Nuestra sonrisa es una carta de presentación, y el blanqueamiento dental se ha convertido en uno de los tratamientos estéticos más solicitados hoy en día. El deseo de tener dientes perfectos, impulsado por celebridades, redes sociales y la cultura de las selfies, está en auge. Con el tiempo, factores como ciertos alimentos, el tabaco y una higiene bucal deficiente pueden oscurecer los dientes.
Actualmente, la demanda de blanqueamiento dental ha dado lugar a numerosos métodos caseros y técnicas de origen incierto, que pueden conllevar riesgos y efectos secundarios. Para garantizar una sonrisa perfecta, lo ideal es consultar a tu odontólogo de confianza. Él podrá recomendarte el blanqueamiento dental con láser u otras técnicas seguras y mínimamente invasivas para aclarar tus dientes.

¿Por qué es útil el blanqueamiento dental?
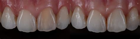
El blanqueamiento dental es un proceso destinado a eliminar manchas y amarillamiento en los dientes, mejorando significativamente su aspecto hacia uno más blanco y brillante. Estas manchas suelen deberse al consumo de ciertos alimentos y bebidas, como café, té y vino, o al uso de tabaco, además del envejecimiento natural o el uso de ciertos medicamentos.
Realizar un blanqueamiento dental no solo embellece la sonrisa, sino que también puede fortalecer la autoestima y la confianza personal. Además, hay estudios que indican que una sonrisa más blanca puede ser beneficiosa en el ámbito profesional y social, asociándose a mayor confianza y juventud. Antes de comenzar cualquier tratamiento de blanqueamiento, es esencial consultar con tu dentista para asegurar su adecuación y prevenir posibles efectos secundarios.
¿Qué método usan los dentistas para blanquear los dientes?
La técnica utilizada podría variar de acuerdo a la tecnología o los conocimientos del odontólogo, pero en casi todos los casos los especialistas utilizan 2 tipos de técnicas para el blanqueamiento de los dientes:
El blanqueamiento dental combinado: dos en uno
La técnica del blanqueamiento dental con láser, también conocida como luz fría, ofrece resultados inmediatos y duraderos. Paralelamente, se utiliza el blanqueamiento con férulas de gel, aplicado por los pacientes durante la noche. Previo a su aplicación, los odontólogos realizan una revisión general y descartan enfermedades dentales.
La combinación de estas técnicas implica que la luz fría del láser activa los componentes del gel blanqueador, que contiene un 6% de peróxido de hidrógeno. Así, el blanqueamiento con férulas de gel requiere un activador, en este caso, el láser. Este proceso libera oxígeno, potenciando las propiedades blanqueadoras del gel.
El especialista explicará el procedimiento del blanqueamiento con férulas, su duración y otros detalles importantes. Ambas técnicas aseguran resultados rápidos, eficaces y de larga duración.
Dientes de endodoncia: El blanqueamiento dental interno
Los dientes tratados mediante endodoncia o de conducto no responden igual al blanqueamiento con láser o férulas, requiriendo un enfoque especial para aclarar su tono. Para aquellos pacientes que buscan recuperar el color natural de sus dientes y mejorar su estética dental, la solución es el blanqueamiento interno. En estos casos, los odontólogos aplican un agente blanqueador dentro del diente, sellándolo para que actúe durante un período de hasta 7 días. Dependiendo de la tonalidad y condición del diente, puede ser necesario repetir el procedimiento para alcanzar los resultados óptimos.

La mejor manera de blanquear los dientes
¿Es doloroso blanquearse los dientes?
El procedimiento de blanqueamiento dental no suele ser doloroso, aunque en algunos casos, según la técnica utilizada, puede provocar sensibilidad dental. Esta sensibilidad normalmente disminuye gradualmente en las 72 horas posteriores al tratamiento. La intensidad del dolor varía según el método de blanqueamiento, la sensibilidad dental previa y la duración y frecuencia de las sesiones. Por ejemplo, los tratamientos realizados en clínicas suelen ser más intensos y pueden causar más sensibilidad que los métodos caseros.
En general, el blanqueamiento dental es seguro y efectivo cuando se realiza bajo la supervisión de un dentista capacitado. Si te preocupa el dolor o la sensibilidad dental, consulta a tu dentista antes de iniciar el tratamiento. Él puede sugerirte enjuagues o pastas dentales específicas para minimizar la sensibilidad y aliviar cualquier molestia durante y después del procedimiento.
¿Cuál es el precio del blanqueamiento dental?
Una de las principales inquietudes de los pacientes interesados en el blanqueamiento dental es el costo del tratamiento, después de conocer los métodos utilizados por los dentistas. El precio del blanqueamiento dental varía según el método escogido y el lugar donde se realice el procedimiento.
En promedio, el costo de un tratamiento de blanqueamiento dental realizado por un dentista oscila entre 400 y 650 euros. Sin embargo, hay opciones más accesibles, como los kits de blanqueamiento para uso doméstico, cuyos precios fluctúan entre 25 y 100 euros. Se aconseja consultar con su dentista para obtener un cálculo exacto del costo y elegir la opción más adecuada para sus necesidades.
¿Cómo mantener mis dientes blancos después del tratamiento?
Después de un tratamiento de blanqueamiento dental, es crucial considerar el mantenimiento y el impacto de ciertos alimentos en la tonalidad de tu esmalte dental. Si no estás seguro de qué alimentos evitar para mantener tus dientes blancos post-tratamiento, aquí tienes una lista detallada para preservar una sonrisa radiante:
- Minimiza el consumo de café, té, vino tinto, vino rosado y jugo de naranja.
- Evita frutas y verduras de colores intensos, como la remolacha, en tu dieta.
- Los alimentos cítricos y ácidos también deben limitarse para conservar la blancura dental.
- Renuncia al tabaquismo para prolongar los efectos del blanqueamiento dental.
Otros factores externos que influyen en la efectividad del blanqueamiento dental
Hay factores externos que pueden oscurecer el esmalte dental, por lo que una consulta odontológica previa es esencial para identificar cualquier condición que esté afectando tus dientes y determinar el tratamiento adecuado. Visita a tu odontólogo de confianza. Los especialistas saben cómo realizar un blanqueamiento dental efectivo, cuál es el método más apropiado para tu caso, cómo mantener la blancura de tus dientes post-tratamiento y otros detalles cruciales para lograr una sonrisa perfecta.
Para concluir, no olvides adoptar medidas preventivas: cepíllate adecuadamente después de cada comida, limita el consumo de alimentos con colorantes, evita el tabaco y considera hacer un blanqueamiento dental con un dentista profesional al menos una vez al año.
¿Qué son las tiras blanqueadoras?
Las tiras blanqueadoras son una forma de blanqueamiento dental para uso en casa. Estas tiras están impregnadas con peróxido de carbamida o peróxido de hidrógeno, que son agentes blanqueadores. Las tiras se aplican directamente sobre los dientes y se dejan en contacto con los dientes durante un período de tiempo determinado (generalmente de 20 a 30 minutos) antes de ser retiradas.
El peróxido de hidrógeno y el peróxido de carbamida son dos sustancias que son utilizadas para blanquear los dientes, el peróxido de hidrógeno es más conocido y es el ingrediente activo en la mayoría de los kits de blanqueamiento dental de venta libre. El peróxido de carbamida es una opción menos abrasiva para blanquear los dientes, pero requiere un tiempo de tratamiento más prolongado.
Precauciones a tener en cuenta con las cintas blanqueadoras
Es importante tener en cuenta que el uso prolongado o la aplicación en exceso de las tiras blanqueadoras puede causar irritación de las encías y sensibilidad dental temporal. Por lo tanto, es recomendable seguir las instrucciones del fabricante y hablar con su dentista antes de usar tiras blanqueadoras.
Es importante señalar que el blanqueamiento dental no es adecuado para todos y algunas personas pueden ser más sensibles a los agentes blanqueadores. Si tiene problemas de sensibilidad dental o encías, o si tiene caries o problemas de esmalte dental, es posible que no sea adecuado para usted. Además, algunos estudios sugieren que el uso a largo plazo de agentes blanqueadores puede causar un debilitamiento del esmalte dental, lo que puede llevar a una mayor sensibilidad dental y a un mayor riesgo de caries.
¿Es bueno hacerse una limpieza dental después de una ortodoncia?
Sí, es recomendable hacerse una limpieza dental después de finalizar un tratamiento de ortodoncia. Durante el tratamiento de ortodoncia, los dientes están en constante movimiento y pueden acumular una mayor cantidad de placa bacteriana y sarro en comparación con los dientes que no están siendo tratados. También ocurre esto con la Ortodoncia Invisible. Además, los bracket y los alambres pueden dificultar la limpieza de los dientes y las encías, lo que puede aumentar el riesgo de caries, enfermedad de las encías y mal aliento.
La limpieza dental es un procedimiento que se realiza en el dentista y consiste en limpiar y remover el sarro y la placa bacteriana acumulada en los dientes. Es una forma efectiva de prevenir la caries y la enfermedad de las encías, ya que permite eliminar las bacterias y los residuos que no se pueden quitar con el cepillado y el uso de hilo dental. Además, es una buena oportunidad para revisar la salud de sus dientes y encías, y para detectar cualquier problema dental que pueda haberse desarrollado durante el tratamiento de ortodoncia. Es recomendable hacerse limpiezas dentales regulares, especialmente después de un tratamiento de ortodoncia.
tags: #blanqueamiento #dental #indoloro