El cáncer de encías es un tipo de cáncer oral que afecta los tejidos de la encía. Es importante detectarlo a tiempo para aumentar las posibilidades de éxito en el tratamiento. En este artículo, exploraremos los síntomas, el diagnóstico y las opciones de tratamiento disponibles, así como las medidas preventivas que puede tomar para reducir el riesgo de desarrollar esta enfermedad.

¿Qué es el Cáncer de Encías?
El cáncer de encías, junto con el de paladar, labios, lengua y mejillas, es uno de los cánceres habituales que surgen en el interior de la boca. Es menos frecuente que otros cáncer de la boca como, por ejemplo, el de labio, pero también es más difícil de localizar en sus estadios más tempranos por situarse en una zona que no está directamente a la vista. Además, en ocasiones las lesiones o heridas se pueden confundir con el efecto de la acumulación de saliva o incluso con el sarro.
En España, este tipo de cáncer afecta a siete de cada 100.000 personas al año. Cuando se detecta de forma prematura, prácticamente un 90% de los casos el tratamiento progresa de forma adecuada permitiendo la curación del paciente.
El cáncer se desarrolla cuando la renovación celular normal está desequilibrada. Las células cancerosas con información genética alterada no son reconocidas por el sistema inmunitario y se propagan más rápidamente que las células normales. Como resultado, las células sanas son desplazadas y el tumor crece.
Causas y Factores de Riesgo
El cáncer aparece cuando las células sufren mutaciones en su ADN que les permiten seguir creciendo haciendo que las células sanas mueran sin desarrollarse. Una vez que estas células cancerosas se acumulan, forman un tumor que puede extenderse desde las encías hasta el resto de la boca e incluso por la cabeza y el cuello.
No se sabe a ciencia cierta qué es lo que causa estas mutaciones en las células de la cavidad bucal pero sí se han identificado algunos factores de riesgo que podrían considerarse como posibles causas del cáncer de encías. Estos factores de riesgo son los siguientes:
- Consumo de tabaco: En cualquiera de sus formas, ya sea como cigarrillos, pipas, rapé o tabaco de mascar. El tabaco, tanto fumado como masticado, expone a las encías y al resto de la boca a una gran cantidad de sustancias cancerígenas.
- Exceso de consumo de alcohol: El alcohol puede irritar las encías y hacerlas vulnerables ante cualquier sustancia agresiva. Por ello, hay que limitar la cantidad que se consume.
- Exposición excesiva al sol: Aunque el sol no incide directamente en las encías, sí puede provocar alteraciones en los labios que se extiendan hasta esa zona. Además de cubrirse con sombreros o pañuelos, es importante usar protector solar también en los labios, algo que se suele olvidar.
- Virus del Papiloma Humano (VPH): Este factor es especialmente peligroso ya que apenas se manifiesta y se puede seguir transmitiendo a otras parejas sexuales si no se toman las medidas adecuadas. En cualquier caso, es uno de los factores más débiles pues la mayor parte de la gente que padece este virus no llega a desarrollar cáncer de encías.
- Debilidad del sistema inmunológico: A menudo, la culpa de esta debilidad la tienen determinados medicamentos como, por ejemplo, los inmunodepresores.
- Dieta con déficit de nutrientes: Hay que consumir verduras y frutas frescas para mantener una alimentación equilibrada que permita al organismo beneficiarse de vitaminas y minerales. Consumir panes, pastas y cereales integrales así como comer pescado, aves o habas en lugar de carnes rojas y procesadas puede ser útil para reducir el riesgo de sufrir cáncer de encías.
- Higiene bucal deficiente: La acumulación de restos de alimentos que no son debidamente eliminados mediante el cepillado de dientes, el hilo dental y el enjuague bucal pueden conducir a la formación de placa bacteriana y, posteriormente, de sarro. Todo esto conduce a diversos problemas de salud bucodental que favorecen el desarrollo de las células cancerígenas. Por ello, no solamente hay que cuidar la higiene dental diaria sino acudir al dentista para que lleve a cabo una limpieza profesional completa.
Signos y Síntomas
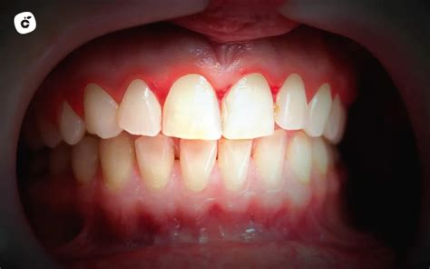
El cáncer de encías se puede manifestar a través de diversos síntomas, algunos de ellos fácilmente confundibles con otras enfermedades por lo que siempre hay que acudir al médico para que verifique de qué se trata. Los síntomas más comunes del cáncer de encías son:
- Lesión en la encía en forma de mancha rojiza o blanquecina
- Sangrado habitual, incluso aunque no haya cepillado de dientes
- Dolor en la zona en la que aparecen las lesiones
- Dientes que se mueven con facilidad
- Sensación constante de incomodidad en la boca
- Inflamación de las encías
- Pérdida de peso
- Mal aliento constante
- Dolor al masticar y al apretar los dientes
- Dolor y rigidez en la mandíbula
Diagnóstico
Aunque algunos de los síntomas anteriores puedan ser objeto de sospecha en cuanto a padecer cáncer de encías, lo cierto es que es imprescindible realizar pruebas clínicas para tener la certeza de que se está ante un tumor de encías. Para ello, la primera prueba que se lleva a cabo es una biopsia de la lesión que aparece en las encías para poder analizarla y conocer cuál es su naturaleza.
Si el paciente toma alcohol y fuma de forma habitual, es muy probable que se trate de un cáncer aunque siempre habrá que esperar el resultado de las pruebas. De hecho, en estos casos se suelen realizar análisis de las vías respiratorias y digestivas en busca de otras lesiones y, si se encuentran, también se llevará a cabo una biopsia sobre ellas por si tuvieran naturaleza cancerosa.
Además de una biopsia, el médico realizará otra serie de pruebas como rayos X, análisis de sangre y también elaborará una historia clínica completa del paciente que incluirá también datos acerca de sus familiares así como detalles sobre sus hábitos respecto a la salud dental. En los casos en los que el dentista así lo considere, se puede llevar a cabo una resonancia magnética.
Tratamiento
En el caso de que el diagnóstico dé como resultado que, en efecto, existe un cáncer de encías, existen tres tratamientos posibles para resolverlo.
- Cirugía: Mediante la cual se extraería una o varias piezas dentales, dependiendo de la zona afectada por el cáncer, aunque en estados más avanzados suele ser necesario eliminar también tejidos.
- Radioterapia: Si el cáncer está en una estadio temprano.
- Quimioterapia.
La cirugía se puede combinar con los otros dos tratamientos aunque en realidad, y como ocurre con todos los tipos de cáncer, cuanto antes se diagnostique la enfermedad, más posibilidades hay que recurrir a métodos menos agresivos para la salud. Por ello es tan importante acudir a la consulta del médico ante cualquier signo extraño en las encías.
El tratamiento del cáncer bucal depende del tipo y la etapa del cáncer, así como de la salud general del paciente. En algunos casos, la cirugía es necesaria para extirpar el tumor y los tejidos circundantes. A menudo, se utilizan terapias combinadas de cirugía y radioterapia para tratar el cáncer de encías en etapas avanzadas.
Cómo Prevenir el Cáncer de Encías
El primer consejo que se da al hablar de la prevención del cáncer de encías así como el de otras zonas de la cavidad bucal es llevar una vida saludable, es decir: no consumir tabaco, limitar el consumo de alcohol, mantener una correcta higiene bucodental y acudir a la consulta del dentista al menos una vez al año para que haga una revisión y una limpieza bucal profesional completa.
En general, se trata de seguir las premisas básicas de llevar un estilo de vida más saludable con una alimentación equilibrada, eliminar hábitos perjudiciales para la salud y evitar todo aquello que se sabe que puede causar cáncer. A esto hay que añadir el ir a la consulta del médico cuando se detecten cambios y alteraciones en las encías y no dudar en asumir cualquier tratamiento precanceroso que éste pueda recetar para evitar que el tumor avance hasta causar problemas más graves.
La prevención y el diagnóstico temprano son clave para tratar con éxito el cáncer de encías.
Aquí hay algunos consejos adicionales para mantener una buena salud bucal:
- Cepíllese los dientes dos veces al día: Utilice una pasta dental con flúor y un cepillo de cerdas suaves.
- Use hilo dental diariamente: El hilo dental ayuda a eliminar la placa y los restos de comida de entre los dientes y debajo de la línea de las encías.
- Visite a su dentista regularmente: Las revisiones dentales periódicas permiten detectar problemas en sus primeras etapas, cuando son más fáciles de tratar.
- Evite el tabaco: El tabaco es un factor de riesgo importante para el cáncer de encías y otras enfermedades bucales.
- Limite el consumo de alcohol: El consumo excesivo de alcohol también puede aumentar el riesgo de cáncer de encías.
- Siga una dieta saludable: Una dieta rica en frutas, verduras y granos integrales puede ayudar a proteger contra el cáncer de encías.
Siguiendo estos consejos, puede reducir su riesgo de desarrollar cáncer de encías y mantener una buena salud bucal.
Cuidado Bucal Durante el Tratamiento del Cáncer
En esta pequeña guía le aconsejamos sobre cómo cuidar su boca durante un tratamiento de cáncer. Debido a este tipo de tratamientos, puede experimentar efectos secundarios de leves a graves. Asegúrese de consultar con el equipo de Odontología que le trata antes de una revisión dental, especialmente si tiene tiene una vía debajo de la piel a través de la que reciba medicamentos o alimentación.
1. Las llagas en la boca:
Las llagas en la boca son úlceras que se forman en el tejido blando dentro y alrededor de la boca, incluida la lengua, las encías o los labios. Pueden ser causadas por quimioterapia o radiación y normalmente son leves. Si llegaran a ser graves, es posible que su médico le recomiende retrasar el tratamiento contra el cáncer hasta que se curara la infección.
Para aliviar las llagas:
- Hágase una revisión dental y hable con su médico acerca de las opciones de tratamiento.
- Cepíllese los dientes dos veces al día con pasta dental con fluoruro. ¡No olvide cepillarse la lengua!
- Manténgase alejado de las comidas crujientes o picantes y del alcohol.
- Enjuáguese la boca con frecuencia.
2. La boca seca:
La boca seca ocurre cuando no tiene suficiente saliva. Puede ser un efecto secundario de ciertos medicamentos, como antihistamínicos, descongestionantes, analgésicos, diuréticos y muchos otros. La boca seca puede causar dolor de garganta constante, sensación de ardor, dificultad para hablar, dificultad para tragar, ronquera o fosas nasales secas.
Para aliviar la boca seca:
- Consulte a su dentista.
- Cepíllese los dientes dos veces al día con pasta dental con flúor.
3. Las encías sensibles:
Las encías sensibles pueden ser un signo de inflamación leve del tejido debido a la quimioterapia y la radiación o una indicación más grave de enfermedad de las encías. Los síntomas pueden incluir sensibilidad, sangrado , inflamación o incluso dientes flojos.
Para aliviar las encías sensibles:
- Consulte a su dentista.
- Cepíllese los dientes dos veces al día con pasta dental con flúor.
- Enjuáguese la boca con frecuencia.
4. El dolor facial y de mandíbula:
El dolor facial y de mandíbula es un efecto secundario común, especialmente si recibe radioterapia cerca de la cabeza o el cuello. Este tipo de dolor puede extenderse alrededor de la oreja, al morder, ser dolor de cabeza o convertirse en sensibilidad en la mandíbula.
Para aliviar estos dolores:
- Hágase una revisión dental y hable con su médico acerca de las opciones de tratamiento.
- Para aliviar la rigidez de los músculos masticadores de la mandíbula, es recomendable abrir y cerrar la boca lo más que pueda sin sentir dolor 20 veces. Haga esto 3 veces al día. Consulte con su dentista para obtener más recomendaciones.
5. Una infección en la boca:
Una infección en la boca puede presentarse de diferentes maneras. Debe comunicarse con su equipo de atención del cáncer si ve una herida o una película blanca pegajosa en la boca o si experimenta hinchazón o sangrado.
Para cuidar su boca durante un tratamiento de cáncer en este caso:
- Comuníquese con sus médicos oncológicos de inmediato. También será útil incluir a su dentista.
- Cepíllese los dientes dos veces al día con pasta dental con flúor .
- Enjuáguese la boca con frecuencia.
Webinar Prevención y detección temprana del ca de cavidad oral y orofaríngeo
tags: #cancer #encias #inflamadas