Si estás considerando mejorar tu sonrisa, es probable que hayas escuchado sobre las carillas dentales. Estas son láminas delgadas que se adhieren a la superficie frontal de los dientes para mejorar su apariencia. Existen diferentes tipos de carillas, siendo las de porcelana y las de disilicato de litio las más comunes.
Las carillas de porcelana son las más conocidas y se fabrican en un laboratorio dental para que se ajusten perfectamente a tus dientes. Son finas láminas de cerámica creadas en un laboratorio dental especializado.
Por otro lado, las carillas de disilicato de litio son láminas ultrafinas hechas de una combinación de cerámica y vidrio. Este material es más nuevo en el mundo de las carillas, destacando por su estética y durabilidad.
¿Conoces los TIPOS de CARILLAS DENTALES? ✨ El mejor tratamiento ESTÉTICO para tu sonrisa👄
¿Qué es el Disilicato de Litio?
El disilicato de litio es un material compuesto de cerámica y vidrio utilizado en la fabricación de prótesis dentales de una sola pieza. Se utiliza para puentes de hasta tres piezas, puentes premolares e incluso posteriores.
Este material ofrece una excelente calidad estética, gran biocompatibilidad (no causa alergias) y un ajuste excelente. La resistencia del disilicato es hasta tres veces superior a la de otros materiales cerámicos y permite adaptar su color a cualquier tonalidad.
Además, mantiene una buena adhesión al diente en carillas finas y coronas, ya sea con adhesivo o cementación, y tiene una buena relación con la encía.

Ventajas de las Carillas de Disilicato de Litio
Las carillas dentales de disilicato de litio representan una opción avanzada en odontología estética, diseñadas para transformar la sonrisa de forma natural y segura. Este tipo de carillas se utiliza para corregir imperfecciones como dientes fracturados, manchas, malposiciones leves o desgastes.
Aquí te mostramos algunas de sus principales ventajas:
- Estética Superior: Gracias a su translucidez y coloración personalizada, se integran perfectamente con los dientes naturales, logrando un efecto visual casi imperceptible.
- Alta Resistencia: Una de las principales razones por las que las carillas de disilicato son tan valoradas es su combinación única de estética y resistencia.
- Adaptación Marginal: Estas carillas también tienen una excelente adaptación marginal, lo que reduce el riesgo de filtraciones y caries secundarias.
- Durabilidad: Las carillas de disilicato de litio son conocidas por su durabilidad y resistencia a largo plazo.
Además, su translucidez permite una apariencia muy natural, similar al esmalte dental, mejorando la estética de la sonrisa.
Desventajas de las Carillas de Disilicato de Litio
A pesar de sus ventajas, estas carillas presentan algunos inconvenientes:
- Costo: El disilicato de litio destaca especialmente en estética y durabilidad, aunque con un coste más elevado.
- Complejidad del Proceso: El proceso de fabricación y colocación es complejo y caro, limitando su accesibilidad para algunos pacientes.
Carillas de Porcelana vs. Carillas de Disilicato de Litio
Las carillas de porcelana también ofrecen buenos resultados estéticos, pero requieren más desgaste del diente. A continuación, una comparativa más detallada:
| Característica | Carillas de Porcelana | Carillas de Disilicato de Litio |
|---|---|---|
| Estética | Buenos resultados | Excelente, alta translucidez |
| Resistencia | Buena | Muy alta |
| Desgaste del diente | Mayor | Menor |
| Costo | Menor | Mayor |
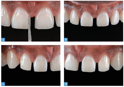
Proceso de Fabricación y Colocación
Las carillas de disilicato de litio se fabrican a través de un proceso dental personalizado:
- Consulta y planificación: Se programa una consulta con un dentista especializado en estética dental.
- Preparación: El dentista preparará los dientes una vez que se haya determinado que estas carillas son la opción adecuada para el paciente.
- Toma de impresiones: Se realizarán impresiones precisas de los dientes preparados.
- Diseño y fabricación: Las impresiones se envían a un laboratorio dental donde se hará el diseño y fabricación personalizada.
- Prueba y ajuste: Se lleva a cabo una cita para probar las carillas. El dentista las colocará temporalmente en los dientes para verificar el ajuste, la forma, el color y la apariencia estética.
- Colocación definitiva: Después de la prueba, las carillas se cementarán permanentemente en la superficie frontal de los dientes.
- Finalización y seguimiento: El dentista realizará los últimos ajustes y pulidos para asegurarse de la correcta colocación.

Consideraciones Adicionales
Zirconio vs. Disilicato de Litio
Inicialmente, el disilicato de litio era superior a los primeros zirconios debido a su translucidez y luminiscencia. Sin embargo, los zirconios modernos han evolucionado. En 2009 se lanzó Bruxzir, el primer zirconio estético para coronas a volumen total, ofreciendo una estética superior y gran dureza (1480 MPa).
El zirconio es muy recomendable para posteriores, debido a su resistencia a la flexión (al menos 1000 Mega Pascales) y porque permite un tallado menos agresivo al tener un grosor mínimo de 0,3mm. El disilicato de litio sigue siendo superior estéticamente para el grupo anterior.
Grosor Mínimo
- Disilicato de Litio:
- Corona anterior: 0,6 mm
- Posterior o puente: 0,8mm
- Zirconio:
- Grosor de la pared mínimo: 0,3 mm y entre 1,0 mm y 1,5 mm
Cuidados Posteriores
La durabilidad de las carillas de porcelana depende, fundamentalmente, de los cuidados que siga el paciente. Este tipo de carillas pueden durar entre uno y diez años. Es esencial que el paciente tome una serie de medidas para prevenir la fractura de las carillas. Por un lado, las personas bruxistas deben llevar una férula de descarga por las noches.
A pesar de su resistencia, es esencial que el paciente tome una serie de medidas para prevenir la fractura de las carillas. Por un lado, las personas bruxistas deben llevar una férula de descarga por las noches.
Conclusión
Tanto las carillas de porcelana como las de disilicato de litio son soluciones estéticas altamente efectivas para transformar tu sonrisa. La elección entre una y otra dependerá de tus necesidades estéticas, presupuesto y las recomendaciones de tu dentista.
tags: #carillas #disilicato #de #litio #opiniones