La ortodoncia invisible ha revolucionado el tratamiento dental, ofreciendo una solución discreta y efectiva para alinear los dientes sin los brackets metálicos tradicionales. Sin embargo, los alineadores no siempre pueden realizar todos los movimientos por sí mismos, y por ello necesitan elementos auxiliares como los botones.

Los aditamentos para ortodoncia son piezas que se añaden a la aparatología del tratamiento, ya sea con brackets o alineadores, para reforzarla y ayudarla a cumplir su cometido. Los aditamentos de ortodoncia se combinan con brackets y alineadores, pero también entre ellos, porque cada diente puede precisar de un aditamento concreto.
¿Qué son los Botones en Ortodoncia?
Los botones en ortodoncia sirven para apoyarse en ellos y colocar elásticos intermaxilares que nos ayudan a mover los dientes o cadenetas superelásticas para llevar esos dientes concretos a una posición u otra. Dentro de los diversos aditamentos, los botones juegan un papel crucial en ciertos tratamientos ortodónticos.
En algunos casos hay alternativas con el angel button o el hook integrado de spark que pueden tener una función similar a los ganchos o hooks con los sistemas de alinadores que replican a invisalign. Pero siempre es algo que valoraremos caso a caso. Los botones metálicos suelen colocarse en los dientes de detrás.

Funciones de los Aditamentos de Ortodoncia
Las funciones de los aditamentos de ortodoncia pueden ser:
- Mover un diente que tiene un tamaño, forma o ángulo inusual en una dirección específica.
- Forzar la aparición de un diente que no ha erupcionado correctamente.
- Redirigir un diente girado en su base.
- Corregir un problema de mordida y mala oclusión de mandíbula.
Actualmente existen gran cantidad de modelos de aditamentos de ortodoncia, de distintas formas, tamaños y materiales, realizando cada uno una función específica.
Los botones son fundamentales en aquellos casos clínicos de pacientes en que se requiera acelerar los movimientos de rotación de los dientes o descruzar mordida. Otra de las funciones de los botones es su uso con caninos ectópicos o incluidos; se les llama entonces botones de extrusión.
Para ejercer la fuerza necesaria en la dirección adecuada, pueden llevar cadena o un ojal en el que introducir la cadeneta, ligadura metálica u otro elemento que ayude a la extrusión del diente. Este elemento se apoyará en el otro extremo en un hook, crimpable o el comúnmente llamado percha.
Colocación de los Botones
Los botones se colocan en la cara lingual de los dientes y van fijados directamente sobre el esmalte mediante un adhesivo especial para brackets y botones o mediante bandas de ortodoncia. También se colocan en la cara vestibular. En bandas pueden ir soldados a la propia banda.
En ortodoncia lingual se colocan en la cara vestibular para introducir el uso de elásticos en el tratamiento. Tienen una base plana y rugosa para favorecer la superficie de contacto y conseguir una fuerte adhesión. Los hay de acero inoxidable y cerámicos, los cuales se integran y combinan bien con el esmalte y pasan más desapercibidos a nivel estético.

Tipos de Botones para Ortodoncia
Existe una gama completa de botones de ortodoncia para diversas aplicaciones clínicas, desde la tracción de piezas retenidas hasta el anclaje de elásticos. Todos los botones están fabricados con materiales biocompatibles de alta calidad.
- Botones de Tracción y Linguales: Diseñados para una adhesión directa y segura sobre la superficie dental. Su base contorneada se adapta perfectamente a la anatomía del diente, asegurando una retención óptima. Ideales para la tracción de caninos incluidos y la corrección de rotaciones.
- Material: Acero inoxidable de grado médico.
- Base: Malla de 80 hilos para máxima adhesión.
- Perfil: Perfil bajo para minimizar la interferencia oclusal y mejorar el confort.
- Botones Estéticos (Cerámicos o de Composite): La solución perfecta para pacientes que demandan una ortodoncia discreta.
Otros Aditamentos Comunes
Además de los botones, existen otros aditamentos que complementan el tratamiento de ortodoncia:
- Muelles: Resortes destinados a la apertura y cierre de espacios.
- Crimpables y Stops: Los crimpables se colocan en vez del Hook que lleva el bracket incorporado y los stops se colocan en los arcos para inmovilizarlos.
- Resorte Warren: Permite controlar la técnica de torque en dientes individuales.
Aditamentos de Ortodoncia con Alineadores
Los aditamentos para alineadores transparentes son complementos que permiten que la ortodoncia invisible con alineadores sea más eficaz. Son botones, topes y ganchos linguales para fijar elásticos, cadenetas o alambres y realizar movimientos dentales auxiliares.
Por ejemplo, los botones y ganchos realizados con el Mini Molde son ideales para utilizar con cualquier tratamiento donde se requiere el uso de elásticos de Clase II. Estos aditamentos se pueden usar directamente sobre los alineadores (para lo que se recomienda utilizar el adhesivo Bond Aligner) o directamente sobre el esmalte (para lo que se recomienda utilizar Flowtain).
ORTOCERVERA/Ortodoncia: Cementado de Ataches para Alineadores
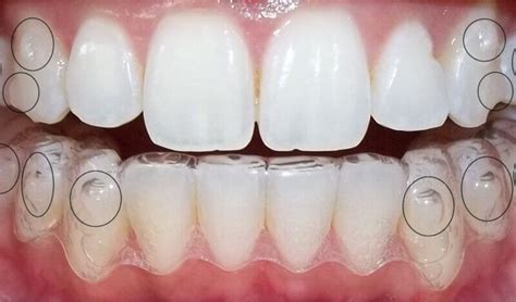
Ataches en Ortodoncia Invisible
Los ataches son los elementos auxiliares que más suelen usarse para complementar un tratamiento de ortodoncia invisible con alineadores. Son unos relieves de composite, el mismo material que se utiliza para los empastes, cuyo tamaño, forma y orientación dependerán del movimiento que queramos que ayuden a generar.
Los ataches no dañan la superficie del diente en ningún momento, ya que son adheridos a la misma con materiales biocompatibles y se eliminan, una vez finalizado el tratamiento, o cuando sea requerido (en ocasiones es necesario un cambio de ataches en mitad de un tratamiento según los movimientos que vaya requiriendo cada diente).
Cuando dichas plantillas están listas, se le graba al paciente la superficie dental con un gel especial, para que las piezas de composite queden adheridas. Entonces se inserta la plantilla como si fuese un alineador más y se endurecen los ataches gracias a la lámpara de polimerizar, por lo que, al retirar la plantilla, han quedado pegados a la superficie vestibular.

Elásticos Intermaxilares
Cuando el engranaje entre el maxilar superior y la mandíbula no es el idóneo, se producen problemas de mordida o maloclusión. Para ellos se utilizan los conocidos como botones.
Además de los botones, en ocasiones se realizan unos pequeños cortes en el mismo alineador.
Los elásticos intermaxilares son esenciales para corregir mordidas desalineadas, como la mordida cruzada, sobremordida o mordida cubierta.
Los ataches, botones y elásticos intermaxilares no solo hacen posible la corrección de casos más complejos, sino que también pueden acelerar el proceso de tratamiento.
Mantenimiento de los Aditamentos
Es importante recordar que, aunque los aditamentos mejoran la eficacia del tratamiento, el éxito del mismo también depende del compromiso del paciente. Mantener tus ataches, botones y elásticos intermaxilares en buen estado también es esencial para garantizar que el tratamiento progrese de manera óptima.
- Higiene bucal: Asegúrate de cepillar cuidadosamente tus dientes, incluidos los ataches, para evitar la acumulación de placa.
- Cambio de elásticos: Los elásticos intermaxilares deben reemplazarse según las indicaciones de los ortodoncistas.
Si tu ortodoncista te ha recomendado el uso de ataches, botones o elásticos intermaxilares como parte de tu tratamiento de ortodoncia invisible, es importante que sigas sus indicaciones para garantizar el éxito del tratamiento.
| Aditamento | Función | Material Común |
|---|---|---|
| Botones | Anclaje para elásticos y cadenetas | Acero inoxidable, cerámicos |
| Ataches | Facilitar movimientos dentales específicos | Composite |
| Elásticos intermaxilares | Corrección de mordida | Elástico |
tags: #botones #ortodoncia #invisible