Las carillas dentales son unas de las soluciones de estética dental más demandadas actualmente y un tratamiento muy frecuente en odontología estética. Gracias a las carillas dentales se pueden corregir los dientes fracturados, dientes manchados, desgastados o desiguales. Estas pequeñas prótesis que se ponen en las piezas dentales, nos permiten alcanzar resultados espectaculares para mejorar el aspecto estético de nuestros dientes y de la sonrisa.
En este artículo hablaremos más de las carillas dentales, los tipos de carillas que existen y los beneficios e inconvenientes de cada tipo. Las carillas dentales se colocan en la superficie frontal de los dientes con la finalidad de mejorar su aspecto. Son uno de los tratamientos dentales estéticos más demandados actualmente, tanto por su sencillez como por su precio.
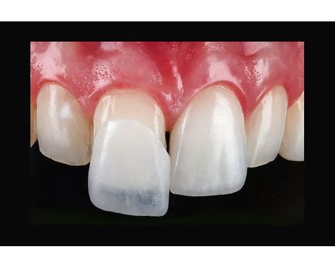
Las carillas dentales son unas láminas muy finas -generalmente inferiores a un milímetro de espesor- que se fijan sobre la parte visible de uno o varios dientes. Su objetivo es corregir problemas estéticos (fracturas leves, cambios de color…) o patológicos (originados por caries). Pueden estar hechas de diferentes materiales, pero suelen ser de porcelana o composite. Por lo general, estas últimas suelen confeccionarse en la propia clínica dental con un material fotocurable, igual que el que se usa para hacer los empastes.
Su principal objetivo es mejorar el aspecto de los dientes, ya sea para modificar su tamaño, color, forma o posición. Por tanto, tienen una finalidad puramente estética. El uso de carillas dentales comenzó en Hollywood en la década de 1920, cuando los actores necesitaban mejorar su sonrisa para la pantalla grande.
A la hora de elegir un tipo de carillas u otro es necesario acudir a la clínica dental y que sea el odontólogo quien aconseje el tipo de carilla más conveniente, en función de las necesidades de cada paciente. ¿Quién puede llevar carillas dentales y cuándo se recomiendan? El procedimiento de colocación depende del tipo de carillas que vaya a llevar el paciente (porcelana, composite, disilicato de litio…).
Las carillas dentales son un tratamiento eficaz a la hora de corregir y/o disimular pequeños defectos que afectan negativamente al aspecto de los dientes. La duración de las carillas dentales está determinada por diversos factores, como los cuidados que siga el paciente en cuanto a higiene oral, alimentación, tabaco, hábitos, revisiones con el dentista, etc. Adicionalmente, la durabilidad del tratamiento también depende del material con el que están fabricadas las carillas y de la técnica de colocación (directa o indirecta).
Por ello, no resulta posible determinar de antemano cuánto tiempo duran las carillas dentales. Lo que sí podemos decirte es que, con unos cuidados y unos mantenimientos adecuados, son un tratamiento pensado para durar a largo plazo.
Como ya sabéis las carillas dentales han ganado popularidad en el mundo de la odontología estética. En mi experimentada opinión son un tratamiento muy eficiente para cambiar la sonrisa de un paciente. Las carillas dentales son láminas muy delgadas, hechas a medida de porcelana o resina compuesta (composite) que se adhieren a la parte frontal de los dientes para mejorar su apariencia.
Una de las principales razones por las que las personas optan por carillas es la mejora estética instantánea que proporcionan. Muchos pacientes informan un aumento significativo en su confianza después de obtener carillas. Comparado con otros procedimientos dentales como las coronas o los implantes, el proceso de colocación de carillas es relativamente mínimamente invasivo.
No todas las personas son candidatas ideales para las carillas. Aquellos con dientes sanos pero que presentan problemas estéticos como manchas, desgaste leve o desalineación moderada son los candidatos ideales. Sin embargo, las personas con enfermedades periodontales graves o con un desgaste dental excesivo pueden no ser aptas para este tratamiento.
Es importante que en la primera cita discutamos todas tus expectativas antes de iniciar del procedimiento. Realizamos pruebas estéticas para que todo quede acorde a tus gustos. Una vez colocadas, las carillas son permanentes y no pueden retirarse sin reemplazo.
En este artículo, te explicaremos las principales ventajas y desventajas de este tipo de carillas. Las carillas de porcelana son unas finas láminas de cerámica que se adhieren a la parte frontal de los dientes para mejorar su apariencia.
Recordemos que este tratamiento estético consiste en la colocación de láminas realizadas a medida para fijarse en la parte más externa de los dientes anteriores, proporcionando un aspecto natural y atractivo. El material de estas láminas puede ser de porcelana y composite, pero cuáles son las ventajas e inconvenientes de estas carillas dentales.
Beneficios de las carillas dentales
Si quieres recuperar una bonita sonrisa, tener unos dientes cuidados y sentirte mejor contigo mismo, las carillas dentales son una buena opción y muy frecuente en la estética dental. Estos son algunos de sus beneficios:
- Disimulan las imperfecciones: gracias a las carillas dentales se mejora la mala coloración de los dientes, posibles huecos interdentales, fisuras, el desgaste del esmalte o pequeñas fracturas.
- Es un tratamiento poco invasivo: Uno de los grandes beneficios de las carillas dentales es que es un tratamiento muy efectivo y poco invasivo ya que no supone una agresión para el diente. Su colocación es rápida, sencilla y completamente indolora y debajo de la carilla se mantiene la pieza dental sin alteración. Este tratamiento de estética dental tampoco supone ninguna agresión para la encía.
- Son muy duraderas: Los materiales con los que se fabrican las carillas dentales garantizan se mantengan en perfectas condiciones durante muchos años. Solo es importante llevar una buena higiene oral, evitar el tabaco (ya que puede teñirlas de un color amarillento) o eliminar hábitos como abrir cosas con los dientes.
- Resultado natural: Gracias a los materiales que se utilizan en las carillas dentales, el resultado es totalmente natural ya que se puede reproducir tanto la forma como el color de los dientes originales. De esta forma no se aprecia la diferencia entre las piezas que llevan carillas y las que no.
- Resultados rápidos y efectivos: A diferencia de otros tratamientos como la ortodoncia invisible o los blanqueamientos, las carillas ofrecen resultados inmediatos. En solo dos o tres visitas al dentista, puedes conseguir una sonrisa completamente renovada. Esto las convierte en una buena opción para quienes buscan un resultado rápido y visible. Esto significa que no solo blanquean, sino que también mejoran la forma y el tamaño de los dientes.
- Resistencia y durabilidad: En comparación con otros tratamientos, las carillas son mucho más duraderas. Mientras que un blanqueamiento debe repetirse cada pocos meses para mantener los resultados, las carillas pueden durar entre 10 y 15 años, o incluso más, con el cuidado adecuado. Esto las hace una opción más estable a largo plazo, sobre todo cuando se comparan con tratamientos más temporales. Al ser más resistentes al desgaste y a las manchas, las carillas son una solución duradera que puede mantenerse durante años.
- Personalización del color y la forma de los dientes: Una de las grandes ventajas de las carillas es que pueden ser personalizadas para que se adapten perfectamente a la forma, el color y el tamaño de tus dientes naturales. Esto te permite diseñar la sonrisa que quieras con la ayuda de tu dentista. Gracias a que se pueden personalizar, se pueden conseguir los resultados más naturales posibles. Esto significa que, independientemente del color de tus dientes o la forma de tu sonrisa, las carillas pueden adaptarse a lo que necesites con resultados indetectables.
- Poco mantenimiento y fácil cuidado: A diferencia de otros tratamientos estéticos, las carillas no requieren cuidados especiales. Con una buena higiene oral y visitas regulares al dentista, pueden mantenerse en perfecto estado durante muchos años. Además, no se manchan tan fácilmente como los dientes naturales, lo que ayuda a mantener una sonrisa brillante y uniforme sin mucho esfuerzo. Sin embargo, aunque no necesitan cuidados complicados, siempre es importante mantener una buena rutina de higiene dental.

CARILLAS DENTALES: LO QUE NADIE TE DICE ¿PORQUE NO DESGASTAR? ¿TE QUEDAS SIN DIENTES?
Ventajas y desventajas de cada tipo de carillas dentales
La elección de un tipo de carillas dentales u otras depende, en gran parte, del tipo de dentadura y la salud dental de cada persona. Los dos tipos más frecuentes de carillas dentales son las carillas de composite y las de cerámica. Cada una de ellas tiene sus ventajas y desventajas.
Carillas de composite
Las carillas de composite se fabrican por el odontólogo y se utiliza resina muy estética. Esta recomendado sobre todo para modificaciones leves como retoques o cuando solo es un diente.
Beneficios de las carillas de composite
- Las carillas de composite pueden reconstruirse fácilmente en la clínica dental.
- El tratamiento es más rápido ya que se puede realizar en una única visita al odontólogo.
- Su coste es menor que las carillas de porcelana ya que no se tienen que enviar al laboratorio para su elaboración.
- Se reparan fácilmente. Este tipo de carillas se pueden corregir o moldear de nuevo y restaurar en caso de fractura.
- No son agresivas ni invasivas. Se conserva el esmalte del diente y tienen un gran resultado estético.
Desventajas de las carillas de composite
- Las carillas de composite son menos duraderas que las de cerámica.
- Resisten menos la tinción. Este tipo de carillas con el paso del tiempo pierden brillo o pueden oscurecer, sobre todo en personas fumadoras o si se toma bastante café o vino.
- No se recomiendan para tratamientos grandes o en caso de bruxismo, o hábitos como morderse las uñas u objetos.
Carillas de porcelana o cerámica
Este tipo de carillas dentales son fabricadas en un laboratorio dental y posteriormente se colocan en los dientes mediante un adhesivo muy estable. En el momento en el que se unen a los dientes, se vuelven resistentes a las fracturas.

Ventajas de las carillas de porcelana o cerámica
- Estética dental muy elevada y resistencia a la tinción: El resultado estético de las carillas de porcelana es mayor que las de composite. La cerámica tiene un color natural y a largo plazo, ya que las carillas de cerámica no se tiñen con el paso del tiempo.
- Aptas para múltiples defectos: En este caso las carillas de porcelana se pueden utilizar para mejorar el alineamiento de los dientes, mejorar el color, para igualar el tamaño de los dientes, mejorar dientes desgastados o fracturados.
- Ayuda a fortalecer los dientes: Las carillas de cerámica ayudan a fortalecer dientes fracturados y restaurar su función normal. Además se pueden utilizar para restaurar dentición desgastada por el bruxismo.
- Tratamiento rápido y poco tiempo de recuperación: Las carillas de porcelana se fijan a los dientes y su tiempo de recuperación es casi inmediato.
- Mayor duración que las carillas de composite: Otra ventaja de este tipo de carillas es que tienen una duración o vida útil mayor que las de composite. Las carillas de porcelana, si se cuidan adecuadamente, pueden durar entre 15 y 20 años.
- Corrige múltiples defectos: Las carillas de porcelana pueden mejorar la forma, el tamaño y el alineamiento de los dientes, mejorar el color, cerrar diastemas, etc.
- Estética muy elevada: La cerámica empleada permite una transmisión óptima de la luz.
- Preparación dentaria muy conservadora: Es una técnica mínimamente invasiva que conserve la substancia dental.
- Fortalece los dientes y devuelve funcionalidad: Ayudan a fortalecer los dientes fracturados y restaurar la función normal. Se usan para corregir deficiencias oclusales o para restablecer una guía correcta durante movimientos masticatorios.
- Aumento de la autoestima: Una bonita sonrisa es muy importante en el día a día de cualquier persona.
- Poco tiempo de recuperación.
- Resistencia a la tinción: La porcelana resiste las manchas clásicas del café, el té, el tabaco y las bebidas no alcohólicas. La superficie glaseada no permite la incrustación de tinciones, al no presentar microporosidad. Este glaseado permite el mantenimiento del brillo superficial durante todo el tiempo de vida de las carillas.
- Biocompatibilidad local y general: De todos los materiales de recubrimiento dental que poseemos, la cerámica es junto con el oro, el que menos reacciones biológicas desencadena.
- Resistencia al ataque químico: Diferentes sustancias químicas, como ácidos (cítrico y otros), disolventes (alcohol), medicaciones (antibióticos) y cosméticos (colutorios) pueden producir alteraciones tanto en el esmalte dentario como en las carillas de composite.
Desventajas de las carillas de porcelana
- Coste elevado: Este tipo de carillas son más caras que las de composite. El costo de las carillas dentales puede ser relativamente elevado para ciertos pacientes, especialmente si se opta por las de porcelana.
- Mayor número de sesiones: Debido a que las carillas de porcelana se fabrican en el laboratorio dental, el número de visitas al odontólogo es mayor que con las carillas de composite.
- No permite retoques posteriores: Al contrario que las carillas de composite, las carillas de porcelana no pueden modificarse de color o forma una vez puestas.
- El coste elevado.
- Posible sensibilidad dental: Tras un tratamiento de colocación de carillas se puede experimentar sensibilidad dental, particularmente al comer o beber alimentos con cambios de temperatura.
- El número de sesiones: El número de sesiones es mayor porque las carillas se fabrican en laboratorio dental. Además, antes de colocar las carillas definitivas es necesario colocar las carillas provisionales.
- Tratamiento irreversible: El color o la forma no se pueden alterar una vez que han sido cementado en su lugar.
| Característica | Carillas de Composite | Carillas de Porcelana |
|---|---|---|
| Material | Resina compuesta | Cerámica |
| Duración | Menor | Mayor (10-15 años o más) |
| Costo | Más económico | Más elevado |
| Estética | Buena | Excelente (más natural) |
| Resistencia a manchas | Menor | Mayor |
| Reparación | Fácilmente reparables en clínica | No reparables, requieren reemplazo |
| Número de visitas | Menos visitas (una sesión) | Más visitas (fabricación en laboratorio) |
Para evitar los inconvenientes de las carillas, siempre recomendamos que las realice un profesional. Un dentista experimentado podrá evaluar tu situación y recomendarte el tipo de carillas que mejor se adapten a lo que quieras y necesites. Además, seguir las recomendaciones de cuidado es lo más importante para hacer que duren el mayor tiempo posible. Así, evitas problemas como la sensibilidad o el desgaste excesivo del esmalte.
En nuestra clínica dental nos adaptamos a tus necesidades y disponemos de diferentes tipos de carillas dentales para garantizar los mejores resultados. Aunque existen desventajas de las carillas dentales, este tratamiento ofrece muchas ventajas que las convierten en una de las soluciones estéticas más populares. Además, con un buen cuidado, pueden mantenerse en perfecto estado durante muchos años.