Como ya sabrás, una radiografía dental es una imagen que se obtiene usando rayos X para ver las estructuras internas de tu boca. Ahora ya sabes que las radiografías son una herramienta esencial para examinar partes del diente y de la boca que no son perceptibles a simple vista y localizar posibles problemas, como las caries.

Las caries dentales son lesiones en el diente causadas por ácidos que generan las bacterias de la boca al descomponer los azúcares de los alimentos. Aunque algunas caries pueden ser claramente visibles -con aspecto de manchas oscuras o cavidades en los dientes-, muchas otras no son tan evidentes en sus primeras etapas.
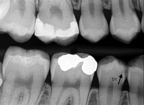
¿Cómo se ve una Caries en una Radiografía?
La cuestión es, ¿cómo saber qué estamos delante de una caries? En el resultado, las caries suelen verse como áreas más oscuras del diente, debido a la menor densidad del tejido afectado por la desmineralización.
Lo más importante cuando se detecta una caries es hacerlo a tiempo. ¿Por qué? En otras palabras: una radiografía preventiva puede ahorrarte procesos tan complejos como las endodoncias o incluso extracciones dentales. Por eso, te recomendamos que no dejes para mañana tu visita al dentista.
Estudio radiológico de la caries.
Tipos de Caries y su Visualización Radiográfica
- Caries interproximales: Una caries interproximal se forma entre los dientes y es, probablemente, el tipo de caries más difícil de detectar sin una radiografía.
- Caries en la corona: Cuando la caries está en las zonas visibles del diente, es mucho más fácil de detectar.
- Caries radiculares: Este tipo de caries se encuentran en las raíces de los dientes, más cerca del hueso. Son comunes en personas con retracción de encías.
- Caries recurrentes: También conocidas como caries secundarias, se forman alrededor de restauraciones dentales existentes, como los empastes. Y es que estos tienden a acumular placa, lo que facilita la desmineralización del diente.

Caries Radiculares: Un Enfoque Detallado
La caries radicular es un tipo de caries que afecta directamente a la raíz del diente, normalmente en personas con encías retraídas o enfermedades periodontales. A diferencia de las caries comunes que se desarrollan en la corona dental, esta se forma debajo de la encía o cerca de ella, lo que dificulta su detección y tratamiento precoz.
La caries radicular es una lesión que afecta a la superficie de la raíz del diente, es decir, a la parte del diente que normalmente permanece cubierta por la encía. Cuando la encía se retrae por envejecimiento, enfermedades como la periodontitis o incluso por un cepillado agresivo deja expuesta esta zona. En condiciones normales, el cemento radicular no entra en contacto con bacterias ni ácidos, pero al quedar expuesto, se convierte en un blanco fácil para la caries.
Las caries radiculares suelen desarrollarse bajo la línea de la encía, especialmente en personas mayores o con enfermedades como la periodontitis. Uno de los principales problemas de la caries radicular es que suele pasar desapercibida en sus fases iniciales. Sin embargo, hay ciertas señales que pueden ponerte en alerta. Es importante prestar atención a cualquier cambio en la base de los dientes o en las encías.
Dado que este tipo de caries puede desarrollarse sin síntomas claros, el diagnóstico profesional es indispensable. No todas las caries radiculares tienen el mismo grado de afectación. Es la fase inicial, cuando solo afecta a una pequeña parte de la raíz. Cuando no se detecta a tiempo, puede progresar hacia el interior del diente o incluso al hueso.
Tipos de Radiografías Utilizadas
- Radiografías de aleta de mordida: Son ideales para detectar caries interproximales.
- Radiografías periapicales: Permiten observar el diente completo, con las raíces y el hueso.
- Radiografías panorámicas: Ofrecen una visión general de toda la boca, útil para evaluar el estado general de los dientes y estructuras óseas.

Caries Radicular vs. Reabsorción Radicular
A simple vista pueden parecer similares, pero las implicaciones de una caries radicular y una reabsorción radicular son completamente distintas. La caries radicular está causada por bacterias que se alojan en la superficie de la raíz expuesta, generando ácidos que disuelven progresivamente el cemento y la dentina.
La reabsorción radicular, en cambio, es un fenómeno interno del organismo. Se activa tras un daño en la raíz y conlleva la acción de células destructivas que deterioran la estructura del diente desde el interior o desde el exterior. La caries es una lesión provocada por bacterias que destruyen el esmalte y la dentina desde el exterior. La reabsorción radicular es un proceso biológico en el que el propio organismo degrada la raíz de un diente desde dentro o desde fuera.
La caries está causada por la acción de bacterias que generan ácidos a partir de azúcares. La reabsorción radicular puede deberse a traumatismos, inflamaciones, tratamientos previos como ortodoncia o incluso factores idiopáticos. La caries suele provocar dolor, sensibilidad al frío o calor y aparición de cavidades en el diente.
El tratamiento de la caries consiste en eliminar el tejido afectado y restaurar el diente con un empaste, una incrustación o una corona, según el grado de avance.
Conocer las diferencias entre caries y reabsorción radicular es el primer paso para salvar tu sonrisa. ¿Buscas una guía rápida para distinguir entre caries radicular y reabsorción radicular? Esta tabla comparativa destaca sus diferencias clave en origen, síntomas, diagnóstico y tratamiento.
| Característica | Caries radicular | Reabsorción radicular |
|---|---|---|
| Origen | Bacterias acidogénicas del biofilm | Células del cuerpo (odontoclastos) tras estímulo/daño previo en el diente |
| Mecanismo | Ácidos bacterianos disuelven cemento y dentina | Las células clásticas provocan destrucción interna o externa del diente |
| Tejido afectado | Cemento y dentina, sobre todo en raíces expuestas. Puede incluso llegar al nervio | Parte interna o externa de la raíz dentaria en función del tipo de reabsorción. |
Aspecto
| Caries radicular | Reabsorción radicular | |
|---|---|---|
| Origen | Bacterias acidogénicas del biofilm | Células clásticas tras daño tisular |
| Tejido afectado | Cemento y dentina radicular. Puede llegar a afectar el canal pulpar | Cemento, dentina y canal pulpar en la mayoría de los casos. |
Aunque a menudo son silenciosas al inicio, tanto la caries radicular como la reabsorción presentan indicios visibles o palpables que permiten al dentista sospechar de su presencia. Para saber con certeza si se trata de una caries radicular o una reabsorción, el dentista recurre a pruebas de imagen. Además de las radiografías convencionales, la tecnología CBCT (Tomografía Computarizada de Haz Cónico) permite obtener imágenes tridimensionales de alta precisión.
Comprender la velocidad con la que cada una de estas lesiones avanza ayuda a priorizar el tratamiento. Ante cualquier sospecha, acude a tu clínica dental para una evaluación diagnóstica completa. No lo dejes pasar.
La Radiografía Periapical y su Limitación
La radiografía periapical no es la mejor para el diagnóstico sistemático de las caries, debido a dos razones fundamentales: La primera es que el número de superficies proximales dentarias que explora no es pequeño, en relación con la radiografía de aleta, lo que empeora notablemente su relación coste - eficiencia.
La segunda es que la dirección de los rayos no es la ideal para extraer información de las áreas de contacto, principal zona de producción de las caries susceptibles de diagnosticarse radiológicamente. En las primeras fases de su desarrollo, la caries que afecta al esmalte aparece como una sombra, normalmente situada inmediatamente por gingival del área de contacto. La morfología de la imagen es triangular, con vértice dirigido a la dentina y base exterior.
Está demostrado que existe un decantaje entre la afectación radiográfica y la real, de forma que la imagen radiológica está retrasada respecto a la situación histológica. El esmalte puede estar, cuantitativamente, afectado de dos formas distintas: La mitad externa o todo su espesor.
Dicha afectación radiológica no está de acuerdo con la afectación clínica: En un estudio clínico realizado por algunos autores, se encontró afectación dentinaria histológica, diagnosticada mediante colorantes, en un 51’43% de los casos en los que la lesión radiológica estaba confinada al esmalte. Es decir, si el esmalte está afectado en algún grado, más de la mitad de los casos ya sufren de afectación dentinaria.
Cuando la imagen radiológica es de afectación dentinaria, ésta es en forma de una radiolucidez globulosa, generalmente mal definida y en relación casi siempre con una caries de esmalte. La disposición general de dicha imagen es invertida respecto a la del esmalte: Triangulo de base exterior y vértice en dirección pulpar.
Para el diagnóstico de la caries dentinaria, deberemos atender a un aspecto importante de la misma: Siempre se corresponde con una puerta de entrada, si es dentina recubierta por esmalte. El comportamiento es algo distinto en el caso de las caries con origen oclusal del caso de las caries con origen proximal.
Si la puerta de entrada es oclusal, la morfología de la caries dentinaria es globulosa, de concavidad oclusal y usualmente no se aprecia desestructuración radiológica del esmalte superpuesto en la radiografía es grande. Resulta importante que diferenciemos las cavidades cariosas de las terapéuticas. A falta de historia clínica del caso, una radiolucidez interna respecto a una restauración puede dar lugar a confusión: ¿Es caries o forma parte de la cavidad, obturada con una base radiolúcida?
Como siempre, la clínica resulta fundamental: debe valorarse la presencia o ausencia de sintomatología. Existe un dato radiológico de gran valor clínico predictivo indirecto; la imagen radiológica de la cámara pulpar. Es un hecho conocido que uno de los mecanismos más efectivos de defensa del diente es la aposición rápida de dentina (reaccional o terciaria) entre la agresión bacteriana y la cámara pulpar.
Existe un artefacto radiológico (las bandas de Mach) que simula una radiolucidez como la de la caries, y es tanto más fácil que se produzca cuanto más contrastada esté la radiografía. Es un fenómeno que se llama “de borde”, producido por inhibiciones celulares recíprocas en la retina. La zona más frecuente de aparición de estas bandas es la que se corresponde a los rebordes marginales de los premolares o molares. En ellos, puede verse una imagen falsa de radiolucidez cariosa en la dentina adyacente al esmalte.
Para diferenciarla, puede recurrirse a tapar con el extremo de un papel opaco la banda clara, y observar si desaparece o no la zona oscura. Otra fuente frecuente de errores es la radiolucidez cervical. Dicha radiolucidez aparece, como su nombre indica, en la zona cervical de cualquier pieza dental, y se manifiesta como una zona oscura comprendida entre el límite cervical del esmalte proximal y el hueso alveolar.
En ausencia de caries, se debe sobre todo al efecto de la substracción que ocurre en la zona cervical, entre el límite cervical del esmalte y el extremo coronal del tabique óseo intralveolar. Para diferenciar la radiolucidez cervical de una hipodensidad cariosa, deberá atenderse, como siempre, primero a la clínica: una exploración cuidadosa es imprescindible.
Existe otro tipo de radiolucidez cervical, muy parecido al anterior y más fácilmente discernible en los dientes en los que existen más de una raíz. En esa zona, suele formarse una superficie cóncava que produce una densidad radiológica distinta a la del resto de la raíz, al ser atravesada de forma oblícua por el haz de rayos. Es una radiolucidez, por una vez, bien delimitada.
Para identificar estas líneas es bueno que se siga el trazado de la raíz a la que limitan, desde una zona (generalmente intraóseas) en la que la raíz esté bien marcada, hasta la zona cervical, donde suele confluir.
Prevención de Caries Interproximales
Las caries interproximales (las que están entre diente y diente) podemos prevenirlas utilizando seda dental después del cepillado. Normalmente se forman por la acumulación de restos de alimentos entre los dientes que, después de las comidas, no retiramos de forma adecuada. Esa acumulación es la que provoca los ácidos y la proliferación bacteriana que resultará en un proceso de caries.
Cuando detectamos un brote de caries debemos preguntarnos si hemos llevado a cabo algún cambio de hábito en nuestra dieta, como puede ser la ingesta de fruta entre horas, comer snacks que contengan hidratos de carbono, ingesta de zumos o batidos, etc., ya que todos ellos son alimentos que dejarán azúcares residuales hasta que podamos realizar un cepillado dental.
Además, el diagnóstico radiográfico no solo se limita a la detección de caries. Nos preocupamos por tu comodidad y tu seguridad, utilizando equipos de rayos X de última generación. Si sospechas que puedes tener caries o simplemente necesitas una revisión dental, no lo dudes: ven a nuestra clínica. ¡Más vale prevenir que curar!
tags: #caries #radicular #radiografia