¿Últimamente te levantas con dolores de cabeza y de mandíbula? ¿Sientes molestias cervicales o has notado como, con el paso del tiempo, tus piezas dentales se han ido desgastando de manera progresiva? Quizá no le estés dando importancia, pero la causa de todas estas molestias puede ser el bruxismo. Si alguna vez te has despertado con la mandíbula dolorida, los dientes sensibles o un dolor de cabeza inexplicable, podrías estar sufriendo de bruxismo. Este trastorno, muchas veces silencioso y desapercibido, afecta a millones de personas en todo el mundo.
El bruxismo, o rechinar de dientes, es un problema común que afecta a muchas personas en todo el mundo. El bruxismo es el hábito involuntario que consiste en apretar o rechinar toda la estructura facial sin causa útil. El bruxismo es una afección en la que se aprietan o rechinan los dientes de manera involuntaria, generalmente durante la noche. Aunque muchas personas no son conscientes de que rechinan los dientes, los odontólogos pueden detectarlo fácilmente en revisiones periódicas.
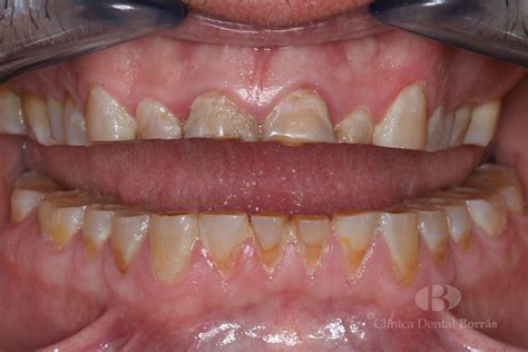
En la mayoría de ocasiones, esta afección acarrea graves problemas de desgaste dental, dolor de mandíbula, cabeza u oídos, problemas en los músculos del cuello, encías inflamadas o debilitadas… Sin embargo, es una patología relativamente sencilla de tratar si identificamos correctamente las causas que lo provocan.
Todo sobre BRUXISMO - Síntomas, tratamientos y consecuencias de APRETAR los dientes | Dentalk! ©
¿Qué es el bruxismo?
Como ya comentábamos en un artículo anterior, el bruxismo es el hábito involuntario de apretar o rechinar los dientes. Si bien puede manifestarse durante el día, lo más común es que lo haga en las horas de descanso. En algunos casos, es tan leve que no precisa de tratamiento. La clave está en identificar sus síntomas a tiempo para evitar daños mayores.

Tipos de bruxismo
El bruxismo puede manifestarse de forma nocturna o diurna.
- Bruxismo nocturno: Se produce durante el sueño y suele ser más severo que el bruxismo diurno. Como hemos comentado anteriormente, el bruxismo suele ser nocturno. Como hábito inconsciente durante el sueño, suele controlarse mediante el uso de una férula de descarga.
- Bruxismo diurno: Rechinar los dientes por el día, consiste en apretarlos de forma inconsciente a lo largo del día. En cuanto al bruxismo de día, de darse, el paciente debe estar alerta para poder identificar los momentos en los que se produce, para conocer cuáles pueden ser las situaciones o actividades que lo desencadenan. El mejor tratamiento para los pacientes con bruxismo diurno es la terapia conductual, “que busca modificar los motivos que hacen que el paciente, de forma inconsciente, rechine los dientes en situaciones de ansiedad o estrés.
Síntomas del bruxismo
¿Sufres de bruxismo? Esta afección puede presentarse de muchas formas, desde molestias leves hasta problemas serios que afectan la estructura dental y la musculatura facial. En ambos casos, los síntomas pueden variar en intensidad y frecuencia. ¿Te levantas a menudo con dolor de cabeza? ¿Más cansado de lo habitual por no haber dormido bien? ¿Con molestias en la mandíbula y en los músculos faciales? Los personas con bruxismo aprietan los dientes superiores e inferiores con fuerza, adelante y hacia atrás, provocando que los dientes duelan o se aflojen.
En la visita al odontólogo, el paciente suele referir episodios de dolor agudo de oídos o cabeza, dolor o inflamación por la zona de la mandíbula, insomnio y dificultad para conciliar el sueño por los dolores que acarrea, cefaleas, estrés y ansiedad por cansancio acumulado.
Algunos de los síntomas más comunes incluyen:
- Dolor en la mandíbula, cuello o cabeza: la tensión excesiva en los músculos faciales puede provocar molestias que se extienden hasta la cabeza y el cuello.
Si te identificas con varios de estos síntomas, es importante que consultes con un especialista. Si sospechas que sufres de dolor por rechinar los dientes, es importante consultar a un odontólogo para determinar el tratamiento más adecuado. Si tienes alguna duda, presentas alguno de los síntomas que te hemos indicado o notas que tus dientes están más desgastados de lo normal, no dudes en pedirnos cita. ¡Estamos para ayudarte!
Causas del bruxismo
A este respecto, los especialistas no señalan un factor concreto que pueda asociarse al origen de esta patología. El bruxismo no es una enfermedad como tal, sino que se trata de un trastorno externo desencadenado por otros factores, como el estrés. A menudo, este hábito está relacionado con el estrés y la ansiedad, factores que pueden desencadenar el apretamiento de los dientes durante la noche. El bruxismo puede ser un síntoma de niveles elevados de estrés y ansiedad en una persona. Las tensiones diarias pueden manifestarse durante el sueño a través del apretamiento involuntario de los dientes.
Entre las causas más comunes se encuentran:
- Estrés: El estrés es uno de los desencadenantes más comunes del bruxismo. El bruxismo se puede considerar un efecto secundario de algunos medicamentos usados, sobre todo, en psiquiatría. La mayoría de los casos en los que se da el bruxismo, viene determinado por una causa relacionada con el estrés o la ansiedad.
- Depresión: La depresión también puede ser un factor contribuyente al bruxismo.
- Abuso de sustancias: El tabaco, el alcohol o el consumo de drogas aumenta la posibilidad de padecer bruxismo. La cafeína y el alcohol pueden aumentar la probabilidad de experimentar bruxismo. Además, es más frecuente en personas que toman bebidas estimulantes como, por ejemplo, el café o aquellas que contienen alcohol.
¿Qué consecuencias tiene el bruxismo para tu salud?
No ignores el bruxismo, ya que puede tener consecuencias negativas para la salud bucodental y la calidad de vida en general. Perjuicio para la estética dental, al verse mermada la estructura dentaria.
Tratamientos para el bruxismo
¡Aunque tenemos buenas noticias! Existen diversas soluciones para tratar el bruxismo, dependiendo de la causa y la gravedad del caso. El bruxismo puede ser tratado de diversas maneras para aliviar los síntomas y proteger la salud dental. Pero, con el tratamiento apropiado sí que podemos mejorar el bruxismo e, incluso, eliminar el problema o sus consecuencias. En función de su origen, puede haber una serie de tratamientos o remedios más indicados que otros.
Algunos de los tratamientos más comunes son:
Férulas dentales
Las férulas dentales son protectores bucales diseñados para evitar el desgaste dental causado por el rechinamiento nocturno, así como la presión que se ejerce sobre la mandíbula. Se fabrican a medida, con materiales de resina o plástico y ayudan a reducir la presión en la mandíbula, protegiendo los dientes de futuros daños. Consulta a tu dentista sobre la posibilidad de usar una férula de descarga durante la noche. Por otra parte, el tratamiento más efectivo para evitar las complicaciones derivadas del desgaste dental asociado a los pacientes que presentan bruxismo nocturno es la férula de descarga. La solución más común es la colocación de una férula de descarga para restablecer el equilibrio de las cargas masticatorias y reducir la tensión en las mandíbulas. Existen diferentes tipos de férulas, como por ejemplo aquellas que se adaptan a los dientes superiores, las que se adaptan a los dientes inferiores, las que tienen como misión relajar la mandíbula, etc. En la Clínica dental Ruiz de Gopegui revisamos tu sonrisa con detenimiento, con el fin de determinar qué tipo de férula dental es la que mejor te puede sentar.
Éste permite que la persona que padece bruxismo descargue sobre la férula la tensión acumulada. Si bien las hay estándar, en Avodent aconsejamos emplear las fabricadas en resinas reforzadas, realizadas a medida de la boca del paciente. Una férula de descarga profesional ayudará a evitar que el constante contacto de los dientes desgaste la dentadura y dañe el esmalte dental.

Técnicas de relajación y manejo del estrés
El estrés es uno de los principales desencadenantes del rechinamiento de dientes. El estrés y la ansiedad son factores desencadenantes del bruxismo. Para controlarlos, se pueden practicar técnicas de relajación como meditación, yoga o ejercicios de respiración. Dedica tiempo cada día a practicar técnicas de relajación muscular, como la meditación, el yoga o la respiración profunda. Puedes crear rutinas de relajación antes de dormir, probando ejercicios de mindfulness y técnicas de respiración profunda. En definitiva, llevar un modo de vida más emocionalmente más sano y pausado.
Fisioterapia
El rechinar los dientes también puede estar relacionado con una mala postura o hábitos involuntarios. Además, en los casos más severos es habitual recurrir a la fisioterapia. Los fisioterapeutas especializados en la articulación temporomandibular (ATM) pueden enseñar ejercicios específicos para relajar la mandíbula y mejorar su movilidad. Realizar ejercicios de relajación mandibular puede ayudar a reducir la tensión acumulada en esta zona.
Ortodoncia
En algunos casos, rechinar los dientes está relacionado con una mala alineación dental. Los tratamientos de ortodoncia, como la ortodoncia invisible o las carillas dentales en 3D, pueden corregir la mordida y reducir la presión innecesaria en los dientes. Esto ayudará a reducir el impacto de rechinar los dientes.
Medicamentos
Si el bruxismo es severo y no responde a tratamientos convencionales, algunos especialistas pueden recomendar medicación para relajar los músculos de la mandíbula. Por eso, los especialistas deben valorar la posibilidad de pautar fármacos antiinflamatorios y analgésicos, relajantes e incluso ansiolíticos. La ingesta de determinados medicamentos puede tener como efecto secundario el bruxismo.
Otras recomendaciones
- Mantén una postura erguida durante el día y evita encorvarte.
- Aplica compresas tibias o frías en la mandíbula para aliviar el dolor y la inflamación asociados con el bruxismo.
- Masticar chicle o cosas duras puede aumentar la tensión en los músculos de la mandíbula y empeorar el bruxismo.
- Programa visitas regulares al dentista para monitorear la salud de tus dientes y mandíbula.
Remedios caseros
En los casos en los que existen molestias o dolor en los músculos de la cara, cuello y hombros, se aconseja realizar un automasaje que ayude a la relajación muscular. Con esto, además, se evitan las complicaciones y trastornos relacionados con la articulación temporomandibular (ATM). Valiéndonos de los dedos índice, corazón y anular, presionar con suavidad detectando las zonas con mayor tensión o más dolorosas debajo de los pómulos. Por último, colocar los dedos índice sobre las muelas inferiores con la boca ligeramente abierta, aunque de manera relajada y sin tensión.
Aunque dichos ejercicios para relajar la mandíbula y remedios caseros te ayuden a reducir el bruxismo, lo más conveniente será realizar un control y una vigilancia de cada caso concreto. Por otro lado, los remedios caseros pueden contribuir a la reducción del dolor o el estrés que causa el bruxismo.
Recibir un diagnóstico adecuado es fundamental para abordar el bruxismo. El diagnóstico preciso del bruxismo permite entender las causas subyacentes y determinar el mejor enfoque terapéutico.
En Marso Clínica Dental en Tenerife nos ponemos a tu disposición para ofrecerte la mejor atención y resolver todas tus dudas. Pide cita en Ruiz de Gopegui y disfruta de una sonrisa estupenda para siempre. En Ferrus & Bratos nos guiamos por unas pautas editoriales que aseguran la veracidad de toda la información que publicamos. En Ferrus&Bratos cumplimos con el RGPD de la UE por lo que tus datos están seguros.
El rechinamiento de dientes es un problema común, pero no debes subestimarlo. ¿Crees que podrías estar sufriendo de bruxismo? Solicita una cita con nosotras para encontrar la mejor solución.
Referencias:
- American Dental Association. (2023). Bruxism: symptoms and treatment. ADA Health Information.
- Mayo Clinic. (2022). Teeth grinding (Bruxism). Mayo Clinic Health System.
- World Health Organization. (2023). Oral health and bruxism. WHO Reports.
tags: #bruxismo #como #combatirlo