Los dientes definitivos pueden erupcionar mal alineados, superpuestos, con rotación, color alterado o forma irregular debido a factores genéticos, falta de espacio, hábitos orales o traumatismos. Alrededor del 30% de los niños presentan malposiciones dentales al erupcionar sus dientes definitivos, siendo las más frecuentes la erupción ectópica de los caninos, la agenesia dental (ausencia congénita de alguna pieza) y la retención prolongada de los dientes temporales.
Cuando decimos que un diente definitivo “sale mal” nos referimos a que no está erupcionando en la posición adecuada o con la alineación correcta. En condiciones ideales, al caer un diente de leche el permanente debería ocupar su lugar de forma ordenada. Sin embargo, a veces los dientes permanentes emergen mal alineados o en posiciones incorrectas, lo cual puede afectar la estética de la sonrisa del niño y hasta provocar problemas de mordida o limpieza dental a largo plazo.
Ver uno o varios dientes definitivos saliendo mal puede ser desconcertante. Al principio pensé que quizá era algo raro, pero aprendí que es bastante común. Los dientes permanentes de los niños son más grandes que los de leche, así que muchas veces no caben bien en el espacio disponible, especialmente si la mandíbula es pequeña. Esto puede causar apiñamiento: que los dientes nuevos salgan torcidos, montados o encimados unos sobre otros.
Además, unos dientes desalineados de pequeños pueden derivar en problemas de mordida de adultos y dificultar la higiene (al quedar comida atrapada donde el cepillo no llega bien).
Al profundizar en las causas, me tranquilizó saber que yo no había hecho nada “mal” como padre; en realidad son factores muy comunes los que pueden provocar estos desajustes.
Causas Comunes de los Dientes Definitivos Mal Posicionados
- Genética y tamaño de la mandíbula: La herencia genética juega un papel importante en la forma y tamaño de la boca. Si el niño ha heredado una mandíbula pequeña o dientes muy grandes, es fácil que no haya suficiente espacio y los dientes permanentes salgan apiñados o montados. En familias donde los padres tuvieron ortodoncia o dientes apiñados, es más probable que los hijos también lo necesiten.
- Hábitos infantiles perjudiciales: Algunos hábitos orales en la primera infancia pueden afectar el desarrollo adecuado de los dientes y huesos. Chuparse el dedo pulgar, usar el chupete más allá de los 2-3 años, respirar habitualmente por la boca en lugar de la nariz o tener una deglución atípica (empujar los dientes con la lengua al tragar) son costumbres que pueden ejercer presiones anormales sobre la encía y los dientes en formación.
- Falta de espacio por pérdida o retención de dientes de leche: El momento en que se caen los dientes de leche es crítico. Si un diente de leche se cae o se extrae demasiado pronto, los dientes adyacentes pueden moverse y invadir ese espacio vacío; entonces, cuando quiera salir el definitivo, encontrará menos sitio y podría desviarse de su ruta. Por el contrario, si un diente de leche no se cae a tiempo y el permanente comienza a salir, pasa lo que mencioné antes: “diente de tiburón” o doble fila.
- Otros factores médicos: Existen causas menos comunes pero posibles. Por ejemplo, un diente supernumerario (una pieza dental de más) puede empujar a los otros fuera de posición. También ciertas condiciones como traumatismos en la mandíbula en la infancia, o trastornos como quistes o encías muy fibrosas, pueden obstaculizar la erupción normal de un diente definitivo. Incluso problemas de salud bucal como caries muy avanzadas en dientes de leche o infecciones pueden dañar el germen del diente adulto o alterar su camino de salida.
En la mayoría de los niños, la causa se reduce a una combinación de genética (ej.: mandíbula pequeña) y hábitos o tiempos de recambio dental. No te culpes: si tu peque tiene un diente fuera de lugar, lo importante es detectarlo a tiempo y corregir el rumbo, más que buscar culpables.
A lo largo de este proceso descubrí que “dientes definitivos mal salidos” es un término amplio que abarca varias situaciones diferentes.
Tipos de Problemas Dentales al Erupcionar los Dientes Definitivos
Dientes Torcidos
Este es quizás el caso más frecuente y el más visible: ves que los dientes nuevos salen torcidos, girados o inclinados, en distintas direcciones. A veces un diente definitivo sale girado respecto a su posición correcta, o los incisivos inferiores se apiñan (montados uno delante del otro) porque no caben en línea.
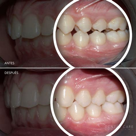
Los dientes torcidos suelen deberse a falta de espacio o genética, y pueden corregirse con tratamientos de ortodoncia en la mayoría de casos.

Ejemplo de dientes torcidos antes y después del tratamiento de ortodoncia
Un detalle importante: algunos dientes pueden verse torcidos al erupcionar pero enderezarse ligeramente solos con la presión natural de la lengua y el crecimiento de la mandíbula. Me aferré a esa esperanza inicialmente, y aunque en casos leves puede pasar, si los dientes están muy torcidos o hacinados es poco probable que se alineen completamente sin ayuda profesional.
Dientes Montados
Hablamos de dientes montados (o superpuestos) cuando literalmente un diente nace montándose sobre otro porque no tuvo espacio a su lado.
Esta imagen de dientes encimados impresiona, pero es común en situaciones de apiñamiento severo. Los dientes montados suelen ocurrir en arcadas pequeñas donde varias piezas compiten por poco espacio, acabando unas por delante de otras. Además de lo estético, estos solapamientos pueden dificultar que el niño muerda bien o limpiar adecuadamente entre esos dientes montados.
La buena noticia es que con aparatos de ortodoncia se puede recolocar cada diente en su sitio con el tiempo, creando espacio donde falta.
Dientes que No Aparecen
Otro escenario que asusta mucho es cuando un diente definitivo simplemente no aparece cuando debería. Por ejemplo, a todos los compañeros de clase de tu hijo ya les salió el diente incisivo nuevo, y el de tu hijo ni asoma.
Las razones de que un diente permanente no erupcione pueden ser varias: puede estar retenido por un obstáculo (por ejemplo, el diente de leche no se cayó y bloquea el camino, o el diente está mal posicionado dentro del hueso), puede que no tenga suficiente espacio para salir y quede impactado bajo la encía, o en raros casos que el diente definitivo falte (agenesia).
Según los especialistas, los caninos superiores son de los que más frecuentemente se quedan incluidos (retenidos) por falta de espacio, ya que se forman en una zona alta del hueso y a veces no encuentran hueco porque otros dientes ocuparon su lugar.
Cuando un diente definitivo no sale como debería, es importante evaluarlo pronto. En algunos casos se decide observar y esperar un poco más, pero si se sospecha que no va a poder erupcionar solo, el dentista puede optar por intervenciones (desde quitar el obstáculo, p. ej. extraer el diente de leche retenido, hasta hacer una pequeña cirugía para guiar al diente incluido fuera del hueso).
Dientes Duplicados ("Dientes de Tiburón")
Este caso suele ocurrir en la transición de dentición de leche a dentición permanente, y ¡vaya susto cuando no lo conoces! Consiste en que el diente definitivo empieza a salir antes de que se caiga el diente de leche correspondiente, de modo que por un tiempo ambos dientes conviven en la boca, uno delante o detrás de otro, dando la apariencia de una doble hilera de dientes.
Popularmente a esto le llaman “dientes de tiburón” (porque los tiburones tienen varias filas). Lo más frecuente es que el diente permanente salga por detrás del de leche, y a veces la naturaleza se arregla sola: tarde o temprano el diente de leche acabará cayendo y el permanente se irá moviendo a su lugar con la presión de la lengua.
Si ves una doble fila de dientes, mi consejo es que consultes al odontopediatra; a veces es necesario retirar el diente de leche para evitar que el definitivo erupcione en mala posición permanente. Y muy importante: nunca intentes arrancar el diente de leche en casa a la fuerza por tu cuenta, podría dolerle al niño o romperse la raíz.
Dientes Fuera de Lugar
Incluyo aquí esos casos en los que el diente permanente sale, pero erupciona en un lugar extraño, lejos de donde debería estar en la arcada. Por ejemplo, he visto casos en que un colmillo definitivo sale muy arriba en la encía (casi cerca del labio) o un incisivo que aparece muy atrás hacia el paladar.
En parte, estos casos son consecuencia de los problemas anteriores (apiñamiento, obstrucciones, etc.): el diente busca cualquier resquicio para salir, aunque no sea en la posición correcta.
Estos dientes fuera de lugar suelen requerir después tratamientos más complejos para llevarlos adonde pertenecen. La ventaja de detectarlo temprano es que se puede planificar con el ortodoncista cómo redirigir ese diente -a veces usando aparatos removibles que “empujen” en la dirección correcta, o mediante bracket y ligas que lo vayan atrayendo a su sitio.
Puede que veas dientes torcidos, dientes montados, dientes que no aparecen, dientes duplicados o dientes erupcionando fuera de lugar… o una combinación de varios.
La clave está en observar la boca de nuestros hijos durante el cambio de dientes y, ante cualquier anomalía notable, consultar con un especialista. A veces nos dicen que esperemos y vigilemos; otras, actuarán de inmediato.
¿Qué Hacer Cuando los Dientes Definitivos Salen Mal?
Cuando noté que los dientes definitivos de mi hijo no venían como esperaba, sentí una mezcla de alarma y ganas de actuar de inmediato.
- Mantén la calma y observa (pero no por mucho tiempo): Al principio es normal asustarse. Tómate un momento para evaluar la situación con calma. Si el niño no se queja de dolor agudo ni hay una emergencia, generalmente hay tiempo para actuar con prudencia. Observa si el diente de leche implicado está flojo o no, cuánto ha salido el definitivo mal colocado, y si hay síntomas asociados (molestias, dificultad para masticar, heridas en la encía, etc.). Algunas veces pequeños desalineamientos pueden corregirse solos en unas semanas (especialmente si son leves y el diente de leche cae), así que un poquito de paciencia inicial no está de más.
- Pide cita con un odontopediatra u ortodoncista infantil: Éste fue mi siguiente paso y el más importante. Un odontopediatra (dentista infantil) revisará la boca del niño y usualmente hará una radiografía para ver la posición de los dientes definitivos dentro del hueso. Acudir al especialista temprano es la solución más eficaz para corregir los dientes definitivos mal posicionados, pues permite evaluar la necesidad de tratamiento cuanto antes.
- Sigue las indicaciones temporales del dentista: Tras la evaluación, el odontopediatra nos dio un plan. Cada caso es distinto: puede que el dentista te diga “vamos a esperar unos meses a ver si se cae solo” (bajo seguimiento), o que proponga intervenir de inmediato. Confía en su criterio y cumple con las citas de seguimiento que te programe.
- No intentes remedios caseros ni forzar la situación: Un punto importante que aprendí es que tratar de solucionar por uno mismo puede ser contraproducente. Ni se te ocurra intentar alinear un diente a la fuerza empujándolo con el dedo, por ejemplo; podrías lastimar al niño o dañar el diente en desarrollo. Tampoco saques un diente de leche en casa bruscamente con hilos u otros métodos de “leyenda urbana”.

Consulta con el odontopediatra es crucial para la salud dental de los niños
Colmillos Montados: Causas y Soluciones
Tener colmillos montados no es solo un problema estético, sino que es un claro síntoma de que nuestra mordida es incorrecta. El origen de los colmillos altos se encuentra en el propio proceso de erupción dental. Esto provoca que, en muchas ocasiones, al haber salido ya el resto de dientes, los colmillos no tengan suficiente espacio para alinearse con el resto y se queden en la parte alta de la encía.
Al igual que otras alteraciones relativas al alineamiento y la mordida de los dientes, la solución para los caninos altos es realizar una ortodoncia. En función de las necesidades concretas del paciente, la solución para bajar unos colmillos altos pasa por dos opciones diferentes: tratamiento de ortodoncia con o sin extracciones de premolares.
Cuando existe suficiente espacio en la arcada, la corrección de los colmillos montados se puede llevar a cabo sin realizar extracciones. Ante la necesidad de aplicar ortodoncia para los colmillos montados, tanto si se realiza un tratamiento con extracciones como sin extracciones, es posible hacerlo con ortodoncia convencional o con Invisalign.
Colmillos altos Así los corrige la ortodoncia
Ortodoncia con Extracciones
Tenemos dos premolares en cada cuadrante de la boca (ocho en total). Ante casos con apiñamiento severo, donde el paladar tiene las dimensiones correctas, la única opción de tratamiento es con extracciones dentales para poder colocar los caninos en la arcada. Los dientes que normalmente se extraen son los primeros premolares (el diente que está justo detrás del canino). Tener un diente menos en cada lado no tiene consecuencias negativas para la mordida ya que tenemos 2 premolares en cada lado.
Una de las preguntas frecuentes que nos hacen los pacientes cuando les explicamos que debemos sacar dientes para alinearlo todo correctamente, es por qué no extraer los caninos si son el problema en lugar de sacar un diente que está bien colocado. El canino es uno de los dientes más importantes de la boca y sirve de guía para toda la oclusión.
Además, es un diente que está posicionado en la parte anterior y tiene un papel muy importante en la estética facial y de la sonrisa. Por el contrario, la extracción de un colmillo sí que perjudicaría a la armonía de la sonrisa y del rostro. Además, extraer colmillos montados podría producir defectos en la encía que no pasarían desapercibidos a la hora de sonreír.
Tipos de Ortodoncia para Colmillos Montados
- Ortodoncia invisible Invisalign: Con ortodoncia invisible Invisalign se realiza una predicción de cómo van a poder ubicarse en la arcada y se tracciona de los caninos con los alineadores hasta conseguir su alineamiento.
- Ortodoncia invisible lingual: Con ortodoncia invisible lingual el alineamiento que se debe llevar a cabo es el mismo que con los brackets vestibulares o en la cara externa del diente.
- Ortodoncia con brackets vestibulares: Con ortodoncia con brackets vestibulares o en la cara externa del diente el alineamiento es sencillo y simplemente debemos calcular bien el espacio para poder ubicar los caninos evitando inclinar excesivamente los incisivos.
Colmillo de Drácula: Modas Peligrosas y Alternativas Seguras
Los caninos superiores desempeñan un papel fundamental tanto en la estética de la sonrisa como en la funcionalidad de la mordida. Cuando estos dientes no erupcionan correctamente y permanecen incluidos, pueden generar preocupaciones estéticas y funcionales.
En 2021 emerge la peligrosa moda de afilarse los colmillos para hacerlos más puntiagudos, una práctica que los profesionales desaconsejaban porque era necesario limar el 80% de la estructura dental. La alternativa sin riesgo parecían las prótesis dentales, aunque existía la probabilidad de que la encía se inflamara, además de resultar incómodas de llevar.
Si algún paciente quiere lucir colmillos de vampiro, nuestra recomendación es acudir al dentista y crear el efecto de los colmillos con composite. Con este procedimiento, el paciente conseguiría el efecto del colmillo puntiagudo sin tener que tallar ni limar el diente. El procedimiento no es invasivo y al no utilizar adhesivo, o muy poco, el composite se puede retirar con facilidad sin perjudicar la salud y la estructura de los dientes”.
Riesgos de Afilarse los Dientes
Ese tipo de intervenciones dañan seriamente el esmalte dental, hacen que los dientes sean más sensibles a la caries e, incluso, se vuelven tan frágiles que pueden romperse al morder, subrayó el portavoz. Añadió que "los alargamientos dentales artificiales dan lugar además a alteraciones antinaturales de la masticación, pueden causar lesiones maxilofaciales, daños óseos en la mandíbula e incluso la pérdida de los dientes".
El afilado conlleva la reducción de la masa del diente, lo que da lugar a un mayor riesgo de que se rompan al masticar, y lesiona gravemente el esmalte haciendo los dientes más sensibles y propensos a caries.

Alternativa segura: composite dental para crear colmillos de vampiro
Dientes Falsos de Vampiro en Halloween: ¡Cuidado!
Con Halloween a la vuelta de la esquina, los disfraces comienzan a planearse, y este año, como en años anteriores, la moda de los dientes falsos de vampiro vuelve a ser popular.
Estas prótesis temporales, que suelen emular colmillos de vampiro o dientes exagerados para crear un look impactante, parecen un accesorio inofensivo para completar tu disfraz. Sin embargo, ¿sabías que estos «dientes falsos» pueden ocasionar serios riesgos para tu salud bucodental?
Peligros de los Dientes Falsos de Vampiro
La mayoría de los dientes postizos que se venden para Halloween están hechos de materiales como plástico o acrílico, que no están pensados para usarse de forma prolongada en la boca. Además, en algunos casos, se requiere un adhesivo para fijarlos, el cual puede contener productos químicos que no son aptos para el contacto con tejidos bucales sensibles. Entre los principales riesgos se encuentran:
- Alergias e irritaciones: Los materiales de baja calidad y los adhesivos fuertes pueden provocar reacciones alérgicas en la boca, como enrojecimiento, inflamación, picazón o quemaduras en las encías.
- Daños en el esmalte y las encías: La aplicación de adhesivos o el simple acto de colocar y retirar estos dientes puede desgastar el esmalte dental o dañar las encías.
- Riesgo de infecciones: Muchos dientes postizos no son fáciles de limpiar, y si quedan restos de comida o saliva atrapados entre el diente postizo y tu propio diente, se convierte en un caldo de cultivo para bacterias.
- Atrapamiento de objetos pequeños en la boca: Algunos dientes falsos de vampiro no se ajustan correctamente y pueden moverse o soltarse mientras hablas o comes. Esto representa un serio riesgo de asfixia, especialmente si se usa en menores.
Materiales Peligrosos en Dientes Falsos
- Plásticos no homologados
- Acrílico de baja calidad
- Bisfenol A (BPA)
- Látex
- Metales pesados y adhesivos de baja calidad
Alternativas Seguras para Halloween
Si decides usar dientes falsos de vampiro para simular unos colmillos, busca alternativas de calidad, fabricadas con materiales hipoalergénicos y sin adhesivos tóxicos. No uses estos accesorios por más de unas horas y asegúrate de retirarlos adecuadamente, sin ejercer demasiada presión sobre tus dientes o encías.
Asegúrate de cepillar y enjuagar bien tus dientes antes y después de usar cualquier tipo de prótesis temporal para eliminar las bacterias y proteger tu salud bucal.
Contorneado Dental Estético
El procedimiento de contorneado implica la eliminación de una pequeña cantidad de esmalte dental para mejorar la forma, longitud o superficie de uno o más dientes.
El contorneado dental consigue un resultado muy bueno en aquellos casos en los que los defectos de los bordes son mínimos o los dientes tienen una gran longitud. Es fundamental realizar una evaluación completa de cada caso antes de decidir si es la opción adecuada para ti. Este procedimiento es permanente, ya que implica la eliminación de una parte del esmalte dental.
Casos en los que se Aplica el Contorneado Dental
- Dientes cortos: en los casos en los que el tamaño de los dientes ya no es adecuado, por ser demasiado pequeños.
- Dientes desalineados o apiñados: en estos casos hay que mejorar en un primer lugar la mordida y la posición correcta de cada diente en el arco con un tratamiento de ortodoncia, y una vez alineado, se pueden remodelar los bordes.
Tabla Comparativa de Tratamientos para Colmillos Montados
| Tratamiento | Descripción | Ventajas | Desventajas |
|---|---|---|---|
| Ortodoncia Convencional | Uso de brackets metálicos para alinear los dientes. | Efectivo, adecuado para casos complejos. | Menos estético, requiere visitas regulares al dentista. |
| Invisalign | Alineadores transparentes removibles. | Estético, cómodo, removible. | Puede ser más caro, requiere disciplina del paciente. |
| Contorneado Dental | Remodelación de los bordes de los dientes. | Rápido, mejora la estética de la sonrisa. | Solo para casos leves, irreversible. |
| Extracciones y Ortodoncia | Extracción de premolares seguida de ortodoncia. | Solución para apiñamiento severo. | Implica la pérdida de dientes. |