Impulsada por la creciente necesidad de soluciones estéticas mínimamente invasivas para la mejora de la sonrisa, la Odontología estética sigue avanzando y trae con ella nuevas fórmulas que revolucionan el mercado. Desde DVD Dental, tu proveedor líder en material odontológico, queremos presentarte una solución de lo más versátil que se ha situado ya entre las opciones favoritas por los dentistas para tratamientos estéticos con grandes resultados: las carillas directas de composite dental.
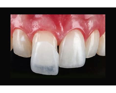
Las carillas dentales de composite directas son capas finas y cuidadosamente aplicadas de resina compuesta, diseñadas para adherirse directamente sobre la superficie frontal del diente. Una técnica que permite corregir problemas estéticos de muy diversa índole: desde fracturas menores y pigmentaciones resistentes al blanqueamiento, hasta pequeñas irregularidades en la alineación dental y el cierre de espacios entre dientes (diastemas).
Las carillas directas de composite están especialmente recomendadas para solucionar pigmentaciones dentales severas que no responden al blanqueamiento tradicional, restauraciones antiguas deterioradas o defectuosas y fracturas dentales menores. También son ideales para corregir discretas desviaciones dentales o espacios no deseados entre dientes.

¿Por Qué Son Tan Populares las Carillas Directas de Composite?
Si este procedimiento es tan popular en el ámbito de la Odontología estética es por algo. La técnica estratificada directa -la cual consiste en aplicar cuidadosamente capas sucesivas de composite, cada una con diferentes grados de translucidez y color- es fundamental para obtener resultados óptimos en la aplicación de carillas de composite.
El Desafío de la Reconstrucción Anatómica
Uno de los desafíos habituales en el tratamiento con carillas directas es lograr una reconstrucción anatómica precisa de las áreas proximales. Conscientes de esta dificultad técnica, en DVD Dental hemos seleccionado una herramienta imprescindible para toda clínica dental que quiere llevar la Odontología estética al siguiente nivel: la matriz Unica Proximal de Polydentia. Gracias a su diseño autoestabilizador que prescinde del uso habitual de cuñas adicionales, esta innovadora matriz facilita considerablemente la reconstrucción simultánea de las paredes mesiales y distales.

Procedimiento Paso a Paso
El primer paso e imprescindible para realizar las carillas de composite de tipo directo es hacer una historia clínica completa del paciente junto a un examen y unas fotografías clínicas para poder estudiar el caso. Una vez realizado todo esto, el siguiente paso es hacer impresiones las cuales se vacían y se obtiene el modelo. A continuación, se realiza una llave de silicona sobre el encerado diagnóstico.
Planificación y Preparación:
El tratamiento comienza con una planificación estética detallada basada en la información obtenida de las fotografías clínicas, modelos y estudio radiológico si es preciso. Desde el mock-up inicial el paciente puede previsualizar el resultado final, y si fuera el caso preparar la guía de trabajo. Con una limpieza profunda y la remoción de restauraciones previas deterioradas se finaliza la fase de preparación, antes de proceder al acondicionamiento dental.

Acondicionamiento Dental y Matriz Proximal:
En esta fase, se aplican técnicas adhesivas específicas para asegurar la fijación óptima del composite. Posteriormente se coloca de manera estratégica la matriz Unica Proximal para estabilizar y facilitar la reconstrucción simultánea de las paredes proximales.
Estratificación del Composite:
Para la estratificación del composite, se aplican cuidadosamente las capas con atención a los tonos y al grado de translucidez para conseguir que el efecto sea lo más natural posible.
En la visita sucesiva se realiza la toma el color de los dientes, tras hacer una higiene profesional y un pulido para eliminar el posible cálculo presente o tinciones que puedan existir en la superficie dental. Después de tomar el color, se empieza la preparación de los dientes para las carillas de composite, la cual puede ser con tallado o simplemente con un pulido para igualar las superficies donde irán las carillas de composite. La carilla de composite se procede con el grabado del diente mediante ácido ortofosfórico, un lavado y secado del diente y la aplicación de un adhesivo específico para las carillas de composite el cual garantiza una adhesión ideal. Para continuar, se procede a la inserción de la resina compuesta. Habitualmente se estratifica el material con distintas opacidades para proporcional el color perfecto del diente.
Finalización:
Después de la colocación de todas las cofias. El pulido se inició con el retiro de los excesos groseros con una fresa diamantada de grano fino para pulir resina y, luego, con fresa T9 de filos, se procedió a pulir la totalidad de la superficie. Posteriormente a esto, con copas siliconadas del sistema astropol de vivadent ivoclar se procedió a realizar el pulido y brillado final.
Tipos de Carillas y Métodos de Colocación:
- Carillas de Porcelana: Hechas de cerámica resistente, requieren dos visitas al dentista para su colocación y ajuste.
- Carillas Inyectadas de Composite: Permiten una adaptación rápida y estética excelente mediante moldes en 3D.
- Carillas de Composite Directas: Se colocan directamente sobre el diente, ofreciendo una solución económica y rápida.

Beneficios Funcionales y Estéticos
Además de su impacto visual, las carillas también ofrecen beneficios funcionales, como la reducción de la sensibilidad dental. Las carillas dentales son una excelente opción para mejorar la estética de la sonrisa, pero no deben considerarse un tratamiento para problemas de salud dental. Si existen condiciones subyacentes, estas deben ser tratadas previamente por un especialista en odontología.
Durabilidad y Mantenimiento
La excelencia de los resultados inmediatos en el tratamiento con carillas dentales directas de composite suele acompañarse, además, de una gran durabilidad en los resultados. Eso sí, la colaboración del paciente es fundamental en este punto. Tienen menor durabilidad en comparación con las de cerámica y pueden requerir reemplazos más frecuentes.
Técnicas de Estratificación para Resultados Naturales
- Opción 1: Un solo color, técnica simple, rápida y económica.
- Opción 2: Dos colores, restauración sofisticada con gradiente de color y traslucidez.
- Opción 3: Técnica de estratificación compleja para máxima naturalidad en dientes muy caracterizados.
La evolución tecnológica de los materiales dentales ha permitido el desarrollo de composites cuyas propiedades estéticas y de resistencia hacen posible realizar carillas dentales con resultados de gran similitud a la estructura dental natural a un costo menos elevado que las restauraciones más complejas, convirtiéndose en una alternativa más que aceptable.
Carillas Directas vs. Indirectas
La técnica directa es más rápida y se realiza completamente en la boca del paciente. El dentista moldea la carilla directamente sobre el diente afectado utilizando el composite, que se aplica en capas finas. La técnica indirecta implica la creación de la carilla fuera de la boca del paciente, generalmente en un laboratorio dental. Una vez que la carilla está lista, se cementa sobre el diente del paciente. Esta técnica, aunque requiere más tiempo, es útil cuando se necesita una mayor precisión o cuando las carillas deben cubrir varios dientes o corregir problemas más complejos.
Indicaciones de las Carillas Directas de Composite
- Clase I, no-prep o prep-less: El esmalte remanente es del 95% al 100%.
- Clase II, prep-less modificada: Mínimamente invasiva, con 80 a 95% de esmalte remanente.
- Case IV, carilla completa: Suele ser de porcelana.
Cuando el daño o desgaste de un diente excede ciertos límites, es recomendable considerar una corona en lugar de una carilla. Sin embargo, siempre que sea posible, optar por una carilla es la mejor opción, ya que es un tratamiento mucho más conservador. Mientras que una corona implica eliminar una cantidad significativa de tejido dental, una carilla solo requiere la eliminación de aproximadamente un cuarto o, como máximo, la mitad de ese tejido.