La aparición de manchas en los dientes es una de las preocupaciones dentales más comunes. Mirarse al espejo y descubrir nuevas manchas en los dientes es una sensación muy desagradable. Estas manchas pueden ser de distintos tamaños y colores, y su origen puede ser diverso. La estética de la sonrisa influye en cierto modo en el bienestar personal, y cuando se presenta alguna imperfección en la dentadura, lo más importante es saber cómo eliminarla.
A continuación, exploraremos las causas de las manchas en los dientes, los tipos de manchas que existen, cómo prevenirlas y los tratamientos disponibles para eliminarlas.

¿Qué son las manchas en los dientes?
Las manchas en los dientes son esas imperfecciones que aparecen en tus dientes en colores diferentes al tono perlado del esmalte. Estas manchas pueden clasificarse como manchas superficiales, intermedias o profundas, pero también pueden diferenciarse según su color.
Manchas en los dientes: ¿cómo eliminar las manchas blancas y marrones?
Tipos de Manchas en los Dientes
Dado que las manchas pueden tener distintos orígenes, también existen diferentes tipos:
- Manchas extrínsecas: Son aquellas que se forman en la superficie externa del esmalte dental. Generalmente, son causadas por el contacto con sustancias que pueden teñir o manchar los dientes. Al ser manchas que se localizan en la superficie del diente, son fáciles de eliminar. Normalmente, con una higiene bucal diaria, las manchas desaparecen de manera progresiva en poco tiempo.
- Manchas intrínsecas: Afectan la estructura interna del diente, la dentina. El tratamiento de las manchas intrínsecas puede variar según la causa y la gravedad. Puede incluir opciones como blanqueamiento dental, carillas o tratamientos de restauración dental.
1. Manchas en los dientes según la zona en la que aparezcan
Este tipo de manchas están en el esmalte o en la dentina, formando parte del diente.
Tipos de manchas según su color:
- Manchas amarillas: Las manchas amarillas son, probablemente, las más comunes. Es decir, el tono amarillento puede aparecer como consecuencia del bruxismo, que es un hábito inconsciente que consiste en rechinar y/o apretar los dientes, especialmente durante las horas de sueño. Sin embargo, también puede darse durante el día (bruxismo diurno). Adicionalmente, hay otros factores que conllevan un desgaste del esmalte y que provocan manchas o un aspecto amarillento.
- Manchas marrones y negras: Se producen por el consumo de café, vino tinto y el hábito de fumar. Las manchas marrones también son muy comunes. Este tipo de manchas pueden deberse a la misma causa que las amarillas (sarro, alimentación, tabaco…). Es decir, hay manchas superficiales que se pueden eliminar de manera relativamente sencilla mediante una limpieza dental profesional.
- Manchas blancas: Las manchas blancas en los dientes destacan porque son más claras que el color cremoso natural del diente y procede una descalcificación del esmalte. Las manchas blancas en los dientes son, probablemente, las menos comunes de las tres. Caries incipiente: la caries comienza con una ligera descalcificación del esmalte. Hipoplasia del esmalte: se trata de una malformación del esmalte que tiene lugar durante la niñez.

¿Por qué salen manchas en los dientes?
Existen diversas causas para la aparición de manchas en los dientes:
Mala higiene oral
El no cepillar los dientes después de cada comida provoca que los restos de alimentos se conviertan en placa bacteriana y, posteriormente, en sarro. Los dientes con sarro tienen una apariencia amarillenta que se manifiesta, sobre todo, en sus bordes. Para evitar que los dientes se vuelvan amarillos por este motivo, es recomendable moderar la frecuencia con la que se consumen alimentos y bebidas con mucha pigmentación. O, en su defecto, cepillarse los dientes 20 minutos después de comer.
Hábitos alimenticios
El consumo frecuente de ciertos alimentos y bebidas puede contribuir a la aparición de manchas negras. Por ejemplo, el café, el té negro y el vino tinto contienen pigmentos que pueden manchar los dientes con el tiempo.
Una alimentación rica en pigmentos y ácidos puede tener un impacto significativo en la apariencia de tus dientes. Algunos alimentos y bebidas que merece la pena mencionar incluyen el café, el té, el vino tinto, los refrescos oscuros, los alimentos con colorantes artificiales y los cítricos.
Para prevenir las manchas causadas por hábitos alimenticios, es aconsejable limitar el consumo de estos productos y realizar enjuagues bucales o cepillados después de su ingesta.
En la mayoría de los casos las manchas que aparecen en los dientes por comer o bebes ciertos tipos de alimentos o bebidas son de color amarillo o marrón. La ingesta de cítricos, el vinagre o el café son los causantes de estas manchas ya que suelen tener colorantes que afectan a los dientes alterando la flora bacteriana y favoreciendo la aparición de placas de sarro y manchas.
Tabaco y alcohol
El tabaco es una de las principales causas de manchas intrínsecas y extrínsecas en los dientes. Los químicos presentes en el tabaco pueden amarillear los dientes y dejar manchas difíciles de eliminar. Además, el consumo de tabaco puede producir graves problemas de salud.
El tabaco causa manchas en los dientes por la alta concentración química que posee y el alcohol, por la alta cantidad de azúcares. Suprimir su consumo no es garantía de que las manchas se vayan a ir, pero si existen pastas dentífricas que ayudan a realzar el blanco de los dientes y eliminan de manera considerable las manchas en los dientes.
Medicamentos
Algunos medicamentos, como ciertos antibióticos (por ejemplo, tetraciclina) administrados durante la infancia, pueden causar la decoloración de los dientes, incluyendo manchas negras.
Hay algunos medicamentos que pueden alterar el esmalte dental. La clorhexidina es una sustancia antiséptica que se encuentra en algunos enjuagues y colutorios bucales. Los odontólogos la pautan tras realizar determinados tratamientos dentales, como los raspados y alisados radiculares (curetajes) o las cirugías de implantes. Sin embargo, su uso no controlado da lugar a antiestéticas tinciones y manchas marrones en los dientes.
El consumo de algunos antibióticos en la infancia como tetraciclinas puede provocar que el esmalte dental se tiña e incluso que se generen manchas en los dientes.
Traumatismos
Los golpes en la boca también son una de las principales causas por las que aparecen manchas. La pulpa es la parte más interna del diente y la que alberga, a su vez, los vasos sanguíneos y las terminaciones nerviosas. Por ello, si el golpe alcanza la pulpa se produce una necrosis pulpar. Es decir, el nervio muere y, como consecuencia, el diente cambia su color y se vuelve más oscuro.
Una caída o un mal golpe en la boca pueden provocar que el diente se fracture e incluso la muerte del nervio. Esto hace que la coloración de la pieza dental se oscurezca y surjan manchas en los dientes.
Otra de las razones de porque pueden salir manchas en los dientes son las contusiones o golpes en la cara que puede afectar a la estructura de los dientes y como consecuencia, pueden aparecer contusiones internas dando lugar a manchas en los dientes a medio o largo plazo.
Tratamientos dentales
Cuando se usan fundas dentales para dormir o se tienen brackets y no hay una buena higiene dental, pueden aparecer manchas dentales. Por ello, es fundamental seguir una rutina de higiene bucodental diaria con productos que ayuden a frenar placas bacterianas y que fortalezcan las encías.
Tratamientos para eliminar las manchas en los dientes
Para eliminar las antiestéticas manchas en los dientes es fundamental que acudas a tu dentista. Por lo general, es recomendable potenciar el efecto de la limpieza con un blanqueamiento dental. Por ello, lo más adecuado es realizar una limpieza profesional para eliminar las manchas superficiales y, posteriormente, recurrir a un blanqueamiento. Así, además de eliminar las manchas, se conseguirá aclarar el color del diente de manera uniforme.
Ahora que conoces qué puede provocar cada mancha, vamos a lo que te interesa. Ya has visto que hay muchos tipos de manchas, algunas incrustadas en la dentina y difíciles de eliminar o matizar. Para ello, los dentistas o higienistas dentales usamos un raspador de metal manual, una pistola de bicarbonato o air flow, o ultrasonidos.
Entre los tratamientos que utilizamos para eliminar las manchas en los dientes, los más habituales suelen ser los siguientes:
1. Profilaxis dental
Las limpiezas orales profesionales son imprescindibles para mantener una boca sana, junto a la rutina de higiene diaria. Este tratamiento puede incluso eliminar las manchas leves de los dientes y mejorar en una sencilla sesión la estética de la sonrisa. Es recomendable hacerse, como mínimo, una al año.
2. Blanqueamiento dental
El blanqueamiento dental es una opción efectiva para eliminar manchas extrínsecas y recuperar la luminosidad de tus dientes. Este procedimiento seguro y probado puede llevarse a cabo en la comodidad de nuestra clínica dental. Durante el tratamiento, se utiliza un gel especial que elimina las manchas y decoloraciones superficiales sin dañar el esmalte dental.
Los blanqueamientos dentales son una de las soluciones estéticas más demandadas por nuestros pacientes. Al aclarar la tonalidad de los dientes poco a poco, se pueden eliminar algunas manchas del esmalte sin dañarlo.
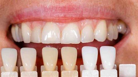
3. Carillas dentales
Las carillas dentales son finas láminas de porcelana o composite que se encargan de recubrir la cara externa del esmalte dental para ocultar imperfecciones, entre ellas las manchas en los dientes. A diferencia de los 2 tratamientos descritos anteriormente, con las carillas dentales podemos poner solución a cualquier tipo de mancha.
Cuando la limpieza profesional no consigue eliminar las manchas de tus dientes, esta puede ser la solución.

Cómo evitar y combatir las manchas dentales
Para evitar la aparición de manchas, lo primero que hay que hacer es llevar una correcta higiene oral en casa. La prevención es clave para mantener tus dientes libres de manchas. Una alimentación equilibrada rica en frutas, verduras y productos lácteos puede fortalecer tus dientes y prevenir manchas. Además, recuerda visitar regularmente a tu dentista para chequeos dentales y limpiezas profesionales.
Comúnmente las manchas dentales son de carácter extrínseco o intrínseco.
Tabla resumen de tipos de manchas, causas y tratamientos
| Tipo de Mancha | Causas Comunes | Tratamientos |
|---|---|---|
| Amarillas | Sarro, alimentación, tabaco, bruxismo | Limpieza dental profesional, blanqueamiento |
| Marrones/Negras | Café, vino tinto, tabaco | Limpieza dental profesional, blanqueamiento, carillas |
| Blancas | Descalcificación del esmalte, caries incipiente, hipoplasia | Fluoruro, tratamientos de remineralización |