El blanqueamiento dental se ha convertido en uno de los tratamientos más demandados en las clínicas odontológicas. Gracias a las técnicas de blanqueamiento dental más seguras y efectivas, podemos ayudarte a mejorar la salud y la estética dental de nuestros pacientes.
Existen diferentes tipos de blanqueamientos dentales y técnicas para realizarlos, que se diferencian en cuanto a su efectividad, duración y posibles efectos secundarios. Es importante recordar que el uso de estos materiales debe ser siempre supervisado por un odontólogo, ya que no todos ellos son adecuados para todos los pacientes.

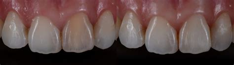
¿Qué es el Blanqueamiento Dental Interno?
El blanqueamiento dental interno consiste en la aplicación de un agente blanqueador (peróxido de hidrógeno o peróxido de carbamida) en el interior de un diente al que previamente se le ha realizado una endodoncia o tratamiento de conductos.
En algunas ocasiones el oscurecimiento de una pieza dental se debe a que la parte interna del diente en la que ha sufrido un cambio de color por algún tratamiento previo. El blanqueamiento de dientes no vitales es diferente del que se realiza en el diente vital ya que la causa de las decoloraciones es distinta.
Siguiendo con los dientes manchados u oscurecidos, si uno de sus dientes es más oscuro que el resto, puede que se consecuencia del daño ocasionado al nervio o incluso la muerte de éste.
Un blanqueamiento interno es un tratamiento odontológico estético que se realiza en el interior de algunas piezas dentales. Cuando hay una infección o una lesión importante en el diente, el nervio muere. Esto puede ocasionar un cambio de color de la pieza dental, el cual se origina en su zona interna.
El blanqueamiento dental externo es un tratamiento que se realiza sobre toda la dentadura de manera uniforme con el objetivo de eliminar las manchas superficiales y recuperar el tono natural. En cambio, la técnica del blanqueamiento interno trabaja en el interior del diente, en la cámara pulpar.
Causas comunes del oscurecimiento dental interno:
- Endodoncia: a veces sucede que, después de este tratamiento de conductos, quedan restos de sangre, saliva o bacterias en el interior del diente.
- Traumatismo: un golpe o accidente pueden causar la necrosis del nervio del diente y, como consecuencia, su oscurecimiento.
- Tratamiento de conductos incorrecto (limpieza y sellado incompleto del sistema de conductos).
- Presencia de lesiones periapicales.
- Tinción provocada por restauraciones de amalgama.
- Restauraciones estéticas mal ajustadas y con filtración.
Procedimiento del Blanqueamiento Dental Interno
- Diagnóstico: se evalúa el estado del diente y se hace un registro de su color.
- Sellado: la cámara pulpar se sella de manera temporal con un material compatible con el organismo. Después se sella con un cemento cualquiera y se deja actuar durante una semana.
- Posteriormente se elimina la obturación provisional y el producto blanqueador, y se repite la aplicación.
- Revisión y sellado definitivo: después de unos días, el paciente acude a la clínica para que el dentista elimine el sellado y evalúe el resultado. Si el diente tiene el color que se buscaba, lo sella de nuevo y se reconstruye la pieza.
Blanqueamiento interno
Tipos de Blanqueamiento Dental
Si la diferenciación se realiza en función del tipo de dientes, hay que tener en cuenta que los dientes pueden ser vitales o no vitales. ¿Qué significa esto? La diferencia se basa en el lugar del que proviene la mancha de los dientes.
El tratamiento de blanqueamiento en dientes vitales en consulta suele durar de 30 a 90 minutos y se realiza en varias sesiones. Este tratamiento consiste en blanquear los dientes desde el interior. En este caso, el blanqueador se colocará dentro del diente y se utilizará un relleno temporal. El blanqueamiento quedará en el interior durante varios días.
Blanqueamiento en dientes vitales en clínica:
- En primer lugar, el profesional odontólogo aplicará una sustancia que cubre y protege las encías alrededor de los dientes.
- Si el blanqueador necesita ser activado, se colocará una lámpara LED o láser durante el tiempo determinado de tratamiento.
Blanqueamiento en domicilio:
En el caso de querer realizar un blanqueamiento en casa, será posible utilizando unas férulas que se ajusten a los dientes y en las que se colocará el gel blanqueador. Este tratamiento debe ser prescrito por un dentista.
El blanqueamiento dental en casa (o ambulatorio) es el realizado por el paciente en su domicilio, utilizando cubetas a medida junto con un gel blanqueador, durante varios días.
El siguiente paso consiste en realizar un molde de la boca para confeccionar en el laboratorio las cubetas a medida del paciente. Las cubetas son una estructura plástica flexible que se ajusta a la forma de los dientes. Son parecidas a las férulas.
Una vez realizada las cubetas superior e inferior, se entregan al paciente, junto con dos jeringuillas de 3gr con gel blanqueador.
Aplicación en domicilio:
El paciente tiene que destapar las jeringuillas y aplicar una pequeña cantidad de gel en las cubetas. Se recomienda aplicar el gel por la noche y ponerlas durante 6 horas seguidas. Es el tiempo que esa concentración de peróxido de carbamida se mantiene activa en la cubeta. Una vez pasado ese tiempo, se retiran las cubetas y se limpian con un cepillo.
Duración del tratamiento: 14 días consecutivos.
Como regla general, el tratamiento dental en casa consigue resultados rápidos, en el término de 14 días o menos. Los dientes se pueden blanquear entre 2 y 6 grados o tonos de la escala cromática, pero no lo hacen de una manera homogénea. Por eso, las bandas o vetas más oscuras, aunque resulten aclaradas, no desaparecen.
Blanqueamiento con luz
En el caso del blanqueamiento en dientes vitales, se puede hacer una división en función de la técnica de luz utilizada. La luz activa las moléculas del gel utilizado para blanquear los dientes, aumentando el efecto blanqueador.
Blanqueamiento LED
Es un procedimiento muy eficaz, que consiste en activar las moléculas del gel blanqueador con la luz azul que emite la lámpara LED. Se necesitan entre tres y cuatro sesiones de fotoactivación, que pueden programarse en una sola cita si se busca un efecto más rápido.
Blanqueamiento Láser
Es el procedimiento más rápido y eficaz de blanqueamiento. La luz láser activa el gel blanqueador y penetra en el esmalte de los dientes aumentando su blanqueamiento. Sin embargo, sus efectos suelen durar poco. Actualmente, la técnica de láser ha sido sustituida por por la de LED. Ambas tienen las mismas ventajas, pero el blanqueamiento con LED evita la sensibilidad dental al ser un tipo de luz que no desprende calor.
Consideraciones Adicionales
El resultado final depende del color de inicio y de las características dentales del paciente, pero todos los dientes mejoran tanto en color como en luminosidad. Es importante saber que para que se pueda realizar un blanqueamiento dental de cualquier tipo, es imprescindible tener buena salud dental y una buena higiene oral.
El paciente ha de acudir a la clínica dental para la exploración y diagnóstico bucodental. Y es muy recomendable que se realice una limpieza dental, previa al blanqueamiento, para mejorar su resultado.
El blanqueamiento dental no es ilimitado. Una vez alcanzado un cierto punto de blanqueamiento, el gel ya no tiene efecto.
El efecto blanqueador tampoco es indefinido. Ello implica que un tiempo después de haber terminado el tratamiento, se empieza a producir una ligera vuelta del antiguo color. Este oscurecimiento, cuando se observe su aparición, se puede combatir repitiendo una sesión de gel blanqueador.
El agente blanqueador funciona por contacto con la superficie dental, por lo que es recomendable realizar una higiene previa para retirar todas las manchas o restos de alimentos que puedan interferir en el proceso. Además, el blanqueamiento solo afecta a los dientes.
Algunos hábitos pueden provocar que el blanqueamiento empiece a desvanecerse.
La edad del paciente es un factor importante, Savic-Stankovic et al. reportaron una mayor eficacia del blanqueamiento en pacientes más jóvenes, un fenómeno que también ha sido mencionado en otros estudio.
La reabsorción radicular es un posible efecto secundario del blanqueamiento dental interno, que debe minimizarse tanto como sea posible. El riesgo de reabsorción parece estar asociado con técnicas termocatalíticas y concentraciones de peróxido de hidrógeno superiores al 30%, así como un tiempo de exposición prolongado.
La técnica de Blanqueamiento ambulatorio tiene tasas de fracaso variables entre el 10, el 25 y el 49% después de 2, 5 y 8 años, respectivamente.
Ventajas del Blanqueamiento Dental
El blanqueamiento dental es el tratamiento más habitual. Uno de los motivos para que sea así es que tiene numerosas ventajas estéticas y anímicas.
- Sonrisa más blanca. La sonrisa es una de las características más destacadas en el aspecto de una persona.
- Mejora la confianza. Tener los dientes más blancos es un factor clave para mejorar la autoestima.
- Ayuda a mejorar la higiene. El tratamiento de blanqueamiento dental requiere de mantener una buena higiene bucodental una vez realizado el tratamiento.
- Resultados rápidos. El tratamiento de blanqueamiento dental requiere de entre tres y cuatro sesiones, pero pueden realizarse en una sola cita.
- Proceso indoloro. La mayoría de tratamientos dentales suponen cierta incomodidad para los pacientes, tanto en la clínica como, a veces, en los días posteriores. El blanqueamiento dental es un tratamiento rápido y sencillo, y puede realizarse en clínica o en casa.
Consideraciones sobre el Peróxido de Carbamida
Peróxido de carbamida: este componente contiene peróxido de hidrógeno y urea, y también se emplea en el blanqueamiento del esmalte.
Alternativas al Blanqueamiento Dental
Existen dos tipos de productos blanqueadores de venta libre:
- Los blanqueadores abrasivos. Desgastan, pulen los dientes para que parezcan más blancos. No los recomendamos.
- Los blanqueadores químicos. Utilizan el mismo agente blanqueador que el de consulta (peróxido de hidrógeno) pero a una concentración muy pequeña (por ley).

¿Te preocupa un diente oscurecido por alguno de los motivos citados en este artículo? No te resignes y recupera tu sonrisa con un blanqueamiento interno.