Carmen Borrego, conocida colaboradora de televisión, ha experimentado una notable transformación a lo largo de los años, impulsada por diversos tratamientos estéticos y, en particular, por un significativo tratamiento dental. Este artículo explora en detalle los procedimientos a los que se ha sometido, los costos asociados y el impacto en su imagen pública.

Decisión y Motivación
Decidida a mejorar su imagen, Carmen Borrego se ha sometido a múltiples intervenciones estéticas y tratamientos dentales. María Teresa Campos ya ha confesado que ha pasado mucho miedo, pero cree que Carmen "se gustará más a sí misma. El cambio hay que hacerlo porque uno lo quiera y no porque lo quieran los demás".
"Estoy contenta, pero no lo he pasado bien. Creo que el resultado será muy bueno y a medida que vaya pasando el tiempo estaré más contenta”, afirma Carmen Borrego, pero también ha asegurado "lo más duro han sido las 24 horas antes del quirófano. El día antes de la operación estuve dudando cada minuto entre hacérmela o no".
Intervenciones Faciales y Corporales
Carmen Borrego entraba en 'Supervivientes 2024' con una imagen completamente distinta a la que lucía hace unos años. La hija de María Teresa Campos ha dado un gran cambio físico y facial tras someterse a varias operaciones y retoques estéticos, así como tratamientos que le han rejuvenecido la piel y han mejorado su rostro.
Entre los procedimientos más destacados se encuentran:
- Lipoescultura y liposucción de cuello y barbilla: Para reducir la papada.
- Cirugía de párpados y cejas (Blefaroplastia y Frontoplastia): Para rejuvenecer la mirada.
- Blefaroplastia: Eliminación de la piel sobrante de los párpados. El primer retoque consiste en la eliminación de la piel sobrante de los párpados a través de una pequeña incisión en el pliegue del ojo que es prácticamente invisible, y tiene un coste que ronda los 3.500 euros.
- Frontoplastia con hilos tensores: Para evitar arrugas en la frente. Este retoque consiste en colocar bajo la línea del cabello unos hilos tensores que mantienen arriba la piel de la cara y evitan que salgan arrugas en la frente. Este tratamiento tiene un coste que asciende a los 4.500 euros.
- Lifting HIFU: Tratamiento no invasivo para remodelar el tejido y tensar la musculatura facial. Consiste en la aplicación de un haz de ultrasonido de alta frecuencia y alta energía en la piel a través de la coagulación térmica, para remodelar su tejido y tensar la musculatura facial de las capas más profundas sin necesidad de cirugía, y tiene un coste de 300 euros.
- Braquioplastia: Para eliminar la piel colgante de los brazos. Con una braquioplastia ha conseguido eliminar la piel colgante de los brazos, comúnmente llamada «alas de murciélago». Este exceso de piel o grasa es común en personas que han perdido peso o que no tengan los brazos firmes, como suele ocurrir con la edad a la que los músculos se debilitan.
- Liftings cervicales: Para estirar la piel del cuello y dejarla tersa.

Además, Carmen Borrego ha querido hacer desaparecer de su rostro las líneas de expresión. Para ello, ha recurrido a un tratamiento personalizado a base de de bótox y ácido hialurónico no reticulado en las líneas de expresión de la frente, del entrecejo, en las patas de gallo y en la cola de la ceja. Con este tratamiento ha conseguido suavizar las arrugas hasta hacerlas casi desaparecer y aportarle a la piel una hidratación extrema para recuperar la luminosidad del rostro.
Tratamiento Dental Integral
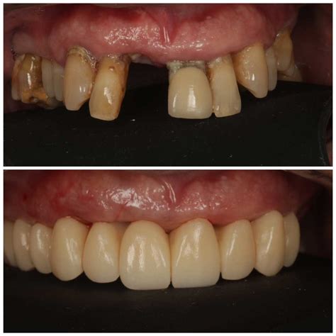
Uno de los aspectos más destacados de la transformación de Carmen Borrego es su tratamiento dental. Además, Carmen ha completado el proceso de mejora de su imagen facial acudiendo a una clínica dental, donde se ha sometido a un tratamiento de implante de coronas en la arcada del maxilar superior, que le permitirá lucir una nueva sonrisa.
La colaboradora de 'Así es la vida' ha pasado varias veces por quirófano para mejorar su rostro y ha recibido diferentes tratamientos: desde aportes vitamínicos y liftings hasta su conocida liposucción de papada, pasando por una ortodoncia e implantación de carillas dentales.
Este tratamiento ha sido el más conocido que se ha hecho la colaboradora has el momento. Carmen Borrego quería poner fin a su papada y no dudó en someterse a una liposucción que consistía en la eliminación de la piel sobrante de esa zona.
Para mejorar su sonrisa, la colaboradora de televisión decidió someterse a una de las cirugías dentales más complejas, ya que sus carillas no van pegadas sino que son implantes colocados uno a uno en sus dientes. Una cirugía que asciende a los 12.000 euros.
Este mismo mes de noviembre Borrego se vio obligada a pasar de nuevo por quirófano debido una infección en las encías. "Tengo una enfermedad periodontal heredada de mi madre", contó en Telecinco. En su discurso Carmen quiso resaltar la importancia de acudir al dentista y perder el miedo a las revisiones. "Hay que ir y arreglarse la boca. Muchos problemas físicos que tenemos vienen por la boca.
En su discurso, Carmen Borrego también ha resaltado la importancia de acudir al dentista y perder el miedo a las revisiones. "Hay que ir y arreglarse la boca. Muchos problemas físicos que tenemos vienen por la boca. Tenía pavor, pero lo he hecho, me he atrevido y estoy muy contenta", recalcaba y hacía hincapié en que no lo había pasado nada bien en todo este proceso.
Los tratamientos dentales incluyeron:
- Implante de coronas en la arcada del maxilar superior: Para una nueva sonrisa.
- Cirugía de implantes dentales: Carillas no pegadas, sino implantes individuales.
- Tratamiento de enfermedad periodontal: Heredada de su madre.

Costos Estimados
Carmen Borrego se ha sometido a numerosos retoques estéticos y operaciones, valorados en un total de 40.000 euros.
A continuación, se presenta una tabla con los costos estimados de algunos de los procedimientos:
| Procedimiento | Costo Estimado |
|---|---|
| Blefaroplastia | 3.500 € |
| Frontoplastia con hilos tensores | 4.500 € |
| Lifting HIFU | 300 € |
| Liposucción de papada | 3.000 € |
| Implantes dentales | 12.000 € |
Es importante tener en cuenta que estos son solo estimados y los costos reales pueden variar.
Carmen Borrego y María Teresa Campos cuentan la evolución de Terelu | Diez Minutos
Reaparición y Reacciones
Este miércoles, por fin pudimos ver el rostro más esperado: el de Carmen Borrego (51). La hija de María Teresa Campos se sometió a un cambio radical el pasado 29 de agosto, pero su imagen era un auténtico secreto. Tan solo se conocían sus retoques: lifting de cuello, corrección de sus cejas, párpadosy una operación dental. 14 días después de su intervención, Borrego posó frente a las cámaras y reapareció espectacular en el especial de Las Campos.
Con una mirada mucho más juvenil que la habitual, la colaboradora no pudo evitar emocionarse cuando entró en plató y el público la ovacionó de forma ensordecedora.
Ataviada de un traje de chaqueta color blanco y una favorecedor corte de pelo que le aportaba un aire fresco, Carmen se pudo ver frente a un espejo y su reacción hablaba por sí sola. Era su gran noche, pero eso no evitó que revelara, sin algún reparo, qué había sentido en el posoperatorio. "No es una operación muy dolorosa, pero sí de mucha ansiedad. Me he venido abajo durante el programa, y es que hay que entender que son muchos días sin mirarme en el espejo", dijo muy emocionada.
La hija de María Teresa Campos se mostró feliz y satisfecha con los cambios físicos. "Yo quería reconocerme y me reconozco, estoy encantada. Es verdad que me parezco a mi hija, aún más. La primera imagen es impresionante, me veo con mis facciones, pero mejoradas", apuntó.