Has pasado meses, quizás años, usando brackets o alineadores transparentes. Te has cepillado tres veces al día, has evitado ciertos alimentos y acudido fielmente a tus revisiones.

¿Y ahora que tu ortodoncia ha terminado? En realidad, el trabajo aún no ha acabado. En Clínica Dental La Reina, especialistas en ortodoncia estética y funcional en Madrid, sabemos que la fase de retención es tan importante como la de corrección.
¿Qué son los retenedores de ortodoncia y por qué son importantes?
Muchos pacientes creen, antes de solicitar información en su clínica dental, que la retirada de los brackets supone el final del proceso. Sin embargo, nada más lejos de la realidad. Un tratamiento de ortodoncia contiene varias fases de las cuales, la última es la etapa de retención. Se trata de una fase muy importante con la que conseguiremos mantener los resultados conseguidos.
La creencia común es que una vez que se retiran los brackets o alineadores, el tratamiento ha terminado. Sin embargo, la realidad es muy diferente. Después de la retirada de la ortodoncia, durante un periodo de tiempo, los dientes tienden a volver a su lugar de origen. Esto ocurre porque los tejidos periodontales que rodean a los dientes tienen memoria elástica, lo que significa que pueden empujar lentamente los dientes hacia su posición original.
La función primordial de un retenedor fijo ortodoncia es mantener los dientes en la posición correcta después de haber sido movidos durante el tratamiento. El retenedor fijo trabaja de manera constante, ejerciendo presión sobre los dientes para mantenerlos alineados.
Para evitarlo existen los retenedores dentales. Su función consiste en mantener la posición corregida de los dientes hasta que dejen de moverse. Los retenedores te acompañarán durante la mayor parte de tu vida.
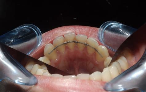
El retenedor fijo ortodoncia es un dispositivo crucial para mantener la alineación de los dientes después de un tratamiento de ortodoncia. Después de pasar por el proceso de alinear los dientes, con brackets u ortodoncia invisible, es fundamental asegurarse de que no vuelvan a su posición original. Es un aparato dental que se utiliza después de un tratamiento ortodóntico para mantener los dientes en su posición correcta.
Tipos de retenedores
Existen dos tipos de retenedores: fijos y removibles.
- Retenedores Fijos: Se colocan en la parte interna de los dientes y no se pueden quitar. Se trata de un pequeño alambre, generalmente adherido en la parte posterior de los dientes, que no es visible cuando se habla o sonríe. Hay pacientes que los llevan toda la vida y no sienten ninguna molestia en su día a día.
- Retenedores Removibles: Combinan una placa acrílica con un arco metálico. Son férulas finas de plástico transparente. Para ellos, el dentista toma una muestra de la boca y se crea una férula dental transparente a medida. Estos retenedores se utilizan solo para dormir.
Elegir el tipo adecuado de retenedor ortodóncico depende de varios factores, como la edad, el tipo de maloclusión tratada, tus hábitos, y tu grado de compromiso con la higiene. Esta es una de las preguntas más frecuentes, y la respuesta es: depende de cada caso.
¿Cómo limpiar tus retenedores? 🤔 Actualizado 2020 - Odontología Láser.
Cuidado y limpieza de los retenedores fijos

El cuidado adecuado de un retenedor fijo es esencial para garantizar su durabilidad y efectividad. Es importante cepillar los dientes con cuidado para evitar que la placa se acumule alrededor del alambre usado como retenedor fijo en ortodoncia.
La efectividad de los retenedores también depende de su buen mantenimiento. No uses pastas dentales abrasivas. Guárdalos en su estuche cuando no los uses.
Al ser de uso diario, si no se limpian bien, pueden acumular placa bacteriana, manchas y generar mal olor.
Aunque son discretos, tienden a acumular manchas y sarro si no se limpian a diario.
A continuación, te ofrecemos una guía detallada para mantener tus retenedores fijos en perfecto estado:
- Cepillado Detallado: Asegúrate de limpiar bien la zona alrededor del alambre y los dientes a los que está adherido. Los fijos se deben limpiar durante el cepillado, mientras que los removibles se deben lavar cada vez que se retiran.
- Hilo Dental: El uso de hilo dental es esencial para mantener los espacios entre los dientes limpios. Sin embargo, cuando se lleva un este tipo de retenedor fijo, es posible que el hilo dental tradicional no sea suficiente para acceder a todas las áreas. Una vez colocado, pasa el hilo de forma cuidadosa de un lado a otro del diente, sin forzar ni golpear el retenedor.
- Cepillos Interproximales: Los cepillos interproximales son pequeños cepillos cilíndricos que permiten limpiar entre los dientes y detrás del alambre del retenedor. Escoge un tamaño adecuado (ni muy flojo ni muy apretado) y pásalo con suavidad entre los dientes, especialmente por debajo del alambre.
- Irrigador Bucal: El irrigador bucal puede ser un excelente complemento para pacientes con retenedores fijos.
- Observación Diaria: Dedica unos segundos cada día a observar si hay acumulación de placa o restos de comida en la zona del retenedor.
Cuidado de los retenedores removibles
Si utilizas un retenedor removible, ten en cuenta lo siguiente:
- Limpieza Diaria: Lávalos después de cada uso. Cada vez que te los quites, enjuágalos con agua fría o tibia para eliminar los restos de saliva y comida.
- Limpiador Adecuado: Usa un cepillo de cerdas suaves (distinto al de tus dientes) y jabón neutro o lavavajillas suave. Utiliza un cepillo de cerdas suaves con un limpiador específico para retenedores.
- Solución Limpiadora: Al menos una vez por semana, colócalos en una solución especial para prótesis dentales o retenedores. Diseñadas para prótesis y aparatos dentales, ayudan a eliminar manchas y bacterias. Mezcla partes iguales de agua y vinagre blanco, sumerge el retenedor durante 15-20 minutos y luego cepillarlo con cuidado.
- Almacenamiento Correcto: Guárdalos siempre en su estuche cuando no los uses. El estuche debe estar limpio y seco. Cuando no los uses, guárdalos en su estuche para evitar la acumulación de bacterias. Una de las causas más comunes de pérdida o deterioro de los retenedores es haberlos guardado fuera de su caja.
Recomendaciones adicionales
- No comer ni beber con ellos puestos (excepto agua). Si utilizas un retenedor removible nunca comas con él.
- Tratarlos con cuidado: Aunque estén fabricados con materiales resistentes, ten cuidado al quitártelos y ponértelos. Consejo importante: no hay que quitarlo siempre por el mismo lado ya que podría llegar a cederse.
- Cuidado al morder alimentos duros: La mordida en alimentos duros, como un bocadillo, una manzana o una corteza, tiene el riesgo de que el retenedor se parta. En el caso de los retenedores fijos, debemos tener cuidado al morder alimentos duros ya que éstos pueden romperse.
- Evitar morderse las uñas: Además de que tus dedos y tus manos lo agradecerán, evita comerte las uñas ya que es contraproducente para los dientes.
¿Cuánto tiempo se deben llevar los retenedores?
La tendencia actual entre ortodoncistas es clara: cuanto más tiempo uses los retenedores, más estable será tu sonrisa. El tiempo durante el cual se debe llevar un retenedor post ortodoncia varía de acuerdo a las necesidades de cada paciente. En general, se mantiene durante un período de al menos un año después de finalizar el tratamiento de ortodoncia.
Hay pacientes que los llevan toda la vida y no sienten ninguna molestia en su día a día.
Problemas comunes y soluciones
Aunque los retenedores están diseñados para durar, con el tiempo pueden desgastarse o perder su efectividad. Debe ser retirado o reemplazado si presenta daños, como un alambre roto o aflojado.
Si notas que tu retenedor tiene manchas persistentes, sarro o mal olor, incluso después de limpiarlo a diario, es momento de una higiene más profunda.
Si experimentas molestias persistentes o problemas con su retenedor, es importante comunicarse con su ortodoncista o dentista.
La retención sin seguimiento no es suficiente. El alambre puede despegarse, las férulas pueden deformarse o dejar de encajar.

La importancia de las revisiones periódicas
Aunque haya finalizado el tratamiento de ortodoncia, recomendamos acudir a las revisiones pautadas por el ortodoncista. A pesar de un buen cuidado en casa, las visitas regulares al dentista son imprescindibles. El dentista podrá verificar el estado del retenedor y realizar cualquier ajuste necesario.
Dentro de las vistas anuales de control ortodóncico es recomendable que los pacientes se hagan también higienes dentales profesionales para ayudarle a mantener la salud general de su boca.
En Clínica Dental La Reina, no solo alineamos dientes: te ayudamos a conservar tu sonrisa para siempre.
Solicita ya tu cita y consulta con nuestro equipo todas las dudas que tengas.
Pide cita en Clínicas Udemax y elige la ubicación que mejor se adapte a ti: Udemax en las consultas externas de la Policlínica Juaneda, en Arcdental o en EMARdental, tu clínica en el centro de Palma.
Si quieres saber más sobre tratamientos de ortodoncia, continúa navegando en nuestra página web.
¡Apenas te darás cuenta de que los tienes! Al principio puedes encontrarte una sensación extraña, pero irá desapareciendo con el tiempo.
El hecho de llevar retenedores no impide llevar una vida completamente normal.
tags: #brackets #retenedores #fijos