Durante el mes de octubre, la ausencia de Carlota Corredera de los platós de Telecinco generó interrogantes entre los espectadores. Finalmente, se reveló el motivo: la presentadora se sometió a un retoque estético dental, estrenando una nueva y blanca sonrisa gracias a las carillas dentales.

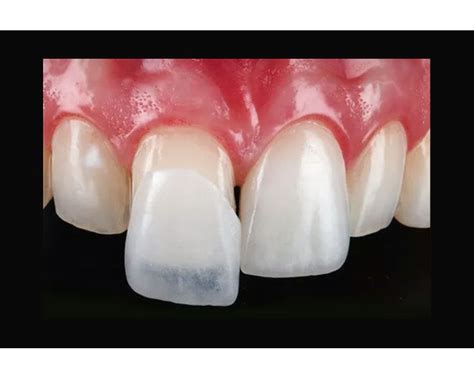
Diferentes tipos de carillas dentales.
¿Qué son las Carillas Dentales?
El tratamiento con carillas dentales, también conocidas como laminados dentales, consiste en la colocación de una prótesis dental que mejora la estética de los dientes. Esta especie de prótesis se adhiere perfectamente a la capa superficial de las piezas dentales, pudiendo ser de porcelana o de resina, principalmente.
La presentadora expresó su satisfacción con los resultados, mostrando "gratitud" hacia los profesionales que la atendieron. Ahora que ya hemos visto el resultado final de su intervención, no podemos negar que la presentadora luce una sonrisa maravillosa, tanto, que no le han dejado de llover halagos. La presentadora siempre ha sido una abanderada del movimiento body positive, mostrándose siempre orgullosa de cómo es y más después del esfuerzo que realizó para conseguir perder los 20 kilos de peso que ganó tras su embarazo.
Aunque se trata de un tratamiento poco invasivo, antes de su colocación se requiere siempre la consulta con un especialista que además explicará al paciente cómo mantenerlas y buscará aquellas que mejor armonía facial proporcionen. Las carillas dentales son una especie de cobertura para la corona de la dentadura, es decir, la parte visible de los dientes.

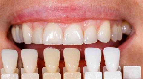
Resultado del tratamiento con carillas dentales.
Ventajas y Desventajas
Carillas Dentales Vs Diseño de Sonrisa | Lo que tienes que saber antes de decidir
Aunque sus ventajas estéticas son innegables, tan solo cabe ver el resultado de Carlota Corredera, las carillas dentales tienen algunos puntos en contra a tener en cuenta como, por ejemplo, el hecho de que puedan dificultar la higiene bucal. Sin embargo, se trata de un tratamiento prácticamente indoloro y muy discreto, ya que, resulta extremadamente complicado para alguien que no sea profesional del tema saber si alguien lleva carillas dentales.
En los casos en los que el proceso concluye con normalidad y sin ningún problema, las carillas dentales pueden durar hasta dos décadas sin tener que ser retiradas. Siempre y cuando el mantenimiento haya sido el adecuado.
El Caso de Jorge Javier Vázquez
El aspecto de Jorge Javier ha llamado la atención de algunos de sus seguidores. Entre los comentarios, la gente le llega a seguirar que "deje de retocarse". Tratamientos de belleza que a lo largo de su vida ha experimentado y que van desde las inyecciones puntuales de toxina botulínica hasta las carillas dentales. Lejos de ser un esclavo de su imagen, el presentador recurre a su 'derecho a estar bello' evitando los excesos, a golpe de bisturí y en última instancia haciendo dieta.
Dental Company: Odontología de Calidad
Dental Company cuenta con más de 100 clínicas dentales repartidas por toda España. Desde que en 2010 abrimos nuestra primera clínica dental, en la localidad sevillana de La Algaba, hemos ido aumentando nuestra red de centros dentales por todo el territorio español.
Siguiendo nuestro lema “Odontología de Calidad para Todos”, hemos ido abriendo nuevas clínicas dentales en localidades que nada tienen que ver con las grandes urbes. De esta forma, acercamos el servicio odontológico de máxima calidad a las personas, sin que se tengan que desplazar excesivamente para recibir sus tratamientos bucodentales. Nuestro objetivo actualmente es seguir abriendo clínicas dentales en España, llegando a esas localidades alejadas de las grandes urbes, para que nadie se quede sin poder recibir unos servicios odontológicos de calidad sin salir de su localidad.
Localiza tu Clínica Dental Company Más Cercana
Actualmente contamos con casi 100 clínicas dentales. Para que te sea más sencilla la búsqueda de tu centro Dental Company más cercano, hemos creado 3 tipos de búsquedas:
- Por provincias
- Por orden alfabético
- Por mapa localizador
En el localizador de clínicas por mapa puedes escribir tu ubicación y buscar la clínica más cercana a tu dirección. Puedes incluso buscar filtrando con un radio máximo de lejanía desde tu ubicación. Si lo prefieres, también puedes filtrar por provincia abriendo el desplegable a la izquierda del nombre de cada provincia. Por último, también tienes un listado con todas las clínicas dentales con sus nombres según la localidad en la que se encuentren. Todo para que te sea fácil ubicar tu clínica Dental Company más cercana y puedas pedir tu cita.
Algunas Clínicas Dental Company por Provincia
A continuación, se muestran algunas clínicas dentales por provincia:
CÁDIZ
- Clínica Barbate
SEVILLA
- Lora del Río: Esquina Avd. de Cataluña. Ntra. Sra. de la Cruz s/n. Local
- Los Palacios y Villafranca: Ciudad de Chiva 19
MÁLAGA
- María Auxiliadora, 92