¿Te has preguntado alguna vez cómo aclarar o "limpiar" los dientes amarillos para que luzcan blancos y brillantes? Tener los dientes amarillos es uno de los "defectos estéticos" más comunes entre la población, pero también uno de los más sencillos de solucionar con un tratamiento de estética dental.
Las personas tenemos apenas unos segundos para generar una buena primera impresión cuando conocemos a alguien, y dedicarle una sonrisa sincera es un gesto que siempre proyecta confianza y seguridad en nosotros mismos. Pero al sonreír, el protagonista de este primer encuentro puede pasar a ser ese diente que nos falta, el apiñamiento o el color amarillo de nuestros dientes.
Con los años, es normal que el color de los dientes se pueda oscurecer y, por tanto, verse algo más amarillentos. Sin embargo, los dientes amarillos causan un efecto antiestético en el aspecto de las personas y transmiten la impresión de mala higiene aunque, en muchas ocasiones, no sea cierto. Afortunadamente, es posible blanquearlos utilizando remedios profesionales que dan resultados duraderos en el tiempo.
En este artículo, te resolvemos estas y otras dudas frecuentes de nuestros pacientes para que comprendas cómo puedes recuperar la luminosidad de tu sonrisa.
La mejor manera de blanquear los dientes
¿Por Qué Se Ponen los Dientes Amarillos?
Esta es una de las preguntas que más nos suelen plantear nuestros pacientes: ¿por qué tengo los dientes amarillos si me cepillo todos los días? Aunque es verdad que tener una higiene dental deficiente suele provocar la aparición de tinciones amarillas en el esmalte debido a la formación de placa, no es el único motivo. Existen múltiples causas por las que una persona puede tener los dientes amarillos.
Aquí tienes las más frecuentes:
- Tabaquismo: El consumo de tabaco es una de las principales causas de la decoloración dental. Los productos químicos del tabaco se adhieren a los dientes, dejándolos amarillos y opacos. Si fumas y necesitas una razón más para dejarlo de una vez por todas, ¡aquí la tienes!
- Higiene bucodental deficiente: La falta de limpieza bucal o una técnica incorrecta a la hora de cepillar tus dientes puede provocar la acumulación de placa bacteriana que, poco a poco, irá tiñendo tus dientes de color amarillo. No cepillarse los dientes habitualmente lleva a la acumulación de placa y a la aparición de manchas de sarro, que dañan las encías y ensucian nuestros dientes. Para una buena salud bucodental, es esencial cepillarse los dientes después de cada comida.
- Alimentos y bebidas que manchan los dientes: Los alimentos de color oscuro contienen taninos y una alta concentración de agentes cromógenos que se adhieren fácilmente al esmalte, sobre todo si no se tiene una higiene dental adecuada. Beber café, té o vino tinto habitualmente puede provocar la aparición de manchas amarillas en los dientes. Consumir determinados alimentos con pigmentos muy fuertes también puede teñir los dientes de amarillo. De nuevo, no se trata de dejar de comer estos alimentos (algunos de ellos, como los frutos rojos, son muy saludables), sino de moderar su consumo y recordar cepillarnos los dientes después.
- Exceso de flúor: El flúor es vital para prevenir y combatir la caries. Esto, a menudo, se debe al consumo excesivo de agua potable y otros productos fluorados, especialmente durante la infancia.
- Genética: Otra motivo por el que tus dientes pueden verse más amarillos que los del resto es porque hayas heredado un esmalte dental más amarillo.
- Enfermedades: Antes de volver a tener dientes blancos y una sonrisa deslumbrante, es fundamental entender si detrás del color amarillento de los dientes hay presencia de enfermedades o condiciones patológicas. Una vez que ambos han sido excluidos, es importante cambiar su estilo de vida limitando aquellos comportamientos que podrían haber provocado dientes amarillos.
- Fármacos: Sufrir los efectos secundarios de las tetraciclinas: este medicamento era muy recurrido hace algunas décadas y dejaba como secuelas estéticas importantes cambios de color en los dientes.
- Edad: Además, también está el factor de la edad. El paso del tiempo y el envejecimiento hacen mella en el color de los dientes, propiciando su desgaste y haciendo que parezcan más oscuros. La edad también influye en el color de nuestro esmalte: nuestros dientes también envejecen y se tornan amarillentos o grisáceos poco a poco; lo preocupante es cuando este cambio de color se produce de forma precoz. Un diente joven tiene menos contenido mineral y más grosor.
- Traumatismos: Fuertes traumatismos en los dientes con el consecuente daño en la estructura interna (nervio dental).
- Endodoncia: Haber realizado una endodoncia o tratamiento de conducto, que consiste en vaciar el interior de la cavidad pulpar, donde se encuentran los vasos sanguíneos.
Las alteraciones en el color de los dientes también pueden deberse a una serie de factores, tanto intrínsecos como extrínsecos. La primera se produce cuando la alteración del color se produce dentro del propio diente y puede deberse a factores como, por ejemplo, enfermedades metabólicas o síndromes hereditarios.
En resumen, las causas principales de los dientes amarillos son:
- Tabaquismo
- Higiene bucodental deficiente
- Alimentos y bebidas
- Exceso de flúor

Soluciones Profesionales para Blanquear los Dientes
Si tienes los dientes amarillos o manchas en los dientes puedes estar tranquilo porque, sea cual sea tu caso, desde nuestra clínica dental en las Palmas podemos ponerle solución. Te ayudamos a mejorar el aspecto de tu sonrisa mediante nuestros tratamientos de estética dental.
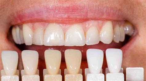
El blanqueamiento dental es un tratamiento de estética cuyo fin es eliminar las manchas en los dientes. El blanqueamiento dental es el tratamiento más habitual para mejorar el color de los dientes amarillos. Con el blanqueamiento dental podemos aclarar la tonalidad del esmalte para que recupere su brillo natural, sin riesgo de que este afecte a la sensibilidad dental de nuestros pacientes.
El blanqueamiento dental es el tratamiento perfecto para limpiar los dientes amarillos. Este procedimiento puede ayudarte a obtener resultados más rápidos y efectivos, ya que se te ayuda a reducir hasta 8 tonos el color de tus dientes.
En Brånemark Las Palmas trabajamos con el blanqueamiento dental Philips Zoom WhiteSpeed. Con este sistema los resultados son inmediatos y duraderos. En una sola sesión, nuestros expertos pueden aclarar los dientes hasta 8 tonalidades más que otros tipos de blanqueamiento.
En nuestra clínica dental, además, siempre perseguimos la máxima naturalidad en nuestros resultados. No buscamos que pases de tener unos dientes amarillos a tener unos dientes de un blanco brillante y artificial. Estudiamos el aspecto de tu sonrisa en relación con tu rostro para diseñar una sonrisa que resalte tu belleza natural.
La técnica consiste en usar gel de peróxido de hidrógeno. En la segunda sesión, se realiza el tratamiento del gel con la tecnología de luz fría.
En Ferrus&Bratos nuestro equipo realiza el blanqueamiento combinado, que consiste en realizar una parte en casa (con férulas y gel blanqueador) y otra en clínica (con una sesión de lámpara de luz fría).
Existen varias opciones de blanqueamiento profesional:
- Blanqueamiento completo (por maxilar): Este blanqueamiento consiste en colocar un molde o férula con un líquido blanqueante en las piezas dentales. En primera instancia, se realiza un molde de los dientes del paciente ajustándose a la boca. Dentro de la cubeta, se aplica un gel blanqueador y se coloca sobre los dientes.
- Blanqueamiento por pieza (lámpara láser o luz fría): Este tratamiento consiste en aplicar en el esmalte del diente un gel blanqueador durante un periodo de tiempo. Antes de esto, se coloca una protección para no dañar las encías.
- Blanqueamiento combinado consultorio y domicilio (kit blanqueador): Cuándo hayamos realizado el tratamiento, nos indicarán una dieta sin alimentos de gran pigmentación como los que nombramos anteriormente (té, café, remolacha, frutos rojos), para que las piezas dentales no se tiñan. Además, es importante llevar una excelente higiene bucal con dentífricos y colutorios sin pigmentos de color.
Microcarillas de porcelana
Con las microcarillas de porcelana y nuestro avanzado diseño de sonrisa somos capaces de modificar el color, forma y tamaño de los dientes que muestras al sonreír. Solo utilizamos materiales de calidad y extremadamente finos, por lo que el resultado es muy natural. Combinando la colocación de microcarillas con un blanqueamiento previo, es posible restaurar el color blanco en pacientes con dientes grises por tetraciclinas y en aquellos con un gran desgaste. Aquí puedes ver la diferencia en la sonrisa de Agustín, que acudió a la clínica con un severo caso de tinción.
Blanqueamiento dental interno
Antes te he explicado que realizar una endodoncia hace que el diente se oscurezca por haber perdido su vitalidad. En tal caso, no es posible recuperar su color blanco con estos tratamientos que te acabo de explicar. Pero no te preocupes: en nuestra clínica realizamos un procedimiento específico para devolver la estética de tu sonrisa, a pesar de tener dientes endodonciados: el blanqueamiento dental interno.
Ocultar las manchas amarillas en los dientes con carillas dentales
Aunque el blanqueamiento es el tratamiento más habitual para poner solución a los dientes amarillos, en algunos casos también podemos recurrir a las carillas dentales. Las carillas son unas finas láminas que nos permiten modificar el tamaño, el color o la forma de los dientes para conseguir unas piezas más estéticas.
Te recomendamos que recurras a la colocación de carillas dentales si tienes manchas muy profundas o si, además de los dientes amarillos, tienes una pieza fracturada, con un tamaño desigual, los bordes desgastados o alguna tinción interna. En Brånemark Las Palmas trabajamos con carillas de porcelana o cerámica, carillas de composite y carillas lumineers. Todas ellas proporcionan resultados muy naturales.
Para definir el tratamiento específico de cómo blanquear los dientes es necesario saber qué opciones existen y cuál es el precio. Por lo general, los blanqueamientos en una clínica odontológica suelen costar entre 300-500€, dependiendo del proceso.

Remedios Caseros para Blanquear los Dientes
¿Buscas blanquear los dientes en casa de forma natural y segura? Importante: Aunque es posible blanquear los dientes naturalmente en casa, los resultados son limitados comparados con los tratamientos profesionales.
La forma más segura de blanquear los dientes en casa es utilizando pastas dentales especializadas que contienen agentes pulidores suaves.
Pastas dentales blanqueadoras
- Cómo elegir la pasta correcta: Busca productos con el sello de aprobación de asociaciones dentales y evita aquellas con índices de abrasión muy altos. Una opción excelente es el dentífrico Bexident® Blanqueante, con efectos blanqueantes y antimanchas desde el séptimo día de uso. Protege y fortalece el esmalte dental, gracias a su acción remineralizante.
- Resultados esperados: Mejora de 1-2 tonos en el color dental tras uso continuado.
- Las pastas blanqueadoras muestran resultados en 4-6 semanas.
Oil pulling con aceite de coco
- Descripción: Esta técnica ancestral consiste en hacer enjuagues con aceite de coco durante 15-20 minutos cada mañana antes del cepillado.
- Proceso correcto: Utiliza una cucharada de aceite de coco virgen, muévelo en la boca sin hacer gárgaras, y escúpelo completamente antes de cepillarte.
- Beneficios adicionales: Reducción del mal aliento, mejora de la salud de las encías y sensación de limpieza prolongada.
- El oil pulling requiere 2-3 meses de uso constante.
Bicarbonato de sodio
- Descripción: El bicarbonato puede ayudar a blanquear dientes naturalmente debido a su capacidad abrasiva suave para eliminar manchas superficiales.
- Uso seguro: Mezcla media cucharadita de bicarbonato con unas gotas de agua hasta formar una pasta. Aplícala suavemente con el cepillo durante máximo 2 minutos, únicamente 2 veces por semana.
- Señales de advertencia: Si experimentas sensibilidad dental, dolor o notas que tus dientes se ven más translúcidos, suspende inmediatamente el uso.
Enjuague con agua salada
- Descripción: Aunque no blanquea directamente, el agua salada es excelente para mantener una boca limpia y libre de bacterias que pueden causar manchas.
- Preparación: Disuelve media cucharadita de sal marina en un vaso de agua tibia. Realiza enjuagues durante 30 segundos después del cepillado nocturno.
Fresas
- Descripción: Las fresas contienen ácido málico, que puede ayudar a eliminar manchas superficiales muy leves.
- Aplicación segura: Tritura 2-3 fresas maduras y aplica la pulpa sobre los dientes durante máximo 5 minutos, una vez por semana.
- Se piensa que al ser rica en vitamina C, fibra y pectina es buena para reducir las manchas dentales provocadas por el café, el té o el tabaco.
Existen algunas frutas y verduras ricas en calcio, magnesio y vitamina C que ayudan a blanquear los dientes de manera natural.
Remedios caseros a evitar
Algunos remedios caseros pueden ser perjudiciales para la salud dental:
- Limón y cítricos: A pesar de su popularidad en internet, los ácidos cítricos erosionan irreversiblemente el esmalte dental.
- Vinagre de manzana: Igualmente ácido y destructivo, puede causar sensibilidad extrema y pérdida de esmalte.
- Agua oxigenada concentrada: Las concentraciones altas pueden quemar gravemente las encías y causar dolor intenso.
- Carbón activado: Sin evidencia científica de efectividad y potencialmente abrasivo.
Si tus dientes son amarillos por genética, medicamentos o envejecimiento, los remedios caseros para blanquear dientes solo ofrecerán mejoras muy limitadas. Los tratamientos profesionales pueden lograr mejoras de 4-8 tonos en una sola sesión, algo imposible de conseguir con métodos caseros.
Es un producto con bastante controversia entre los dentistas, ya que si se utiliza por mucho tiempo puede dañar el esmalte dental (la capa externa del diente). Una de las recomendaciones es colocar un vaso con una cucharada de bicarbonato y humedecer el cepillo en ella.
El ácido cítrico del limón puede contribuir a atenuar manchas y disminuir el sarro que se acumula entre los dientes. Además, por su contenido en vitamina C, aporta propiedades antibacterianas. Puedes hacer un enjuague bucal hirviendo un limón con un vaso de agua.
Tabla comparativa de métodos caseros
| Método | Seguridad | Efectividad | Tiempo para ver resultados |
|---|---|---|---|
| Pastas blanqueadoras | Alta (si se elige correctamente) | Baja (1-2 tonos) | 4-6 semanas |
| Oil pulling | Alta | Baja (elimina manchas superficiales) | 2-3 meses |
| Bicarbonato | Moderada (uso limitado) | Baja (elimina manchas superficiales) | Inmediato (uso ocasional) |
| Agua salada | Alta | Nula (mantenimiento de higiene) | N/A |
| Fresas | Alta | Muy baja (elimina manchas muy leves) | Uso regular |
Consejos Adicionales para Mantener los Dientes Blancos
Independientemente del método elegido, mantener los resultados requiere cuidados específicos. Los métodos caseros seguros pueden mejorar 1-2 tonos eliminando manchas superficiales, pero no pueden cambiar el color natural del diente ni blanquear dientes amarillos por genética.
- Visita regularmente a tu dentista: Programa revisiones dentales periódicas para asegurarte de mantener una buena salud bucal. Desde Clínica Sicilia, te recomendamos acudir a tu dentista mínimo una vez al año, y realizarte una limpieza profesional si es necesario.
- Acorta las visitas para tus higienes: acude a tu clínica dental de confianza cada 8 o 10 meses para hacer una limpieza completa y profunda de tu boca.
- Actúa con rapidez: si ya llevas un tiempo notando que tus dientes se vuelven más amarillos, no dejes que pase más tiempo y pide cita hoy con tu especialista.
- Huye de productos abrasivos: el agua oxigenada, el bicarbonato o el carbón activado están de moda en Internet. Dicho esto, me gustaría dejar claro que no existen productos o métodos milagro para blanquear los dientes amarillos rápido. Los tratamientos de estética requieren un estudio previo realizado por un especialista en la materia, y más importante aún: es fundamental descartar y solucionar previamente cualquier problema.
- Evita alimentos y bebidas que manchan los dientes: Reduce el consumo de alimentos y bebidas que puedan dejar manchas en tus dientes.
- Para una buena salud bucodental, es esencial cepillarse los dientes después de cada comida.
- Además, para evitar este tipo de manchas en los dientes, sería preferible dejar de fumar y de beber alcohol, café y bebidas alcohólicas o no alcohólicas.
- De todos modos, para eliminar estas manchas es fundamental cepillarse los dientes durante al menos dos minutos después de cada comida.
- Por último, para evitar las manchas amarillas en los dientes, es recomendable reducir el consumo de tabaco, café y bebidas con pigmentos.
- Para evitar los dientes amarillos es fundamental evitar fumar y absolutamente no beber café. Dos vicios que la gente abandona con dificultad pero que pueden ser fácilmente sustituidos por leche o agua.
- Igualmente, fundamental es el consejo de evitar los snacks dulces entre horas. De esta forma, la saliva puede neutralizar fácilmente los ácidos presentes en la boca.
- A todo esto, hay que sumarle otra cosa importante: cepillarse siempre los dientes durante al menos dos minutos después de las comidas y utilizar hilo dental una vez al día.
- Para eliminar las manchas amarillas es imprescindible cepillarse los dientes y elegir una pasta de dientes blanqueadora durante al menos dos minutos después de cada comida.
- Además, beber leche o agua después de ingerir alimentos o líquidos ácidos ayuda a limitar su efecto erosivo.
- los días al menos dos veces al día durante al menos dos minutos. En segundo lugar, trate de evitar fumar y tener una nutrición adecuada.
¿Has probado métodos caseros sin obtener los resultados que buscas? Para muchos, un sinónimo de sonrisa bonita es una sonrisa con dientes blancos y, aunque esto depende de muchos factores cómo la genética, existen otros que pueden ser prevenibles. Cómo ya hemos comentado, esto depende de varios factores. Consumir ciertos alimentos que contienen una gran cantidad de colorantes que repercuten en el color del esmalte como chicles, caramelos, frutas con gran pigmentación como arándanos, moras, cerezas.
Suspende inmediatamente el método que cause sensibilidad. Usa pasta dental para dientes sensibles durante una semana y consulta a tu dentista si el problema persiste.
Para cambios reales y duraderos: En Cleardent ofrecemos blanqueamiento profesional con tecnología LED que consigue en una sesión lo que los métodos caseros no pueden lograr en meses.
Ahora ya sabes cómo quitar el amarillo de los dientes, así que ya puedes pedir tu primera cita gratis en nuestras clínicas de Madrid y habrás dado el paso para conseguir tu sonrisa soñada. Te ofreceremos una solución estética y rápida, totalmente adaptada a ti para que no tengas que volver a preocuparte de la apariencia de tu sonrisa.