El cuidado de la salud bucodental comienza en la infancia. Desde Laboratorios KIN queremos fomentar la higiene dental infantil y la prevención de la caries en niños, ya que los dientes y encías de los pequeños de la casa al igual que los de los adultos, corren el riesgo de sufrir múltiples enfermedades con efectos negativos sobre su salud.
Una de las grandes preocupaciones como madres y padres, es que nuestros hijos e hijas tengan un buen desarrollo bucodental. Cuidar su salud bucal desde una temprana edad y enseñarles unos buenos hábitos, es crucial para que no sufran enfermedades en un futuro, como las caries infantiles, además de fomentar que crezcan unos dientes fuertes y sanos. Hoy hablaremos de las caries en dientes de leche cómo prevenirlas y cómo tratarlas en caso de que ya existan.

La caries en dientes de leche es la enfermedad más común en la infancia y puede desarrollarse desde la aparición de los primeros dientes de leche. Actualmente, es la enfermedad crónica más frecuente en niños pequeños.
¿Qué son las caries de biberón?
También conocida como caries del biberón, la acción de la placa bacteriana puede comenzar con la salida de los primeros dientes de leche en el bebé lactante. La caries de la infancia temprana o caries del biberón se produce cuando los dientes de un niño se exponen largos periodos de tiempo a líquidos azucarados, provocando un proceso destructivo por bacterias.
¿Cómo define la AAPD la caries de la infancia temprana?
La American Academy of Pediatric Dentistry (AAPD) define la Caries de la Infancia Temprana (CIT) -early childhood caries (ECC)-, como:
- La existencia de una o más lesiones de caries (cavitadas o no cavitadas).
- Falta de diente perdido por caries.
- Superficies de diente curadas por caries, en cualquier diente de leche de un niño de 71 meses o menor.
Es decir, se refiere a niños en edad preescolar, entre el nacimiento y los 71 meses de edad.
Causas de la Caries en Bebés
Son muchos los factores que influyen en la formación de la caries en dientes de leche. Las caries en dientes de leche no son una simple consecuencia del azar, sino el resultado de una combinación de hábitos, alimentación y factores bacterianos.
La formación de placa bacteriana (acumulación de bacterias), sumado al contacto del diente con carbohidratos o azúcares y la fortaleza del esmalte, es lo que produce la aparición de las caries. Por otra parte, los restos de alimentos, sobre todo los azúcares que pueden quedar entre los dientes y muelas, se convierten en el alimento ideal para las bacterias que forman la placa bacteriana de la que hablábamos anteriormente.
Entre los factores de riesgo asociados podemos distinguir cuatro grandes grupos:
- Relacionados con la ingesta de alimentos: Tipo y frecuencia de ingesta de hidratos de carbono. Mayor riesgo para la salud oral ante una dieta altamente cariogénica, es decir, un alto contenido en azúcares libres. Utilización del biberón con sustancias que contengan azúcar por mucho tiempo (introducción tardía del vaso) y muchas veces al día. Además, la costumbre del bebé de dormir con el biberón sin quitárselo una vez se queda dormido. Lactancia materna a demanda y prolongada, por sí sola es difícil que genere CTI, pero cuando se combina con la ingesta de otros carbohidratos en la dieta, y ante ausencia de higiene oral, puede ser altamente cariogénica. No hay que olvidar, que todas las leches animales, tienen su contenido de azúcar aunque no sea el mismo para todas.
- Factores de riesgo relacionados con la higiene: Presencia de placa bacteriana y Ausencia de hábitos de higiene bucal. No hacer una limpieza de dientes y encías después de cada comida, o hacerla de manera incorrecta, proporciona el medio idóneo para que las bacterias de la boca puedan desarrollarse y formar la placa bacteriana.
- Características concretas del bebé o niño: La cantidad y calidad de saliva presente en las encías del bebé, sobre todo si se tiene en cuenta que su fluido disminuye durante el sueño. Sin duda, hay que manejar una buena higiene al momento de acostarse. Patrón de erupción-calcificación de los dientes. Un diente recién erupcionado es más vulnerable a la afectación de los ácidos. Las alteraciones estructurales de los tejidos duros del diente, por ejemplo, la hipoplasia del esmalte. Pacientes con discapacidad física y/o mental por la dificultad para realizar una higiene de forma adecuada.
- Factores de riesgo por falta de información o medios económicos: Falta de presencia de flúor en el medio oral. Necesidad de utilizar la cantidad de flúor adecuada por la edad y el riesgo de caries dental individual de cada niño. Nivel socioeconómico que dificulte el acceso a información y a los productos de higiene necesarios.
Además de esto, el consumo de alimentos ricos en azúcar es otro factor determinante en la caries infantil.

Tengamos en cuenta que la fortaleza del esmalte en dientes de leche es menor, más fino y frágil que en los dientes permanentes, además de ser unos dientes mucho más pequeños. Por lo tanto, el desarrollo de la caries en dientes de leche avanza mucho más rápido y, por ende, estamos hablando de una afección grave que hay que vigilar periódicamente de la mano de un/una Odontopediatra (dentista especializado en dientes de leche y la infancia).
Otras causas y factores de riesgo:
- Consumo frecuente de azúcares simples: El azúcar es el principal alimento de las bacterias cariogénicas, como el Streptococcus mutans.
- Mala higiene bucal o ausencia de limpieza: Uno de los errores más comunes es pensar que no es necesario cepillar los dientes de leche, o que basta con enjuagar la boca.
- Lactancia prolongada nocturna sin higiene posterior: Tanto la leche materna como la de fórmula contienen azúcares naturales (lactosa) que, al permanecer en la boca durante la noche, alimentan las bacterias cariogénicas.
- Transmisión de bacterias de padres a hijos: Muchas veces se desconoce que los adultos pueden transmitir bacterias causantes de caries a los niños.
- Uso prolongado de alimentos o bebidas azucaradas como recompensa o consuelo: Dar zumos, batidos o dulces como premio, o utilizar el biberón como calmante emocional, refuerza patrones poco saludables.
Síntomas de las caries de infancia temprana
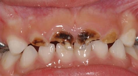
Sin duda, el primer signo que aparece es la mancha blanca. La primera señal es la aparición de un cambio de color en el diente que se vuelve blanquecino y sin brillo. A este nivel, podemos conseguir remineralizar el diente con la aplicación de flúor y cambiar los hábitos presentes de dieta y de higiene-prevención, para eliminar los riesgos.
En una fase más avanzada, se observa un borde amarillo, marrón o negro a nivel de la zona cariada. Después, la mancha blanca progresa a las cavitaciones. Lo ideal es llevar al niño a ser visitado temprano en la vida. Además, en casa, los papás pueden levantar el labio para observar las superficies de los incisivos.
Referente a las caries de la primera infancia, ECC o CIT, cualquier signo de caries en cualquier superficie del diente (ya sean superficies oclusales con surcos y fisuras, o caras lisas como las delante y detrás de los incisivos) indican CIT severa en menores de 36 meses (3 años). En cambio, para aquellos niños de tres a cinco años de edad, la CIT severa nos la indica la caries de una o más superficies y/o si el niño ha perdido ya un diente primario debido a la caries.
¿Cómo saber si mi bebé tiene caries de biberón?
La CIT puede comenzar muy poco después de que salgan los dientes. Afecta por lo general a los dientes superiores de leche o primarios. Aparecerá en superficies lisas (caras bucales y caras linguales de los incisivos). La velocidad de progresión es muy elevada y va destruyendo rápidamente los dientes. Para mirarlo hay que levantar de tanto en tanto el labio superior de los bebés. Idealmente, hay que visitar al odontopediatra tempranamente para que haga los controles, diseñe y explique, las pautas de prevención en cada momento del desarrollo del bebé.
Detección de caries:
- La primera alarma debe saltar si vemos aparecer una mancha blanca en el diente es el primer síntoma de la caries, que indica la descalcificación del esmalte, suelen aparecer con mucha frecuencia cerca del contacto con la encía.
- Si tu hija o hijo presenta dolores, sobre todo después de comer alimentos dulces o alimentos muy fríos o calientes.
- Sus dientes empiezan a oscurecerse un poco hacia un tono amarillento.
- Detectas que hay alguna mancha inusual en sus dientes o muelas que puede parecer un agujero.
Si notas o sospechas que tu hijo tiene una caries, acude al odontopediatra cuanto antes. Detectar a tiempo una caries incipiente en tu hijo puede marcar la diferencia entre un pequeño empaste o tratamientos más complejos.
Caries en niños: cómo evitarla y tratamiento

¿Cómo prevenir la caries de biberón?
Es muy posible que estés usando un biberón para alimentar a tu bebé. ¿Has oído hablar de la «caries de biberón» o la «boca de biberón»? Es una de las formas más comunes de caries en los bebés y se puede prevenir.
La prevención consiste en evitar dejar al bebé con biberones en la boca con líquidos azucarados. Sobre todo, a la hora de ir a dormir, es más conveniente dejar un biberón con agua antes que con leche. Recordar también que la tetina del biberón puede producir alteraciones ortodóncicas, al igual que el chupete, si se succiona muchas horas al día.
La medida de prevención más importante es la higiene diaria desde la aparición de los primeros dientes. Educar a los niños en una buena higiene bucodental es la clave para que los pequeños de la casa aprendan a cuidar sus dientes.
La información más importante con la que te debes quedar en esta lectura es que la caries es 100% prevenible. y también los hidratos de carbono. Estos alimentos pasan mucho tiempo en la boca y favorecen a la creación de placa bacteriana a la vez que debilitan el diente. Si nuestro hijo o hija todavía toma biberón es importante evitar que se quede dormido con él en la boca ya que esto puede dañar el esmalte de los dientes.
Medidas preventivas adicionales:
- Limpieza de encías y primeros dientes: La prevención comienza incluso antes de que salgan los dientes. Se recomienda limpiar suavemente las encías del bebé con una gasa húmeda o dedal de silicona tras cada toma, especialmente si es por la noche.
- Pasta dentífrica con flúor en cantidad adecuada: A partir de la erupción dental, es fundamental usar pasta fluorada en muy pequeñas cantidades.
- Control del consumo de azúcares: El exceso de azúcares simples es uno de los principales desencadenantes de las caries en la infancia. Se deben limitar zumos, galletas, bollería, bebidas azucaradas y evitar que el niño se duerma con el biberón de leche o zumo.
- Visitas periódicas al odontopediatra: La primera visita al dentista infantil debe realizarse alrededor del primer año de vida.
- Aplicación de selladores dentales: Recomendables en los molares, especialmente si el niño tiene alto riesgo de caries.
Además, para evitar la caries de biberón, sigue estos consejos:
- Nunca uses un biberón como chupete.
- Procura no acostar a tu bebé con un biberón. Si tienes que hacerlo, asegúrate de que contenga abundante agua en lugar de leche, zumo o fórmula.
- No des a tu bebé un chupete que haya estado sumergido en miel o azúcar.
Tratamiento de la Caries en Dientes de Leche
Para el tratamiento de la caries, el odontólogo tendrá en cuenta el grado de la lesión en el diente.
¿Cómo se tratan las caries en dientes de leche? Para empezar, lo mejor es prevenir las caries en dientes de leche o caries infantiles.
Pide cita en una clínica dental con especialidad dental pediátrica, es decir, un/una especialista en odontopediatría para llevar a cabo una evaluación de los dientes y la boca. El/la especialista te dirá con exactitud qué procedimiento se llevará a cabo según la edad del niño o niña y la gravedad de la caries que tenga. Lo más usual en dientes de leche es que se lleve a cabo un empaste o una pulpectomía, que significa eliminar la pulpa dañada para poder conservar la pieza y su funcionalidad.
No obstante, reiteramos la importancia de visitar una clínica con especialistas en odontopediatría para la correcta evaluación del problema, ya que cada niño o niña, igual que con los adultos, necesitará un procedimiento personalizado y adecuado al problema de sus dientes.
La manera de curar cada caries en los dientes de leche dependerá del tipo de caries. Por ello, si se desarrolla una caries que no afecta a la pulpa o nervio del diente del bebé, el proceso que utilizamos para la curación se denomina restauración previa eliminación del tejido enfermo con bacterias producidas por caries. En cambio, si la aparición de la caries afecta al nervio sería una pulpotomía o pulpectomía o endodoncia infantil, dependiendo de la cantidad de tejidos infectados en la estructura interna de cada diente.
Sin embargo, la mejor opción en caso de duda es siempre llevar al bebé a revisiones periódicas a la clínica dental infantil donde el dentista pediátrico especializado en bebés orientará a los padres en todos los aspectos necesarios. De este modo, la salud dental de los niños estará adecuadamente monitorizada, además de poder detectar otro tipo de problemas a su debido tiempo.
¿Es necesario empastar caries en dientes de leche?
Empastar caries en dientes de leche es una de las dudas más frecuentes entre los padres, dado que son piezas temporales que acabarán cayéndose. Sin embargo, la respuesta desde la odontología pediátrica es clara: sí, es necesario tratar las caries en los dientes de leche. Una caries no tratada puede progresar rápidamente en los dientes temporales, ya que el esmalte es más fino que en los dientes definitivos.
La obturación (empaste) se indica cuando la caries no ha afectado la pulpa dental, es decir, cuando el daño es superficial o intermedio.
El rol de los padres en la prevención
El rol de los padres en la prevención de caries en dientes de leche es fundamental para garantizar una salud bucodental adecuada desde la infancia. Los hábitos que los niños adquieren en casa y la actitud de los adultos ante la higiene oral son determinantes en la prevención de caries.
Muchos padres desconocen que la prevención debe comenzar incluso antes de la erupción del primer diente. A partir de la aparición del primer diente, es esencial cepillarlos dos veces al día con una pequeña cantidad de pasta fluorada. Hasta los 6-7 años, los niños no tienen la destreza para cepillarse solos correctamente, por lo que la supervisión de un adulto es imprescindible.
Una de las principales causas de caries tempranas es la transmisión de bacterias cariogénicas de padres a hijos; sobre todo por compartir cubiertos, soplar la comida o limpiar el chupete con la boca. Los padres también deben vigilar el consumo de azúcares en la dieta del niño. No solo importa cuánto azúcar se ingiere, sino con qué frecuencia. Es preferible que el consumo sea ocasional y acompañado de comidas principales.
Establecer rutinas de higiene dental, como cepillarse juntos en familia o usar canciones, ayuda a que el niño lo vea como algo positivo.
Higiene y salud bucal
Cepillar los dientes de los niños al menos dos veces al día con un cepillo suave y pasta de dientes con mínimo 1000 ppm de flúor para ayudar a remineralizar sus dientes. Es importante empezar el cepillado desde la aparición de los primeros dientes y levantar el labio superior al cepillar, pues los incisivos superiores son los más susceptibles de sufrir caries en dientes de leche por la poca movilidad que tiene el labio superior en bebés. Esto protegerá la dentadura ante el ataque de bacterias, eliminaremos los restos de comida (y placa bacteriana) que pueda haber, a la vez que remineralizamos (fortalecemos) su esmalte.
Recuerda que la higiene y cuidado de los dientes de leche es responsabilidad del adulto, y el cepillado debe ser realizado por uno hasta los 6 años y supervisado hasta por lo menos los 8 - 9 años de edad.
Visitar a profesionales en dientes infantiles
Realizar una visita precoz, es decir al salir los primeros dientes, es crucial para aprender cómo cuidar los dientes de nuestros hijos. Hacer revisiones frecuentes con un/una profesional de la odontopediatría para que evalúe el desarrollo óptimo y sano de sus dientes. Además, se podrán detectar anomalías de forma temprana, por lo cual se podrá actuar con rapidez y los tratamientos serán menos complicados, en caso de que sean necesarios.

Conclusión
Si tienes más dudas sobre la caries en niños, no dudes en consultar a un profesional. Recuerda que en Friedländer somos también una clínica dental pediátrica y estamos a su disposición para resolver cualquier duda sobre la caries en dientes de leche. Pide una cita, estaremos encantados de atenderte.