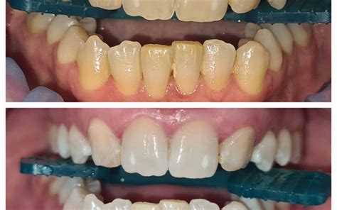
El blanqueamiento dental es un tratamiento estético que busca aclarar el color de los dientes, ofreciendo una sonrisa más estética, cuidada y juvenil. Aclara varios tonos el color de los dientes y elimina las manchas superficiales causadas por el consumo de café, tabaco o té. Este tratamiento se ha convertido en uno de los más demandados en las clínicas dentales, con un creciente número de hombres que buscan mejorar su apariencia dental.

¿Qué es un Blanqueamiento Dental?
El blanqueamiento dental es un tratamiento que tiene como objetivo aclarar el color de los dientes mediante la aplicación de sustancias químicas. Estas sustancias generan una reacción en el esmalte que permite devolverle su blanco natural. De esta manera, el blanqueamiento ayuda a eliminar las manchas superficiales provocadas por el consumo de tabaco y de alimentos o bebidas con mucha coloración (frutos rojos, café, vino tinto, té…).
Tipos de Blanqueamientos Dentales
Existen varios tipos de blanqueamientos dentales, cada uno con sus propias características y ventajas. En Smysecret ofrecen tres tipos de blanqueamientos dentales: en clínica, en casa y combinado.
Blanqueamiento con Lámpara de Luz Fría o Luz LED (en Clínica)
Este tipo de blanqueamiento es realizado por el dentista en la propia clínica dental. Consiste en una o varias sesiones de lámpara que tienen una duración de entre 20-30 minutos, aproximadamente. Antes de llevarlo a cabo, es necesario realizar una limpieza bucodental profesional y crear la historia completa del paciente (anamnesis). De esta manera, se podrán valorar las posibilidades del tratamiento y alcanzar las expectativas.
Con la limpieza bucodental, se asegura que los dientes estén limpios y lisos, lo cual es imprescindible para que el producto blanqueador penetre en el diente y haga efecto. Mediante el blanqueamiento dental en clínica es posible obtener resultados visibles de inmediato, es decir, nada más terminar la sesión.
Blanqueamiento Mediante Férulas (en Casa)
Para llevar a cabo este tipo de blanqueamiento, los dentistas entregan un kit compuesto por unas férulas y varios viales de producto blanqueante. Con el blanqueamiento dental en casa -que suele tener una duración de 15 días- se pueden empezar a notar los resultados a partir de la primera semana, siempre y cuando se realice el proceso tal y como ha sido pautado por el odontólogo.
Blanqueamiento Combinado
Como su propio nombre indica, este tipo de blanqueamiento consiste en una combinación de los dos anteriores. Es una recomendación para lograr unos resultados más notables y duraderos. En este caso, primero se lleva a cabo el blanqueamiento en clínica y, posteriormente, el blanqueamiento en casa.
De esta manera, se pueden conseguir los resultados inmediatos que aporta el blanqueamiento realizado por el dentista. Y, además, se logra que los dientes se mantengan blancos durante más tiempo, gracias a la acción reforzada de las férulas.
COMO BLANQUEAR los DIENTES 💜 LA MEJOR MANERA 🔥🔥🔥 - BLANQUEAMIENTO DENTAL MIXTO 🔥
¿Cómo se Realiza un Blanqueamiento Dental?
El blanqueamiento dental puede realizarse tanto en la clínica dental como en casa del paciente, bajo el control y la supervisión de un dentista. Se lleva a cabo mediante la aplicación de un gel blanqueador en los dientes, que contiene agentes químicos como el peróxido de hidrógeno o el peróxido de carbamida. Estas sustancias penetran en el esmalte dental, descomponiendo las manchas en moléculas más pequeñas, lo que reduce la coloración de los dientes.
Blanqueamiento en Clínica (con Lámpara)
- Aplicación del gel blanqueador: En primer lugar, el odontólogo aplica un producto para cubrir y proteger las mucosas (encías) del efecto del gel blanqueador, ya que resulta abrasivo para ellas. Tras esto, coloca el gel blanqueador sobre los dientes.
- Colocación de la lámpara de luz fría o LED: El dentista coloca una lámpara de luz fría o LED sobre los dientes, lo que permite activar el gel blanqueador y que haga efecto. Este paso dura entre 20 y 30 minutos, en función del caso de cada paciente. Asimismo, el número de sesiones puede variar, ya que el blanqueamiento en clínica suele requerir entre una y tres sesiones.
Blanqueamiento en Casa (con Férulas)
- Confección de las férulas: En primer lugar, el profesional toma impresiones de ambas arcadas de la boca (superior e inferior) para fabricar unas férulas a medida de los dientes del paciente.
- Instrucciones de uso: El dentista explica al paciente las instrucciones del tratamiento para que utilice correctamente las férulas en su casa (cantidad de gel a aplicar, número de días de uso, tiempo diario que debe llevar las férulas…).
- Uso de las férulas en casa: El odontólogo entrega al paciente el kit blanqueador para que lo use en su casa. Normalmente, las férulas se deben llevar por la noche, en las horas de sueño, durante dos semanas. No obstante, los tiempos de uso son personalizados, por lo que debe pautarlos el odontólogo en función de cada caso.
Blanqueamiento Combinado (con Lámpara y Férulas)
Este tratamiento combina los dos procedimientos anteriores: el primero en la clínica y bajo la supervisión directa del dentista, y el segundo en la propia casa del paciente.
Precios de Blanqueamientos Dentales
El precio del blanqueamiento dental puede variar dependiendo del tipo de tratamiento y la clínica dental. Aquí te mostramos algunos precios de referencia:
| Tipo de Blanqueamiento | Precio Aproximado | Descripción |
|---|---|---|
| Clínica | 365€ | Incluye estudio de sonrisa, limpieza y sesión de blanqueamiento. |
| Combinado | 486€ | Incluye una sesión en clínica y un kit para casa. |
| Casa | 262,50€ | Incluye kit de blanqueamiento completo para casa, estuche e instrucciones. |
Es importante tener en cuenta que estos precios son aproximados y pueden variar según la clínica y las necesidades específicas de cada paciente.
Ventajas del Blanqueamiento Dental
El blanqueamiento dental es uno de los tratamientos estéticos preferidos por muchos pacientes. La razón es que ofrece ventajas tan valoradas como las siguientes:
- Aspecto más estético y juvenil: El blanqueamiento aclara el tono amarillo o marrón de los dientes, lo que suele dar a la sonrisa un aspecto más envejecido y descuidado. Por tanto, este tratamiento ayuda a lucir una sonrisa más estética, saludable y juvenil.
- Mejora la autoestima: El hecho de tener una apariencia más estética aumenta la confianza de las personas y contribuye a que sonrían más.
- Proceso cómodo: El blanqueamiento suele resultar un proceso cómodo para los pacientes. El realizado con lámpara requiere realizar una o varias visitas relativamente cortas a la clínica dental. Por su parte, el que se lleva a cabo en casa no interfiere demasiado en la rutina diaria del paciente, ya que las férulas se llevan durante unos días y para dormir.
- Bajo riesgo de sensibilidad: Debido a su composición (libre de alcohol y excipientes), el blanqueamiento de Smysecret presenta menos riesgo de causar sensibilidad que otros tratamientos.

¿Cuánto Dura un Blanqueamiento Dental?
Los resultados obtenidos por el blanqueamiento dental dependen, en gran medida, de que el paciente respete las indicaciones ofrecidas por el dentista (alimentación, tabaco, higiene, etc.). Además, para mantener los resultados durante más tiempo suele ser necesario realizar un mantenimiento cada uno o dos años. En función del caso de cada paciente, el dentista deberá valorar en qué debe consistir este tratamiento de refuerzo, ya que puede ser en casa o en clínica.
Preguntas Frecuentes sobre el Blanqueamiento Dental
Aquí respondemos algunas de las preguntas más comunes sobre el blanqueamiento dental:
¿Qué causa el oscurecimiento de los dientes?
Los dientes se oscurecen tanto por causas extrínsecas -que tienen que ver con el estilo de vida- como por causas intrínsecas -originadas en el interior del diente-. Las principales causas extrínsecas están relacionadas, por tanto, con la alimentación y el tabaco. En cambio, las causas intrínsecas se deben, sobre todo, al consumo de medicamentos y antibióticos (tetraciclinas, clorhexidina, etc.).
Pero, además, hay otros factores que condicionan la evolución en el color del esmalte, como la genética y la edad. En este último caso, se debe tener en cuenta que los dientes se oscurecen de manera natural con el paso del tiempo, aunque los hábitos de vida sean óptimos. Por tanto, el blanqueamiento es una manera de ralentizar el envejecimiento de los dientes.
¿Cuántos tonos se blanquean los dientes?
El número de tonos que se pueden aclarar los dientes depende del caso de cada paciente. No todas las personas nacen con la misma dentina -capa interna del diente que condiciona su color- ni tienen los mismos hábitos de vida (higiene, alimentación, tabaco…). Por ello, no se puede determinar de antemano cuál va a ser el tono alcanzado por los dientes.
Eso sí, podemos decir que, en algunos casos, se ha llegado a observar una reducción de hasta 6-8 tonos en el color del esmalte.
¿Qué hacer después del blanqueamiento?
Después de un blanqueamiento dental, lo más recomendable es seguir una dieta blanca, basada en alimentos con escasa coloración, durante 5-7 días. Además, hay que cepillarse los dientes tres veces al día y evitar tanto el tabaco...
tags: #blanqueamiento #dental #hombre