Los elásticos en ortodoncia, también conocidos como gomas, son elementos indispensables para lograr un resultado óptimo en tu tratamiento con brackets. Si colaboras y utilizas las gomas de la ortodoncia el tiempo necesario y de la forma que te indica tu doctor, tendrás el éxito asegurado en tu tratamiento con brackets y lucirás una sonrisa espectacular. Desde las Clínicas de Ortodoncia Novasmile en Alicante y Benidorm te ayudaremos para que así sea.

¿Qué son las gomas para ortodoncia?
Existen dos tipos de elásticos en ortodoncia:
- Las gomas que se utilizan en determinadas ortodoncias con la finalidad de unir elementos.
- Los que se utilizan para corregir problemas de mordida.
De estas últimas es de las que os vamos a hablar en detalle.
Gomas elásticas intermaxilares
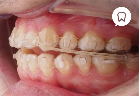
Los elásticos intermaxilares en ortodoncia, más conocidos como gomas, son elementos auxiliares a los aparatos dentales que ayudan a que se produzcan determinados movimientos. Se utilizan en el tratamiento con aparatos para la corrección de diferentes problemas de maloclusión. En función del objetivo a conseguir y de la fase del tratamiento en la que te encuentres, se colocan en una posición u otra, y las llevarás por un tiempo limitado. Siempre por prescripción del profesional que esté llevando tu caso.
Las gomas son elementos pequeños y discretos, fabricados en látex, silicona o material similar. Tienen forma circular u ovalada, dependiendo del uso y la longitud a cubrir. Por lo general, son de color neutro o transparente, aunque existen versiones de colores para los más atrevidos, porque la ortodoncia no tiene por qué ser aburrida.
¿Cómo se colocan las gomas en la ortodoncia?
Los elásticos se pueden utilizar en la mayoría de los tipos de ortodoncia disponibles, tanto en brackets tradicionales, como en tratamientos de ortodoncia invisible y estética. Dependiendo del tipo de tratamiento, se colocan en un lugar u otro. No obstante, la colocación de las gomas es entre las dos arcadas, para que ejerzan la tensión suficiente que corrija los problemas de mordida.
¿Cómo se utilizan los elásticos intermaxilares?
Como hemos comentado, suelen colocarse enganchados a los hierros de ambas arcadas, uniéndolas para ejercer presión con el objetivo de corregir la mordida que no consiguen los propios brackets por sí solos.
En esta fase del tratamiento, tu ortodoncista te indicará cómo colocar los elásticos. Deben colocarse de la manera exacta que te indiquen en la consulta, de lo contrario no realizarán correctamente su función y podría suponer una dilatación de tu tratamiento.

5 consejos para un correcto uso de los elásticos
Es necesario utilizar los elásticos de ortodoncia el tiempo que prescriba tu ortodoncista. Si no los llevas el tiempo que te indique, puede que se demore tu tratamiento con los brackets. Así que recuerda estos puntos importantes:
- Usa las gomas tal y como te explicaron en la consulta.
- Hay que ser constante, no sirve de nada usarlos dos días y dejarlos otros dos días. Forzosamente, debe ser diario. Debes llevarlos durante la mayor parte del día, y solo retirarlos durante las comidas y para tu higiene bucal.
- Las gomas pierden elasticidad con el uso, por eso es importante que las renueves cada 24 horas para que siempre se encuentren en óptimo estado. Aprovecha para cambiarlas cuando te las quites para comer o lavarte los dientes, así aseguras un resultado óptimo.
- Los elásticos pueden causar ligeras molestias los primeros días de uso. Esto es completamente normal e inevitable, ya que tus dientes se están moviendo. Esto puede desanimarte un poco y hacer que no te pongas las gomas, pero piensa que las ligas de los brackets son para mejorar tu boca, seguro que eso te motiva.
- Si algún día los llevas menos horas de las indicadas, intenta compensarlas al día siguiente llevándolas unas horas más.
Lo más importante es que utilices los elásticos correctamente para lograr los resultados esperados en el menor tiempo posible. Con estas pequeñas indicaciones, te asegurarás una hermosa sonrisa y una salud dental envidiable.
Importancia de los elásticos en la corrección de la mordida
Los elásticos intermaxilares son cruciales para corregir problemas de mordida, como la sobremordida, submordida y mordida cruzada. Estos problemas pueden afectar no solo la apariencia de tu sonrisa, sino también tu capacidad para masticar y hablar correctamente.
La utilización adecuada de los elásticos puede prevenir problemas a largo plazo como el desgaste desigual de los dientes, dolores en la mandíbula y trastornos de la articulación temporomandibular (ATM). En Novasmile Alicante, nos aseguramos de que cada paciente reciba las instrucciones precisas para el uso de sus elásticos, garantizando así un tratamiento efectivo y eficiente.
Tipos de problemas que corrigen los elásticos intermaxilares
Dependiendo de la severidad y el tipo de maloclusión, tu ortodoncista te indicará el uso de elásticos específicos para tratar:
- Sobremordida: donde los dientes superiores cubren excesivamente los dientes inferiores.
- Submordida: donde los dientes inferiores sobresalen más allá de los dientes superiores.
- Mordida cruzada: donde algunos dientes superiores cierran por dentro de los dientes inferiores.
- Mordida abierta: donde los dientes superiores e inferiores no se tocan al morder.
Beneficios adicionales de usar elásticos en ortodoncia
Además de corregir problemas de mordida, el uso de elásticos en ortodoncia ofrece otros beneficios significativos. Ayudan a mejorar la alineación general de los dientes, promoviendo una sonrisa más equilibrada y estética. También pueden acelerar el progreso del tratamiento ortodóntico, reduciendo el tiempo total necesario para lograr los resultados deseados.
El uso consistente de los elásticos también contribuye a una mejor salud bucal a largo plazo. Al mejorar la mordida y la alineación dental, se facilita la limpieza de los dientes y encías, lo que reduce el riesgo de caries y enfermedades periodontales. En Novasmile Alicante, promovemos el uso adecuado de los elásticos como parte integral de un tratamiento ortodóntico exitoso.
Compromiso y responsabilidad del paciente
El éxito de los tratamientos de ortodoncia con el uso de elásticos depende en gran medida del compromiso y la responsabilidad del paciente. Es fundamental seguir las indicaciones del ortodoncista y ser diligente en el uso diario de los elásticos. La colaboración entre el paciente y el profesional es esencial para alcanzar los mejores resultados en el menor tiempo posible.
En Novasmile Alicante, estamos aquí para apoyarte en cada paso del camino. Nuestro equipo de expertos te proporcionará todas las herramientas y el conocimiento necesario para que tu tratamiento sea un éxito. Recuerda, una sonrisa hermosa y saludable es el resultado de un esfuerzo compartido.
