Seguro que alguna vez te has mirado al espejo y has notado una manchita en un diente. A veces no le damos importancia… hasta que se convierte en un problema serio. Lo que muchos llaman «agujeros en los dientes» -o más comúnmente «hoyos»- son, en realidad, caries.

¿Qué Causa las Caries?
Las culpables suelen ser las bacterias de la boca, que se alimentan del azúcar que comemos y producen ácidos. Esos ácidos van debilitando el esmalte sin que apenas lo notemos.
Sin embargo, hay otras razones por las que pueden aparecer las caries:
- Porque no nos cepillamos bien.
- Por el exceso de azúcar. Dulces, refrescos, bollería… No solo son malos para la salud general, sino también para los dientes.
- Porque tenemos la boca seca. La saliva protege los dientes.
- Y también por genética.
Detección Temprana de las Caries
La clave está en detectar esos «hoyos» antes de que duelan. No siempre es evidente. Muchas personas no notan nada hasta que el agujero ya es grande. Pero hay pistas. Muchas veces, los pacientes llegan a consulta pensando que es «una manchita sin importancia» y resulta que ya hay una caries bastante avanzada. Por eso siempre recomendamos hacer una revisión cada seis meses.
No. Hay caries silenciosas que solo se detectan con revisión.
Caries en Dientes Delanteros: Un Problema Estético
Cuando la caries afecta a los dientes delanteros, la preocupación va más allá de la salud. Está en juego la estética de tu sonrisa.
Tipos de Caries
Los dientes están formados por varios componentes, uno de ellos es el llamado esmalte, que recubre el diente, y por ello, es el elemento del diente que más pronto se puede corroer. Cuando el esmalte de los dientes se desgasta, hablamos de caries dentales.
Caries Interproximal
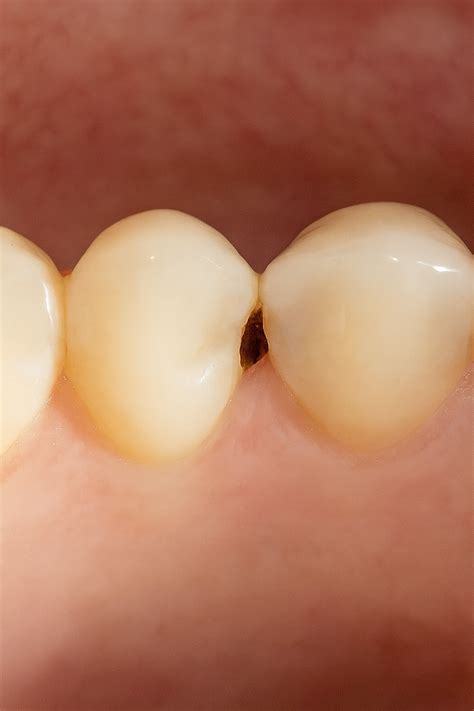
La caries entre los dientes se denomina «caries interproximal«. La carie se crea debido a la placa bacteriana que se acumula a causa de alimentos azucarados y de alto nivel de ácido.
Una carie interproximal es una carie entre los dientes. Se produce cuando la placa se queda en el diente y se endurece, y las encías se recubren de sarro. El ácido de la placa elimina los minerales del esmalte externo. Esta erosión provoca que el esmalte se descaste, la cual se denominaría la primera fase de una caries.
En cuanto una zona del esmalte es desgastada por las bacterias, el ácido entra en la siguiente capa de los dientes, la dentina.
La dentina es la principal estructura de soporte del diente. El túbulo dentinario está formado por unos 30-40.000 tubos diminutos que se extienden desde la superficie hasta la pulpa del diente. Estos pequeños tubos se comunican con los nervios de los dientes y pueden causar sensibilidad.
Como van avanzando las fases de las caries, el ácido y las bacterias siguen atravesando los dientes y entran en el interior del material dental, la pulpa, donde se encuentran los vasos sanguíneos y nervios.
En algunos lugares, la hinchazón se extiende hacia el interior del diente y los nervios de los dientes se comprimen, causando dolor. Las molestias pueden extenderse desde el diente hasta las raíces, requiriendo un procedimiento llamado endodoncia.
Las caries pueden aparecer en los premolares y molares. Estos dientes tienen muchas ranuras donde se pueden acumular residuos de comida. A comparación de mantener limpios que los dientes delanteros, son más difíciles de cuidarlos. Los alimentos azucarados se adhieren a los dientes durante largos periodos de tiempo y tienen más probabilidades de provocar caries provocadas por las partículas de comida en la saliva.
Las personas con apiñamiento de dientes o que llevan ortodoncia o prótesis tienen más riesgo de padecer caries interproximales porque son más propensas a la acumulación de alimentos.
Una forma de detectar la caries interproximal es cuando, al pasar el hilo dental, notamos que se engancha y provoca dolor.
Las caries interproximales son más difíciles de detectar y, al afectar a más de un diente, son especialmente graves.
Por el lugar donde se originan, las caries interproximales pueden ser menos visibles y difíciles de detectar. La zona que está entre los dientes es más inaccesible y durante el cepillado dental será más difícil de limpiar. Por lo tanto es una zona propensa a la acumulación de placa bacteriana y sarro que provoca las caries.
Muchos pacientes se dan cuenta de que tienen una caries interproximal cuando ya sienten síntomas de dolor y sensibilidad dental, momento en que la caries ya ha erosionado parte de la estructura dental.
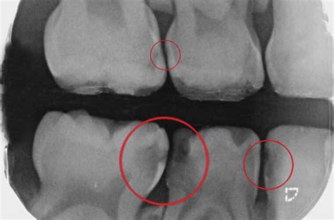
La prueba diagnóstica más adecuada para las caries interproximales será una radiografía oral y una exhaustiva exploración dental.
Es muy importante que el paciente recuerde que las caries no remiten por sí solas y necesitamos tratarlas y controlarlas en manos de especialistas en restauración dental para evitar comprometer la vida de nuestras piezas dentales.
La mejor forma de evitarlas siempre será la prevención, mediante una correcta alimentación y sobre todo cuidando los hábitos de higiene dental: el cepillado dental tres veces al día y el uso de hilo dental o de cepillos interdentales una vez al día serán tus grandes aliados para prevenir las caries interproximales.
Caries Radicular
La caries radicular es un tipo de caries que afecta directamente a la raíz del diente, normalmente en personas con encías retraídas o enfermedades periodontales. A diferencia de las caries comunes que se desarrollan en la corona dental, esta se forma debajo de la encía o cerca de ella, lo que dificulta su detección y tratamiento precoz.
La caries radicular es una lesión que afecta a la superficie de la raíz del diente, es decir, a la parte del diente que normalmente permanece cubierta por la encía. Cuando la encía se retrae por envejecimiento, enfermedades como la periodontitis o incluso por un cepillado agresivo deja expuesta esta zona.
En condiciones normales, el cemento radicular no entra en contacto con bacterias ni ácidos, pero al quedar expuesto, se convierte en un blanco fácil para la caries.
Las caries radiculares suelen desarrollarse bajo la línea de la encía, especialmente en personas mayores o con enfermedades como la periodontitis.
Uno de los principales problemas de la caries radicular es que suele pasar desapercibida en sus fases iniciales. Sin embargo, hay ciertas señales que pueden ponerte en alerta. Es importante prestar atención a cualquier cambio en la base de los dientes o en las encías.
Dado que este tipo de caries puede desarrollarse sin síntomas claros, el diagnóstico profesional es indispensable.
No todas las caries radiculares tienen el mismo grado de afectación. Es la fase inicial, cuando solo afecta a una pequeña parte de la raíz. Cuando no se detecta a tiempo, puede progresar hacia el interior del diente o incluso al hueso.
Este tipo de caries dental afecta a la raíz del diente siendo más frecuente personas mayores, de ahí el nombre de caries senil. Puede afectar también a quienes sufren recesión de las encías.
Aquí, la caries lo tiene fácil; no sufre mucha resistencia por parte de la estructura del diente y llega fácil y rápidamente al interior del diente.
Difíciles de detectar a simple vista, por lo que con frecuencia el paciente acude a consulta cuando el daño ha progresado y la pulpa también se ha visto comprometida.
La caries radicular puede pasar desapercibida durante meses, pero sus consecuencias pueden ser graves si no se trata a tiempo.
Caries Profunda
Caries profunda: es cuando llega a la pulpa dental o nervio, causando un dolor más intenso, infección o incluso abscesos dentales.
Con frecuencia, un diente afectado por una caries central está destinado a ser extraído.
Cuando la caries ha penetrado profundamente en el diente, afectando a la pulpa dental, es necesario desvitalizar el diente, se crea una vía de acceso a la cámara pulpar, que se limpia cuidadosamente con la ayuda de limas dentales y se rellena con una sustancia inerte llamada gutapercha.
Tratamiento de las Caries
En cualquier caso, cuanto antes se trate, más sencilla será la solución. El tratamiento depende del tamaño del agujero, de si ha afectado al nervio y del estado general del diente.
Empastes Estéticos
Empastes estéticos: Utilizamos resinas del mismo color que tu diente. Son rápidos, efectivos y estéticos. Se limpia la zona dañada y se rellena con un material que se mimetiza con tu diente.
Endodoncia
Cuando la caries ha llegado al interior del diente, hay que limpiar la infección, eliminar la pulpa dañada y sellar bien para evitar que vuelva.
Si la caries es grave y se deja sin detectar y sin tratar durante mucho tiempo, la endodoncia puede ser la mejor opción para salvar el diente. La endodoncia consiste en la extracción de las encías del interior del diente. Se limpia y desinfecta el diente y se sella la forma del empaste en el hueco. Después de la endodoncia se coloca una corona.
Coronas
Si el diente está muy debilitado, colocamos una funda que lo cubre por completo. La corona está hecha de diversos materiales, como cerámica, composite, resina, metal, porcelana o una combinación de ambos.
Extracción Dental
A veces no queda otra que sacar el diente. En ese caso, podemos ofrecerte soluciones como implantes, puentes o prótesis removibles. Hoy en día, perder un diente no significa renunciar a una sonrisa bonita.
No siempre. La extracción se considera el último recurso, cuando no es posible salvar la pieza.
Remineralización Dental
Remineralización dental: en las caries muy pequeñas o detectadas en etapas iniciales, se puede llevar a cabo un tratamiento de remineralización con flúor.
Si la caries se detecta muy pronto, el dentista puede aplicar un tratamiento con flúor (en forma de gel, espuma, barniz o líquido). Esto ayudará a restaurar el esmalte y a veces a revertir el daño.
Otros Tratamientos
Una caries detectada a tiempo puede tratarse con un simple empaste. Se perfora el diente para eliminar la caries y luego se rellena con un material como porcelana, oro, plata, resina o amalgama. Tras el empaste, la cavidad se amplía con más esmalte y el empaste se utiliza para devolver al diente su forma y función normales.
Inicialmente se daña el esmalte. Otro factor que no debe subestimarse es el tabaquismo.
La saliva tiene una función limpiadora y es capaz de amortiguar los ácidos que se forman durante la alimentación. A través de ellas, las bacterias y los ácidos llegan a las capas más internas del diente.
La caries se desarrolla entonces desde el exterior hacia el interior del diente, con un curso temporal lento y variable.
Será el especialista quien, mediante una radiografía, pueda hacer un diagnóstico y aplicar el tratamiento para las caries interproximales más adecuado.

Prevención de las Caries
Aquí no hay magia.
- Reduce el consumo de azúcares y carbohidratos: Opta por una dieta equilibrada, rica en frutas, verduras, proteínas magras y productos lácteos bajos en grasa.
- Usa enjuague bucal con flúor: El flúor ayuda a fortalecer el esmalte dental y prevenir la formación de caries.
- Bebe agua con flúor: El agua fluorada es beneficiosa para prevenir las caries.
Además, cada vez usamos más tecnologías preventivas como el sellado de fisuras, escáneres digitales o análisis bacterianos.
Cepillarse los dientes después de cada comida, al menos dos veces al día.
Realizar revisiones en el odontólogo cada 6 o 12 meses (dependiendo de la fisiología de cada persona, siguiendo la recomendación del dentista).
En el caso de una alta propensión a desarrollar caries, es posible utilizar selladores dentales, que son películas protectoras que se aplican en las superficies de masticación de los dientes posteriores (los más difíciles de limpiar con un cepillo de dientes) para cerrar surcos y fisuras (zonas potenciales de acumulación de placa).
La mala higiene bucal es una de las causas de las caries más fáciles de evitar. Esta es una de las causas de las caries más repetidas en adultos, ya que algunos medicamentos o enfermedades pueden propiciar la falta de saliva.
Las caries son una de las enfermedades más comunes en la boca y en la salud en general, siendo zonas que dañan la superficie de nuestros dientes. En este artículo vamos a contarte por qué salen las caries viendo las causas más comunes para que puedas tratar de evitar este problema con una buena higiene bucal.
Es el principal motivo, ya que al no cepillarse correctamente los dientes o no tener una buena higiene diaria permite que la placa bacteriana se acumule. Esta placa está llena de bacterias que producen ácidos dañinos para el esmalte dental.
Hay enfermedades que pueden facilitar el desarrollo de caries, como la acidez estomacal, la anorexia o la bulimia.
Las revisiones profesionales permiten detectar caries en su fase inicial, cuando se pueden tratar sin dolor y sin tener un daño más avanzado en la estructura del diente.
Como todos los tipos de caries, su principal causa es la acumulación de bacterias, que se sedimentan en forma de placa dental en el diente.
Dolor punzante: a medida que la caries se acerque la pulpa dental, el dolor se irá volviendo más intenso porque las bacterias se aproximan al nervio dental.
Por último, durante la higiene dental podemos notar que al pasar el hilo dental se engancha, provocando dolor al pasarlo entre dos dientes.
Consumo de azúcares o carbohidratos. Los alimentos azucarados o que contienen cantidades importantes de almidón son la dieta perfecta para las bacterias que causan la caries.
Sequedad en la boca. La saliva es una ayuda en contra de las enfermedades infecciosas de la boca, ya que neutraliza los ácidos que producen las bacterias.
Genética o estructura de los dientes. Hay personas más predispuestas a generar caries, generalmente aquellas con un esmalte más débil o surcos más profundos en los dientes.
Tipo de diente. Hay dientes más propensos que otros a la hora de tener caries.
Falta de flúor. El flúor es un mineral natural que ayuda a prevenir la caries, un componente que suele incluirse en los dentífricos, enjuagues bucales e, incluso, en los suministros de agua, dados sus beneficios en la salud bucal.
Beber agua con frecuencia, sobre todo si notas sequedad.
La susceptibilidad a las caries puede tener un componente genético. Algunas personas pueden ser más propensas a desarrollar caries que otras debido a la composición de su saliva, la forma y la estructura de sus dientes, y otros factores genéticos.
Ahora que conoces las causas de las caries, está en tu mano seguir estas recomendaciones diariamente.

Caries dentales, caries en niños | Prevención, diagnóstico, tratamiento
tags: #caries #en #dientes #delanteros #tratamiento