La mordida abierta es una de las afecciones bucodentales más comunes, incluso superando a la sobremordida o el apiñamiento. Más allá de los inconvenientes estéticos, la sensación de que los dientes no encajan al morder puede llevar a otros problemas de salud. Afortunadamente, la ortodoncia ofrece soluciones efectivas para corregir esta maloclusión.

¿Qué es la Mordida Abierta?
La mordida abierta es un tipo de maloclusión dental que impide el contacto entre los dientes superiores e inferiores. Como consecuencia, se aprecia un espacio entre los dientes superiores e inferiores al sonreír.
Existen diferentes tipos de mordida abierta:
- Mordida abierta anterior: Es la más común, afectando los dientes frontales.
- Mordida abierta posterior: Se da cuando la ausencia de contacto existe entre los molares (dientes posteriores).
Causas de la Mordida Abierta
La mordida abierta se desarrolla durante la infancia, siendo más sencilla de solucionar en esta etapa. Algunas de las causas más comunes incluyen:
- Uso prolongado del chupete: Los niños que usan chupete más allá de los tres años tienen más probabilidades de desarrollar mordida abierta.
- Succión del dedo pulgar: Similar al chupete, este hábito puede alterar el desarrollo dental.
- Colocación inadecuada de la lengua: Empujar los dientes con la lengua en lugar de apoyarla en el paladar también puede causar mordida abierta.
Si se observan estos hábitos en los niños, es fundamental acudir a un ortodoncista y a un logopeda.

Problemas e Inconvenientes de la Mordida Abierta
La mordida abierta ocasiona diversos problemas:
- Impedimentos para respirar con normalidad: El desarrollo incorrecto de los huesos maxilares puede dificultar la correcta oxigenación por vía nasal.
- Trastornos en la articulación temporomandibular (ATM): La mala oclusión sobrecarga los huesos, músculos y articulaciones de la cara durante la masticación.
- Deglución atípica: Al ingerir alimentos o saliva, la lengua se sitúa en el espacio entre los dientes, contrarrestando la falta de contacto.
- Hábito de empujar los dientes con la lengua: Puede derivar en problemas de la ATM.
Tratamiento de la Mordida Abierta con Ortodoncia
En adultos, la mejor medida para corregir la mordida abierta es la ortodoncia. Un tratamiento bien realizado solucionará los problemas, consiguiendo una mordida estable y saludable.
Las técnicas de ortodoncia para corregir la mordida abierta pueden variar dependiendo de distintos factores. Generalmente, se utilizan:
- Ortodoncia invisible: Se utilizan alineadores invisibles, cómodos y eficaces.
- Ortodoncia interceptiva: En niños, para guiar el crecimiento óseo.
- Ortodoncia fija: Con brackets convencionales o linguales, a menudo combinada con microtornillos.
En casos severos, puede ser necesaria la cirugía ortognática, que modifica el tamaño y la posición de los huesos maxilares. Esta intervención se combina con la ortodoncia.
Duración del tratamiento: Dado que el rango puede ser amplio, es recomendable acudir a una clínica dental para una primera visita. Un ortodoncista estudiará tu caso y te dirá el número de meses de tratamiento que requiere.
La manera más sencilla de solucionar la mordida abierta es durante la infancia, cuando los huesos están en crecimiento y son más "moldeables".
En el caso de los niños, además de colocar ortodoncia interceptiva, es muy recomendable consultar a un logopeda. A medida que los niños van cumpliendo años, se vuelve más difícil actuar sobre el crecimiento de sus huesos.
Corrección de mordida y espacios dentales "Ortodoncia"
Objetivos Estéticos en el Tratamiento de la Mordida Abierta Anterior
Para determinar la mejor opción (extruir los incisivos o intruir los molares), es crucial considerar la valoración del área de exposición dental y el biotipo facial del paciente.
A la hora de analizar la cantidad de exposición dental, se examina la cantidad de diente y encía que muestra el paciente en reposo, en sonrisa social y en sonrisa de júbilo. Además, se evalúa al paciente durante una conversación habitual.
Aunque la percepción de una sonrisa atractiva puede variar según las preferencias individuales y culturales, generalmente se considera ideal mostrar de 1 a 2 mm de encía al sonreír. En mujeres, una exposición de 2-3 mm de encía al sonreír se considera estéticamente aceptable. Mostrar más de esta cantidad puede ser percibido como una sonrisa gingival.
Del mismo modo, se analiza el biotipo facial del paciente. Si el paciente es braquifacial, no se deben intruir los molares, ya que esto disminuiría el tercio inferior y empeoraría estéticamente. En cambio, si el paciente es dolicofacial, frecuente en mordidas abiertas, la intrusión molar favorecería estéticamente al disminuir el tercio inferior.
Por lo tanto, los objetivos serán dos: en primer lugar, si el paciente muestra menos de 1-2 mm de encía, se extruirán los incisivos superiores; y en segundo lugar, si el paciente es dolicofacial, se intruirán los molares.
Casos Clínicos
A continuación, se presentan algunos casos clínicos que ilustran el tratamiento de la mordida abierta con ortodoncia:
Caso Clínico 1
Paciente adulta de 30 años con mordida abierta anterior y mordida cruzada posterior derecha. A nivel estético, presenta una línea de la sonrisa invertida, sin mostrar encía a nivel de los incisivos centrales superiores. Se realizó la expansión superior, intrusión molar junto con la extrusión anterosuperior con alineadores Spark de Ormco. El tiempo de tratamiento total fueron 15 meses.

Caso Clínico 2
Paciente adulta de 38 años referida para cirugía ortognática. Se descartó la cirugía y se optó por derivar al logopeda para reeducación lingual, expansión para aumentar el espacio para la lengua, extrusión de incisivos superiores junto con intrusión de premolares y molares para disminuir sonrisa gingival posterior. El tratamiento fue realizado con alineadores Invisalign con una duración de 16 meses.
Caso Clínico 3
Paciente adulta con maloclusión esquelética, patrón hiperdivergente severo, compresión posterior y mordida abierta anterior completa. Se incluyó la intrusión de dientes posteriores para mejorar la sonrisa gingival posterior junto con una leve extrusión anterior y expansión dentoalveolar. Se colocaron Spark Bite Turbo en molares superiores e inferiores junto con microtornillos en la arcada superior. Se realizaron extracciones de los cordales. A nivel estético, se disminuyó la sonrisa gingival posterior mejorando la curva de la sonrisa y la estética facial.
Retención Post-Tratamiento
Para tratar correctamente la mordida abierta habrá que analizar también si hay algún hábito que la esté alimentando como la succión del pulgar, el posicionamiento de la lengua entre los dientes o la respiración constante por la boca.
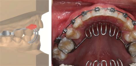
Además, deberemos tener muy controlado el sistema de retención posterior al tratamiento para mantener los resultados, ya que la mordida abierta tiene riesgo de recidivar. En el 80% de los casos la recidiva se produce en el primer año post tratamiento y en el 20% de los casos en el segundo año.
Para la retención de casos de mordida abierta se usa siempre una retención fija superior e inferior y además como refuerzo un aparato que se llama envelope de Bonnet con bloques de mordida posteriores. El envelope impide que la lengua pueda tocar los dientes anteriores.
Tabla Resumen de Tratamientos
| Tratamiento | Indicación | Ventajas | Desventajas |
|---|---|---|---|
| Ortodoncia Invisible (Alineadores) | Mordida abierta leve a moderada | Estética, comodidad, higiene | Costo, disciplina del paciente |
| Ortodoncia Fija (Brackets) | Mordida abierta moderada a severa | Mayor control del movimiento dental | Estética, higiene |
| Cirugía Ortognática | Mordida abierta severa con componente esquelético | Corrección de la base ósea | Invasiva, costo, tiempo de recuperación |
| Microtornillos | Casos que requieren anclaje adicional | Mayor precisión en los movimientos | Invasiva, costo adicional |