La sonrisa es uno de los rasgos faciales más cuidados y que más preocupación producen entre la población. Lucir unos dientes bien alineados, blancos y perfectos se ha convertido en casi una obsesión para muchas personas, y el cine y las series han tenido mucho que ver en ello. Los actores se terminan convirtiendo en un fenómeno de masas, al igual que los influencers, y con ello influyen en gran medida en sus seguidores.

Blanca Suárez en la presentación de ‘El Test’ en el Festival de Málaga.
Sin duda, Blanca Suarez es una de las sonrisas más llamativas del panorama español. Anteriormente, sus incisivos eran notablemente más largos que los dientes laterales, y en la actualidad sus piezas quedan al mismo nivel. El procedimiento más común para conseguir esto son las carillas dentales, que consiste en la colocación de láminas de cerámica sobre el diente para modificar su tamaño y forma. Además, es probable que Blanca Suárez haya realizado también un contorneado dental estético.
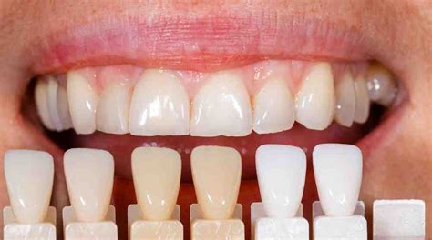
¿Qué son las Carillas Dentales?
Las carillas de porcelana son una solución altamente efectiva en odontología estética para mejorar la apariencia de los dientes. Se tratan de finas capas personalizadas que se colocan en la parte frontal de los dientes, con el objetivo de restaurar o realzar la belleza de tu sonrisa.

Ejemplo de carillas dentales de porcelana.
Tipos de Carillas
Según la Dra. Irene Esteve, líder en el sector del diseño de carillas dentales de porcelana y artífice de sonrisas de cine, existen dos grandes grupos:
- Carillas de composite: Se realizan generalmente a mano por el odontólogo, con resinas compuestas. Tienen la ventaja de que se ponen muy rápido y son bastante finas, no obstante, se suele requerir tallado. Sin embargo, el material empleado es poco resistente y suelen aparecer fracturas a los pocos meses. Además, se tiñen fácilmente con los pigmentos externos de los alimentos, bebidas y tabaco.
- Carillas de porcelana: Comparten la característica principal de ser muy resistentes y no cambiar de color con el consumo de alimentos. Se dividen en:
- Porcelana feldespática: Son muy estéticas, pero requieren tallar el diente para poder darle un grosor mínimo, si no se pueden romper en la fabricación o con el uso.
- Porcelana de disilicato de litio: Un material que en los últimos años ha demostrado proporcionar a las carillas las mejores cualidades de estética y resistencia. Permiten realizar carillas del mismo tamaño de una lente de contacto ocular, es decir, 1 o 2 micras, lo que se traduce en que se pueden realizar carillas de porcelana sin ningún tipo de tallado, sin dañar el diente.
Según la doctora, las carillas de porcelana de disilicato de litio son la opción recomendada para cualquier paciente que desee tener una sonrisa perfecta a largo plazo, sin problemas de fracturas o tinciones.
🚩 Carillas dentales: ¿Negocio o Salud?
El Proceso de Colocación de Carillas de Porcelana
El procedimiento para colocar carillas de porcelana en odontología estética generalmente requiere dos visitas a tu dentista. En la primera consulta, se realiza una impresión de tus dientes que se envía a un laboratorio dental especializado. En la segunda visita, se prepara el diente con una pequeña cantidad de esmalte dental, sin necesidad de grandes intervenciones o anestesia. Luego, las carillas se colocan sobre los dientes y se fijan con cementos adhesivos especiales.
Blanqueamiento Dental: Un Complemento Ideal
El blanqueamiento dental se mantiene a la cabeza de los tratamientos más deseados para lucir una sonrisa brillante. Es una técnica a la que recurren muchos para aclarar varios tonos el color original de las piezas dentales. No tiene por qué producir sensibilidad, pero hay que diagnosticar bien al paciente en consulta para observar si hay un estado previo de hipersensibilidad.

Ejemplo de antes y después de un blanqueamiento dental.
Tipos de Blanqueamiento
Existen varias técnicas para realizar un blanqueamiento: se puede realizar en clínica o bien, en casa. No es que uno sea mejor que el otro, sino que hay que diagnosticarlo correctamente porque no todos los pacientes son aptos para el mismo tratamiento.
- Blanqueamiento domiciliario: Se realiza durante un mes con unas férulas a medida y se aplica en casa, vigilado por un profesional. El paciente tiene el control de ese producto y decide el nivel de blanco que está adquiriendo y el nivel de sensibilidad.
- Blanqueamiento en clínica: Se realiza igualmente con peróxido de hidrógeno, pero en este caso con altas dosis. Y esto se hace en pacientes concretos. A mí me gusta emplearlos sólo en dientes que no son vitales, porque al ser un tratamiento más fuerte es difícil de soportar la sensibilidad que producen estos productos, aunque estén previamente tratados con desensibilizantes.
Rutina de Cuidado Dental para una Sonrisa Duradera
Además de los tratamientos profesionales, es fundamental mantener una rutina de higiene bucal diaria:
- Lavarse los dientes después de cada comida, durante al menos dos minutos y con un cepillo medio (ni muy suave ni muy duro).
- Usar hilo dental una vez al día.
- Usar un irrigador, aparte del cepillado y el hilo dental, para asegurar una perfecta higiene.
Consejos Adicionales
- Evita ingerir demasiados dulces.
- Controla la ingesta de bebidas gaseosas y alcohólicas.
- Evita fumar.
Miedo al Dentista y Avances Tecnológicos
Gracias al implemento de nuevas tecnologías en odontología, el miedo a los dentistas es ya historia. En las nuevas consultas odontológicas, con una decoración y atención exquisitas, te sientes como en un hotel de cinco estrellas.
"El escaneo digital de la boca y un software avanzado consiguen tener modelos precisos de la dentadura y diseñar virtualmente los tratamientos. Y la progresiva implantación de las impresoras 3D nos permitirá pronto fabricar nuestros propios aparatos en la consulta, acortando el tiempo de espera y abaratando los costes", vaticina el doctor Javier Canut.
Tendencias y Modas en la Sonrisa
Los famosos y las personas más populares marcan tendencias con sus estilismos y hábitos de vida, pero ahora también inspiran a sus fans llevando dientes de oro, provocando intencionadamente el efecto de dientes separados o decorando sus sonrisas con un piercing en el frenillo.

Ejemplos de tendencias en la sonrisa.
No hay que seguir modas que puedan poner en riesgo tu salud y la calidad de tu sonrisa. Aún así, disponemos de otro tipo de prácticas menos agresivas para nuestra salud, como son los adhesivos dentales colocados mediante materiales adhesivos sobre nuestros dientes.