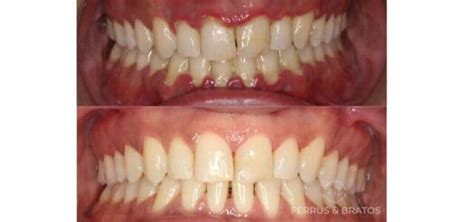
El sangrado de encías es una señal de alerta que no debe ser ignorada. En su estado normal, las encías aparecen rosas y firmes al tacto. Si sus encías presentan un color rojo brillante, inflamación, hinchazón o sensibilidad, es un claro caso de enfermedad periodontal. Afortunadamente, esta condición es comúnmente reversible con una buena higiene bucal y atención adecuada.

¿Qué causa el sangrado de encías?
Las encías enrojecidas y sangrantes suelen ser uno de los primeros signos de gingivitis, una inflamación leve de las encías causada principalmente por la acumulación de placa bacteriana en los dientes y caracterizada por tener un color rojo brillante y sensibilidad. Esta condición es común y, por suerte, fácilmente reversible con una buena higiene bucal.
La primera etapa de la enfermedad periodontal es la gingivitis, que, como anticipado, es la causa más común de los problemas de encías en adultos. Es una de las causas más comunes, ya que la placa es una película a la que se adhieren las bacterias y, si no se elimina con un correcto cepillado y el uso de hilo dental, puede irritar las encías y provocar gingivitis.
Además de la gingivitis, existen otros factores que pueden contribuir al sangrado de las encías:
- Cepillado incorrecto: Un cepillado demasiado fuerte, el uso de un cepillo con filamentos duros o realizar movimientos bruscos al lavarse los dientes pueden dañar las encías y provocar sangrado, incluso si están sanas.
- Uso incorrecto del hilo dental: Un uso incorrecto del hilo dental también puede causar lesiones en las encías.
- Cambios hormonales: Las hormonas provocan una mayor sensibilidad a la placa al aumentar la respuesta inflamatoria del cuerpo. El aumento del flujo sanguíneo hace que las encías reciban más sangre y, consecuentemente, más propensas a hincharse, enrojecerse y sangrar.
- Dentaduras postizas mal ajustadas: Las dentaduras postizas con un mal ajuste pueden provocar el sangrado de las encías como consecuencia de la fricción constante, una presión inadecuada y la acumulación de bacterias en zonas mal selladas.
- Enfermedades y medicamentos: Si sufre una enfermedad o está tomando medicamentos y sufre hemorragias en las encías, consúltelo con su médico o dentista para evaluar si es un efecto del medicamento o una señal de alguna condición.
¿Cómo prevenir el sangrado de encías?
La prevención es clave para evitar el sangrado de encías y mantener una buena salud bucal. Aquí hay algunas recomendaciones:
- Higiene bucal adecuada: Cepillar los dientes durante unos dos minutos al menos dos veces al día y usar el hilo dental al menos una vez al día es esencial.
- Técnica de cepillado correcta: Para cepillar de manera correcta los dientes realice movimientos cortos y suaves, y preste atención a las encías, los dientes posteriores, así como a cualquier empaste, corona o restauración que tenga.
- Cepillo adecuado: Considere el uso de un cepillo de cerdas suaves que cuente con un cabezal flexible y esté especialmente diseñado para prevenir el exceso de presión en las encías.
- Uso del hilo dental: Incorpore a su rutina el uso de hilo dental antes de ir a dormir. Un uso adecuado del hilo dental para la limpieza interdental, curvar el hilo dental alrededor del diente en forma de "C" y mover arriba y abajo, así como bajo las encías es muy importante. Asegúrese de utilizar una nueva sección de hilo dental en cada diente, o si no estará moviendo la placa de un diente a otro.
- Visitas regulares al dentista: Llevar a cabo un cuidado preventivo de manera regular es fundamental para tratar y revertir esta afección. Asimismo, acudir asiduamente al odontólogo y concertar al menos dos limpiezas profesionales al año mantendrá sus dientes limpios y sanos.

Además, es importante considerar los siguientes consejos para mantener una buena salud bucal:
- Coma mejor: Los alimentos saludables mejoran la salud bucodental al proporcionar a las encías los nutrientes adecuados. Es decir, coma más frutas y verduras y reduzca el consumo de alimentos azucarados, incluido el pan refinado.
- Controle el estrés: La ansiedad puede afectar a su salud bucodental. El estrés puede incrementar las inflamaciones en el organismo, lo que puede provocar que sus encías sangren con facilidad.
- No fume: Existen numerosas razones por las que fumar es perjudicial para la salud, incluida la de los dientes y las encías.
¿El hilo dental se usa antes o después del cepillado? | ¡EL ORDEN SÍ IMPORTA!
¿Cómo tratar el sangrado de encías?
Si ya experimenta sangrado de encías, existen varias medidas que puede tomar para tratar y revertir la situación:
- Mejore su higiene bucal: Cepíllese los dientes y realice una limpieza interdental más a menudo y de mejor calidad. Siga las indicaciones de su higienista dental. Una rutina de cuidado bucodental adecuada marca la diferencia a la hora de eliminar las bacterias presentes en su boca que pueden inflamar las encías.
- Utilice un enjuague bucal antiséptico: Su profesional de la salud dental le recomendará que incorpore un enjuague bucal antiséptico a su rutina de cuidado bucodental. Este tipo de enjuagues antimicrobianos no solo ayudan a revertir la gingivitis, sino que reducen y eliminan las bacterias de la boca, contribuyendo así a prevenir la inflamación y el sangrado de encías. Asegúrese de comprobar y confirmar cuál es el enjuague bucal adecuado para usted con su dentista o higienista.
- Limpieza dental profesional: El tratamiento más efectivo para la gingivitis es una limpieza dental profesional, que elimina el sarro y la placa acumulada.
Productos recomendados
Existen varios productos en el mercado diseñados para ayudar a mantener una buena salud bucal y prevenir el sangrado de encías. Algunos de ellos son:
- Colgate Triple Acción Pasta Dental: Un dentífrico especialmente formulado con flúor que ayuda a mantener tus dientes fuertes y sanos. Ofrece el triple de beneficios en un solo producto, ayudándote a proteger tus dientes contra las caries, manteniéndolos blancos de manera natural y refrescando tu aliento.
- Colgate Enjuague Bucal Total Advanced Encías Sanas 500ml: Este enjuague no solo combate la placa y las bacterias, sino que también fortalece las encías, previniendo problemas como la gingivitis y el sangrado.
- Sensodyne Rapid Action Fresh Mint: Alivia el dolor provocado por la sensibilidad en tan solo 60 segundos.
- Gel dentífrico Vegetal de Weleda: Cuida y limpia el esmalte evitando además la placa bacteriana.
- Farline Pasta de dientes Bio: Con extracto de menta, con un 99% de ingredientes de origen natural para la higiene y protección dental diaria. Contiene 1450 ppm de flúor.

¿Cuándo buscar atención profesional?
Si el sangrado de las encías se vuelve frecuente o continuo, especialmente al cepillarse o usar hilo dental, puede indicar una infección más profunda. En este caso, es fundamental acudir al dentista para una evaluación profesional.
Si el sangrado de las encías es frecuente, intenso o doloroso, y está acompañado de síntomas como mal aliento e inflamación, es fundamental acudir al profesional de la salud bucodental lo antes posible.
Recuerde, la cura para la gingivitis comienza por responsabilizarse de su propia salud bucodental.