Como odontólogo, a menudo me preguntan si se venden carillas dentales en farmacias y si son una buena opción para mejorar la sonrisa sin pasar por el dentista. La intención tras esta pregunta es clara: quieres saber si puedes comprar carillas dentales de forma fácil y económica, cuáles son sus características, y si conviene usarlas.
En este artículo te voy a explicar qué son las carillas dentales y para qué sirven, qué tipo de carillas puedes encontrar en farmacias (las llamadas carillas dentales temporales o removibles), sus limitaciones y riesgos, en qué se diferencian de las carillas profesionales hechas por un dentista, y te daré recomendaciones de uso y mi opinión profesional sincera sobre si vale la pena utilizarlas o no.
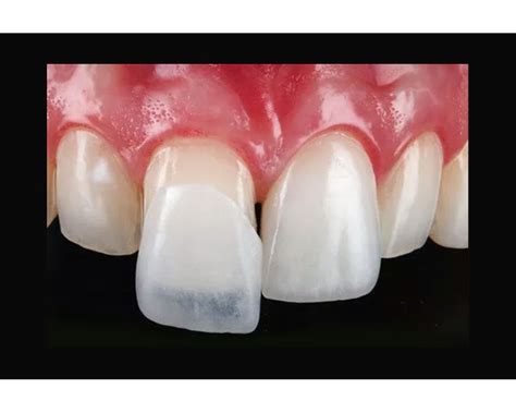
Las carillas dentales sirven para transformar sonrisas de forma rápida y eficaz. Ofrecen un cambio notable de estética sin procedimientos muy invasivos. Las carillas dentales son finas láminas personalizadas que se adhieren a la parte frontal de los dientes con el objetivo de mejorar su aspecto. Imagina una “cubierta” delgada, hecha a medida, que cubre la cara visible de tu diente. Están fabricadas con materiales como porcelana o resina compuesta (composite), que imitan el color y el brillo del diente natural.
Principalmente, sirven para corregir imperfecciones estéticas de la sonrisa.
Eso sí, las carillas tradicionales (porcelana o composite) requieren ser colocadas por un odontólogo en la clínica. El dentista realiza un estudio de tu sonrisa, prepara el diente (a veces limando una mínima parte del esmalte), toma moldes o impresiones y encarga la fabricación de la carilla a medida en un laboratorio (en el caso de las de porcelana) o las construye directamente sobre tu diente (en el caso de las de composite). Luego las adhiere con un cemento especial muy resistente.
Tipos de Carillas Dentales Profesionales
Existen principalmente dos tipos de carillas dentales que se colocan en clínicas odontológicas:
- Carillas de porcelana: Extremadamente estéticas y duraderas. Son finísimas, parecen la capa de una lenteja en grosor, pero muy resistentes. Mantienen su color con el tiempo y pueden durar entre 10 y 15 años con buenos cuidados.
- Carillas de composite (resina): Se construyen directamente sobre el diente aplicando capas de resina del color adecuado. Son más económicas que las de porcelana y se pueden realizar en una sola visita.
Ambas opciones transforman la sonrisa de forma significativa. Pero implican visitar al dentista, cierta inversión económica y un procedimiento clínico.
Ahora bien, ¿qué pasa con esas supuestas “carillas milagrosas” que podrías adquirir en una farmacia o por internet sin pisar la consulta?
Carillas dentales: Ventajas y Desventajas
Carillas Dentales de Venta en Farmacias: ¿Qué Son?
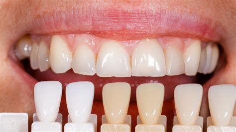
Llegamos al meollo del asunto: ¿Es posible comprar carillas dentales en una farmacia? La respuesta corta es sí, en algunas farmacias y tiendas online se comercializan carillas dentales de uso doméstico.
Básicamente, son carillas dentales temporales, removibles y prefabricadas. No tienen nada que ver con las carillas profesionales de porcelana o composite que describí antes, sino que son más bien prótesis estéticas de quita y pon. Su finalidad es meramente cosmética y temporal, algo así como “ponte un smile postizo para una ocasión especial”.
Tipos de Carillas Temporales de Farmacia
- Férula completa tipo “snap-on”: Es una placa delgada de resina o plástico que viene con la forma de una hilera de dientes (generalmente para la arcada superior, que es la más visible al sonreír). Esta férula se encaja sobre tus dientes cubriendolos por delante. Un ejemplo muy conocido es el producto comercial Perfect Smile, que se hizo popular en anuncios de TV e internet. Estas carillas instantáneas prometen darte una sonrisa perfecta al instante: cubren dientes manchados, torcidos o con huecos, dando la apariencia de dientes alineados y blancos al sonreír. Suelen estar hechas de un material plástico flexible que puedes ajustar (algunos se ablandan en agua caliente para adaptarlos un poco a tu mordida). Después, simplemente te los colocas a presión (“snap on”, que en inglés significa encajar a presión) y en teoría quedan sujetos sobre tus propios dientes.
- Carillas adhesivas individuales: Menos frecuentes, pero también existen kits con láminas adhesivas que se pegan sobre cada diente frontal. Imagina algo parecido a una uña postiza pero para el diente. Vienen en un color blanco/porcelana estándar y traen un pegamento dental o se auto-adheren con la humedad. Estas se anuncian para cubrir, por ejemplo, solo un diente estropeado. Personalmente, tengo serias reservas con estos adhesivos: suelen ser productos de baja calidad y el pegamento puede ser muy agresivo. De hecho, el uso de estas láminas está contraindicado por el riesgo de dañar el esmalte dental.
En cualquier caso, sí, se venden carillas dentales en farmacias, pero son siempre temporales y puramente estéticas. Las podrás encontrar en grandes farmacias, parafarmacias o tiendas en línea. Por ejemplo, cadenas de farmacias en algunos países ofrecen un producto tipo “férula estética instantánea”, y sitios como Amazon, Mercado Libre o incluso Walmart online tienen estas carillas removibles a la venta.
Su precio suele ser bastante asequible comparado con las carillas de dentista: rondan desde unos 20 a 50 euros/dólares (dependiendo de la marca y la calidad) e incluso menos si son muy sencillas.
Ahora bien, que algo exista y se pueda comprar fácilmente no significa que sea recomendable colocárselo en la boca. Quiero ser muy clara al respecto: las carillas dentales que se venden en farmacias tienen importantes limitaciones y no están exentas de riesgos para tu salud bucodental. Es mi deber, como profesional, ponerte al tanto de los posibles problemas antes de que consideres usarlas.

Limitaciones y Riesgos de las Carillas Dentales de Farmacia
- No corrigen problemas dentales reales: Estas carillas temporales solo camuflan visualmente defectos estéticos leves, pero no solucionan la causa de fondo. Si tus dientes están mal alineados, seguirán estándolo debajo de la férula; si tienes caries, seguirá avanzando bajo la carilla; si hay manchas internas, allí permanecerán. Es un efecto cosmético superficial. Al retirar la carilla removible, tu diente original sigue igual.
- Ajuste deficiente y comodidad cuestionable: Al ser productos prefabricados de talla única o limitada, es muy difícil que calcen perfectamente en la dentadura de todas las personas. Cada boca es un mundo. Es común que queden algo flojas, o al contrario, muy ajustadas en zonas equivocadas. Un ajuste deficiente puede ocasionar molestias, llagas o rozaduras en las encías. Muchos usuarios reportan que al principio les cuesta hablar bien con ellas puestas (puede haber un ligero ceceo o dificultad para pronunciar, debido al grosor añadido sobre los dientes). La publicidad dice que son cómodas y que uno “ni nota que las lleva puestas”, pero en la realidad esto varía mucho de persona a persona.
- Estética poco natural: Paradójicamente, algo diseñado para embellecer la sonrisa puede terminar viéndose falso. ¿Por qué? Porque no están personalizadas para ti. El color quizás no coincida con el de tus dientes naturales (a veces vienen de un blanco brillante poco realista, que canta a la vista). La forma de los dientes de la férula puede no asemejarse a la tuya. Incluso he visto que algunas férulas dan un aspecto algo voluminoso o abultado a la sonrisa, porque se colocan encima de tus dientes y añaden grosor. Un dentista, en cambio, escoge el tono exacto de porcelana para que combine con tu dentadura y talla cada carilla con la forma adecuada. Con las carillas de farmacia, existe el riesgo de ese “efecto Chiclet” (dientes cuadrados y demasiado blancos que parecen postizos).
- Fragilidad y poca duración: Estas carillas temporales no están hechas de materiales de alta resistencia. Son plásticos o resinas sencillas. Por tanto, se pueden romper o deformar fácilmente. Un descuido (por ejemplo, limpiarlas con agua muy caliente, o morder algo duro accidentalmente con ellas puestas) y adiós carilla. Su vida útil es limitada; algunos usuarios las usan varias semanas o meses con cuidado, pero no están pensadas para un uso prolongado en años ni mucho menos. Al ser baratas, también su calidad suele ser acorde al precio.
- No puedes comer con total normalidad: Este punto es importante. ¿Se puede comer con las carillas de quita y pon? En teoría, algunos fabricantes dicen que sí puedes beber y comer cosas suaves. Pero la realidad: no es recomendable masticar alimentos con ellas, especialmente comidas duras o pegajosas. Por un lado, podrías desencajarlas o que se suelten (imaginemos el momento incómodo de que se te caiga la “dentadura postiza” en plena comida…). Y por otro lado, la fuerza de la mordida podría partir o doblar el material. Lo más sensato es quitárselas para comer, lo cual limita su uso a situaciones sociales donde no estés comiendo mucho, o a sonreír en fotos, etc.
- Riesgo de caries y problemas gingivales: Este es quizás mi mayor temor profesional respecto a que la gente use estos dispositivos sin supervisión. Una carilla mal ajustada puede crear espacios donde se acumula placa bacteriana entre la carilla y el diente. Si la persona no tiene un higiene exquisita, esas bacterias pueden causar caries en el diente real oculto o inflamar las encías (gingivitis). Además, si alguien se confía y usa estas carillas todos los días para “tapar” un diente picado en lugar de ir al dentista, la caries avanzará silenciosamente debajo hasta posiblemente afectar el nervio. He atendido casos en que lo estético retrasó lo médico: pacientes que enmascararon un problema con soluciones de farmacia y acudieron cuando ya era demasiado tarde y había infección o dolor. ¡Cuidado con eso!
- Adhesivos peligrosos: Si el kit que compras implica usar un pegamento dental para fijar la carilla, hay que extremar precauciones. Un pegamento inadecuado puede dañar el esmalte o los tejidos blandos. Algunos pegamentos fuertes podrían requerir luego que el dentista retire restos del producto con fresas (tallando el diente). Recuerda: los adhesivos dentales profesionales los maneja el odontólogo bajo condiciones controladas; los de venta libre pueden ser seguros para pequeñas cosas, pero su mal uso es un riesgo real.
- Falsa seguridad y retraso de tratamientos adecuados: Si alguien usa diariamente estas carillas removibles, puede caer en la tentación de postergar visitas al dentista porque “total, mis dientes feos no se ven”. Esto es un riesgo indirecto: problemas que deberían atenderse (caries, malposiciones que afectan la mordida, enfermedad periodontal, etc.) quedan en segundo plano, empeorando con el tiempo.
Como puedes ver, las limitaciones son considerables. No es que esté “satanizando” el producto -puede tener su utilidad puntual- pero es fundamental conocer sus riesgos. De hecho, asociaciones profesionales advierten que procedimientos dentales realizados sin supervisión pueden causar daños irreversibles. Y las autoridades sanitarias recuerdan que las carillas, al igual que otros trabajos dentales, deben realizarse por profesionales acreditados para ser seguras.

Carillas de Farmacia vs. Carillas Profesionales: ¿Cuáles son las Diferencias Clave?
Es comprensible que muchas personas comparen mentalmente: “¿Por qué pagar un dineral al dentista si puedo obtener algo similar por unos cuantos euros en la farmacia?”. La respuesta está en el famoso “lo barato sale caro”.
Aquí te presento una tabla comparativa para que veas las diferencias clave:
| Característica | Carillas de Farmacia | Carillas Profesionales |
|---|---|---|
| Material y Calidad | Plásticos blandos o resinas acrílicas baratas | Porcelana de alta calidad (cerámica odontológica) o resina compuesta |
| Personalización | Estándar: uno o pocos tamaños y tonos genéricos | 100% personalizadas: a la medida exacta de cada diente |
| Procedimiento de Colocación | El propio usuario en casa, sin preparación dental previa | Procedimiento clínico por un dentista, puede incluir desgastes del esmalte |
| Permanencia | Removibles y de uso temporal | Permanentes (o al menos a muy largo plazo) |
| Durabilidad | Pocos meses de uso frecuente | 10-15 años (porcelana), 5-7 años (composite) |
| Resultados Estéticos | Mejora evidente pero con cierto “filtro Instagram”, a veces falsas | Prácticamente indistinguibles de un diente natural bonito |
| Seguridad y Salud Oral | Riesgos: dañar esmalte, caries, reacciones alérgicas | Seguro: el dentista se asegura de que no haya contraindicaciones |
| Coste Económico | 20-50€ | 300-600€ (porcelana), algo menos (composite) |
Material y calidad: Las carillas profesionales suelen ser de porcelana de alta calidad (cerámica odontológica) o resina compuesta, materiales diseñados específicamente para resistir las condiciones de la boca a largo plazo. Las de farmacia están hechas de plásticos más blandos o resinas acrílicas baratas.
Personalización: Las carillas de dentista son 100% personalizadas: se fabrican a la medida exacta de cada diente tuyo, con el color, forma y tamaño que mejor queda en tu sonrisa. Es como un traje hecho a medida. Las carillas de farmacia son estándar: vienen en uno o pocos tamaños y tonos genéricos. Sería el equivalente a comprar ropa “talla única”; te podrá quedar más o menos, pero difícilmente perfecta.
Procedimiento de colocación: Para colocar carillas profesionales, el dentista realiza un procedimiento clínico que puede incluir ligeros desgastes del esmalte para hacer espacio a la carilla, toma de impresiones, pruebas de color, cementado con luces especiales, etc. Es un acto sanitario hecho por un experto. En cambio, las carillas de farmacia las coloca el propio usuario en su casa, sin preparación dental previa. No se talla el diente (lo cual en sí es una ventaja de no ser invasivo), pero al no tallar ni ajustar, la carilla postiza queda sobrepuesta encima de todo lo existente, con el riesgo de que abulte y de que no encaje fino.
Permanencia: Las carillas profesionales son permanentes (o al menos a muy largo plazo). Una vez pegadas, ahí se quedan años; no te las quitas diariamente. Forman parte de tu diente. Las carillas temporales de farmacia son removibles y de uso temporal: te las pones y las quitas. Esto significa que con las de farmacia tendrás que manipularlas constantemente, limpiarlas, guardarlas con cuidado, etc., parecido a usar una prótesis dental removible. Un descuido y las puedes perder o dañar.
Durabilidad: Relacionado con lo anterior, una carilla de porcelana puede durar fácilmente 10-15 años en buen estado, y una de composite quizá 5-7 años antes de necesitar un pulido o recambio. Una carilla removible seguramente no te dure más de unos pocos meses de uso frecuente sin que se deteriore, decolore o pierda el ajuste. Son soluciones de corta vida útil.
Resultados estéticos: Aquí la diferencia es abismal cuando el trabajo profesional es bueno. Las carillas de porcelana bien hechas son prácticamente indistinguibles de un diente natural bonito. Las de farmacia en el mejor de los casos te darán una mejora estética evidente pero con cierto “filtro Instagram” (es decir, se nota que llevas algo postizo si uno mira de cerca). En el peor de los casos, se ven totalmente falsas. He tenido pacientes que vinieron después de probar kits caseros, buscando ya algo definitivo, y me confesaron que sus amigos notaban algo raro en su sonrisa o les preguntaban si llevaban dentadura postiza.
Seguridad y salud oral: Colocarse carillas en el dentista es seguro porque antes de hacerlo el profesional se asegura de que no haya caries activas, ni infecciones, ni contraindicaciones. Además, trabaja en condiciones de esterilidad, con materiales aprobados médicamente. Por el contrario, usar carillas de farmacia conlleva riesgos como ya detallé: desde dañar esmalte con pegamentos, hasta favorecer caries por atrapamiento de placa, pasando por posibles reacciones alérgicas al material plástico (si la persona es sensible). Nadie supervisa tu salud oral en el proceso de ponerte un kit de estos.
Coste económico: Aquí claramente gana la opción de farmacia en el corto plazo. Una carilla removible puede costar entre 20 y 50€, mientras que una sola carilla de porcelana profesional en España, por ejemplo, puede costar entre 300€ y 600€ (depende del profesional, material, etc.), y las de composite algo menos, di...