Si estás buscando mejorar la estética de tu sonrisa, las carillas dentales podrían ser la solución ideal. Las carillas dentales no solo mejoran el aspecto visual de tu sonrisa, sino que también proporcionan una solución duradera y resistente.

¿Cuándo son recomendables las carillas dentales?
Si estás considerando mejorar tu sonrisa con carillas dentales, es importante saber cuándo este tratamiento es la opción más recomendada:
- Dientes Manchados o Descoloridos: Si tienes dientes que han sufrido decoloración que no se puede corregir con blanqueamiento dental, las carillas son una excelente alternativa.
- Dientes Desiguales o con Espacios: Si tienes dientes desiguales o espacios notorios entre ellos, las carillas pueden ser una solución rápida y eficaz.
- Mejora General de la Sonrisa: Además de corregir problemas específicos, las carillas dentales son ideales para quienes desean una mejora estética general de su sonrisa.
Tipos de Carillas Dentales
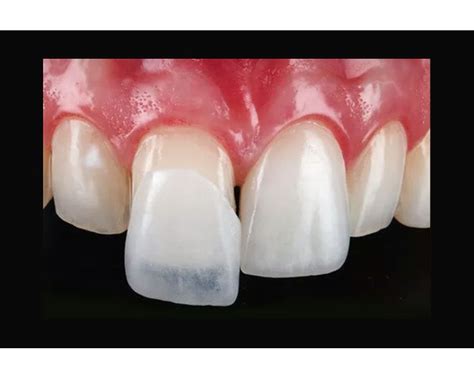
Elegir el tipo de carillas dentales más adecuado para ti es una decisión importante. Existen diferentes tipos de coronas, que se fabrican con diversos materiales como la cerámica e.max (porcelana, también utilizada en carillas), el circonio, el metal y la resina. Todos estos materiales ofrecen resultados altamente satisfactorios por su excelente grado de adaptación.

Carillas de Resina Compuesta (Composite)
Las carillas de composite son menos duraderas que las de porcelana y su vida útil suele ser de 5 a 7 años. El cuidado adecuado y la higiene dental son esenciales para prolongar la vida útil de las carillas.
Carillas de Porcelana
Las carillas de porcelana tienden a ser más duraderas que las de resina compuesta (composite). Las carillas de porcelana no se manchan ni se tiñen. Además, la porcelana tiene un aspecto muy similar al de los dientes naturales cuando estos están sanos y blancos. Además, las carillas de porcelana pueden corregir problemas como el desgaste de los dientes, así como cubrir piezas astilladas o rotas.
Carillas Emax
Las carillas Emax están hechas de disilicato de litio, un material altamente estético y duradero.
Proceso de Colocación de Carillas Dentales
El proceso de colocación de carillas dentales es totalmente personalizado y comienza con un estudio fotográfico, que incluye fotografías extraorales (cara, labios y sonrisa) y fotografías intraorales. A continuación, se realiza un diseño digital de la sonrisa, en el que se ajusta la forma y posición de los dientes a las características de cada paciente, teniendo en cuenta el tipo de rostro, la forma de los labios, el grosor de los labios y la anchura de la boca. Una vez terminado el diseño digital, se crea una maqueta de la boca del paciente con el diseño final.

Los pasos generales para la colocación de carillas son:
- El odontólogo examinará los dientes del paciente para asegurarse de que es apto para recibir el tratamiento y si es más adecuado realizarlo con carillas de porcelana o composite.
- Se preparará el diente a tratar, eliminando de la superficie del diente parte del esmalte.
- Se tomarán las impresiones.
- Se colocarán las impresiones de las carillas ya terminadas, preparando el diente, en un proceso que consiste en limpiar, pulir y grabar la pieza dental.
- Se ajustará esta colocación, eliminando cualquier exceso del cemento especial utilizado.
Precio de las Carillas Dentales
El precio de las carillas dentales puede variar dependiendo de varios factores:
- El tipo de material utilizado (composite, porcelana, etc.).
- La complejidad del tratamiento.
- El número de carillas necesarias.
- La región o país donde se realice el tratamiento.
- La clínica dental que lo lleve a cabo.
- El laboratorio o técnico protésico que realiza las carillas.
- La experiencia y la formación del odontólogo que realiza el tratamiento.
Es importante tener en cuenta que el precio de las carillas dentales también puede variar dependiendo de la región o país donde se realice el tratamiento, así como de la clínica dental que lo lleve a cabo además del tipo de material que se utilice.
A nivel general, es posible destacar que las de resina, por tratarse, frecuentemente, de coronas provisionales, rondan los 40€.Las de porcelana, por tratarse de una solución estética permanente, pueden encarecerse su precio tiene un rango desde los 400€ hasta los 850€ aproximadamente. Su precio rondará los 350 y 500€.Las coronas de Metal porcelana tienen un precio más bajo en comparación a las dos anteriores. Su precio rondará los 360€.
En España, el precio de un tratamiento con carillas dentales parte de unos 1.120 euros. Sin embargo, hay que tener en cuenta que el precio del tratamiento varía en función del número de carillas que se necesiten.
Tabla de precios aproximados:
| Tipo de Carilla | Precio Aproximado |
|---|---|
| Resina Compuesta | 40€ (aproximadamente) |
| Porcelana | 400€ - 850€ (aproximadamente) |
| Metal porcelana | 360€ (aproximadamente) |
| Zirconio | 350€ - 500€ (aproximadamente) |
Duración de las Carillas Dentales
Las carillas dentales no son permanentes y generalmente tienen una duración limitada. El tiempo dependerá del tipo de material de las carillas, el cuidado dental que tenga el paciente y otros hábitos personales.
Duración estimada:
- Carillas de Resina Compuesta: 5 a 7 años
- Carillas de Porcelana: Mayor duración (depende del cuidado)
Recomendaciones para prolongar la duración de las carillas:
- Cepillarse los dientes después de cada comida.
- Usar la seda dental.
- Evitar el tabaco.
- Utilizar una férula protectora por las noches.
- Acudir al dentista con regularidad (1-2 veces al año).
- Tener precauciones al comer alimentos muy duros.
- Disminuir el consumo de comidas o bebidas con mucha coloración.
- Tener cuidado con ciertos movimientos al masticar.
Unilaser | Paso a paso Diseño de Sonrisa superior en Resina de Alta Estética
Opiniones de Pacientes
Aquí hay algunos comentarios de pacientes sobre tratamientos dentales:
- “Empecé mi tratamiento con ellos hace un mes y el trato está siendo inmejorable y excelente. Ayer me colocaron los Brackets y no puedo estar más contento."
- “Médicos maravillosos recomendable para todo el mundo."
- “Atención inmejorable, personal súper atento y profesional."
- “El Dr. Ferrer lleva viéndome a mi, y a toda mi familia, desde que me alcanza la memoria y siempre ha sido un profesional excelente, atento, cuidadoso y cariñoso. Precios realmente competitivos y una calidad humana del equipo inmejorable. Se preocupan por el paciente, te hacen sentir seguro de estar en buenas manos y te resuelven inmediatamente cualquier duda o problema que surja."
- “El doctor Ferrer es dueño de mi sonrisa. El trato ha sido siempre maravilloso y los precios los mejores de Madrid. Me han puesto varios implantes y el resultado es super natural."
- “Excelente trato tanto profesional como humano."
- “Soy Paciente desde hace tres años, el Dr Jorge Ferrer me ha puesto implantes, y fue todo satisfactorio. Son grandes profesionales los Drs Ferrer padre e hijo."
- “Es mi dentista desde 1988, un profesional excelente en el que confío con los ojos cerrados."
- “Buen profesional, es mi dentista desde El año 1999, no puedo estar mas contento con su trato y su profesionalidad. Su hijo también es un excelente dentista, y la atención del resto del personal es de 10."
- “Magnífico equipo, con una atención extraordinaria. Estoy muy feliz con mi tratamiento realizado."