Los brackets transparentes de zafiro son una de las técnicas de ortodoncia más avanzadas que existen actualmente. Este tipo de brackets se ha convertido en una opción popular para aquellos que buscan corregir la alineación de sus dientes de manera discreta y efectiva. A continuación, exploraremos en detalle qué son los brackets de zafiro, cómo funcionan, sus ventajas y el proceso del tratamiento, para que puedas tomar una decisión informada sobre si son la opción adecuada para ti.

¿Qué son los Brackets de Zafiro?
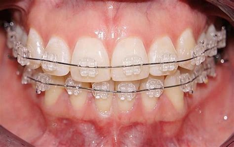
Los brackets de zafiro son un tipo de ortodoncia estética fabricada con cristales de zafiro transparente. El zafiro se utiliza en la ortodoncia estética para hacer brackets transparentes como el cristal. Este material tiene la particularidad de ser prácticamente invisible, ya que se adapta al color natural de los dientes, lo que los hace una opción ideal para aquellos que desean una corrección dental discreta.
Ventajas de los Brackets de Zafiro
- Estética Discreta: Ofrecen una apariencia casi invisible gracias a su material transparente, mimetizándose con el color natural de los dientes.
- Alta Resistencia y Durabilidad: El zafiro es un material extremadamente resistente, lo que garantiza la durabilidad de los brackets durante el tratamiento.
- No se Tiñen: Al estar fabricados en un material policristalino inalterable, tu ortodoncia se mantendrá transparente durante todo el tiempo que dure el tratamiento. No se tiñen ni pierden su transparencia a lo largo del tratamiento.
- Hipoalergénicos: El zafiro es un material hipoalergénico, lo que los hace aptos para personas con sensibilidad a otros materiales.
Los brackets de zafiro ofrecen una combinación única de durabilidad, resistencia y estética. Son ideales para pacientes preocupados por la apariencia de su sonrisa durante el tratamiento, ya que son prácticamente invisibles y no se manchan con alimentos, bebidas o tabaco.
¿Cómo Funcionan los Brackets de Zafiro?
Los brackets de zafiro funcionan de la misma manera que los brackets de metal, aplicando una presión constante sobre los dientes para moverlos gradualmente hacia su posición correcta. Estos brackets están conectados por un arco de alambre que el ortodoncista ajusta periódicamente para asegurar el progreso del tratamiento.
Corrigen la alineación dental de manera precisa, resolviendo problemas de mordida y optimizando la salud de tu boca. Se puede usar en casos con extracciones o sin extracciones.

Esquema del funcionamiento de los brackets de zafiro.
🔴Diferentes 𝗧𝗜𝗣𝗢𝗦 𝗗𝗘 𝗕𝗥𝗔𝗖𝗞𝗘𝗧𝗦 -¿Cual es mejor? (Metálicos, Autoligables, Esteticos y MUCHOS MAS)
Proceso del Tratamiento con Brackets de Zafiro
Antes de iniciar tu tratamiento con brackets de zafiro, es esencial que conozcas cada una de las etapas que te guiarán hacia una sonrisa alineada y estética.
- Evaluación Inicial: Realizamos un análisis detallado de tu boca, utilizando radiografías, fotografías y un registro preciso de tu situación dental actual.
- Colocación de los Brackets: Para asegurar una mejor adaptación, en la primera cita colocaremos los brackets de zafiro en la arcada superior. El proceso de colocación de los brackets de zafiro es similar al de otros tratamientos ortodónticos. Primero, evaluamos la salud bucal del paciente y creamos un plan de tratamiento personalizado. Luego, limpiamos los dientes y aplicamos los brackets de zafiro con precisión, utilizando un adhesivo dental especializado.
- Alineación y Ajuste de la Mordida: En esta fase, los dientes se alinean en su posición óptima y la mordida se ajusta correctamente.
- Retención: En esta etapa, se busca mantener los dientes en la alineación lograda durante el tratamiento, ya que tienden a volver a su posición inicial.
El tiempo de reubicación es algo mayor al de los brackets metálicos, pero los resultados son igual de buenos. El tiempo de ortodoncia es algo mayor al de los clásicos frenillos metálicos de ortodoncia, pero los resultados son igual de buenos. No llevan ranura metálica, por lo que aumenta ligeramente la fricción.
Brackets de Zafiro vs. Otras Opciones
Al considerar los brackets de zafiro, es importante compararlos con otras opciones disponibles en el mercado. Aquí te presentamos una comparación con los brackets de cerámica y los brackets metálicos:
Brackets de Zafiro vs. Brackets de Cerámica
- Estética: Ambos son estéticos, pero los brackets de zafiro son más transparentes y menos propensos a mancharse.
- Resistencia: Los brackets de zafiro son más resistentes y duraderos que los de cerámica.
- Costo: Los brackets de zafiro suelen ser más costosos que los de cerámica.
Brackets de Zafiro vs. Brackets Metálicos
- Estética: Los brackets de zafiro ofrecen una apariencia mucho más discreta debido a su transparencia, lo que los hace menos visibles en comparación con los metálicos.
- Durabilidad: Los brackets de metal son conocidos por su robustez y durabilidad, aunque los de zafiro también son duraderos.
- Costo: Los brackets de metal son más económicos que los de zafiro.
| Característica | Brackets de Zafiro | Brackets de Cerámica | Brackets Metálicos |
|---|---|---|---|
| Estética | Alta (transparentes) | Media (blancos) | Baja (visibles) |
| Resistencia | Alta | Media | Alta |
| Costo | Alto | Medio | Bajo |
| Manchas | No se manchan | Pueden mancharse | No se manchan |
Cuidados y Recomendaciones
Durante el tratamiento con brackets de zafiro, es importante seguir ciertas recomendaciones para asegurar su eficacia y durabilidad:
- Higiene Bucal: Mantén una higiene bucal rigurosa, cepillando tus dientes después de cada comida y utilizando hilo dental diariamente.
- Alimentación: Se recomienda evitar alimentos duros, pegajosos o crujientes que puedan dañar los brackets.
- Visitas al Ortodoncista: Asiste a todas las citas de seguimiento para que el ortodoncista pueda ajustar los brackets y monitorear el progreso del tratamiento.
Resultados del Tratamiento con Brackets de Zafiro
El resultado de la ortodoncia con brackets es unos dientes alineados. El tratamiento de ortodoncia con brackets estéticos alinea tus dientes y mejora tu sonrisa sin importar la edad. El proceso biológico involucrado en el movimiento dental es el mismo tanto en adolescentes como en adultos. Los dientes se mueven.
Muchos pacientes que han optado por los brackets de zafiro han expresado su satisfacción con los resultados obtenidos. Algunos incluso mencionan que después de llevar un tratamiento de ortodoncia con brackets de zafiro, no recuerdan cómo era su sonrisa antes del procedimiento.

¿Cuánto Cuestan los Brackets de Zafiro?
Los precios de los brackets estéticos son muy accesibles. Te detallamos el precio de los brackets de zafiro para ortodoncia en nuestra clínica dental en Madrid. El costo de tu tratamiento no será una barrera. Nos adaptamos a tus necesidades con financiación personalizada y asesoramiento a medida. No permitas que el coste te detenga. Te ofrecemos financiación flexible y un asesoramiento personalizado.