La maloclusión dental es una alteración en la alineación de los dientes o en la relación entre el maxilar superior y la mandíbula. El término se refiere a una desalineación entre los dientes superiores e inferiores que impide que la mordida sea adecuada.
En una mordida funcional, los dientes encajan perfectamente entre sí al cerrar la boca, lo que permite una distribución equilibrada de las fuerzas masticatorias. La alteración en la alineación de los dientes y la relación entre los maxilares puede afectar tanto la función masticatoria como la estética facial.

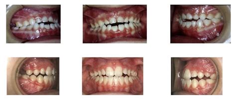
Ejemplo de Maloclusión Clase III
¿Qué es la Maloclusión Dental de Tipo III?
Como comentábamos más arriba, la maloclusión clase 3 es una anomalía dental que se refiere a una desalineación particular entre los dientes superiores e inferiores. Esta condición se presenta cuando los dientes inferiores se proyectan más allá de los superiores, conocido comúnmente como “mordida invertida” o “prognatismo mandibular”.
La mordida tipo 3 ocurre cuando la mandíbula inferior está adelantada respecto a la superior, lo que provoca que los dientes inferiores se superpongan a los superiores al cerrar la boca.
Tipos de Maloclusión Clase III
La maloclusión de tipo III puede presentarse en diversas formas, que generalmente se categorizan en dos tipos: dentaria y esquelética. La comprensión de estas subcategorías es fundamental para la elección de la estrategia de tratamiento más adecuada. A continuación profundizaremos en cada una de estas para brindarte una comprensión más clara.
Maloclusión Clase III Dentaria
La maloclusión de clase 3 dentaria es aquella donde la desalineación se encuentra limitada a la disposición de los dientes, sin que se vean afectadas las estructuras óseas. En este caso, los huesos maxilares presentan un desarrollo y posición normales, pero los dientes no están alineados correctamente.
Esta situación puede deberse a dientes que han crecido en una posición incorrecta o al reemplazo tardío de los dientes de leche por los permanentes. Para corregir este tipo de maloclusión, generalmente se emplean tratamientos de ortodoncia, como los brackets o los alineadores invisibles.
Maloclusión Clase III Esquelética
La maloclusión clase 3 esquelética, por otro lado, implica una discrepancia entre el tamaño o la posición de los huesos maxilares, y no sólo una mera desalineación dental. Esto podría estar relacionado con una mandíbula particularmente grande o un maxilar superior que se ha desarrollado de manera insuficiente.
En estos casos, aunque la ortodoncia puede ayudar a mejorar la alineación de los dientes, a menudo es necesario un tratamiento más integral que puede incluir cirugía ortognática. Este tipo de procedimiento permite ajustar la posición de los huesos maxilares para alcanzar una oclusión y un perfil facial adecuados.

Comparación entre maloclusión dentaria y esquelética
Diagnóstico diferencial y tratamiento en maloclusiones clase III
Causas de la Maloclusión de Tipo III
La maloclusión clase 3 puede surgir debido a varias causas, que pueden ser genéticas o comportamentales. Para brindarte una visión más completa de cómo puede surgir esta condición, vamos a examinar algunas de las causas más comunes.
- Herencia genética: Los genes juegan un papel importante en la configuración de nuestra estructura facial y dental.
- Malposiciones dentarias
- Posición de la lengua
- Erupción anormal de los dientes
Tratamientos para la Maloclusión Clase III
Dependiendo de la gravedad de la maloclusión y la edad del paciente, se pueden utilizar distintas estrategias. Veamos los principales métodos de tratamiento disponibles para esta condición.

Opciones de tratamiento para la maloclusión de Clase III
- Ortopedia: El tratamiento ortopédico es especialmente eficaz en niños y adolescentes, ya que sus huesos faciales todavía están en crecimiento y pueden ser guiados a la posición correcta. Este enfoque puede incluir el uso de aparatos removibles o fijos, como los disyuntores palatinos, para promover o limitar el crecimiento óseo y mejorar la alineación.
- Ortodoncia: La ortodoncia se utiliza para corregir las maloclusiones dentarias, es decir, aquellas en las que la posición de los dientes es la principal causa del problema. En este sentido, los brackets y los alineadores invisibles pueden ayudar a mover los dientes a una posición más ideal, mejorando la mordida y la estética dental.
- Cirugía ortognática: En los casos en que la maloclusión es esquelética y el paciente es un adulto, la cirugía ortognática puede ser necesaria. Este procedimiento permite realinear los huesos de la mandíbula y del maxilar superior, corrigiendo así la mordida. Este tipo de tratamiento, aunque más invasivo, suele dar resultados muy efectivos a largo plazo.
¿Qué Sucede si No se Trata la Maloclusión de Clase III?
No tratar este tipo de maloclusión puede resultar en un desgaste anormal de los dientes, ya que no están alineados de manera óptima para la masticación. Además, esta condición puede generar dificultades para hablar y comer correctamente, y puede llevar al desarrollo de trastornos temporomandibulares, que se caracterizan por dolor y dificultad para abrir y cerrar la boca.
En el aspecto emocional, la maloclusión puede afectar la autoestima de la persona, ya que altera la armonía del rostro. Por tanto, es recomendable abordar esta condición a tiempo para prevenir estas complicaciones y mejorar así la calidad de vida del paciente.
Maloclusiones de clase III y Aparatos Removibles
Las maloclusiones de clase III, también conocidas como prognatismo, pueden afectar la mordida y la estética dental del paciente.
Existen dos tipos de maloclusión de clase III: esquelética, causada por desproporciones en los huesos maxilar y mandibular, y dentaria, debido a un mal posicionamiento entre ambos.
Los aparatos removibles son una solución eficaz para corregir estas maloclusiones, tanto en niños como en adultos.
En el caso de pacientes jóvenes, se utilizan la placa de Progenie, estimuladores de crecimiento maxilar, la máscara facial y la mentonera.
Para adultos, se recomiendan aparatos de ortodoncia y gomas intermaxilares, o incluso cirugía ortognática.
Tabla resumen de tipos de maloclusiones
| Tipo de Maloclusión | Descripción | Tratamiento Común |
|---|---|---|
| Clase I | Relación normal entre maxilar superior y mandíbula, pero con alteraciones en la posición de los dientes. | Ortodoncia fija o alineadores. |
| Clase II | Posición adelantada del maxilar superior con respecto a la mandíbula (retrognatismo mandibular). | Ortodoncia con brackets y alineadores. |
| Clase III | Mandíbula adelantada con respecto al maxilar superior (prognatismo mandibular). | Ortopedia (en niños), ortodoncia o cirugía ortognática. |
| Mordida Abierta | Los dientes anteriores no se superponen al cerrar la boca. | Ortodoncia y/o cirugía. |
| Mordida Cruzada | Los dientes superiores muerden por dentro de los inferiores. | Ortodoncia con expansores palatinos. |