En la era de las redes sociales y las videollamadas, tener una sonrisa atractiva se ha convertido en una prioridad para muchas personas. Si estás considerando este tratamiento, es fundamental que conozcas todos los detalles: desde los precios actuales hasta los factores que influyen en el coste, pasando por los diferentes tipos de carillas disponibles y qué esperar del procedimiento.
Las carillas dentales son una de las posibles soluciones para restaurar la estética de tu sonrisa, ya que están diseñadas para imitar la apariencia natural de tus dientes. ¿Has pensado, o te han recomendado ponértelas? Descubre qué son, los distintos tipos que existen y cómo se colocan.

¿Qué son las Carillas Dentales y para qué Sirven?
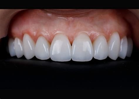
Las carillas dentales son finas láminas, generalmente de porcelana o resina compuesta, que se colocan sobre la superficie frontal de los dientes para mejorar su apariencia estética. Se fabrican a medida para adaptarse a cada paciente y se adhieren al esmalte del diente. Son una opción popular para quienes buscan hacer cambios superficiales en su sonrisa, como mejorar el tamaño, forma o color de sus dientes, ya que proporcionan una solución duradera y estética.
¿Cuándo es Recomendable Ponerse Carillas?
Algunos casos comunes en los que es recomendable el uso de carillas dentales son:
- Desgaste dental: principalmente para dientes que han sufrido desgaste por bruxismo.
- Daño o roturas: para restaurar la apariencia de dientes que están astillados, fracturados o tienen imperfecciones menores.
- Desalineación leve y pequeños espacios: como alternativa a la ortodoncia en casos de desalineaciones leves o para cerrar pequeños huecos entre los dientes.
- Manchas o decoloración: ideal para dientes que han cambiado de color o tienen machas profundas y no responden bien a técnicas de blanqueamiento dental.
- Mejora estética general: para aquellos que desean tener una sonrisa más uniforme y atractiva.
En todos estos casos, es fundamental la evaluación por parte de un profesional dental, quien podrá determinar si las carillas son la opción más adecuada según las necesidades y condiciones específicas del paciente.
Tipos de Carillas Dentales
Existen diferentes tipos de carillas, cada una diseñada para satisfacer necesidades estéticas específicas y adaptarse a diferentes condiciones dentales. Las más destacadas son:
Carillas de Porcelana
Esta tipología es la opción más popular debido a su aspecto natural y a su resistencia a las manchas. Aunque suelen tener un precio superior al de otras alternativas, destacan por su durabilidad y habilidad para corregir defectos como dientes astillados o desgastados. Este tipo de carillas dentales puede requerir múltiples visitas al dentista para su colocación, debido a que previamente es posible que haya que realizar un tallado de los dientes.
La vida útil de las carillas de porcelana es de entre 10 a 15 años.
Carillas de Resina Compuesta o Composite
Las carillas de composite son una opción efectiva y más económica que no compromete demasiado las piezas dentales. Están hechas de un material de resina compuesta que se adapta al color natural del diente. Son ideales para corregir pequeñas imperfecciones, como dientes ligeramente torcidos o manchados. A diferencia de las carillas de porcelana, las de composite pueden aplicarse en una sola visita al dentista, ofreciendo una solución más rápida y menos invasiva, aunque requieren más mantenimiento.
La vida útil de las carillas dentales de composite es de entre 5 a 7 años.
Carillas de Zirconio
Están fabricadas con óxido de zirconio, un material cerámico resistente y no poroso, que imita perfectamente el esmalte natural del diente y resiste la decoloración y las manchas. Son ideales para quienes buscan resultados óptimos sin comprometer la funcionalidad de la sonrisa.
La vida útil de las carillas de zirconio es de entre 10 y 15 años.
¿Cómo se Colocan las Carillas Dentales?
El proceso de colocación de las carillas comienza con una consulta inicial donde el dentista evalúa el caso del paciente. Si se considera apto, los siguientes pasos suelen ser:
- Preparación del diente: para algunas carillas de porcelana esto puede incluir el tallado de una pequeña cantidad del diente para asegurar un ajuste adecuado.
- Escaneo intraoral 3D o toma de impresiones: este escáner realiza una captura detallada y rápida de los dientes del paciente, creando un modelo exacto que se envía a un laboratorio para la fabricación de las carillas.
- Aplicación: una vez que las carillas están listas, se adhieren a los dientes utilizando un adhesivo especial y se tratan con luz para solidificar el pegamento.

Carillas Dentales: Ventajas
Las ventajas de las carillas dentales son numerosas para aquellos que desean mejorar su sonrisa. Algunas son:
- Mejora significativa en la apariencia de los dientes.
- Las carillas, especialmente las de porcelana y zirconio, destacan por su resistencia a las manchas y durabilidad, requiriendo poco mantenimiento más allá de una buena higiene bucal.
- Tratamiento de estética dental poco invasivo: su colocación es realmente sencilla y generalmente indolora.
Carillas Dentales: Desventajas
- Precio relativamente alto, especialmente para las de porcelana y zirconio.
- Proceso irreversible en algunos casos de carillas de porcelana que requieren tallado previo de los dientes.
- No son una solución para problemas dentales más complejos como dientes muy desalineados o problemas de maloclusión.
¿Conoces los TIPOS de CARILLAS DENTALES? ✨ El mejor tratamiento ESTÉTICO para tu sonrisa👄
¿Cuánto Cuestan las Carillas Dentales?
Los precios de las carillas dentales dependen principalmente del material del que están hechas, el caso específico del paciente o la clínica dental. Algunos valores de referencia, teniendo en cuenta el precio de una carilla por diente, son:
- Carillas de porcelana: 400 - 1.000€
- Carillas composite: 150 - 400€
- Carillas zirconio: 500 - 1.000€
Es importante tener en cuenta que el seguro dental no suele cubrir el coste de las carillas dentales.
En España, una corona de zirconio suele costar aproximadamente entre 300 y 600 euros por diente. En mi experiencia, la mayoría de pacientes entran dentro de este rango por corona de zirconio en clínicas privadas. Este rango depende de muchos factores (materiales, técnicas, ciudad, etc., que ahora detallaremos).
Quiero destacar que este precio suele incluir todo el proceso de la corona: prepararla, tomar medidas, la fabricación en laboratorio y la cementación final, incluso la corona provisional de resina que se coloca mientras se hace la definitiva.
El precio de los tratamientos odontológicos puede cambiar según la ciudad o región. En grandes ciudades como Madrid o Barcelona, los honorarios suelen ser un poco más altos que en localidades pequeñas, debido a costes operativos mayores. También influye el prestigio y experiencia del profesional o la clínica: un especialista muy reconocido o una clínica de mucha trayectoria a veces tienen tarifas algo más elevadas (aunque a cambio ofrecen gran calidad, tecnología puntera y garantías).
¿Tienes un seguro dental privado? Esto puede marcar la diferencia en el precio final que pagues. Algunos seguros dentales en España cubren parcialmente el coste de las coronas o tienen tarifas especiales concertadas con clínicas asociadas. Por ejemplo, he visto aseguradoras donde el paciente paga entre 300 y 350 € por una corona de zirconio si va a un dentista de su cuadro, en lugar de los ~450 € tarifa estándar sin seguro. Cada póliza es un mundo: conviene que consultes a tu aseguradora si tienes este beneficio.
En conclusión, el precio de tu corona de zirconio dependerá de tu caso particular. Mi consejo es que acudas a una consulta (muchas veces la primera cita valorativa es gratuita o de bajo costo) y pidas un presupuesto personalizado. Así verás exactamente qué incluye, si necesitas tratamientos adicionales, y podrás valorar calidad/precio.
Factores que Influyen en el Precio
¿Por qué esa horquilla de 300 a 600 €? ¿De dónde sale la diferencia?
- Complejidad del caso y tratamientos previos: Antes de colocar la corona, a veces el diente requiere otros procedimientos. Si el diente está muy destruido, puede que necesite una reconstrucción con perno o un refuerzo interno; si el nervio está dañado, habrá que hacer una endodoncia previa; si directamente no hay diente y vamos a colocar un implante, eso es un procedimiento aparte. Cada paso adicional (cirugías, endodoncia, postes, etc.) tiene su coste independiente de la corona en sí. Por ejemplo, una corona de zirconio sobre un implante dental suele ser más cara que sobre un diente natural, porque hay que añadir el precio del implante en sí y del componente que une implante y corona (pilar protésico).
- Material exacto y tecnología utilizada: Dentro de las coronas de zirconio, existen variaciones. Puede ser zirconio monolítico (tallado de un bloque sólido, muy resistente) o zirconio con recubrimiento de porcelana encima (para dar un extra de estética en frontales). También hay distintas marcas y calidades de zirconio dental. Esto puede hacer variar un poco el precio de laboratorio. Asimismo, si la clínica cuenta con tecnología CAD/CAM para diseñar y fresar la corona en el día, puede repercutir en el coste (aunque a veces se compensa porque ahorras visitas).
Alternativas a las Carillas Dentales
Dependiendo del resultado que estemos buscando, o el tratamiento que necesitemos, existen algunas alternativas a las carillas:
- Empaste dental: útil para corregir imperfecciones. Es menos invasivo y más económico que las carillas.
- Coronas dentales: cubren el diente entero y se utilizan en casos de caries severas o daño considerable.
- Blanqueamiento dental: puede ser una solución efectiva para mejorar el color de los dientes sin intervenciones invasivas.
- Tratamientos de ortodoncia: incluye ortodoncia invisible o brackets para corregir casos estéticos más complejos, como apiñamientos dentales.
Consideraciones Finales
Después de comprender toda la información sobre precios, tipos de carillas, procesos y consideraciones, es fundamental elegir la clínica dental adecuada para tu tratamiento.
- Diseño Digital de Sonrisa (DSD): Utilizamos software especializado que permite visualizar tu nueva sonrisa antes de iniciar el tratamiento.
- Escáneres intraorales 3D: Olvidate de las incómodas impresiones tradicionales con pasta.
Nuestro equipo está formado por odontólogos con formación específica y actualizada en estética dental.
- Experiencia demostrable: Contamos con un extenso portfolio de casos reales que puedes consultar durante tu primera visita.
- Enfoque personalizado: Entendemos que cada sonrisa es única.