El bruxismo es considerado un hábito oral inconsciente donde se tiene a apretar los dientes, rechinarlos y hacer sonidos con los dientes. El bruxismo es una condición caracterizada por el rechinar o apretar los dientes de forma involuntaria, principalmente durante la noche mientras dormimos, aunque también puede ocurrir durante el día. Muchas personas en Terrassa y alrededores padecen de bruxismo sin siquiera darse cuenta, pero sus efectos pueden afectar seriamente la calidad de vida y la salud dental. El bruxismo es un problema dental bastante común, pero que suele pasarse por alto hasta que comienzan las complicaciones.

¿Qué es el Bruxismo?
El bruxismo es un trastorno en el que una persona aprieta, fricciona o rechina los dientes de manera involuntaria. Este comportamiento puede ocurrir tanto durante el día (bruxismo diurno) como durante la noche (bruxismo nocturno), siendo más común durante el sueño.
Estos dos tipos de bruxismo, suceden en diferentes grados de consciencia y tienen distintas causas. El bruxismo diurno, suele estar muy relacionado con un alto estrés emocional. Es el más común y suele pasar durante las fases de sueño ligero o intermedio, sin que la persona sea consciente. Ocurre mientras la persona está despierta, habitualmente en situaciones de tensión, concentración o ansiedad.
Causas del Bruxismo Nocturno
Las causas del bruxismo nocturno son multifactoriales. La tensión mandibular puede tener varias causas, que van desde problemas físicos hasta factores psicológicos. No existe una única causa. Identificar la raíz del problema es clave para encontrar la mejor solución. El bruxismo nocturno puede deberse a múltiples factores, tanto físicos como emocionales.
- Estrés y ansiedad: Está muy relacionado con el estrés, problemas de sueño, cambios en el estilo de vida o mala alimentación. El estrés es una de las causas más comunes del bruxismo. La causa más frecuente es el estrés emocional o la ansiedad prolongada. Muchas personas tienden a apretar los dientes inconscientemente cuando están bajo tensión o ansiedad. Muchas personas liberan la tensión acumulada durante el día apretando los dientes mientras duermen.
- Trastornos del sueño: El bruxismo nocturno está estrechamente relacionado con los trastornos del sueño, como la apnea del sueño o el insomnio. El bruxismo nocturno se asocia a menudo con trastornos del sueño, como apnea, insomnio o despertares frecuentes. El bruxismo nocturno se asocia con otros problemas del sueño, como el insomnio, la apnea del sueño y el síndrome de piernas inquietas. Las interrupciones en el ciclo normal del sueño pueden desencadenar episodios de bruxismo.
- Alineación dental incorrecta: Una mala mordida o dientes desalineados pueden favorecer el bruxismo. Una mala alineación de los dientes o problemas en la mordida (maloclusión) también pueden contribuir al bruxismo. Las personas con desalineación dental o mordidas irregulares pueden ser más propensas al bruxismo nocturno. Cuando los dientes no encajan correctamente, se ejerce una mayor presión en ciertos puntos de la boca, lo que puede desencadenar el hábito de apretarlos o rechinarlos.
- Factores genéticos: En algunos casos, puede haber predisposición genética o relación con trastornos neurológicos (como el Parkinson o el TDAH). El bruxismo puede tener un componente hereditario. El bruxismo nocturno también puede tener un componente hereditario. Si alguien en tu familia lo padece, es más probable que tú también lo experimentes en algún momento de tu vida.
- Estilo de vida y consumo de sustancias: El consumo de alcohol, cafeína, tabaco y ciertas drogas recreativas puede aumentar el riesgo de padecer bruxismo. El consumo de cafeína, alcohol y tabaco antes de dormir puede aumentar la actividad muscular y provocar episodios de bruxismo. Estas sustancias pueden alterar el sistema nervioso y aumentar la actividad muscular durante la noche, lo que lleva al rechinamiento de los dientes. Los hábitos de consumo antes de acostarse pueden influir en la aparición del bruxismo nocturno. Sustancias estimulantes como la cafeína y la nicotina pueden aumentar la actividad muscular y provocar episodios de rechinamiento dental.
- Otros factores: Algunos fármacos, especialmente los antidepresivos y medicamentos para el sistema nervioso central, pueden aumentar la incidencia de bruxismo nocturno.
7 EJERCICIOS para el BRUXISMO 💀
Síntomas del Bruxismo Nocturno
En muchas personas, el bruxismo es asintomático durante años, hasta que empiezan a notar sus efectos. El bruxismo puede ser difícil de detectar, especialmente si ocurre durante el sueño. Pero si no se trata a tiempo, puede causar daños progresivos en la salud bucal y afectar la calidad de vida del paciente. Reconocer los síntomas del bruxismo nocturno es fundamental para su diagnóstico temprano. Si no fuera por los síntomas del bruxismo nocturno, muchas personas no sabrían que padecen este problema, ya que sucede mientras dormimos. Identificar estos signos a tiempo es clave para prevenir daños en los dientes y la articulación temporomandibular (ATM).

- Dolor en la mandíbula y la cara: Uno de los síntomas más comunes es el dolor en la mandíbula y los músculos faciales, especialmente al despertar. Uno de los signos más evidentes del bruxismo nocturno es el dolor en la mandíbula, los dientes o la articulación temporomandibular (ATM) al despertar. Muchos pacientes confunden el dolor mandibular o de la articulación con dolor de oído. Este dolor puede irradiarse hacia el cuello, los oídos e incluso causar dolores de cabeza, que a menudo se confunden con migrañas.
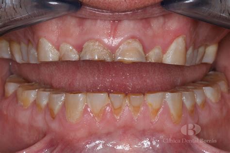
- Desgaste dental: Uno de los signos que se ven muy claros en consulta cuando viene un paciente con bruxismo es el desgaste anormal de los dientes a causa de rechinarlos o apretarlos. El desgaste excesivo de los dientes es un signo claro de bruxismo. El rechinamiento constante desgasta el esmalte dental, provocando que los dientes se vuelvan más sensibles al frío, calor o alimentos dulces. Si los dientes parecen más planos o si notas pequeñas fracturas, es probable que estés apretando o rechinando los dientes con fuerza. El bruxismo sin tratar puede provocar fisuras o fracturas, incluso en dientes sanos o restaurados.
- Sensibilidad dental: Las personas con bruxismo suelen desarrollar una mayor sensibilidad dental. Esto se debe a que el esmalte de los dientes se desgasta, dejando expuesta la dentina, la capa interna más sensible del diente.
- Problemas en la articulación temporomandibular (ATM): El bruxismo puede afectar la articulación temporomandibular, la cual conecta la mandíbula con el cráneo. El esfuerzo excesivo que realizan los músculos de la mandíbula durante la noche puede provocar rigidez en la articulación temporomandibular (ATM). Esto puede provocar chasquidos, dolor o dificultad para abrir y cerrar la boca correctamente. Los pacientes con bruxismo nocturno pueden experimentar chasquidos, crujidos o ruidos articulares al mover la mandíbula. Estos sonidos pueden ser una señal de que la ATM está afectada y requiere atención especializada.
- Ruido de rechinamiento: En muchos casos, el bruxismo nocturno es escuchado por la pareja o familiares.
- Dolor en cuello y oídos: Esto se debe a que la articulación temporomandibular está conectada a otros músculos y estructuras del cráneo.
- Dificultad para abrir y cerrar la boca: El bruxismo nocturno puede afectar la movilidad de la mandíbula y dificultar acciones básicas como masticar, bostezar o abrir completamente la boca.
Complicaciones del Bruxismo Nocturno
Los síntomas del bruxismo nocturno no solo causa molestias temporales, sino que puede generar daños progresivos en la salud bucal si no se trata. Cuando el bruxismo nocturno no se trata adecuadamente, pueden surgir diversas complicaciones que afectan la salud bucal y general de la persona. Apretar y rechinar los dientes constantemente durante la noche puede provocar desgaste dental, fracturas, problemas en la articulación temporomandibular (ATM) y afectaciones en las encías.
- El esmalte es la capa más dura y protectora de los dientes. Pero el bruxismo nocturno puede desgastarlo rápidamente debido a la fricción constante entre los dientes superiores e inferiores.
- La presión excesiva que genera el bruxismo nocturno puede causar microfisuras en los dientes, las cuales pueden volverse fracturas más grandes con el tiempo.
- El bruxismo nocturno afecta directamente la articulación temporomandibular (ATM), que es la encargada de conectar la mandíbula con el cráneo.
- La fuerza ejercida al apretar los dientes puede afectar las encías y el tejido de soporte dental, provocando recesión gingival.
- La tensión constante en los músculos de la mandíbula puede provocar dolor crónico en la zona mandibular, cuello e incluso en los hombros.
- El bruxismo nocturno puede interferir con la calidad del sueño, tanto de la persona afectada como de su pareja, lo que lleva a problemas de insomnio y fatiga durante el día.
Diagnóstico del Bruxismo
El diagnóstico del bruxismo requiere una evaluación exhaustiva por parte de un profesional dental. El diagnóstico del apretamiento dental suele realizarlo un dentista durante un chequeo dental regular. Acudir al dentista a tiempo es clave para evitar complicaciones graves del bruxismo nocturno. Durante la consulta, el dentista evaluará el desgaste dental, la presencia de fracturas y la sensibilidad en diferentes áreas. El profesional revisará el estado de los dientes para detectar signos de desgaste o fracturas. En algunos casos, puede ser necesario realizar estudios del sueño para determinar si el tensión mandibular nocturna está afectando la calidad del descanso.
Soluciones y Tratamientos para el Bruxismo Nocturno
El tratamiento depende del origen del problema y del grado de afectación. El tratamiento del bruxismo varía según la causa subyacente. Existen diversas formas de tratar el bruxismo y minimizar sus efectos negativos. Existen diferentes enfoques que van desde medidas sencillas hasta intervenciones más complejas. El bruxismo nocturno es un trastorno complejo que requiere un enfoque multidisciplinar para su tratamiento efectivo. Ponemos a tu disposición los mejores tratamientos para el bruxismo para que cuides tu bienestar estético y salud oral.
- Férulas o protectores dentales: Son el tratamiento más común y eficaz. El uso de una férula dental para bruxismo nocturno es uno de los tratamientos más efectivos. Uno de los tratamientos más comunes para el bruxismo es el uso de férulas o protectores bucales. Las férulas de descarga son uno de los tratamientos más comunes y efectivos para el bruxismo. Para el bruxismo nocturno uno de los tratamientos más eficaces es usar un protector bucal o férula de descarga a medida. Estas son piezas hechas a medida que se colocan sobre los dientes, generalmente durante la noche, para evitar el contacto entre los dientes superiores e inferiores. El odontólogo lo ajusta y esto ayuda a proteger los dientes y reducir los efectos en tejidos blandos, huesos o músculos. Estas férulas actúan como una barrera protectora, evitando el contacto directo entre las superficies dentales y reduciendo la tensión muscular. Los profesionales dentales pueden recomendar diferentes tipos de férulas según las necesidades específicas de cada paciente. Muchos pacientes confunden el dolor mandibular o de la articulación con dolor de oído. En muchos casos, los síntomas mejoran en pocos días de usar la férula. Sí, pero siempre deben ir acompañadas de férula protectora.

- Terapia de relajación y control del estrés: El manejo del estrés es fundamental. Como el estrés es una de las principales causas del bruxismo, la terapia de relajación puede ser muy efectiva. El bruxismo relacionado con el estrés puede beneficiarse de técnicas de reducción de estrés como el yoga, la meditación o la respiración profunda. Técnicas como la meditación, el yoga y los ejercicios de respiración profunda pueden ayudar a reducir la tensión emocional y muscular. En algunos casos, puede ser necesario consultar con un psicólogo o terapeuta para manejar mejor el estrés.
- Ajuste dental y ortodoncia: Si el bruxismo se debe a problemas de alineación dental, un dentista u ortodoncista puede recomendar el ajuste de la mordida o el uso de aparatos ortodónticos. En algunos casos, el bruxismo se produce debido a una mala alineación dental. La corrección de la mordida mediante ortodoncia o ajustes dentales puede ser necesaria para aliviar el bruxismo. Estos tratamientos ayudan a corregir la maloclusión y reducir la presión en los dientes y la mandíbula.
- Tratamiento con ácido hialurónico: En casos más severos, el uso de ácido hialurónico puede ser una opción para tratar el bruxismo. Este tratamiento consiste en inyectar ácido hialurónico en los músculos de la mandíbula para reducir la hiperactividad muscular y, por lo tanto, disminuir los episodios de bruxismo. Además, puede mejorar la estética facial, relajando la tensión en la mandíbula y suavizando las líneas de expresión.
- Medicación: En algunos casos, se puede recetar medicación para tratar el bruxismo. En casos extremos, un especialista podría recetar medicación para relajar los músculos de la mandíbula o ayudar a dormir mejor. Los relajantes musculares pueden ser útiles antes de dormir para reducir los episodios de rechinamiento nocturno. En situaciones más complejas, los antidepresivos o ansiolíticos pueden ayudar a tratar el estrés o la ansiedad subyacentes que contribuyen al bruxismo.
- Terapia física y masajes: La fisioterapia y los ejercicios de estiramiento mandibular pueden complementar el tratamiento. La fisioterapia también puede ser útil para tratar el dolor y la tensión muscular asociados con el bruxismo. Los masajes en los músculos de la mandíbula, cuello y hombros pueden aliviar el malestar y mejorar la movilidad de la articulación temporomandibular.
- Terapia Cognitivo-Conductual: La Terapia Cognitivo-Conductual puede ser útil en casos donde el bruxismo esté relacionado con ansiedad o problemas emocionales.
Prevención del Bruxismo Nocturno
La prevención del bruxismo nocturno requiere un enfoque integral que combine diferentes estrategias. Aunque no siempre es posible prevenir completamente el bruxismo, hay medidas que se pueden tomar para reducir el riesgo de padecerlo o minimizar sus efectos.
- Reducción del estrés: Mantener el estrés bajo control es clave para prevenir el bruxismo. El estrés y la ansiedad son factores clave en la aparición del bruxismo nocturno. Actividades que promuevan la relajación, como el ejercicio regular, la meditación y mantener una buena rutina de sueño, pueden ser muy beneficiosas.
- Hábitos saludables: Evitar el consumo excesivo de alcohol, cafeína y tabaco puede ayudar a reducir los episodios de bruxismo. Trata de evitar estas sustancias al menos dos horas antes de ir a dormir. Evita el consumo excesivo de cafeína, alcohol y tabaco, ya que estos productos pueden incrementar la tensión y empeorar el bruxismo. Estos hábitos no solo afectan la calidad del sueño, sino que también aumentan la actividad muscular durante la noche.
- Rutina de sueño: Establecer una rutina de sueño saludable es igualmente importante. Establecer una rutina de descanso ayuda al cuerpo a prepararse para dormir. Intenta irte a dormir y despertarte a la misma hora todos los días. Intenta mantener una rutina relajante antes de dormir. Evita el uso de pantallas antes de acostarte y crea un ambiente propicio para el descanso.
- Dormir boca arriba: El sueño es un momento clave para la recuperación del cuerpo y del sistema nervioso. Dormir boca arriba es la posición más recomendada para personas con bruxismo.
- Ejercicios de relajación mandibular: Existen algunos ejercicios que puedes realizar para relajar los músculos de la mandíbula. El calor ayuda a relajar los músculos de la mandíbula y reducir la tensión acumulada durante el día. Estos hábitos ayudan a relajar los músculos de la mandíbula, mejorar la calidad del sueño y disminuir la presión sobre los dientes.
- Postura corporal: La postura corporal influye en la salud de la mandíbula y la articulación temporomandibular (ATM).
- Visitas regulares al dentista: Las revisiones dentales periódicas son esenciales para detectar signos tempranos de bruxismo y tratar cualquier problema antes de que se agrave. Un buen seguimiento con el dentista también puede garantizar que se tomen las medidas adecuadas para proteger tus dientes.
¿Cuándo buscar ayuda profesional?
Si experimentas dolor mandibular persistente o notas un desgaste dental significativo, es importante buscar ayuda profesional inmediatamente. Acudir al dentista a tiempo es clave para evitar complicaciones graves del bruxismo nocturno. Si sientes dolor en la mandíbula, notas desgaste en tus dientes, tienes dificultades para masticar o experimentas ruidos articulares, debes consultar a un especialista. La clave está en reconocer los signos tempranos y buscar ayuda profesional antes de que se desarrollen complicaciones más graves.
El bruxismo es más común de lo que parece y, si se detecta a tiempo, puede tratarse con excelentes resultados. El bruxismo no siempre desaparece por completo, especialmente cuando su origen es emocional o neurológico.
Recuerda que el bruxismo es una condición que puede empeorar con el tiempo si no se trata adecuadamente. Si sospechas que puedes tener bruxismo o si presentas algún síntoma asociado, es importante acudir a un dentista en Terrassa para una evaluación detallada.
El bruxismo nocturno es un trastorno común, pero que puede controlarse con un enfoque adecuado.