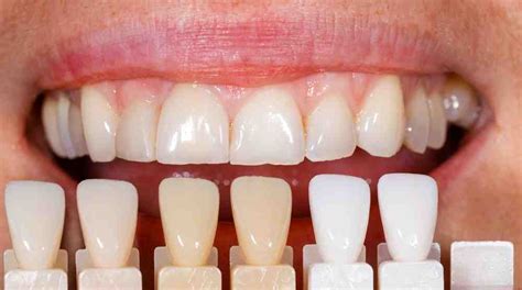
En el mundo del espectáculo, una sonrisa radiante es una herramienta poderosa. Muchos famosos han recurrido a las carillas dentales para transformar su apariencia y ganar confianza. Las carillas dentales son soluciones estéticas avanzadas que han ganado popularidad, consisten en delgadas láminas diseñadas a medida, elaboradas de porcelana o resina compuesta, que se adhieren a la superficie frontal de los dientes.

Las carillas permiten modificar el tamaño, forma y color de los dientes, consiguiendo una mejora en la estética del rostro. Este tratamiento es idóneo para quienes buscan mejorar la apariencia de sus dientes sin necesidad de procedimientos invasivos. Entre las principales irregularidades que pueden ser tratadas con carillas dentales se encuentran las decoloraciones, el desgaste, las roturas, las malposiciones y otros defectos semejantes.
Tipos de Carillas Dentales
Existen principalmente dos tipos de carillas: las de porcelana y las de composite. Cada una tiene sus propias ventajas y desventajas.
- Carillas de Porcelana: Ampliamente conocidas por su durabilidad y apariencia estética. Una de las razones principales para optar por las carillas de porcelana es su resistencia a las manchas. A diferencia de los dientes naturales, que pueden teñirse con café, vino o tabaco, las carillas de porcelana mantienen su blancura por años.
- Carillas de Composite: Conocidas como carillas de resina compuesta, son una alternativa más asequible y rápida en comparación con las carillas de porcelana. Un beneficio significativo de las carillas de composite es su facilidad de aplicación y la relativa rapidez del procedimiento. En una sola sesión, el odontólogo puede esculpir el material compuesto sobre los dientes, permitiendo correcciones inmediatas y ajustes en el momento.

Famosos Españoles con Carillas Dentales
En España, muchas celebridades han transformado sus sonrisas gracias a las carillas dentales. Aquí algunos ejemplos:
Penélope Cruz
La famosa Penélope Cruz, nueva nominada al Oscar a la Mejor Actriz en 2022, es la celebridad más reconocible de las carillas dentales españolas. Su llamativa boca carnosa exige una sonrisa impecable, por lo que Penélope decidió acudir a su dentista de cabecera. Sin duda, Penélope tiene una de las sonrisas más brillantes de la industria cinematográfica, no solo en España sino en todo el mundo. Su sonrisa se caracteriza por piezas perfectamente alineadas y un toque nacarado que la hace brillar.
Paula Echevarría
La elegante actriz asturiana es más conocida por sus papeles en «Terciopelo» o «Gran Colección» y ha tenido un matrimonio muy popular con el cantante David Bustamante hace muchos años, tuvo varios tratamientos de embellecimiento, especialmente su sonrisa, que fue blanqueamiento dental y colocación de carillas dentales. Paula respondió a estos ataques sin dudarlo, diciendo que «un buen dentista, sea cual sea su especialidad, debe saber distinguir las carillas de los dientes naturales». Sin embargo, otra información confirma que a pesar de esta respuesta, la actriz ha estado disfrutando de los beneficios de las carillas dentales durante años.
David Bustamante
La ex pareja de Paula Etxebarría, el famoso cantante David Bustamante, es conocido por su sonrisa blanca e impecable. Podemos ver la evolución de la sonrisa en sus fotografías a lo largo de los años, gracias a unas estupendas carillas dentales. Una de las ventajas de lo primero es que desde que visitó a su ortodoncista, puede deslumbrarlo con una dentadura casi perfecta. La dentadura de David no está exenta de polémica, pues ha recibido algunas críticas por su supuesto “blanco nuclear con tinte luminoso”.
Patricia Conde
La estrella de Valladolid TV es otra famosa hispana que tiene lo mejor y lo mejor gracias a la ortodoncia como los huecos que sufrió y la colocación de carillas de porcelana en este caso una sonrisa atractiva.
Julián López
Uno de los grandes cómicos por excelencia, el actor Julián López, es otro célebre español en el que más claramente podemos apreciar el antes y el después de los implantes de carillas dentales.
Otras Celebridades con Carillas Dentales
Zac Efron
Zac Efron, conocido por su papel en la franquicia de Disney High School Musical, es un ejemplo emblemático de transformación dental entre las celebridades. Al comienzo de su carrera, una característica distintiva de Zac era un notable diastema interincisivo, una separación evidente entre sus incisivos frontales. Zac optó por el uso de carillas Lumineers, una solución moderna y menos invasiva dentro del campo de la odontología estética. El tratamiento de Zac Efron no sólo cerró la brecha entre sus dientes, sino que también armonizó el conjunto de su sonrisa.
Becky G
La famosa cantante y modelo Becky G, conocida por éxitos como ‘Shower’, es uno de los ejemplos más notables de transformación dental mediante el uso de carillas. Inicialmente, Becky presentaba una sonrisa con dientes separados y ligeramente proyectados hacia afuera. El proceso de mejora de su sonrisa comenzó con un tratamiento de ortodoncia. La ortodoncia se utilizó para alinear los dientes y corregir la mordida, esencial para crear una base estable sobre la que aplicar las carillas dentales. Una vez los dientes estuvieron en la posición adecuada, se procedió con la colocación de carillas de cerámica.
Cristiano Ronaldo
El futbolista portugués comenzó su camino hacia una sonrisa perfecta afrontando una agenesia congénita de uno de sus incisivos. Esta condición significaba que le faltaba uno de sus dientes incisivos permanentes, generando desplazamientos y desalineaciones. Para corregir estos problemas, Ronaldo primero utilizó brackets para alinear su dentadura. Después de completar el tratamiento ortodóncico, Cristiano Ronaldo se enfrentó al desafío de mejorar el color de sus dientes, que presentaban manchas y un tono amarillento debido al desgaste y a la pigmentación natural. Para conseguir una solución duradera y estética, el futbolista optó por la colocación de carillas de porcelana.

Miley Cyrus
La cantante y actriz Miley Cyrus ha sido una figura pública desde joven, lo que ha puesto su evolución dental en el ojo de todos. Para abordar este problema, Miley decidió someterse a un tratamiento integral que incluía ortodoncia y la colocación de carillas Lumineers. El primer paso en el tratamiento fue la ortodoncia. Miley utilizó brackets para mover sus dientes a las posiciones correctas. Una vez finalizado el tratamiento ortodóntico, Miley Cyrus optó por las carillas Lumineers para finalizar su transformación dental.
George Clooney
Para combatir el desgaste dental severo causado por el bruxismo, George Clooney optó por un tratamiento multifacético que incluye el uso de una férula de descarga. Además de utilizar la férula de descarga, Clooney también se sometió a otros procedimientos dentales para restaurar la estética y funcionalidad de su sonrisa. El desgaste dental había dejado sus dientes oscuros y con una apariencia envejecida. Las carillas dentales son una solución estética y funcional para problemas de desgaste dental.
Morgan Freeman
Morgan Freeman rejuveneció su sonrisa con una reconstrucción oral completa. Para abordar los problemas dentales de Morgan Freeman, uno de los pasos más importantes fue la colocación de implantes dentales. En el caso de Morgan Freeman, se optó por una combinación de coronas y carillas.
Tom Cruise
Tom Cruise, uno de los actores más icónicos de Hollywood, es conocido por su brillante carrera en el cine. Sin embargo, a lo largo de sus primeras apariciones, mostró una sonrisa que no estaba a la altura de su estatus estelar. El actor decidió someterse a un tratamiento dental integral para corregir esos problemas y lograr la sonrisa perfecta que hoy en día luce con orgullo. El primer paso del tratamiento consistió en la colocación de brackets que corrigieron la posición de sus dientes. Una vez completada la fase de ortodoncia, Cruise procedió con la colocación de carillas de porcelana. La corrección de las irregularidades dentales de Tom Cruise no solo mejoró su apariencia en pantalla, sino que también le dio una mayor seguridad personal.
Lindsay Lohan
Lindsay Lohan, la conocida actriz estadounidense, es otro ejemplo de cómo unas carillas bien colocadas pueden transformar radicalmente una sonrisa. Al principio de su carrera, Lohan mostraba una sonrisa que, aunque característica, marcaba de manera negativa su apariencia. Las manchas en los dientes de Lohan eran producto de diversos factores, incluyendo su estilo de vida y hábitos alimenticios. Este problema estético afectaba notablemente su confianza y presencia tanto en la pantalla como en eventos públicos.
Tratamientos Complementarios
Además de las carillas, existen otros tratamientos que pueden complementar y mejorar aún más la sonrisa:
- Blanqueamiento Dental: Este procedimiento se realiza para eliminar las manchas superficiales y profundas que oscurecen los dientes, devolviéndoles un tono más blanco y brillante.
- Ortodoncia Invisible: Invisalign es un novedoso método de ortodoncia invisible que ha revolucionado el mundo de la odontología estética. Consiste en el uso de alineadores transparentes y removibles, fabricados a medida, que se colocan en los dientes para corregir su posición y alinear la dentadura.
- Implantes Dentales: Los implantes dentales son una solución duradera para reemplazar dientes perdidos. Consisten en la colocación de una raíz artificial de titanio en el hueso maxilar, sobre la cual se coloca una corona dental personalizada.

¿Cómo mantener una buena salud bucal?
Mantener una buena salud bucal no solo se trata de tener una sonrisa blanca y brillante. También se trata de prevenir enfermedades, mejorar nuestra salud general y aumentar nuestra autoestima y confianza. Visitar al dentista regularmente es fundamental para mantener una buena salud bucal y mejorar nuestra salud en general.
Aquí hay algunos consejos para mantener una buena salud bucal:
- Cepilla tus dientes al menos dos veces al día con una pasta dental de calidad.
- Visita regularmente a tu dentista para realizarte limpiezas profesionales y revisiones dentales completas.
- Evita morder objetos duros, como lápices o hielo, que puedan causar fisuras o fracturas en tus dientes.
- Adopta una alimentación saludable, rica en vitaminas y minerales esenciales para la salud dental.

Si crees que unas carillas dentales te serían de buen provecho para mejorar tu sonrisa al igual que estas celebridades, no dudes en ponerte en contacto con una clínica dental. ¡Hoy es un buen día para cuidar de tus dientes como han hecho los famosos!
Tabla resumen de famosos y sus tratamientos dentales
| Famoso | Tratamiento |
|---|---|
| Penélope Cruz | Carillas dentales |
| Paula Echevarría | Blanqueamiento dental y carillas dentales |
| David Bustamante | Carillas dentales |
| Zac Efron | Carillas Lumineers |
| Becky G | Ortodoncia y carillas de cerámica |
| Cristiano Ronaldo | Ortodoncia, blanqueamiento y carillas de porcelana |
| Miley Cyrus | Ortodoncia y carillas Lumineers |
| George Clooney | Férula de descarga y carillas dentales |
| Tom Cruise | Ortodoncia y carillas de porcelana |
| Lindsay Lohan | Blanqueamiento dental y carillas de porcelana |