Las carillas dentales son uno de los tratamientos más solicitados en estética dental, ya que permiten transformar la sonrisa de forma segura, natural y mínimamente invasiva. En este artículo, te explicamos el proceso completo de colocación de carillas dentales, desde la primera visita hasta la sonrisa final.

¿Qué son las Carillas Dentales?
Las carillas dentales son finas láminas que se colocan sobre la cara externa de los dientes, con el objetivo de mejorar su forma, color, tamaño o alineación. Son una excelente solución para corregir imperfecciones como dientes oscuros o manchados, espacios entre dientes, fracturas y malposiciones leves. Ya sean de porcelana o composite, las carillas dentales van adheridas al diente natural de la persona mediante un cementado. En todos los casos se confeccionan totalmente a medida a partir de un diseño de sonrisa y su forma está, por tanto, personalizada.
Tipos de Carillas Dentales
Existen diferentes tipos de carillas dentales, siguiendo siempre las necesidades de cada paciente:
- Directas: Son aquellas que, después de realizar la preparación del diente, se colocan directamente en boca en la clínica, sin tener que hacer una fase intermedia de laboratorio. Se suele realizar mediante la técnica directa y como hemos comentado no son tan exactos estéticamente como los de porcelana. Suele ser el mismo material que con el que se realizan los empastes dentales, o también puede ser uno especializado en este tratamiento.
- Indirectas: Son aquellas que, después de realizar la preparación de la pieza, se toman medidas para mandar al laboratorio y ellos realizan unas carillas dentales de porcelana o de composite a medida. Este se realiza siempre mediante la técnica indirecta a través del trabajo de laboratorio, consiguiendo así un resultado más exacto y estético. Se realizan mediante una cerámica específica dándole la naturalidad y translucidez del esmalte, consiguiendo así un efecto muy estético y natural.
La principal desventaja de las carillas de porcelana es que, al ser de materiales muy buenos y duraderos, tienen un coste más elevado con respecto, por ejemplo, a las carillas de composites.
Carillas Dentales Vs Diseño de Sonrisa | Lo que tienes que saber antes de decidir
Paso a Paso del Proceso de Colocación de Carillas Dentales
1. Evaluación y Planificación
La colocación de las carillas estéticas comienza con una evaluación detallada por parte de un equipo de odontólogos especializados en estética dental. Este proceso comienza con una consulta dental, donde se evalúa la salud bucal y se discuten las preocupaciones y deseos del paciente. Por ello, realizamos un proceso de escucha activa con todos nuestros pacientes para poder ajustarnos a sus necesidades y expectativas.
El primer paso es realizar una prueba en boca con la férula de posicionamiento, acompañada de una evaluación digital avanzada. Gracias a la tecnología de Diseño Digital de Sonrisa (DSD), podemos planificar el resultado estético final antes de comenzar el tratamiento. En este momento, podemos ajustar y modificar ese diseño de sonrisa.

2. Preparación Dental
El siguiente paso es el escaneo digital, una técnica avanzada que captura imágenes detalladas de la boca. Es necesario preparar el diente para conseguir una adhesión eficiente de la carilla sobre la parte frontal del mismo. El tallado dental es el proceso de remover una porción del esmalte para crear espacio para la carilla. Sin embargo, las técnicas actuales son mínimamente invasivas y requieren un tallado prácticamente imperceptible e incluso existen carillas sin tallado. Dependiendo del estado inicial del diente y la encía, así como de las expectativas y necesidades del paciente se optará por un tipo de carilla concreto (porcelana, composite o microcarillas).
Antes de colocar carillas dentales, es fundamental preparar adecuadamente el diente natural. Este proceso asegura que la carilla se adhiera correctamente y proporcione un resultado estético óptimo:
- Limpieza: Una buena higiene bucal es esencial antes del procedimiento.
- Impresión dental: Se toma una impresión del diente preparado para crear un molde que se enviará al laboratorio dental.
Es posible que durante el proceso de desgaste del esmalte sientas algunas molestias o incomodidades. Para minimizar estas sensaciones, el dentista puede aplicar anestesia local. Mantener una buena higiene bucal antes del procedimiento es crucial para garantizar el éxito de la colocación de las carillas.
3. Fabricación de las Carillas
Una vez te hayas decidido por el tipo de tratamiento que quieras hacer y las carillas que quieras colocarte, se realizará un estudio de tu cara y tus medidas para elaborar las carillas lo más adaptadas posibles a tus características. Hacer modelos de estudio: tomando unas medidas previas de tu boca, sobre los modelos se realiza en cera un modelo de cómo será el resultado de tu tratamiento.
Tallado: debemos reducir mediante un tallado tus piezas dentales, para conseguir el espacio adecuado para colocar encima la carilla dental. Se debe hacer una reducción por la parte externa del diente, de uno 0.5mm y una reducción por los lados del diente, al igual que de altura, por el borde incisal del diente. Esto se realiza en la clínica mediante unas fresas especializadas.
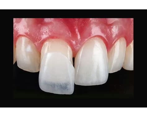
4. Cementación de las Carillas
El proceso de cementación de carillas es el momento en que la prótesis dental se fija al diente preparado. La elección del cemento dental se basa en el tipo de prótesis y las necesidades de la persona. Cementado: una vez tenemos las carillas de porcelana definitivas mandadas por el laboratorio, tenemos que pegarlas a los dientes ya tallados mediante un cemento especial.
Poner carillas dentales es un proceso meticuloso que requiere precisión para asegurar un resultado natural y duradero:
- Prueba de las carillas: Antes de cementar las carillas de manera permanente, el dentista las colocará temporalmente en los dientes del paciente para verificar su ajuste y color.
- Cementado: Se coloca una capa de cemento dental en la parte posterior de la carilla y se presiona sobre la pieza dental. El uso de anestesia local puede ser necesario, especialmente si se requiere un desgaste significativo del esmalte dental.
El proceso de colocación y cementación es realmente sencillo y gracias a la guía inteligente, anteriormente mencionado, podemos llegar a colocar hasta 10 carillas en un solo paso. Las guías se fabrican utilizando lo último en tecnología de impresión 3D y materiales resistentes y biocompatibles. En tu segunda visita, procedemos a colocar tus carillas definitivas mediante unas guías inteligentes. Gracias al diseño con guías 3D, el procedimiento es mínimamente invasivo, lo que reduce cualquier posible molestia y asegura un acabado natural. El diseño 100 % digital no solo aporta precisión, sino que también minimiza errores. El protocolo de trabajo que hemos desarrollado en nuestra clínica de Madrid nos permite diseñar casos de manera digital y ejecutarlos con total precisión. A través de unas guías inteligentes que nos permiten una preparación muy conservadora y aplicar técnicas mínimamente invasivas sin errores.
5. Ajuste y Acabado
Una vez que la prótesis está cementada, se procede al encaje y acabado. Esto implica pulir y ajustar la prótesis para asegurar que se integre del todo con los dientes adyacentes y la mordida del paciente. Una vez colocadas, se hace un pulido para perfeccionar el acabado y conseguir un aspecto natural. También se comprueba la mordida y se hacen los ajustes necesarios para evitar molestias. Por último, se programa una cita de seguimiento para revisar el resultado. En esta última parte, se comprueba que el diseño de sonrisa que se había planificado para que se corresponda con el diseño planificado.

6. Revisión Final
La revisión dental final es el último paso y quizás el más importante. Para asegurar la durabilidad, es indispensable el mantenimiento de las carillas dentales adecuado.
Cuidados Posteriores
Después de la colocación de las carillas dentales, es fundamental seguir una serie de cuidados específicos para asegurar su longevidad y el éxito del tratamiento:
- Sensibilidad dental: Es común sentir sensibilidad al frío o al calor durante los primeros días.
- Molestias en las encías: Puedes experimentar alguna molestia o inflamación en las encías alrededor de las carillas.
El mantenimiento de las carillas de porcelana es muy simple: Cuidarlas como debes hacer con tus dientes originales, con un cepillado 3 veces al día y utilizando hilo dental. El mantenimiento de las carillas es fácil y sencillo, y se refiere a una rutina de higiene oral común, haciendo uso del cepillo de dientes y la seda dental.
Una vez colocadas las carillas de porcelana no se deben despegar, pero si debes recordar que debes tener cuidado ya que como hemos comentado son frágiles. Por ello debes seguir unas recomendaciones, como son seguir una correcta higiene oral y evitar morder cosas duras por esa zona. Si sabes que tienes bruxismo, se recomienda el uso de férula de descarga oclusal. Si mantienes limpia tu férula dental y la usas el tiempo que recomiende tu dentista, tus carillas pueden mantenerse en perfecto estado durante muchos años.
Siguiendo estos cuidados y recomendaciones, podrás disfrutar de una sonrisa perfecta y duradera con tus nuevas carillas dentales.
Ventajas e Inconvenientes de las Carillas de Porcelana
Ventajas
- Técnica de dificultad media.
- Preparación dentaria muy conservadora.
- Estética muy elevada.
- Resistencia elevada a las fuerzas.
- Biocompatibilidad local y general.
- Resistencia al desgaste.
- Resistencia a la tinción.
- Resistencia al ataque químico.
- Radiopacidad.
- Costo aceptable.
Inconvenientes
- Técnica clínica más compleja que para las carillas de composite y mucho más que para una corona.
- Técnica de laboratorio compleja.
- Fragilidad relativa.
- Dificultad para la reparación.
- Técnica adhesiva compleja.
- Tratamiento irreversible.
- Imposibilidad de cambiar el color una vez cementada la carilla.
Indicaciones y Contraindicaciones de las Carillas de Porcelana
Indicaciones
- Estéticas:
- Cambios de coloración dentaria.
- Cambios de posición dentaria.
- Cambios en la textura superficial dentaria.
- Cierre de diastemas.
- Anatómicas: Solucionar anomalías de forma, tamaño o volumen dentario, tanto congénitos como adquirido.
- Funcionales: Solucionar alteraciones funcionales tales como restauración de las guías anterior y canina.
- Otras indicaciones: Restauración de problemas derivados de la porcelana de una corona metal-cerámica, bien por fractura de la porcelana, por necesidad de modificar su color, modificar su morfología u otras.
Contraindicaciones
- Estéticas: Alteraciones muy importantes del color dentario.
- Funcionales: Las situaciones de carga excesiva sobre las carillas de porcelana o sobre los dientes soporte de las mismas.
- Otras:
- Hábitos inadecuados.
- Higiene insuficiente.
- Un índice de caries elevado.
tags: #cementacion #de #carillas #de #porcelana