La fibrina es una proteína esencial en el proceso de cicatrización y regeneración de tejidos. Aunque es un término técnico que muchas personas desconocen, juega un papel vital en nuestra salud, especialmente en odontología. En este artículo, exploraremos qué es exactamente la fibrina, cómo actúa en nuestro cuerpo y por qué su papel es crucial en procedimientos odontológicos, especialmente tras una extracción dental.

¿Qué es la Fibrina y Cómo Actúa?
La fibrina es una proteína que se encuentra en el plasma sanguíneo. Su función principal es formar una red que ayuda a detener el sangrado y a sellar las heridas. Cuando se produce una lesión o un procedimiento quirúrgico, como una extracción dental o la colocación de un implante, el cuerpo activa un mecanismo conocido como coagulación. Este proceso genera fibrina a partir de otra proteína llamada fibrinógeno. La fibrina se entrelaza formando una red que estabiliza el coágulo de sangre y comienza la reparación de los tejidos.
El Papel de la Fibrina en la Cicatrización
La fibrina aparece en las primeras fases de la cicatrización, justo después de que ocurre una lesión o intervención:
- Soporte para la regeneración: Esta red sirve como un "andamio" sobre el cual las células comienzan a migrar para reparar el tejido.
La Fibrina en Odontología
En odontología, la fibrina ha cobrado una gran relevancia en los últimos años gracias a su capacidad para acelerar la cicatrización y mejorar la regeneración de tejidos. Un enfoque innovador en odontología es el uso de PRF (Plasma Rico en Fibrina), un procedimiento que consiste en extraer sangre del paciente y procesarla para concentrar la fibrina y otros factores de crecimiento.
Tras colocar un implante, el área necesita regenerar hueso y encía para integrar el tornillo de titanio.

Cuando se tiene dañada una muela o una pieza dental y ésta no puede ser tratada de tal manera que pueda ser preservada, es necesario realizar una endodoncia o extracción dental. Una extracción dental, (conocida como exodoncia en su terminología médica) consiste en una técnica odontológica quirúrgica que se lleva a cabo cuando resulta imposible aplicar un tratamiento de restauración de la pieza dental. Esto quiere decir que cuando los tratamientos odontológicos no surten efecto y no es posible preservar la pieza dental con garantías de éxito, el dentista o equipo odontólogo deberá proceder a la extracción de la pieza dental.
Tiempo de Cicatrización Después de una Extracción Dental
Pues bien, el tiempo que se tarda en que se cierre el agujero de una extracción dental suele ser de un par de semanas para que la encía se forme y se cierre, pero la formación del hueso y tener una densidad normal puede llegar a tardar hasta seis meses.
La Capa Blanca Después de una Extracción Dental
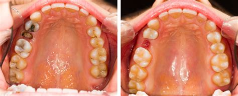
A continuación, una de las señales de que está cicatrizando es la aparición de una capa blanca en la zona de la extracción. ¿Tienes un capa blanca en la zona de las extracciones dentales? La capa blanca está formada por fibrina, una proteína que crea redes tridimensionales, que además atrapan plaquetas activadas y glóbulos rojos. Se forma así un “tapón”, que es el primer paso del proceso de coagulación. Este nuevo “tejido” estará formado por fibrina, una proteína capaz de generar redes tridimensionales que atraparán los glóbulos rojos y plaquetas activadas.
Normalmente, la encías tarda un par de semanas en formarse y a cerrar el orificio de la extracción.
La capa blanca que aparece después de una extracción dental suele ser una combinación de diferentes elementos relacionados con la curación. Tras la extracción, el cuerpo comienza a formar un coágulo de sangre para proteger el hueso y los tejidos subyacentes. Sí, en ocasiones la capa blanca puede parecer amarillenta debido a la fibrina y las células muertas.
En las primeras fases de la cicatrización se forma una capa blanca que se en la parte donde fue sacada una muela, que se llama fibrina y que con el tiempo se transforma en tu encía.

Cuidados y Recomendaciones
Lo primero que hay que hacer después de la extracción de una pieza dental es hacer que la herida no sangre, para la cual se coloca una gasa haciendo compresión durante una hora aproximadamente. Lo más importante, es que mantengas una buena higiene de la herida y sigas las pautas prescritas por tu dentista. Recuerda que las zonas de las extracciones, para que cicatricen rápida y correctamente, se deberán mantener lo más higiénicas posible, para ello cepíllalas bien con un cepillo dental suave o quirúrgica tras cada comida.
- No debes hacer un cepillado muy fuerte ni llevarse la capa blanca que se en la parte donde fue sacada una muela.
- Sí, debes cepillar la zona de la extracción con un cepillo dental quirúrgico después de cada comida ya que la higiene, es decir, el cepillado, es clave para una correcta cicatrización.
- Cepilla muy bien tras cada comida el “hueco” o alvéolo para que no queden restos de comida/placa bacteriana retenidos en él.
Es muy importante seguir todas y cada una de las recomendaciones proporcionadas por el especialista después de una intervención, ya que hacer algo que no esté indicado podría ser contraproducente en este proceso.
Al saber el tiempo que puede tardar en desparecer el agujero de una extracción dental, muchos pacientes se echan las manos en la cabeza y les parece una eternidad.
- Come comidas nutritivas.
- Mantén una buena higiene bucal.
Tras la intervención quirúrgica es normal que el individuo experimente sangrado.
Si remueves la capa blanca, podrías exponer la herida y aumentar el riesgo de infección o alveolitis seca.
INFECCIÓN tras extracción dental: ALVEOLITIS – Tratamiento, síntomas y causas | Dentalk! ©
Posibles Complicaciones: Alveolitis
En los casos en el cual hay mucho dolor y que empieza normalmente a las 24horas después de la intervención quirúrgica, puede deberse a una infección conocida como alveolitis seca y deberás consultar lo antes posible con tu dentista.
La alveolitis dental es muy molesta. Pero cabe destacar que la alveolitis cura en unos pocos días, espontáneamente y sin dejar secuelas, por lo que no debes preocuparte en exceso. Existen diferentes tipos de alveolitis dental: la húmeda y la seca.
Al igual que la alveolitis seca también se suele producir de 48 a 72 horas después de la extracción dental. El coágulo en este caso no se ha perdido, como sí ocurre en la alveolitis seca, sino que se ha contaminado o ha quedado algún resto de material que causa una reacción a cuerpo extraño. Normalmente se produce una infección del coágulo porque el paciente no mantiene una adecuada higiene oral de la zona y se acumule algún resto de comida en el interior del alveolo.
Síntomas y Tratamiento de la Alveolitis Húmeda
A la hora de realizar un diagnóstico, el paciente que sufra de alveolitis húmeda experimentará un dolor muy localizado, en concreto en la zona donde se ha producido la extracción.
El tratamiento indicado para la alveolitis húmeda consiste en analgésicos (como ibuprofeno o paracetamol) para aliviar los síntomas. Además, es fundamental que el paciente evite fumar y cepille bien la zona a pesar de las molestias, y utilice después gel o enjuague de clorhexidina para mantener la zona lo más desinfectada posible.
¿Cuándo Consultar a tu Dentista?
Aunque la presencia de una capa blanca suele ser inofensiva, hay ciertos signos que podrían indicar un problema. El mal olor persistente, acompañado de dolor o hinchazón, podría ser un signo de infección.
Yes que, si después de una extracción experimentas un dolor intenso, pide cita en tu clínica dental para que te revisen.
Conclusión
La aparición de una capa blanca en la zona de extracción de muela es un fenómeno común y, en la mayoría de los casos, forma parte del proceso de cicatrización. Sin embargo, es fundamental prestar atención a cualquier síntoma que indique complicaciones, como dolor intenso, mal olor o fiebre.