La odontología ha avanzado cada vez más, intentando ser lo menos invasiva posible y logrando incluso mejores resultados que la odontología tradicional. Las carillas dentales son un tratamiento dental de carácter estético. Las carillas dentales sin tallado, se realizan mediante una técnica mínimamente invasiva que requiere poco o ningún tipo de preparación en el diente.
La carilla es una lámina delgada que se coloca en la parte frontal o exterior de los dientes, para que imite al diente natural sobre el cual se está colocando. Las citadas láminas, se fabrican a medida para cada paciente, asegurando un ajuste perfecto y una apariencia natural. El propósito de una carilla dental es mejorar el aspecto de nuestra sonrisa, camuflando las imperfecciones de los dientes naturales, como manchas, coloración amarilla, asimetría entre los dientes, etc.

La carilla le ahorra al paciente gran cantidad de procedimientos dentales estéticos que mejoren las imperfecciones del diente natural, y le ofrece una solución rápida e inmediata para lucir una dentadura atractiva. Además de su función estética, las carillas también pueden mejorar la operatividad de los dientes, proporcionando una superficie más uniforme y resistente para la masticación.
Aunque las carillas dentales ganaron popularidad en los años 70, su origen se remonta a los años 30, cuando se utilizaron por primera vez en Hollywood para mejorar la sonrisa de los actores. Al inicio se exploraba el uso de materiales de baja durabilidad a través de la prueba y el error. El doctor Charles Pincus dio con la cerámica como el material más conveniente para lograr remodelaciones dentales con carillas de alta durabilidad. Los materiales que se utilizan para fabricar carillas son diferentes, quimicamente, del tejido que compone nuestros dientes naturales.
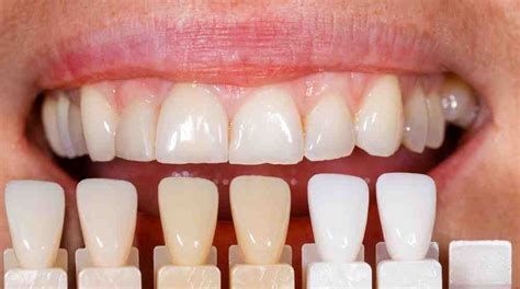
Las carillas son una solución artificial a nuestros dientes reales, por lo que algunas personas pueden inquietarse al pensar en cuanto se notará que llevan un tratamiento artificial. Durante el tratamiento, el paciente tiene la libertad de elegir entre una serie de tonos disponibles para sus carillas, que van desde un color beige hasta blanco impoluto.
Las carillas protegen la superficie frontal del diente natural, evitando que este reciba lesiones. Este revestimiento actúa como una barrera contra la erosión ácida y el desgaste físico, preservando la integridad del diente subyacente. A algunos pacientes suele costarles más de lo normal el masticar, debido a que poseen una superficie irregular en el diente o una desalineación de los dientes. Al colocarse las carillas, estos dos factores dejan de molestar al paciente, ya que la carilla cubre la superficie irregular y una vez colocadas se alinean perfectamente entre ellas.
¿Es necesario tallar o limar los dientes antes de colocar carillas dentales?
Esta es una de las preguntas que más nos hacen nuestros pacientes. Afortunadamente, hoy en día ya no es así. Aun así, hay muchos pacientes que no quieren que tallemos o limemos nada sus dientes, por muy pequeña que sea la cantidad de esmalte que se elimine. El tallado dental es una práctica habitual en Odontología. En el caso de las carillas, este limado es mínimo, ya que las carillas que se colocan son muy finas. Por tanto, simplemente se retira la cantidad de esmalte justa para que, al colocar la carilla sobre el diente, el resultado sea natural.
Dicho esto, también se recurre al tallado en otros tratamientos, como los de coronas o puentes dentales. Por lo general, la colocación de carillas de porcelana sí exige un limado o tallado previo. En cualquier caso, hay personas que no quieren ni oír hablar de la posibilidad de limar sus dientes para colocar unas carillas. Aunque este tipo de carillas son un tratamiento cada vez más demandado para mejorar la estética dental, es importante saber que las carillas dentales sin tallado no son idóneas en todos los casos. Por ello, para saber si este tipo de carillas es la mejor opción en tu caso, lo mejor es que nuestros profesionales expertos en estética dental realicen una valoración previa y así puedan determinar si eres candidato para este tipo de tratamiento.
Ventajas de las Carillas sin Tallado
El no tener que limar los dientes para colocar unas carillas supone importantes ventajas para los pacientes. En el caso de que, con el paso de los años, la persona quiera dejar de llevar carillas, podrá hacerlo sin ningún tipo de preocupación. Su esmalte dental estará, prácticamente, intacto. Esto se debe a que se habrá sometido, únicamente, a un proceso de asperización del esmalte y grabado ácido, por lo que la superficie se ve afectada solo a nivel microscópico.
En segundo lugar, la colocación de carillas sin tallado es mucho más rápida. Al no tener que limar los dientes, la cita en el dentista dura menos tiempo. Y, por si fuera poco, al hecho de no tener que limar los dientes se le suman otras ventajas muy atractivas para los pacientes. Por ejemplo, son mucho más económicas que las de porcelana y se pueden reparar fácilmente en la propia clínica dental. En cambio, las carillas de composite se confeccionan en la clínica dental, directamente sobre los dientes del paciente.

Tipos de Carillas
Existen principalmente dos tipos: las carillas de porcelana, conocidas por su durabilidad y resistencia a las manchas, y las carillas de composite, más económicas y con una instalación más rápida.
Carillas de Porcelana
- Material: Hechas de cerámica dental, específicamente porcelana. La porcelana es un tipo de cerámica altamente resistente a cualquier tipo de daño. Son especialmente resistentes ante manchas o decoloraciones.
- Durabilidad: Son las más duraderas.
- Estética: Ofrecen una apariencia muy natural debido a la translucidez de la porcelana, que imita la del esmalte dental. La cerámica empleada permite una transmisión óptima de la luz.
- Resistencia a la tinción: La porcelana resiste las manchas clásicas del café, el té, el tabaco y las bebidas no alcohólicas. La superficie glaseada no permite la incrustación de tinciones, al no presentar microporosidad. Este glaseado permite el mantenimiento del brillo superficial durante todo el tiempo de vida de las carillas.
- Biocompatibilidad local y general: De todos los materiales de recubrimiento dental que poseemos, la cerámica es junto con el oro, el que menos reacciones biológicas desencadena.
- Resistencia al ataque químico: Diferentes sustancias químicas, como ácidos (cítrico y otros), disolventes (alcohol), medicaciones (antibióticos) y cosméticos (colutorios) pueden producir alteraciones tanto en el esmalte dentario como en las carillas de composite.
- Procedimiento: Generalmente, requieren al menos dos visitas al dentista: una para el tallado y toma de impresiones y otra para la colocación. El número de sesiones es mayor porque las carillas se fabrican en laboratorio dental. Además, antes de colocar las carillas definitivas es necesario colocar las carillas provisionales.
- Desventajas: Requieren un tallado o desgaste del diente, aunque en algunos casos puede ser mínimo. El coste es elevado. Tratamiento irreversible. El color o la forma no se pueden alterar una vez que han sido cementado en su lugar. Posible sensibilidad dental.
- Corrige múltiples defectos: Las carillas de porcelana pueden mejorar la forma, el tamaño y el alineamiento de los dientes, mejorar el color, cerrar diastemas, etc.
- Preparación dentaria muy conservadora: Es una técnica mínimamente invasiva que conserve la substancia dental.
- Fortalece los dientes y devuelve funcionalidad: Ayudan a fortalecer los dientes fracturados y restaurar la función normal. Se usan para corregir deficiencias oclusales o para restablecer una guía correcta durante movimientos masticatorios.
- Aumento de la autoestima: Una bonita sonrisa es muy importante en el día a día de cualquier persona.
- Poco tiempo de recuperación
Carillas de Composite
- Material: Hechas de resina compuesta, el mismo material utilizado en los empastes blancos. La resina compuesta o resina sintética es un material muy utilizado en el campo de la estética dental, debido a su precio accesible. En carillas dentales, la resina compuesta (también llamada composite) es dura, resistente y de buena apariencia, por lo que es una de las opciones más seleccionadas, ya que a pesar de ser muy económicas, ofrecen características muy buenas. Una de sus mejores características es que para colocarse requiere menos desgaste del esmalte que la cerámica.
- Durabilidad: Tienen una vida útil larga pero más corta que las de porcelana. Las carillas de composite son menos duraderas que otro tipo de carillas.
- Estética: Aunque pueden ser estéticamente agradables, no tienen la misma translucidez que las de porcelana. Alta estética.
- Procedimiento: Por lo general, se pueden aplicar en una sola visita, ya que el material se moldea y se pule directamente sobre el diente. Las carillas de composite se fabrican por el odontólogo en el consultorio directamente en boca y se utiliza resina muy estética para su confección.
- Desventajas: Hay que tener un mayor cuidado ante las manchas y no son tan resistentes como las carillas de porcelana. Menor resistencia a la tinción. Uso limitado.
- Tratamiento más rápido
- El coste más bajo
- Fácil reparación
- Invasión mínima: No es un tratamiento agresivo.
La porcelana, siendo un material más duro y translúcido, ofrece un acabado más realista y duradero que la resina compuesta.
A continuación, se presenta una tabla comparativa para resumir las diferencias clave entre las carillas de composite y porcelana:
| Característica | Carillas de Composite | Carillas de Porcelana |
|---|---|---|
| Material | Resina compuesta | Cerámica (Porcelana) |
| Durabilidad | Menor | Mayor |
| Estética | Buena, pero menos translúcida | Excelente, muy natural |
| Resistencia a manchas | Menor | Mayor |
| Número de Visitas | Una | Dos o más |
| Costo | Más económico | Más elevado |
| Necesidad de tallado | Menor | Puede requerir tallado |
Proceso de Colocación de Carillas sin Tallado
¡Descubre nuestras CARILLAS SIN TALLADO!
El proceso de colocación de carillas sin tallado es un procedimiento dental estético que se realiza en varias etapas:
- Consulta inicial: Antes de cualquier procedimiento, el odontólogo evaluará la salud oral del paciente, sus necesidades y expectativas estéticas. Durante esta consulta, se tomarán radiografías y fotografías para planificar el tratamiento. Primero se evalúa el estado del paciente, cuál es su problemática y si es apto para recibir un tratamiento de carillas dentales. Los pacientes con caries deben tratarlas antes de colocarse carillas, ya que estas pueden empeorar si se les colocan carillas encima. Luego de determinarse si el paciente es apto para el tratamiento, se le presentan los tipos de materiales y colores disponibles. El paciente recibe una breve explicación de los pro y los contra de cada material y se le responden sus dudas al respecto. El paciente debe entender la forma en que trabajan las carillas y las limitaciones que tienen las mismas, teniendo en cuenta el color y el material que ha sido seleccionado. Es esencial que los candidatos tengan expectativas realistas y una comprensión clara de los resultados estéticos y funcionales.
- Toma de impresiones: Se tomará una impresión digital de los dientes del paciente utilizando la última tecnología iTero. Esta impresión se enviará a nuestro laboratorio dental de diseño donde se fabricarán las carillas a medida. Para hacer las carillas en el laboratorio, se hacen moldes de los dientes del paciente, con alginato, silicona u otros materiales.
- Diseño y fabricación: Basándose en las impresiones 3D y las especificaciones del dentista, nuestro laboratorio digital diseñará y fabricará la férula para la colocación en la clínica de las carillas sin tallado. Es posible colocarle al paciente carillas provisionales, llamadas mock up, mientras se fabrican las carillas permanentes. Luego de ser fabricadas, las carillas se le entregan al dentista para que las revise y se las muestre y pruebe al paciente.
- Colocación: En una sola cita el odontólogo experto colocará todas las carillas sin tallado en cuestión de minutos dejando tu sonrisa perfecta. Cuando las carillas están listas, se cementan en los dientes del paciente. Para hacer esto, primero se hace una limpieza bucal y se aplican productos que mejoran la adhesión de las carillas al esmalte. Posteriormente, se le aplica cemento a las carillas y cuidadosamente se unen a los dientes. El paciente debe probar la dureza y la resistencia de las carillas por medio de pruebas de oclusión, también le va indicando al dentista las sensaciones que experimenta y este se asegure que todo está en orden.
- Instrucciones de cuidado: Aunque las carillas sin tallado son resistentes, requieren cuidados para mantener su apariencia y durabilidad. El dentista proporcionará recomendaciones sobre higiene oral, hábitos alimenticios y visitas de seguimiento.

¿Cuándo se pueden colocar las carillas?
Las carillas pueden colocarse, sin problemas, en personas con un esmalte dental saludable, que no ha sido desgastado por tratamientos dentales o por enfermedades. Se pueden colocar en dientes con desalineaciones y espaciamientos ligeros, en dientes con manchas y decoloración y con formas irregulares, como astillas o cortes. El paciente no puede tener ninguna enfermedad bucodental. Las caries se consideran una infección de los dientes, por lo que están incluidas.
Cuidados y Mantenimiento de las Carillas
Depende del material y el mantenimiento que se le dé a las carillas. Cepillarse los dientes una cantidad mínima de dos veces al día, una hora después de haber comido. Los hábitos como el bruxismo, el morderse las uñas, morder lápices y utilizar el borde de los dientes para destapar cosas, son todos potencialmente riesgosos de dañar nuestras carillas.
Las carillas son un tratamiento de remodelación estética dental, que debe ser monitoreado como cualquier otro tratamiento, solo que de manera más pasiva. La higiene debe ser constante, siempre con el objetivo de evitar, lo máximo posible, la acumulación de placa bacteriana en las carillas. La higiene dental incluye limpiar los dientes hasta tres veces por día una hora después de comer.
El desgaste realizado en el esmalte puede provocar sensibilidad dental en el paciente por algunos días. Esto implica experimentar incomodidades con las temperaturas altas o bajas y sentir dolor al rechinar los dientes o morder alimentos muy duros. Solo las carillas hechas de cerámica son resistentes a las manchas. Deben evitarse, especialmente durante las primeras semanas después de la operación.
El dentista debe realizar un chequeo periódico del estado de sus carillas, para llevar un control de las mismas y de su deterioro, ya que estas se van desgastando a través del uso. Finalmente, las carillas no son un tratamiento milagroso, y duran dependiendo del cuidado que se les dé.