Una sonrisa radiante es una poderosa herramienta que puede impactar positivamente en la confianza y la autoestima de una persona. En la búsqueda de la perfección estética dental, las carillas dentales han emergido como una solución altamente efectiva y versátil. Esta guía te proporcionará toda la información necesaria sobre los tipos de carillas dentales y precios, para que tomes decisiones informadas y ajustadas a tu presupuesto y expectativas estéticas.

¿Qué son las Carillas Dentales?
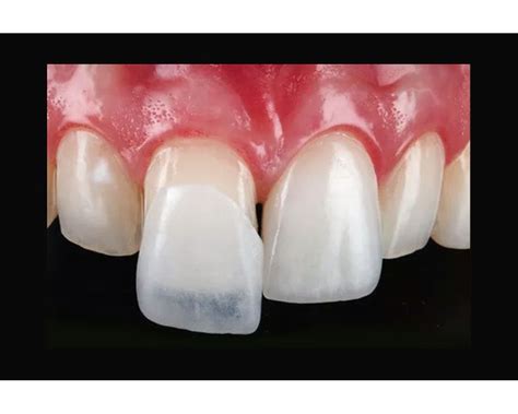
Las carillas dentales son unas finas láminas que se adhieren a la superficie frontal (visible) de los dientes con el objetivo de mejorar su apariencia. Estas láminas pueden estar hechas de diferentes materiales, como la porcelana, el composite o el disilicato de litio, y se diseñan a medida de cada paciente.
¿Para qué sirven las carillas dentales?
Las carillas dentales permiten solucionar las pequeñas imperfecciones que afectan al color, la forma, el tamaño y la posición de tus dientes. Las carillas dentales sirven para corregir pequeños defectos que afectan al color, el tamaño, la forma o la posición de los dientes. Entre las imperfecciones que pueden solucionar podemos destacar las siguientes:
- Dientes amarillos o con manchas
- Desgastes en el esmalte
- Diastemas (espacios entre los dientes)
- Leves malposiciones dentales
- Fisuras o fracturas
En cualquiera de los casos anteriores es necesario que el odontólogo realice una valoración del paciente para determinar si las alteraciones de sus dientes pueden ser corregidas con carillas.
Carillas Dentales | ¿Qué son y Cuánto cuestan? | Precios actuales
¿Cuándo es Recomendable Ponerse Carillas en los Dientes?
A continuación, te detallamos los casos concretos en los que puede resultar recomendable ponerse carillas para mejorar la apariencia de la sonrisa:
- Dientes amarillos o con manchas: las carillas se pueden utilizar en pacientes que presentan dientes amarillos, decolorados o con manchas debido a distintas circunstancias (alimentación, tabaco, envejecimiento, fluorosis, consumo de tetraciclinas…).
- Resistencia al blanqueamiento dental: las carillas son un excelente complemento al blanqueamiento. Cuando las tinciones son muy severas, el blanqueamiento puede no ser capaz de eliminarlas por completo. Por tanto, en muchos casos resulta recomendable ponerse carillas en los dientes después del blanqueamiento.
- Dientes desalineados: las carillas también pueden ofrecer un buen resultado estético a los pacientes que tienen ligeras malposiciones dentales, ya que en ocasiones permiten disimularlas. Eso sí, hay que tener en cuenta que para corregir la mayoría de las maloclusiones dentales es necesario recurrir a la ortodoncia.
- Dientes con formas o tamaños irregulares: las carillas se utilizan para corregir pequeños defectos que afectan a la forma de los dientes. Por ejemplo: unos caninos (colmillos) demasiado puntiagudos, un diente más pequeño de lo normal, etc.
- Diastemas: las carillas también están recomendadas para disimular los diastemas o espacios entre los dientes.
- Dientes desgastados: las carillas se pueden colocar en dientes que presentan desgastes en el esmalte. Esto puede tener su origen en una mordida inadecuada o en el bruxismo. Sin embargo, en estos casos suele ser necesario utilizar ortodoncia o colocar una férula de descarga previamente, dependiendo del caso. De no hacerlo, los desgastes volverán a aparecer.
- Dientes fisurados o fracturados: las carillas también pueden estar indicadas en determinados casos de fisuras o fracturas leves en los dientes.
Tipos de Carillas Dentales
Existen diferentes tipos de carillas dentales en función del material y la técnica empleados en su confección. Cada una de ellas tiene sus ventajas, y la elección dependerá del caso concreto y las necesidades del paciente.
Carillas de Composite
Estas carillas están confeccionadas con composite, un tipo de resina que cuenta con tres cualidades: se adhiere al diente, es moldeable y permite imitar una infinidad de tonos. Las principales ventajas de las carillas de composite son su proceso de colocación sencillo, que no requieren tallar los dientes y su precio. El composite se aplica directamente sobre el diente, normalmente en una única sesión. Son más económicas que las carillas de porcelana o disilicato de litio, pero también suelen durar menos tiempo.

Carillas Mínimamente Invasivas
Estas carillas están fabricadas con disilicato de litio, un material que se caracteriza por su alta calidad, resistencia y naturalidad. El principal beneficio de las carillas de mínima invasión es que su proceso de planificación, diseño y fabricación es guiado y 100% digital. Este protocolo disminuye el tiempo total de tratamiento, reduce el margen de error humano y permite que el tallado del esmalte sea mínimo (similar al grosor de un cabello). Por tanto, las carillas mínimamente invasivas requieren muy poca o ninguna preparación del diente antes de su colocación. Esto significa que el esmalte dental no se altera significativamente, lo que las convierte en una opción menos agresiva para el diente. Esto contrasta con el protocolo seguido en las tradicionales carillas de porcelana, que requieren un tallado mayor del diente.

Carillas de Porcelana sin Tallado
Las carillas de porcelana sin tallado son una forma de tratamiento estético dental que mejora la apariencia de los dientes sin alterar su anatomía. Consisten en láminas delgadas que se adhieren a la parte frontal de los dientes anteriores para mejorar su aspecto estético. La principal ventaja de las carillas sin tallado es que requieren mínima o ninguna preparación dental previa. Las carillas sin tallado son una opción popular y efectiva para mejorar la estética dental, ofreciendo resultados rápidos y mínimamente invasivos.
Materiales de las Carillas sin Tallado
Nuestras carillas sin tallado están hechas de porcelana CERINATE, que fue creada por DenMat y ha sido utilizada en las carillas Lumineers desde hace más de 35 años. Nuestras carillas son del mismo material que las Lumineers con la única diferencia que no son exactamente personalizadas a la forma de la pieza dental. La porcelana Cerinate es FELDESPATICA reforzada con nano cristales de leucita (los nano cristales de leucita dan la fuerza de la Alumina).
El Proceso de Colocación de Carillas sin Tallado
El proceso de colocación de estas carillas implica varios pasos cuidadosamente diseñados para garantizar un ajuste preciso y resultados estéticos satisfactorios.
- Consulta Personalizada: En nuestra clínica dental Implan-t, entendemos que cada paciente es único, por lo que comenzamos con una consulta personalizada. Aquí, nos tomamos el tiempo necesario para escuchar tus preocupaciones y deseos estéticos. Realizamos una evaluación completa de tu salud bucal para asegurarnos de que las carillas dentales sin tallado sean la opción adecuada para ti.
- Escaneo Digital: Utilizamos tecnología de vanguardia, como el escaneo digital, para obtener imágenes precisas de tus dientes. Esta tecnología nos permite crear un modelo tridimensional de tu sonrisa, lo que nos ayuda a diseñar carillas personalizadas que se ajusten perfectamente a la forma y tamaño de tus dientes.
- Preparación Mínima (Opcional): Una de las ventajas principales de las carillas sin tallado es que requieren una preparación mínima o incluso ninguna preparación de los dientes naturales. En algunos casos, podemos realizar un suave contorneado de la superficie dental para garantizar un ajuste perfecto de las carillas.
- Impresiones Detalladas: Para garantizar un ajuste preciso y una estética impecable, tomamos impresiones detalladas de tus dientes preparados. Utilizamos materiales de impresión de alta calidad para capturar cada detalle de tu sonrisa.
- Fabricación Personalizada: En el laboratorio dental, se emplean técnicas avanzadas y materiales de primera calidad para fabricar tus carillas dentales sin tallado personalizadas. Los técnicos trabajan meticulosamente para garantizar que cada carilla tenga el tamaño, la forma y el color exactos que se acordaron durante la consulta inicial.
- Colocación Final: Una vez que las carillas están listas, regresas a nuestra clínica para la colocación final. Comenzamos con una prueba inicial para verificar el ajuste y la estética de las carillas. Si todo está según lo planeado, procedemos a la colocación definitiva.
- Instrucciones Post-Colocación: Después de la colocación de las carillas, te proporcionamos instrucciones detalladas sobre cómo cuidarlas adecuadamente. Esto incluye pautas sobre técnicas de cepillado, uso de hilo dental y visitas regulares de seguimiento. Estamos comprometidos a ayudarte a mantener tus carillas en óptimas condiciones para que puedas disfrutar de una sonrisa hermosa y saludable a largo plazo.
Ventajas de las Carillas Dentales
Las principales ventajas de las carillas dentales son las siguientes:
- Versatilidad: Las carillas son muy versátiles ya que permiten corregir múltiples problemas que afectan al aspecto estético de los dientes.
- Mejora de la estética: Al corregir los pequeños defectos de los dientes, las carillas dentales aportan a la sonrisa un aspecto más saludable, juvenil, cuidado y armónico.
- Mínimamente invasivas: Este es uno de los grandes beneficios que ofrecen algunas carillas actuales. Por ejemplo, las de composite no necesitan tallado.
- Mantenimiento sencillo: En términos generales, podemos decir que las carillas dentales no requieren cuidados difíciles o especiales. Es necesario mantener una buena higiene oral, tener precauciones al comer alimentos duros y acudir al dentista entre una y dos veces al año. Además, en la mayoría de los casos será necesario usar una férula de descarga para dormir. Esto ayudará a proteger las carillas de los desgastes y contribuirá a que duren más tiempo.

Precios de las Carillas Dentales
¿Quieres saber cuánto cuestan las carillas dentales? El precio de las carillas puede variar en función del material, la cantidad de dientes tratados y la complejidad del caso. Además, contamos con planes de financiación para facilitar el acceso a los tratamientos.
| Número de Carillas | Pago Único | Financiación |
|---|---|---|
| 6 Carillas | 1.107€ | Ejemplo de financiación para un importe de 1.107.00 € en 36 meses. |
| 8 Carillas | 1.396€ | Ejemplo de financiación para un importe de 1.396,00€ en 48 meses. |
| 10 Carillas | 1.671€ | Ejemplo de financiación para un importe de 1.671,00€ en 60 meses. |
*Consulta los detalles de la financiación con tu clínica dental.
Opiniones de las Carillas Dentales
En Smysecret tenemos la suerte de contar con cientos de pacientes satisfechos que nos hacen llegar sus opiniones sobre nuestras carillas dentales. Echa un ojo a sus reseñas, seguro que te motivan a conseguir tu mejor sonrisa de la mano de nuestros dentistas.
Algunas opiniones de pacientes incluyen:
- Jesús Ramos: "He comenzado mi tratamiento de estética y carillas en esta clínica y estoy encantado. Los recomiendo mucho..."
- Nieves Castillo: "Me hice unas carillas y encantado con el tratamiento. El Dr Jorge Lainu es un gran profesional."
- Marta Pérez Hernández: "Estoy súper encantada con la clínica de Vicálvaro Tienen un equipo encantador, son súper geniales y familiares desde que entras... Me he realizado carillas y estoy feliz con mi nueva sonrisa."
¿En Qué Casos No Están Recomendadas las Carillas Dentales?
A pesar de que las carillas están recomendadas en una gran cantidad de situaciones, lo cierto es que también presentan alguna contraindicación. Las más relevantes son las siguientes:
- Mordida borde a borde: En este tipo de mordida, los dientes superiores chocan directamente contra los inferiores cuando la persona cierra la boca. Es decir, los dientes superiores no quedan por delante de los inferiores, como ocurre en una oclusión correcta. La mordida borde a borde, por tanto, provoca que las carillas se rompan y se caigan.
- Bruxismo que no recibe tratamiento: Algo parecido sucede con el hábito de apretar y/o rechinar los dientes. Los pacientes con bruxismo tienden a presentar grandes desgastes en sus piezas dentales, lo que las debilita y hace más propensas a fracturas.
- No contar con una adecuada higiene bucodental: La acumulación de sarro conlleva la aparición de inflamaciones en las encías o filtraciones.
Si aun crees que las carillas están contraindicadas o pueden resultar un problema para ti, lo más adecuado es que acudas a un dentista especializado en Estética Dental avanzada. De esta manera, podrás saber con certeza cuál es el tratamiento que más se adapta a tus necesidades.