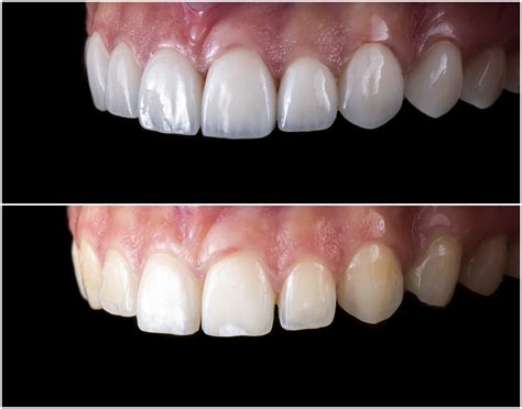
Con las carillas dentales E-Max, recuperar la confianza en tu sonrisa es más fácil que nunca. Este tratamiento soluciona esas pequeñas imperfecciones que pueden afectar la estética de tu sonrisa. Dentro de la especialidad de estética dental, las carillas E-Max son muy populares debido a su resultado natural y la rapidez del procedimiento.
En este artículo, exploraremos en detalle las carillas de porcelana E-Max, incluyendo su precio, duración y todos los beneficios que ofrecen para transformar tu sonrisa.

¿Qué son las Carillas E-Max?
Las carillas E-max se adhieren a la cara externa de los dientes visibles al sonreír, modificando su forma, tamaño y color. La porcelana utilizada es altamente personalizable, permitiendo al paciente elegir el aspecto final de las carillas según sus preferencias.
Una característica destacada de las carillas E-max es su finura, que a menudo elimina la necesidad de tallado dental. Fabricadas con cerámica de silicato de litio, estas carillas logran resultados estéticos altamente satisfactorios.
Ventajas de las Carillas E-Max
Las carillas E-max ofrecen una serie de beneficios clave:
- Naturalidad: Uno de los principales atractivos es su apariencia ultrafina, que garantiza un resultado sorprendentemente natural.
- Resistencia a las manchas: A diferencia de los dientes naturales o las carillas de composite, las E-Max son resistentes al café, té y humo de cigarrillo, gracias a sus materiales de alta tecnología.
- Durabilidad: La porcelana E-max puede durar muchos años sin perder brillo ni color.
- Adhesión superior: La porcelana ofrece una mejor unión entre la carilla y el esmalte dental, evitando que se despegue.
Gracias a sus avances tecnológicos y cualidades únicas, las carillas E-Max se han convertido en la elección preferida de muchos pacientes.
Duración de las Carillas E-Max
La longevidad de las carillas Emax en P&P Clinic Valencia es considerablemente extensa, de 5 a 20 años, gracias al material con el que están confeccionadas. La porcelana E-max dura muchos años, ya que por sus propiedades, es un material que no pierde brillo o color con el paso del tiempo.
Las urgencias relacionadas con roturas no son frecuentes, ya que la porcelana es muy dura y resistente, actuando como un diente natural. La duración de las carillas dentales de porcelana es mayor que las de composite, pudiendo resistir en perfectas condiciones hasta 15 años, y además no pierden su color ni se tiñen.
Esta duración depende en gran medida de que el paciente siga las instrucciones de su odontólogo relativas a mantenimiento y cuidados.

Precio de las Carillas E-Max
El precio de las carillas de porcelana varía en función del material y la técnica de fabricación. El coste de las carillas de porcelana depende del tipo de cerámica, la técnica empleada y la cantidad de dientes a tratar.
En Clínica Bernabéu, los precios van desde 470€ para las carillas cerámicas monocromáticas hasta 690€ en el caso de las feldespáticas. Si tiene alguna pregunta o desea agendar una consulta, no dudes en ponerte en contacto con nosotros.
En P&P Clinic en Valencia, las tarifas de las carillas dentales emax pueden ser más elevadas en comparación con otras alternativas, pero esto se debe a los excelentes resultados y la comodidad que ofrecen. No obstante, es importante destacar que los costos pueden variar según la situación específica de cada paciente.
El presupuesto total dependerá del número de carillas requeridas (normalmente entre 8 y 10 por arcada) y del material elegido. Oscila entre 250 € y 1200 € por unidad.
Factores que influyen en el precio:
- El tipo de material utilizado.
- La complejidad del tratamiento.
- El laboratorio o técnico protésico que realiza las carillas.
Es importante recordar que en el precio se incluyen todos los conceptos del tratamiento necesarios para obtener un resultado acorde a las expectativas del paciente.
¿Cómo se colocan las Carillas E-Max?
El proceso de diseño de sonrisa con carillas dentales en P&P Clinic es absolutamente indoloro. No hay dolor asociado con el procedimiento. De hecho, no es necesario administrar anestesia.
Las carillas de porcelana requieren solo dos citas una vez el diseño de sonrisa y estudio están definidos. El proceso es rápido y muy conservador con el diente.
Mantenimiento de las Carillas E-Max
Tras someterse a la colocación de las carillas Emax en P&P Clinic, los pacientes deben seguir un mantenimiento cuidadoso de estas carillas de porcelana. Afortunadamente, este proceso es bastante sencillo, ya que solo requiere cuidados similares a los que se dispensan a los dientes naturales.
En otras palabras, es crucial llevar a cabo un cepillado adecuado después de cada comida, complementado con el uso de elementos como la seda dental y el colutorio. No hay que pasar por alto la importancia de visitar regularmente al odontólogo para asegurarse de que todo esté en orden, lo cual es fundamental para preservar la calidad de las carillas a lo largo del tiempo.

¿Son las Carillas E-Max Adecuadas para Ti?
En general, las carillas dentales son adecuadas para cualquier paciente que desee mejorar su sonrisa. Las carillas dentales tienen el potencial de mejorar la forma, tamaño y color de tus dientes.
En ciertos casos, puede ser necesario realizar previamente un tratamiento de ortodoncia, pero esto se limita a situaciones de malposición dental o maloclusiones severas. Cuando el paciente no tiene una buena mordida (clase II, clase III, mordida cruzada…) las carillas dentales también pueden estar contraindicadas porque hay riesgo de rotura.
Aunque en muchas ocasiones el hecho de padecer bruxismo se presente como una contraindicación, lo cierto es que en Ferrus&Bratos tratamos a pacientes que tienen este hábito y llevan carillas estéticas.
Si aún crees que las carillas están contraindicadas o pueden resultar un problema para ti, lo más adecuado es que acudas a un dentista especializado en Estética Dental avanzada. De esta manera, podrás saber con certeza cuál es el tratamiento que más se adapta a tus necesidades.
Opiniones de Pacientes
Es una realidad que la mayoría de las opiniones recibidas por parte de los pacientes que han experimentado un tratamiento con carillas Emax son sumamente favorables. Esto se debe no solo a que el procedimiento es poco invasivo y cómodo, sino también a que los resultados finales son estéticamente atractivos, permitiendo a los pacientes lucir una sonrisa armónica y radiante.
Estoy contenta con el resultado porque ha quedado muy natural que era una de las cosas que me preocupaba, queria una sonrisa blanca pero a la vez natural y sin duda han realizado mi deseo!muchas gracias al equipo por conseguir que se vuelva a sonreir sin inseguridad!
Todo excelente, acudí a la clínica para cambiarme las carillas de composite realizadas hace años en otra clínica, me ha atendido la doctora karla, muy amable y profesional, me ha encantado el resultado
Alternativas a las Carillas E-Max
Dado que las carillas dentales más utilizadas son las de porcelana (e.max y Lumineers) y las de composite, es importante conocer los beneficios e inconvenientes de cada una:
- Carillas de Composite: Recomendadas para quienes buscan una alternativa rápida, económica y con buenos resultados visuales. Su ventaja principal es que se colocan en una sola sesión y permiten mejorar pequeñas imperfecciones sin modificar en exceso el diente original.
- Carillas Lumineers: Constituyen el modelo más conocido en carillas de porcelana, tienen un sistema de colocación indoloro y son finas y resistentes. En contraste, las carillas lumineers también son ultrafinas y no requieren tallado, ya que se adhieren fácilmente a los dientes. Sin embargo, su calidad es ligeramente inferior a la de las carillas emax, aunque ofrecen una mayor comodidad debido a la facilidad de colocación.
CARILLAS Dentales de Porcelana👅E-max de canino a canino QuickVideo
Conclusión
Las carillas E-Max son una excelente opción para quienes buscan una sonrisa estética y natural que dure muchos años. Su resistencia, durabilidad y apariencia natural las convierten en una de las opciones más populares en estética dental.
| Tipo de Carilla | Precio Aproximado por Unidad | Duración Estimada | Ventajas | Desventajas |
|---|---|---|---|---|
| E-Max | €470 - €1200 | 5 - 20 años | Alta resistencia, estética natural, resistente a manchas | Mayor costo inicial |
| Composite | €250 - €400 | Hasta 5 años | Económicas, colocación rápida | Menor durabilidad, susceptibles a manchas |
| Lumineers | €600 - €1000 | 10 - 15 años | Colocación indolora, finas y resistentes | Calidad ligeramente inferior a E-Max |