONM en el caso concreto de pacientes neoplásicos que reciben tratamiento con bifosfonatos por vía intravenosa:
- Paciente que recibió o está recibiendo tratamiento con bifosfonatos intravenosos.
- Presencia de una o varias lesiones ulceradas en la mucosa de los procesos alveolares, con exposición del hueso maxilar o mandibular. También pueden existir casos sin exposición ósea, con dolor o fístulas, que deben ser considerados como candidatos para realizar un estudio más detallado.
- El hueso expuesto presenta un aspecto necrótico.
- La lesión se presenta de forma espontánea, más frecuentemente, tras un antecedente de cirugía dento-alveolar (especialmente exodoncias).
- Ausencia de cicatrización durante un periodo de, al menos, 6 semanas.
La patogenia de la ONM se desconoce, pero parece que se basa en la acción de los bifosfonatos sobre el metabolismo del Ca/P y los osteoblastos, que indirectamente inhiben la neoangiogénesis ósea y lesionan el endotelio de los pequeños vasos.
Entre los factores de riesgo destacan: el diagnóstico de cáncer (especialmente de mama), el tratamiento concomitante con quimioterapia, radioterapia y corticoides, la infección o la patología oral preexistente y la presencia de anemia o de alteraciones de la coagulación.
Aunque se han descrito casos de relacionados con la toma de bifosfonatos por vía oral como el alendronato, la American Society for Bone and Mineral Research (ASBMR) ha estimado el riesgo de ONM asociado a la terapia con bifosfonatos para la osteoporosis entre 1/10.000 y 1/100.000 pacientes/ tratamiento y año.
La ONM por bifosfonatos suele aparecer entre 4 meses y 6 años de iniciado el tratamiento con bifosfonatos. En el caso de los bifosfonatos orales el tiempo medio de consumo es de 5,6 años (rango: 3,3-10,2 años).

Bifosfonatos y Exodoncia en Pacientes Geriátricos
La extracción dentaria en el paciente geriátrico representa el tratamiento más frecuente en cirugía bucal, dada la habitual presencia de caries y enfermedad periodontal. En estos pacientes resulta común la presencia de enfermedades sistémicas, lo que conlleva a un consumo de diferentes fármacos para el tratamiento de las mismas. Este hecho puede repercutir sobre la salud bucodental y debe ser tenido en cuenta a la hora de efectuar cualquier tratamiento quirúrgico.
Uno de los tratamientos más frecuentes son los bifosfonatos, fármacos análogos de los pirofosfatos endógenos que se fijan al hueso actuando como potentes inhibidores de la actividad osteoclástica. Su uso va encaminado a la prevención y tratamiento de enfermedades que cursen con reabsorción ósea, ya sea de tipo oncológico o no oncológico como la osteoporosis.
En los pacientes que están en tratamiento con bifosfonatos, y debido a su acción antiosteoclástica, la capacidad de regeneración y reparación ósea del alveolo dental tras una extracción dental, puede verse alterada. En algunos casos, tras extracciones y/o cirugías dentales, el proceso de cicatrización que normalmente debe producirse, no lo hace, y el hueso maxilar o mandibular queda expuesto.
Este fenómeno es conocido como la osteonecrosis inducida por bifosfonatos que fue definida en el año 2007 por la Asociación Americana de Cirujanos Orales y Maxilofaciales (AAOMS) como la presencia de exposición ósea en los maxilares durante más de ocho semanas en pacientes que hayan sido tratados con estos fármacos y que no hayan recibido radioterapia.
Del mismo modo, esta posible complicación se ha observado sobretodo con el uso de bifosfonatos intravenosos, como es el caso del ácido zoledrónico donde la incidencia está comprendida entre el 1-15% de los pacientes que reciben dicha medicación. Por el contrario, se produce muy rara vez con los bifosfonatos orales, habiéndose descrito con estos últimos una posible incidencia de 1 caso de cada 10.000-100.000 pacientes que lo toman.
Es por esto por lo que algunos autores coinciden en suspender el tratamiento con bifosfonatos antes de realizar cualquier intervención de cirugía oral, pero no hay evidencia científica que nos confirme un menor riesgo de osteonecrosis, ya que la vida media de los bifosfonatos en el hueso es muy larga.
En el caso de los bifosfonatos intravenosos, dado que el riesgo es mucho mayor, se sugiere evitar en lo posible los tratamientos quirúrgicos orales, tales como extracciones o implantes, mientras que en los tratamientos con bifosfonatos orales no se puede contraindicar dichos tratamientos de esa manera tan categórica.
Toma de bisfosfonatos y tratamiento dental
Tratamiento Endodóntico y Osteonecrosis Maxilar
La osteonecrosis maxilar por bifosfonatos (OMB) se ha convertido en uno de los desafíos más importantes en la comunidad médica desde los primeros reportes que surgieron el año 2003. Esta entidad patológica puede provocar una morbilidad significativa que va desde dolor leve hasta la pérdida significativa de los huesos maxilares y su función.
La OMB es el principal efecto adverso del tratamiento con bifosfonatos. Es definida como una exposición del hueso mandibular y/o maxilar que persiste por más de 8 semanas en pacientes que no han recibido irradiación en esa región y que han recibido tratamiento con bifosfonatos.
El mecanismo mediante el cual los bifosfonatos inhiben la reabsorción ósea no está totalmente esclarecido. Se sabe que los bifosfonatos son incorporados por los tejidos mineralizados y son liberados durante la reabsorción producida por el recambio fisiológico del tejido óseo. En ese momento son internalizados por los osteoclastos, inhibiendo su capacidad de reabsorción ósea.
En el año 2005 Sarathy et al. presentan 2 casos clínicos en que la endodoncia sería un factor precipitante de OMB. Es importante enfatizar que algunos grupos de pacientes corren un riesgo especial, entre estos, aquellos tratados con bifosfonatos endovenosos, u orales por más de 3 años que presenten enfermedades sistémicas tales como diabetes, terapia con corticoides, entre otras.
Debido a que la evidencia apoya la seguridad de la endodoncia en pacientes que reciben bifosfonatos, podría ser empleado como una estrategia de reducción de riesgos, ya que retrasaría o evitaría las extracciones dentales.
En cuanto al manejo endodóntico e implicaciones clínicas en pacientes con riesgo de OMB, existen 2 pasos durante el tratamiento de endodoncia no quirúrgica que pueden ser capaces de desencadenar el proceso fisiopatológico de OMB:
- El odontólogo debe ser lo más cauteloso y atraumático posible en la colocación de un clamp, ya que puede causar un traumatismo en el tejido periodontal y en el hueso marginal que podría ser un factor de riesgo para el desarrollo de OMB.
- A pesar de que no hay evidencia clara de si la infección es un evento primario o secundario en la fisiopatología de OMB, el microorganismo Actinomyces ha estado presente una vez que la infección ha sido identificada.
Se sugieren las siguientes recomendaciones basadas en la literatura:
- Es importante considerar en estos pacientes una interconsulta con el médico tratante.
- Algunos grupos corren un riesgo especial y merecen un especial cuidado. Estos incluyen a los pacientes tratados con bifosfonatos intravenosos, así como los pacientes que han estado tomando bifosfonatos por vía oral durante más de 3 años y que de forma concomitante presenten compromiso sistémico (enfermedad renal crónica, diabetes, terapia con corticoides).
- El enjuague bucal con clorhexidina unos minutos antes del comienzo del tratamiento podría reducir la carga bacteriana de la cavidad oral, y su objetivo sería reducir la bacteriemia ocasionada por cualquier traumatismo causado en el tejido blando.
- Una disminución o alteración en la vascularización es un factor de riesgo para la osteonecrosis en general; el uso de anestésicos con vasoconstrictores deben evitarse, porque los bifosfonatos ejercen una acción antiangiogénica.
- Evitar el uso de clamp o minimizar el traumatismo periodontal puede representar un importante objetivo para la prevención de OMB.
- Debemos minimizar el traumatismo no solo marginal (posición del clamp), sino también apical (por ejemplo, la longitud de instrumentación y obturación).
Implantes Dentales y Bifosfonatos
Hay controversia sobre el nivel de riesgo que supone el estar en tratamiento con Bifosfonatos (BFN) cuando se realiza un implante dental, para el desarrollo de una osteonecrosis de mandíbula (ONM). Estar en tratamiento con BFN no parece influir en la tasa de fallos de los implantes; pero sí que parece incrementar ligeramente el riesgo de desarrollar ONM, aunque este incremento estará en función del riesgo individual.
Actualmente no se recomienda la suspensión del tratamiento con BFN de manera previa a la realización de un implante, si la indicación se ha realizado por osteoporosis y se está tomando los BFN durante un período inferior a 4 años.
Las revisiones sistemáticas(RS) analizadas no establecen una conclusión firme sobre el incremento de riesgo de ONM por implantes en pacientes en tratamiento con BFN; sin que se desprenda de manera clara una recomendación sobre la necesidad de suspender previamente el tratamiento, decisión que deberá realizarse de forma individualizada en función del nivel de riesgo.
Encontraron una asociación entre ONM y los BFN cuando el implante se realizó durante, o tras el tratamiento con BFN y que había una asociación entre ONM y la duración del tratamiento con BFN. Concluyó que la inserción de implantes dentales durante y después del tratamiento con BFN se asociaba con el desarrollo de ONM.
Todas las guías de práctica clínica revisadas insistían en la necesidad de mantener una adecuada higiene y revisiones dentales en los pacientes en tratamiento con BFN y procurar realizar las intervenciones que fueran necesarias antes de comenzar el tratamiento con BFN.
En el caso de realizar un implante destacan la necesidad de estratificar de manera individual el riesgo de ONM y de informar adecuadamente al paciente del incremento del riesgo. En los pacientes que toman BFN por osteoporosis durante un período inferior a 4 años, no es preciso que suspendan el tratamiento con BFN antes de realizar el implante dental.
En los pacientes que toman BFN para la osteoporosis durante menos de 4 años y que también están tomando corticoides, o en todos los pacientes con osteoporosis que toman BFN durante más de 4 años, independientemente de la medicación concomitante, aconsejaban suspender el tratamiento con BFN al menos dos meses antes del procedimiento dental, si las condiciones generales lo permitían. En estos casos los BFN no deben ser reiniciados hasta que no se produzca la cicatrización ósea.
Los sumarios de evidencia de Uptodate incluyen a los implantes dentales entre los factores de riesgo para el desarrollo de ONM y, siempre que sea posible, aconsejan retrasar varios meses el comienzo de la terapia con BFN tras la realización de un implante.

Recomendaciones Generales
- Atención cuidadosa a la higiene dental, incluido un examen de la cavidad oral.
- Detección y tratamiento de problemas dentales activos o anticipados, tanto antes del inicio del tratamiento con bifosfonatos como durante el tratamiento.
- Si se desarrolla osteonecrosis en cualquier paciente, estos deben ser tratados con desbridamiento conservador del hueso afectado, antibióticos, enjuagues bucales antisépticos y control del dolor.
La osteoporosis y la salud dental están conectadas, y con las precauciones adecuadas puedes minimizar riesgos y mantener una buena calidad de vida.
tags: #bifosfonatos #y #anestesia #dental