En los últimos años, ha aumentado la conciencia sobre la importancia de una sonrisa bonita y saludable. Sin embargo, el auge de los tratamientos ortodóncicos ha inspirado prácticas que escapan al control de los ortodoncistas, lo que puede suponer un riesgo para la salud. Desde la Sociedad Española de Ortodoncia y Ortopedia Dentofacial (SEdO), advierten sobre estos riesgos.

¿Qué son los Brackets Falsos?
Los brackets falsos son aquellos que se fabrican en casa o se compran a través de Internet a fuentes no fiables. SEdO advierte de los riesgos y peligros para la salud general, y de forma específica para la salud oral, de esta práctica cada vez más común, puesto que los brackets falsos DIY en ningún caso son seguros y entrañan riesgos para la salud.
Brackets falsos
Alternativas para Mejorar tu Sonrisa
Microabrasión Dental
Algunas personas tienen la dentadura alineada, blanca y sana, pero tienen pequeñas manchas en los dientes que rompen esta armonía. La microabrasión dental es una técnica que consiste en la eliminación superficial del esmalte defectuoso o pigmentado. La coloración que se limita a la capa externa de las piezas dentales puede eliminarse gracias a esta técnica, que elimina dichas capas superficiales. Se eliminan con un chorro de aire a presión las manchas blancas y se reconstruyen posteriormente con composite.
Estas tinciones se localizan en la capa superficial de la pieza, es decir, en el esmalte dental. Estas pigmentaciones afectan a las capas más profundas como es la dentina. Se suelen originar como consecuencia de un traumatismo o del consumo de ciertos antibióticos.

Coronas Dentales
¿Tienes dañados tus dientes o con algunas imperfecciones que les aportan una pobre imagen? Si es así, debes saber que desde hace bastantes años ya existe una magnífica solución gracias a las coronas dentales. Se trata de unas estructuras formadas por una única pieza que están fabricadas de manera artesanal e incluso a medida del paciente que las necesite.
Esas coronas dentales se emplean para recubrir tus dientes, reemplazando el esmalte dental. Por tanto, son necesarias cuando los odontólogos deben restaurar o reparar un diente dañado o roto. Ese es el uso más común, aunque también pueden utilizarse por otros motivos.
El proceso de colocación pasa por diferentes fases, aunque todo es muy sencillo. La idea es que la corona dental se quede fijada en tu boca a través de un cemento muy consistente. Pero primero, en multitud de casos, es necesario reducir el tamaño del diente para que este se ajuste perfectamente a la pieza coronaria.
Diseñadas para durar muchos años ofreciéndote un buen rendimiento, las coronas dentales son muy resistentes, pero siempre que las cuides también. Cualquier afectación o enfermedad odontológica que dañe dientes y o huesos pueden derivar en esas consecuencias nefastas.
En general, las ventajas que tiene la corona dental son muy interesantes, beneficiando desde tu estética dental en color y aspecto hasta la posición o el tamaño de tus dientes. Todas las piezas se producen en un laboratorio mediante técnicas de elaboración asistidas por un ordenador, una tecnología que ya tomó especial protagonismo en la industria que fabrica aviones y coches.

Tipos de Coronas Dentales
Gracias a la tecnología existen muchos tipos de coronas dentales y precios. Hay diferentes materiales con los que se pueden fabricar las también llamadas fundas. El uso de estas depende de las necesidad de cada quien y lo que el dentista aconseje. Los diferentes tipos fundas para los dientes según los materiales de los que son elaborados son los siguientes:
- Coronas Metálicas: Son fundas muy resistentes, pero que se usan poco debido a que su aporte estético es poco y no se asemejan al diente natural. Cuando se colocan, por lo general se usan para cubrir las muelas ya que son menos visibles. Están fabricados con oro, níquel o platino.
- Fundas de Porcelana: Son prótesis fijas cementadas que se instalan encima de los dientes naturales para corregir su forma. Estas los envuelven por completo, proporcionándole protección a los dientes y ofreciendo una apariencia mucho más estética.
- Coronas de Metal Porcelana: Consiste en un capuchón de metal que está recubierto con porcelana. De esta forma, reúne las ventajas de las fundas metálicas, con la estética de las de porcelana.
- Coronas de Circonio: El circonio es un tipo de metal blanco muy resistente. Su uso en odontología es reciente y ofrece muchas ventajas a los pacientes que optan por coronas de este material. Es muy fuerte y además da un resultado muy natural.
- Fundas de Acero Inoxidable: Son utilizadas como una protección temporal del diente y los nervios. Son prefabricados, solo se colocan mientras se fabrica la funda nueva, no son muy estéticas y por eso son de poco uso.
- Fundas de Resina: Este tipo de fundas no son muy resistentes y su acabado no es tan natural como el de las fundas de porcelana o el circonio. Por lo general, se utilizan las coronas de resina como provisionales, mientras se fabrican las definitivas.
Periodoncia: Cuidado de las Encías
La periodoncia es la parte de la odontología que se encarga del tratamiento de las encías y, fundamentalmente, de la periodontitis. Esta enfermedad se caracteriza por una inflamación y sangrado anormal de las encías que puede derivar en últimos términos en la caída de las piezas dentales por falta de sujeción.
La principal causa de la enfermedad es la higiene inadecuada. Así, la gingivitis y la peridontitis tienen lugar cuando se acumula placa bacteriana en tus dientes. Cuando este sarro se acumula sobre dientes y encías impide la oxigenación de tus células bucales. Esto deriva finalmente en una inflamación excesiva y retracción de las encías, que dejan de sujetar las piezas dentales. En la mayoría de los casos, la retracción de las encías se produce por la placa.
Una vez que se ha realizado el diagnóstico, se pasa al tratamiento. El primer paso es eliminar el sarro y hay que distinguir los dos tipos que hay. En el caso del sarro subgingival, que se encuentra bajo las encías, hay que aplicar la técnica de curetajes. La eliminación del sarro es lo más frecuente si tienes una enfermedad periodontal.
No obstante, en algunas ocasiones puede ser necesaria la administración de antibióticos para eliminar esas bacterias que forman el sarro. En los casos más complicados, podemos encontrarnos con episodios en los que haya que aplicar cirugía y eliminación de piezas dentales. Quitar algunas piezas dentales es la solución en casos avanzados para evitar que la enfermedad siga progresando.
La limpieza del sarro debería realizarse unas dos veces al año, aunque lo mejor es que nos consultes al respecto. Además, deberás realizar ciertos cambios en su higiene.

Mitos y Verdades sobre la Salud Dental
En el sector dental, existen numerosos mitos que muchas personas creen que son ciertos. Sin embargo, hoy vamos a desmentir algunos de los más frecuentes:
- Mito: Si un niño tiene caries en los dientes de leche, no es importante tratarlo. Realidad: Es imprescindible realizar el tratamiento adecuado para evitar complicaciones futuras.
- Mito: El cepillado de dientes no es tan importante. Realidad: Nada va a sustituir a un buen cepillado de dientes. Las cerdas ayudan a arrastrar el sarro y los restos acumulados de comida.
- Mito: Los remedios caseros blanquean los dientes. Realidad: Estos remedios pueden alterar por completo tu esmalte dental. Si utilizas bicarbonato puedes llegar a desgastar el esmalte y, por tanto, quedar más expuesto a numerosas enfermedades periodontales.
- Mito: Las muelas del juicio siempre deben extraerse. Realidad: No deben extraerse en todos los casos, al contrario de lo que afirma el mito.
- Mito: Si tus padres no tuvieron problemas bucales, tú tampoco los tendrás. Realidad: Si tus padres no han sufrido enfermedades bucodentales, no significa que tú no debas cuidarte, ¡las bacterias están siempre al acecho!
- Mito: Solo hay que cepillar los dientes. Realidad: El cepillo no solo debe utilizarse en los dientes, sino también en la lengua y en las encías.
- Mito: Los implantes dentales duran para siempre. Realidad: La duración de los implantes dentales vendrá dada por el acúmulo de bacterias y por las rutinas de cuidado que lleves.
- Mito: Durante el embarazo es normal perder los dientes. Realidad: En esta etapa no es habitual que se lleguen a caer los dientes.
Selladores Dentales para Niños
Los selladores dentales no son unos de los recursos de higiene bucal más conocidos. Sin embargo, hoy en día resultan muy relevantes para la salud dental de los niños. No todos los adultos actuales pudieron disfrutar de ellos durante sus infancia, pero ahora son más populares y su uso comienza a estar a la orden del día.
En este sentido, has de tener en cuenta que, como nos puede suceder a los mayores, los niños también padecen la acumulación de restos orgánicos en sus dientes tras las comidas. Ya sabes que estas concentraciones de desechos son focos de atracción de las bacterias, lo que contribuirá a la formación del biofilm oral o de la placa.
En primer lugar, reseñamos que se trata de unas capas de plástico que ejercen de protectoras de los molares superiores. Se colocan, por consiguiente, en sus superficies de masticación y logran que no entren en sus recovecos y grietas los trozos de comida.
El proceso de colocación empieza con la limpieza de las áreas de difícil acceso entre los dientes. Posteriormente nuestro especialista en odontopediatría echará un gel ácido sobre las piezas dentales, que se endurecerá y tomará el formato de un pegamento.
Recuerda que todas estas operaciones no duelen y, además, tampoco tienen contraindicaciones. Solo has de valorarlas en los poco habituales supuestos de alergias. En ningún caso debe nadie dejar de cepillarse los dientes, por el hecho de llevar selladores, las tres veces al día que te recomendamos.
Bruxismo: Apretar o Rechinar los Dientes
¿A menudo tienes dolor de cabeza, especialmente en la mandíbula? ¿Has detectado que tienes un desgaste anormal en los dientes? El bruxismo es el hábito de apretar o rechinar los dientes. El bruxismo puede padecerse a cualquier edad, especialmente entre los 17 y 40 años.
Por desgracia, la mayoría acuden al dentista cuando el daño en los dientes ya es irreversible. Sin embargo, el tratamiento es muy sencillo: consiste en colocar una férula de descarga, que protege la dentadura de la presión ejercida al apretar y rechinar los dientes.
Como ya te hemos contado, la única solución del bruxismo es colocar una férula de descarga y así evitar un daño irreversible. El bruxismo afecta tu calidad de vida, ya que causa dolor y te impide dormir de manera adecuada. Además, conlleva daños irreversibles como el desgaste de la mandíbula.

Ortodoncia con Extracciones
En ocasiones para conseguir un buen resultado, es necesario proceder a la extracción de alguno de los premolares, antes de empezar con el tratamiento de ortodoncia. En este caso se decidió extraer dos premolares superiores para conseguir: Un alineamiento correcto. Llevar los incisivos superiores a su posición correcta ya que estaban al comienzo muy adelantados. Centrar la línea media superior hacia la derecha del paciente y que ésta coincidiese con la línea inferior.
Siempre que realizamos extracciones intentamos que el perfil mejore o si está correcto que no se modifique. En todos los casos el espacio de las extracciones queda completamente cerrado y no se vuelve a abrir con el paso de los años.
La ortodoncia con extracciones no solo mejora la estética dental sino también la funcionalidad. Al eliminar dientes, se crea espacio para que los demás se alineen correctamente, lo que facilita una mejor mordida y reduce el riesgo de problemas dentales futuros. Además, al alinear los dientes correctamente, se mejora la higiene bucal ya que es más fácil limpiar entre los dientes, reduciendo así el riesgo de caries y enfermedades de las encías.
Antes de decidir realizar extracciones, es fundamental realizar un estudio detallado de la estructura dental y ósea del paciente. Es necesario considerar la edad, el crecimiento de los huesos faciales y la cantidad de apiñamiento dental. Además, se debe evaluar el impacto estético y funcional de las extracciones en el perfil del paciente.

Resultados del Tratamiento de Ortodoncia con Extracciones
Una vez finalizado el tratamiento conseguimos los objetivos marcados:
- Sin riesgo de que vuelvan a abrirse con el tiempo.
- Corrección de la protrusión de los dientes superiores: Incisivos superiores en posición correcta y no salidos o adelantados.
- Alineamiento correcto de los dientes superiores
- Corrección de la línea media y mejora de la sonrisa
Al finalizar el tratamiento, colocamos un retenedor removible de uso nocturno en la arcada superior y combinamos un retenedor fijo y otro removible también de uso nocturno en la arcada inferior.
Al ser un tratamiento con extracciones la posición de los dientes no está forzada y los resultados tanto en el plano estético como en plano funcional son los adecuados.
Tipos de Ortodoncia
En la actualidad, contamos con gran variedad de tipos de ortodoncia. Dependerá de tu caso y de tus necesidades la elección de ortodoncia fija o removible. Incluso es común que el proceso conste de varias fases y puede que llegues a usar los dos tipos en fases distintas.
Y si hay algo general es que hay que extremar la higiene en tratamientos de ortodoncia. El tratamiento es una época delicada, en la que se dan las condiciones perfectas para que tu boca acumule más restos de comida, lo que provoca que las bacterias crezcan con nefastas consecuencias.
- Cepillado: Debes cepillar tus dientes por todas sus caras, intentando barrer desde la encía al diente.
- Seda dental: Es importante que, si no tienes el hábito, lo incorpores inmediatamente. El uso de la seda o hilo dental supone la limpieza de todas las caras del diente y total eliminación de placa bacteriana. Simplemente lávalo con agua y jabón neutro cada vez que te cepilles los dientes. Puedes ayudarte con un cepillo especial para prótesis para llegar a todos los recovecos.
- Cepillado: Deberás usar un cepillo especial para ortodoncias. Este presenta una hendidura en las cerdas que permite cepillar esquivando el bracket.
- Seda dental: Existen sedas pensadas para ortodoncia que presentan una parte plástica más rígida que te permite pasarla por los espacios entre los dientes por debajo del arco. También te puedes ayudar de los reveladores de placa que podrás adquirir en cualquier farmacia. Se trata de una sustancia que tiñe las bacterias y te indica donde debes ser más insistente en tu higiene dental. Puedes aplicártelo a modo de control cuando estés tranquilo en casa y es una herramienta perfecta para aprender a mantener la higiene en tratamientos de ortodoncia.
Salud Bucodental en Niños
Existen numerosas afecciones, de las que se ocupa la especialidad de la odontopediatría, que es posible que desconozcas. Resulta normal, dado que no habrás padecido la mayoría de ellas y puede que hayas pasado por otras, pero no tengas recuerdos de estas.
Pulpitis en Dientes de Leche
Se trata de una inflamación de la pulpa de un diente de leche. Por otro lado, estas inflamaciones se deben a golpes, roturas e infecciones en la pieza dental.
- En la posterior, además de aparecer la pus, se incrementa este dolor cuando masticas o inciden estímulos calientes y fríos.
- Cuando nuestro odontopediatra de confianza detecta una pulpitis, sabe que la solución a sus molestias pasa por llevar a cabo un tratamiento parecido a la endodoncia. Básicamente, se interviene para eliminar las zonas del nervio dental que se encuentran dañadas. Los conductos, por su parte, van a ser rellenados mediante materiales biocompatibles.
- No basta con la retirada de las partes de la pulpa afectadas, sino que, una vez fuera estas, los conductos deberán ser sellados. Además, habrá que reconstruir el diente de leche.
Recuerda que, después de estas intervenciones, es preciso que acudas con tu hijo regularmente a nuestro dentista de confianza. Él llevará a cabo las revisiones pertinentes y se asegurará de que el estado del diente sometido a la pulpotomía es el idóneo.
Dientes Natales en Recién Nacidos
La odontopediatría es la especialidad que, en el marco de la odontología general, se ocupa de la salud bucodental de los niños. Dicha especialidad, por tanto, cuenta con parcelas de conocimiento aplicables a los bebés. Y, entre ellos a los recién nacidos.
Aunque, por lo general, los neonatos no presentan inconvenientes importantes en su dentición (sobre todo, debido a que suelen nacer sin dientes), también se dan excepciones. Nuestros odontopediatras, por su parte, cuentan con la preparación suficiente para encararlas. Una de ellas es la de los nacimientos de los bebés con dientes, los que conocemos popularmente como dientes natales.
En primer lugar, te recomendamos que no te asustes. Se trata de un inconveniente, pero en ningún caso supone una desgracia de consecuencias fatales. Te informará de que el caso de tu bebé es una excepción. Pero, asimismo, te asegurará que no es tan extraño como puedas llegar a pensar. Apoyará su explicación mediante estadísticas.
No tienes que sentir desasosiego, dado que se trata de las erupciones de dientes de leche cuyas raíces, aunque las veamos normales, no se han desarrollado convenientemente. Sin embargo, este hecho sí ha de hacerte adelantar la primera visita del pequeño al dentista.
Si los dientes natales se mueven, se deberá a que sus raíces serán débiles e incluso inexistentes. Por consiguiente, nuestro especialista en odontología infantil tendrá que sacarlos. Esta intervención, en todo caso, tendría que ser llevada a cabo cuando hayan pasado dos semanas desde el nacimiento del niño.
Si los dientes natales no se mueven, queda claro que cuentan con raíces. Cuando se dé esta circunstancia, nuestro odontopediatra procederá a pulir los bordes filosos de los dientes.
Higiene Dental: La Base de una Dentadura Sana
El cepillado dental es la base de la higiene de la dentadura. Y ya sabes que la higiene dental resulta fundamental para prevenir las principales enfermedades de la boca.
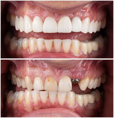
¿Qué hacer si un implante dental se mueve?
Los implantes dentales representan hoy una solución fiable, estética y duradera para reponer piezas ausentes. No obstante, cuando un implante empieza a moverse ya sea el tornillo o la corona, la estabilidad que garantiza su éxito se ve comprometida y puede poner en riesgo tanto la salud ósea como la función masticatoria.
Si percibes esa sensación de “mi implante se mueve”, lo más recomendable es solicitar cuanto antes una valoración con un periodoncista o implantólogo. Si notas que el tornillo del implante empieza a ceder, es posible que la osteointegración no se haya completado correctamente o que exista una infección periimplantaria.
Cuando la parte que se mueve es la corona (la pieza visible), la solución suele ser más sencilla que en el caso del tornillo. Habitualmente basta con reajustar o sustituir la prótesis, ya que el movimiento puede deberse al desgaste del cemento, a un tornillo flojo o a un ajuste inadecuado.
- Ajuste y revisión del implante: Cuando la oscilación es mínima y el problema está relacionado con la corona, puede bastar con apretar el tornillo de fijación o recolocar la prótesis.
- Tratamiento de la periimplantitis: Si la causa es una inflamación o infección de los tejidos periimplantarios, será preciso aplicar un protocolo específico: limpieza profunda, raspado subgingival, aplicación de antibióticos locales y, en algunos casos, cirugía regenerativa para recuperar el tejido óseo perdido.
- Reemplazo del implante que se mueve: Cuando el implante o la corona presentan daños irreversibles o han sido fabricados con materiales de baja calidad, puede ser necesario retirarlos y colocar un nuevo implante, tras una fase de regeneración ósea si el hueso ha sido afectado.
- Modificación de hábitos: En algunos casos, el origen de la movilidad se encuentra en la rutina diaria del paciente. Comer alimentos excesivamente duros, practicar deportes de contacto sin protección o padecer bruxismo pueden ser factores determinantes.
Para lograr que los implantes duren es fundamental elegir materiales de alta calidad y sistemas de implantes respaldados por evidencia científica, lo que garantiza una mejor integración y durabilidad. Una vez colocado el implante, es esencial seguir al pie de la letra las indicaciones del especialista durante la fase de cicatrización, ya que cualquier descuido puede comprometer el resultado. Asimismo, mantener una higiene oral rigurosa ayuda a prevenir infecciones que podrían afectar el implante.