El bruxismo es un problema dental bastante común, pero que suele pasarse por alto hasta que comienzan las complicaciones. Muchas personas padecen de bruxismo sin siquiera darse cuenta, pero sus efectos pueden afectar seriamente la calidad de vida y la salud dental.

¿Qué es el Bruxismo?
El bruxismo es una condición en la que una persona rechina, aprieta o frota los dientes de manera involuntaria, generalmente mientras duerme. Podríamos definir el bruxismo como un movimiento mandibular no funcional que incluye apretar, rechinar, chasquear y crujir los dientes durante el sueño de forma inconsciente. Es una actividad oral parafuncional; no está relacionada con la función normal, como comer o hablar.
El bruxismo es una actividad que hacen los músculos de la mandíbula de forma involuntaria, es decir, sin que la persona lo necesite para hablar o masticar. El bruxismo o rechinar de los dientes es un trastorno inconsciente. La persona que sufre este problema no lo hace de manera intencional.
Apretar o rechinar los dientes de vez en cuando no es problemático, pero si se realiza con regularidad es posible que se padezca bruxismo. El bruxismo puede presentarse de manera ocasional o convertirse en un hábito crónico. Cuando se produce de forma persistente, puede tener consecuencias negativas para la salud bucal y general.
El bruxismo es el hábito involuntario de apretar y/o rechinar los dientes, lo que puede ocurrir tanto de día como de noche y afectar a niños y adultos. Esta costumbre ejerce una presión excesiva sobre la musculatura de la mandíbula y deriva en una sobrecarga de la dentadura. El bruxismo es una afección muy común que se caracteriza por el hábito involuntario de apretar y/o rechinar los dientes, tanto de día como de noche.
Tipos de bruxismo
El bruxismo puede ocurrir principalmente cuando se está dormido y a menudo estando despierto también. La acción de rechinar o apretar los dientes es la misma, pero según el momento de su presentación hablaremos de bruxismo diurno o nocturno.
- Bruxismo de vigilia: Anteriormente conocido como bruxismo diurno, esta afección consiste en apretar la mandíbula y rechinar los dientes durante el día. En estos casos, lo más normal es no necesitar tratamiento, pero si se requiere tomar conciencia y buscar la forma de reducir la frecuencia. Si el bruxismo es diurno intentaremos de manera consciente no apretar los dientes ni rechinarlos.
- Bruxismo del sueño: Anteriormente llamado bruxismo nocturno, es cuando se rechina y aprieta los dientes mientras se duerme. En este caso, la persona no es consciente de lo que ocurre ni de la fuerza que se emplea para apretar la mandíbula y los dientes. Normalmente aparece en las etapas 2 y 3 del sueño no REM. El bruxismo nocturno es más complicado de controlar conscientemente.
Causas del Bruxismo
Las causas del bruxismo son variadas y, en muchos casos, pueden ser una combinación de factores físicos, psicológicos y genéticos. Para poder establecer unas pautas para evitar el bruxismo lo primero es averiguar las causas del trastorno. Estas pueden ser estrés, ansiedad, desordenes del sueño, una mordida anormal o dientes torcidos o que faltan.
Algunas de las principales causas están relacionadas con los trastornos del sueño, el estrés, la ansiedad, el fumar, el consumo de bebidas alcohólicas, cafeína y algún tipo de droga. También intentar reducir el consumo de alcohol y tabaco para que no puedan empeorar el bruxismo nocturno.
Uno de los principales motivos de este aumento podría deberse a la pandemia del covid-19, todo lo que le rodeó, el estrés acumulado y la ansiedad que generó desde que llegó a España. Desde el inicio de la pandemia del covid-19, en las clínicas de ortodoncia existe la percepción que los casos de bruxismo han aumentado ya que el estrés emocional y los trastornos del sueño hacen que muchas personas rechinen y aprieten más los dientes.
Síntomas del Bruxismo
Los síntomas pueden ser mínimos, sin que el paciente sea consciente de la afección. Los síntomas asociados al bruxismo más comunes son:
- Dolor de cabeza
- Dolor de los músculos de la mandíbula, cuello y oído
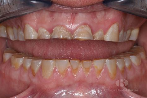
- Desgaste y/o pérdida de los dientes
- Daño a las restauraciones dentales (por ejemplo, coronas y empastes)
- Erosión del esmalte dental
- Sensibilidad dental
- Cambio en la mordida
- Alteración del sueño, sensación de mal descanso.
Cuando se sufre bruxismo, los dientes se aprietan sobre los músculos, los tejidos u otras estructuras de la mandíbula. Dolor de dientes, mandíbula, cabeza y cuello: la presión ejercida sobre la zona genera una tensión en los alrededores que provoca inflamación y dolor. Sensibilidad muscular y dental: especialmente por las mañanas.
El apretamiento y la fricción excesiva de los dientes durante el bruxismo pueden provocar desgaste en el esmalte dental, sensibilidad dental, fracturas dentales, dolor y tensión en la mandíbula, así como dolores de cabeza y cuello. El bruxismo también puede ocasionar dolores de cabeza frecuentes, especialmente en la zona de las sienes o la parte posterior de la cabeza.
Otro de los problemas del bruxismo es que puede afectar a las articulaciones temporomandibulares (ATM), formada por los huesos y músculos, ligamentos y cápsula articular que permiten abrir y cerrar la boca. Un bruxismo severo también podría comportar un trastorno de la articulación Temporo Mandibular (ATM).
¿Qué es la Articulación Temporo-Mandibular (ATM)?
La Articulación Temporo-Mandibular, llamada ATM, está formada por los huesos y músculos, ligamentos, menisco intraarticular y cápsula articular que permiten abrir y cerrar la boca. Las articulaciones temporomandibulares están situadas a ambos lados de la cara, justo delante de las orejas. Las ATM conectan la mandíbula con el cráneo y ayudan a realizar movimientos como masticar, hablar o tragar.
La disfunción de la ATM se produce cuando los músculos y ligamentos que rodean estas articulaciones se inflaman o irritan o cuando el menisco se desplaza de su localización habitual. La afección puede ser aguda o crónica, y el dolor resultante puede ser leve o intenso.

Tratamientos para el Bruxismo
FÉRULA DENTAL de DESCARGA o GUARDA MANDIBULAR - ¿Qué es y para qué sirve?
El tratamiento del bruxismo tiene la finalidad de limitar el daño en los dientes, pero especialmente en la articulación temporo-mandibular (ATM), algunos de los tratamientos pueden incluir diferentes modalidades, como las técnicas conductuales, los tratamientos conservadores, las infiltraciones intraarticulares o artrocentesis, la artroscopia, la cirugía abierta o la colocación de una prótesis de ATM.
Una vez establecido el origen, el objetivo es reducir la molestia de los síntomas y evitar consecuencias más graves. Para el dolor, el médico o dentista prescribirá el uso de un analgésico, antiinflamatorio o relajante muscular.
Tratamiento para el bruxismo de vigilia y/o diurno:
Como hemos mencionado, una de las principales razones de apretar la mandíbula durante el día es el estrés al que se está sometido en el día a día, grandes cargas de trabajo, problemas, etc. Por eso, una de las recomendaciones para intentar minimizar este problema es intentar disminuir los niveles de estrés. Para poder conseguirlo, algunas de nuestras sugerencias son:
- Reducir el consumo de ciertas bebidas como, por ejemplo: el alcohol, la cafeína, los refrescos, ya que el consumo de estos productos no ayuda a tranquilizar a una persona, sino más bien todo lo contrario.
- Meditar.
- Intentar no masticar objetos que no sean alimentos, como, por ejemplo: lápices y bolígrafos.
- Realizar ejercicio.
- Realizar tratamientos de ortodoncia para corregir la posición dental.
Tratamientos para el bruxismo del sueño y/o nocturno:
En este caso, el tratamiento para el bruxismo del sueño pasaría por detectar el origen del problema y visitar a un especialista en bruxismo y ATM (articulación témporo-mandibular) para que pueda ofrecer un tratamiento adecuado a seguir en cada caso y pueda explicar los beneficios y los inconvenientes de una terapia en la situación específica del paciente.
Tratamientos Conservadores
En este tipo de tratamientos son frecuentes la fisioterapia craneal en sus diversas modalidades, las técnicas de relajación y la utilización de la férula de descarga. Los ejercicios faciales pueden ayudar a algunas personas a reducir el dolor en la mandíbula o el cuello. La relajación facial y el masaje de la zona de la cabeza y el cuello pueden reducir aún más la tensión muscular.
La meditación, el yoga, realizar ejercicio e incluso hablar con un terapeuta o alguien de confianza puede ayudar a reducir la ansiedad y el estrés.
Férulas de Descarga
Para el desgaste o erosión de los dientes el profesional recomendará utilizar una férula de descarga que evite que el daño a los dientes siga avanzando y desaparezca el ruido al rechinar. Así como, que los músculos de la mandíbula se relajen y disminuya el dolor. Las férulas de descarga son el principal tratamiento y más efectivo remedio contra el bruxismo.
Las férulas de descarga son unos protectores bucales personalizados, diseñados para proteger los dientes del paciente que rechina y la articulación temporomandibular (ATM). Las férulas de descarga suelen realizarse a medida y están destinadas a ser usadas mientras duerme el paciente evitando la mordida y protegiendo los dientes y ayudando a recolocar la mandíbula en una posición más favorable y fisiológica. Estos aparatos no resuelven el problema por completo, pero sí ayudan a mejorar la calidad del sueño del paciente y algunos de los síntomas de apretar y rechinar los dientes.
Mientras el paciente las lleva puestas, normalmente durante la noche, se reduce el esfuerzo muscular que realizan las articulaciones ATM y, por tanto, se reducen las molestias y la tensión muscular. El odontólogo toma unas medidas para obtener la huella de la cavidad oral. El odontólogo probará la férula en tu boca, realizando los ajustes pertinentes para que quede totalmente estable y funcional. El dentista te pautará un calendario de revisiones de seguimiento para controlar el correcto uso de la férula.
Existen diferentes tipos de férulas dentales por lo que es aconsejable acudir a un especialista en ortodoncia u odontología para que pueda asesorarte qué opción es la más adecuada para tu situación. Una vez se empieza a utilizar la férula de descarga se recomienda ir realizando controles periódicos para comprobar que ésta está siendo útil y si se deben ir realizando ajustes cuando sea necesario.

Fisioterapia
Otra forma de tratar el bruxismo es mediante la fisioterapia. La terapia manual y la fisioterapia invasiva pueden ser utilizadas para liberar la tensión muscular y mejorar la movilidad de la articulación temporomandibular (ATM). Estas técnicas incluyen el masaje de la musculatura implicada, el auto-masaje de la mandíbula y musculatura de la masticación, ejercicios de movilización y relajación de la ATM, terapia manual osteopática, termoterapia, diatermia, ecografía y neurodinamia.
Alivio de los Síntomas
El especialista, ya sea un dentista o un médico, puede prescribir el uso de analgésicos, antiinflamatorios o relajantes musculares para disminuir los dolores. También hay estudios que certifican que las inyecciones de toxina botulínica proporcionan un gran alivio del dolor de mandíbula, los dolores de cabeza y otros problemas desagradables asociados al bruxismo.
Como hemos visto, las férulas son una muy buena opción para proteger con éxito los dientes de los daños nocturnos para los afectados por el bruxismo, pero en algunas ocasiones pueden no ser suficiente para detener los dolorosos efectos secundarios del rechinar de dientes. Cabe remarcar que la toxina botulínica no es una cura para el bruxismo, pero sí puede ayudar a calmar el dolor y a disminuir la fuerza con la que se rechinan o aprietan los dientes.
Tratamiento Quirúrgico
Estos casos suelen ser la minoría, sólo se emplea este tipo de tratamiento en el bruxismo cuando ninguno de los anteriores métodos ha dado resultado.
Medidas Preventivas
Aunque el tratamiento del bruxismo es fundamental, también existen ciertas medidas que se pueden tomar para prevenir la aparición del bruxismo o reducir su gravedad.
- Intenta mantener una rutina relajante antes de dormir. Evita el uso de pantallas antes de acostarte y crea un ambiente propicio para el descanso.
- Evita el consumo excesivo de cafeína, alcohol y tabaco, ya que estos productos pueden incrementar la tensión y empeorar el bruxismo.
- Existen algunos ejercicios que puedes realizar para relajar los músculos de la mandíbula.
- El estrés es una de las principales causas del bruxismo, por lo que aprender a manejarlo es fundamental.
Preguntas Frecuentes
¿A qué edad aparece el bruxismo?
El bruxismo puede aparecer a cualquier edad, aunque en los niños es bastante frecuente. El bruxismo infantil es relativamente frecuente, especialmente entre los 3 y 6 años.
¿El bruxismo causa dolores de cabeza?
Sí, el bruxismo es una causa frecuente de dolores de cabeza, especialmente aquellos que ocurren por la mañana.
¿Se puede financiar el tratamiento?
Sanitas hace más fácil el pago de tu tratamiento dental con diferentes opciones de financiación. Localiza tu Clínica Dental Sanitas.
Si crees que eres una persona que sufre bruxismo, lo más importante es aprender a relajar la musculatura de la mandíbula e intentar apretar y/o rechinar los dientes lo menos posible. ¡Estaremos encantados de atenderte y asesorarte!