Cada vez más personas en Barcelona y en todo el mundo buscan opciones de tratamientos de estética dental para lograr una sonrisa bonita. Entre estas opciones, las carillas de composite destacan como una alternativa popular y accesible. Estas láminas dentales delgadas se personalizan para cada paciente y están hechas de un material compuesto de resina de alta calidad. Cuando hablamos de «composite» nos referimos a la mezcla de resina de plástico y partículas de cerámica que se utiliza en su fabricación.
El propósito principal de las carillas de composite es mejorar la estética dental. En este artículo, exploraremos en detalle qué son las carillas dentales de composite, para qué sirven, los diferentes tipos disponibles, los cuidados necesarios, los precios y las ventajas y desventajas de esta opción estética.
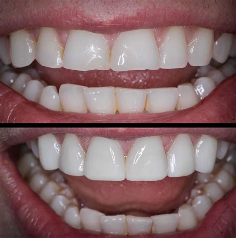
Carillas Dentales Vs Diseño de Sonrisa | Lo que tienes que saber antes de decidir
¿Qué son las carillas de composite o resina?
Las carillas de composite, también conocidas como carillas de resina, son finas láminas hechas de una mezcla de resinas acrílicas y partículas de relleno de cerámica. A diferencia de otros tipos de carillas, las carillas de composite inyectado se colocan directamente sobre el diente, de manera poco invasiva.

¿Para qué sirven las carillas de composite?
Las carillas de composite inyectado sirven como una solución estética para cubrir pequeñas imperfecciones dentales, como dientes desgastados, dientes ligeramente torcidos o para cerrar pequeños diastemas. También se utilizan para mejorar la apariencia de dientes manchados o dientes con leve apiñamiento.
Tipos de carillas de resina
Existen distintos tipos de carillas de resina según su composición y propiedades. A continuación veremos las más comunes:
- Carillas de resinas compuestas condensables: Estas carillas se caracterizan por su consistencia densa y fácil manipulación. Son ideales para esculpir detalles precisos y ofrecen una resistencia duradera, pero los resultados estéticos no son los mejores, por lo que no se recomienda su uso en piezas dentales anteriores.
- Carillas de resinas compuestas híbridas: Las carillas de resinas compuestas híbridas combinan características de diferentes tipos de resinas, ofreciendo una mezcla equilibrada de resistencia y estética gracias a su composición química, formada por partículas macros y micros. Son versátiles y adecuadas para una variedad de casos estéticos.
- Carillas de resina fluida: Las carillas de resina fluida se presentan en estado líquido, y por tanto, más maleables. Las carillas de resina fluida están formadas por composite de micropartículas. Estas carillas, más fluidas en su composición, son ideales para correcciones más sutiles y para pacientes que buscan una solución menos invasiva, aunque son más frágiles que las carillas de resina de otros tipos.
- Carillas de resinas compuestas microhíbridas: Con partículas de relleno más pequeñas, este tipo de carillas de composite ofrece una apariencia más natural y se adaptan mejor a la translucidez de los dientes naturales. Son una de las últimas novedades en la odontología restaurativa y son resistentes y fáciles de pulir, características difíciles de encontrar en un mismo material.
- Carillas con resinas nanotecnológicas: Este último tipo de carillas de resina utilizan una nanotecnología para partículas de relleno extremadamente pequeñas, lo que mejora la estética y la durabilidad de las carillas, siendo muy resistentes y con una apariencia excelente.
¿Cómo se ponen las carillas de resina o composite?
El procedimiento de colocación depende del tipo de carillas que vaya a llevar el paciente (porcelana, composite, disilicato de litio…).
- Consulta inicial: evaluación. Para valorar qué carillas son más convenientes es necesario conocer la salud oral del paciente.
- Colocación: las carillas de composite se modelan directamente sobre el diente o los dientes del paciente. Para colocarlas, se deben aislar el resto de dientes para evitar contaminaciones.
- Ajustes y pulido: acabado suave y brillante.
Así de fácil y rápido es como se ponen las carillas de composite.
Cómo cuidar y limpiar las carillas de composite
La duración de las carillas dentales está determinada por diversos factores, como los cuidados que siga el paciente en cuanto a higiene oral, alimentación, tabaco, hábitos, revisiones con el dentista, etc. Adicionalmente, la durabilidad del tratamiento también depende del material con el que están fabricadas las carillas y de la técnica de colocación (directa o indirecta).
- Higiene oral rigurosa: cepillado regular, uso de hilo dental y enjuague bucal son esenciales para mantener la salud oral y la durabilidad de las carillas.
- Evitar alimentos que puedan teñir los dientes: vino, el café o el té...
- Evitar malos hábitos: fumar.
- Revisiones periódicas de mantenimiento
- Evitar hacer fuerza con los dientes

Carillas de composite: ventajas y desventajas
Las carillas de composite presentan más beneficios que inconvenientes, pero queremos comentar tanto las ventajas como las desventajas para que puedas tomar una decisión informada.
Ventajas de las carillas de composite
Las carillas de composite ofrecen una serie de ventajas que las convierten en una opción atractiva para quienes buscan mejorar su sonrisa:
- Aspecto natural: El composite se puede moldear y colorear para que coincida perfectamente con el tono y la forma de los dientes circundantes. El composite es un material que se mimetiza muy bien con el color original del diente.
- Corrección de imperfecciones: Son ideales para corregir dientes descoloridos, manchas, pequeñas anomalías de forma, espacios entre los dientes y otros problemas estéticos.
- Durabilidad y resistencia del composite: A pesar de ser más delgadas en comparación con otros tipos de carillas, las carillas de composite son sorprendentemente duraderas y resistentes. El composite utilizado en su fabricación es robusto y puede soportar el desgaste diario sin problemas.
- Proceso de aplicación menos invasivo que otras opciones: En comparación con otras alternativas, como las carillas de porcelana, el proceso de aplicación de las carillas de composite es menos invasivo. Requiere menos eliminación de esmalte dental natural, lo que significa que se conserva más de la estructura dental original. No requieren tallado del diente.
- Opción más económica: Una de las ventajas más evidentes de las carillas de composite es su costo relativamente menor en comparación con las carillas de porcelana u otros procedimientos estéticos más complejos. El precio: las carillas de composite suelen tener un precio más asequible que los otros tipos de carillas como las de porcelana.
- Personalización: El paciente puede elegir distintas variables de las carillas como la forma e incluso el color.
- Rapidez: Como se ha mencionado anteriormente, el tratamiento de estética dental con carillas de composite es muy rápido. Al no tener que realizarse un tratamiento previo en el laboratorio, las carillas se pueden poner en una sola sesión. Tratamiento en una sola sesión.
- Tratamiento reversible: Las carillas dentales pueden aplicarse y, posteriormente, ser quitadas.
- Reparación fácil: pueden repararse fácilmente sin tener que reemplazar todo. Se reparan fácilmente. Este tipo de carillas se pueden corregir o moldear de nuevo y restaurar en caso de fractura.
Carillas de composite: inconvenientes
A pesar de sus ventajas, las carillas de composite también presentan ciertos inconvenientes:
- Posibles limitaciones en términos de durabilidad: A pesar de su durabilidad y resistencia, las carillas de composite pueden tener limitaciones en cuanto a su longevidad en comparación con algunas alternativas. Menor durabilidad en comparación con otras opciones.
- Cambio de color con el tiempo y susceptibilidad a manchas: Aunque las carillas de composite son resistentes a las manchas y la decoloración en cierta medida, con el tiempo pueden experimentar un cambio de color leve. Esto puede deberse a la exposición a alimentos y bebidas con pigmentos fuertes, como café, té o vino tinto. Susceptibles a manchas. El composite es un material muy poroso, que puede mancharse con el paso del tiempo y el consumo de alimentos y bebidas con coloración intensa (vino tinto, café, té, espinacas, frutos rojos, salsas de tomate o soja, curry…).
- Mayor propensión a astillarse o romperse en comparación con porcelana: Aunque el composite utilizado en las carillas es resistente, es importante destacar que son más propensas a astillarse o romperse en comparación con las carillas de porcelana, que son más duras y menos porosas. Las actividades como morder objetos duros o abrir envases con los dientes pueden aumentar el riesgo de daños en las carillas de composite.
- Necesidad de mantenimiento y reemplazo eventual: A medida que pasa el tiempo, es probable que las carillas de composite requieran mantenimiento y eventual reemplazo. Esto se debe a su exposición continua a la tensión diaria y al desgaste normal. Además, si experimentas algún daño o cambio significativo en tu salud dental, es posible que necesites reemplazar las carillas para mantener una apariencia estética óptima. Mayor mantenimiento. Al ser menos resistentes y más susceptibles a las tinciones, las carillas de composite suelen requerir retoques o sustituciones.
- Posible desgaste con el tiempo.
¿Cuánto duran las carillas de composite?
La duración de las carillas de composite varía, pero en condiciones adecuadas y con los cuidados requeridos, pueden durar de 5 a 10 años. Hay que tener en cuenta que esta duración puede variar en función del cuidado y mantenimiento que se haga de las carillas de composite.
Carillas de composite: precio
El precio de las carillas de composite o de resina, como hemos adelantado en la lista de ventajas, es más reducido que el de otro tipo de carillas. Sin embargo, la suma total del tratamiento dependerá de varios factores. Aproximadamente sería carillas de resina: el precio en España puede oscilar entre los 150 € y los 400 € por diente.
El precio de las carillas de composite puede variar en función de factores como la cantidad de carillas y la complejidad del caso. En general, estas carillas son más económicas que otras, lo que las convierte en la opción más accesible para muchas personas.
| Número de carillas | Precio aproximado |
|---|---|
| 6 carillas | 1.107€ |
| 8 carillas | 1.396€ |
| 10 carillas | 1.671€ |
Preguntas frecuentes sobre las carillas de composite
¿Son las carillas de composite adecuadas para mí?
En general, las carillas de composite son adecuadas para cualquier persona que desea mejorar pequeños defectos estéticos en sus dientes. Sin embargo, si te interesa este tratamiento, es importante una evaluación profesional para asegurar que se adapta a tus necesidades y expectativas.
¿Cuántas carillas se pueden poner?
Las carillas de composite se pueden colocar en todos los dientes. Sin embargo, lo habitual es utilizarlas solamente para las piezas dentales que son más visibles al sonreír. Por este motivo, las carillas se ponen en lo que se denomina frente estético de la sonrisa (tanto en la parte superior como inferior de la boca): incisivos centrales, incisivos laterales, caninos (colmillos) y premolares (en función de la amplitud de la sonrisa de cada persona). En muchos casos, basta con cubrir de cuatro a seis dientes frontales para lograr una sonrisa uniforme.
¿Hay que limar los dientes?
A diferencia de otros tipos de carillas, las de composite generalmente no requieren limado o solo un pulido leve de la superficie dental, lo que las hace menos invasivas. No obstante, la necesidad de realizar tallado depende del caso de cada paciente. En algunas ocasiones, para colocar las carillas de composite estratificadas, en función de la posición del diente, es necesario tallar.
¿Las carillas de composite se rompen con facilidad?
Las carillas de composite son muy resistentes y están diseñadas para durar a medio-largo plazo. Eso sí, para reducir el riesgo de rotura y desgaste, es necesario tener cuidado al comer y usar la férula protectora para dormir.
tags: #carillas #estratificadas #de #resina